仿气腹25孔3单端腔镜训练箱训练用单针/双针带线【出售】-->外科训练模块总目录
「训练教具器械汇总」管理员微信/QQ12087382[问题反馈]
开启左侧

一例罕见的完全内位与乙状结肠憩室炎和阑尾发育不全有关。胚胎学,临床考虑和文献回顾

[复制链接]
发表于 2022-9-17 00:00:08 | 显示全部楼层 |阅读模式

马上注册,结交更多好友,享用更多功能,让你轻松玩转社区。

您需要 登录 才可以下载或查看,没有账号?注册

×
概要
腹膜综合征揭示全内翻是极为罕见的事件。文献中没有描述这种情况与乙状结肠憩室炎和蠕虫状阑尾发育不全的关联。本文旨在在筛选有关该主题的文献的同时呈现该类型的第一个案例。作者介绍了一名 44 岁男性患者的乙状结肠憩室炎与全内翻和蚯蚓状阑尾发育不全相关的病例。由于位于右髂窝的腹痛,体温升高(38.2°C)和生物学检查,急性阑尾炎被相当模拟并被认为是推定诊断。腹腔镜探查时诊断准确,证明内脏转位、阑尾发育不全和乙状结肠憩室炎并存,通常被认为是罕见的发现。其次,作者对 PubMed 和 Google Scholar 数据库进行了系统搜索,引入了以下术语:全内翻、急性阑尾炎。鉴于过去 30 年的时间跨度,作者已经获得了少数病例,其中在全内翻患者中发现了急性阑尾炎特有的症状。由于病例数少,术前诊断困难。通常,这种诊断显示为术中意外。仔细的临床检查和一套标准化的临床旁检查可以指导诊断。患者的进展情况良好,在随后的检查中没有任何其他变化。

关键词:全内翻,阑尾炎,乙状结肠憩室炎,阑尾发育不全

介绍
内脏反转是腹部和胸部内脏的换位,而不是它们的共同位置。首先由亚里士多德在动物中描述,17世纪由法布里修斯在人类中发现,后来由马修·贝利详细描述。

它是一种常染色体隐性遗传病,但也可能是 X 连锁疾病。大约 25% 的内翻患者也有一种称为原发性纤毛运动障碍的功能障碍。 50% 的原发性纤毛运动障碍患者会出现部位反转。

腹部倒位与右位心的关联称为全倒位,发病率为 20 万分之一。在没有影像学检查来指导诊断的情况下,考虑到这些患者的解剖学特殊性,诊断很难确定,症状有时不具特异性且不适合腹部内脏的实际真实地形投影。

急性憩室炎症过程与腹部内翻的关联极为罕见。阑尾发育不全代表发育停滞,导致完全没有蠕虫状阑尾。这些病例是术中意外,在为假定的急性阑尾炎进行手术的患者中发生率为 0.001%。

在没有以前的影像学检查的情况下,这种病理类型的临床诊断很难确定,特别是如果给定的情况不典型地位于右髂窝。这种诊断通常是术中意外。在作者的案例中,代表急性腹部疾病的诊断之谜源于内脏转位。

在呈现这种罕见病例的过程中,重要的是要提醒需要仔细的临床和影像诊断。

目标

本报告的目的是描述全内翻、乙状结肠憩室炎和阑尾发育不全的独特关联。作者还对该主题进行了文献综述,以分析与作者的案例有些相似的不同诊断和治疗方式。

案例展示
作者介绍了一名 44 岁男性患者的病例,过去没有任何健康问题或手术干预史。他于 2017 年 3 月抵达罗马尼亚锡比乌市急诊县医院的急诊室,主诉腹痛持续 8 小时,位于右髂窝。

腹部临床检查显示右髂窝腹膜刺激征象和体温升高:38.2°C。

生物学评估注意到白细胞计数为 14.6×103/μL 和左移中性粒细胞增多 87% 的改良炎症样本。尿液分析正常。确诊为急腹症,疑为急性阑尾炎。急性阑尾炎的 Alvarado 评分为 8 分(右下腹压痛 - 2 分,恶心 - 2 分,体温升高 - 1 分,白细胞增多 - 2 分左移 - 1 分)。在此值下,Alvarado 评分的敏感性为 78%,特异性为 100%,预测急性阑尾炎患者人数为 93%。进行了心电图(ECG)。因为最初怀疑是急性阑尾炎,所以没有进行放射照相,不被认为是急性阑尾炎诊断过程中的常规检查。随后,患者被转诊至外科

作者决定在口腔气管插管的全身麻醉下进行手术。在腹腔探查过程中,腹腔镜手术方法显示胃的位置异常,位于圆韧带的右侧。肝脏位于中线左侧,胆囊突出于左侧胁肋,脾位于右侧胁肋。

心尖搏动显示在右侧经膈。突出显示右侧髂窝中的粘附块,紧密粘附于腹壁。右髂窝和右结肠弯曲被乙状结肠占据,其末端出现多个憩室(图1)。左髂窝突出显示有蚯蚓状阑尾发育不全的盲肠(图 2)。

一例罕见的完全内位与乙状结肠憩室炎和阑尾发育不全有关。胚胎学,临床考虑和文献回顾

一例罕见的完全内位与乙状结肠憩室炎和阑尾发育不全有关。胚胎学,临床考虑和文献回顾

图 1
右髂窝伴乙状结肠憩室炎

一例罕见的完全内位与乙状结肠憩室炎和阑尾发育不全有关。胚胎学,临床考虑和文献回顾

一例罕见的完全内位与乙状结肠憩室炎和阑尾发育不全有关。胚胎学,临床考虑和文献回顾

图 2
左髂窝伴盲肠和阑尾发育不全

作者确立了全内翻的诊断。 由于组织脆性和腹腔镜解剖过程中结肠的风险,作者尝试操作顶乙状结肠炎性阻滞没有成功。 进行腹腔灌洗和引流。

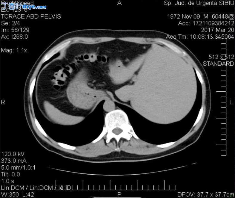
术后进展良好,恢复了肠道转运和抑制腹膜引流。 作者进行了腹部计算机断层扫描 (CT) 扫描,结果显示腹部位置反转伴右位心。

心脏评估和心脏超声(US)证实了右位心,但没有发现任何其他心脏变化((图 3、4、5)。 患者提交后三天出院。 术后 3、6 和 12 个月的随访预约未发现任何问题。

一例罕见的完全内位与乙状结肠憩室炎和阑尾发育不全有关。胚胎学,临床考虑和文献回顾

一例罕见的完全内位与乙状结肠憩室炎和阑尾发育不全有关。胚胎学,临床考虑和文献回顾

图 3
胸部 CT 扫描图像:右位心。 CT:计算机断层扫描

一例罕见的完全内位与乙状结肠憩室炎和阑尾发育不全有关。胚胎学,临床考虑和文献回顾

一例罕见的完全内位与乙状结肠憩室炎和阑尾发育不全有关。胚胎学,临床考虑和文献回顾

图 4
胃和肝脏位置异常

一例罕见的完全内位与乙状结肠憩室炎和阑尾发育不全有关。胚胎学,临床考虑和文献回顾

一例罕见的完全内位与乙状结肠憩室炎和阑尾发育不全有关。胚胎学,临床考虑和文献回顾

图 5
盲肠、阑尾发育不全

讨论
逆位,也称为对位,是一种主要器官发生逆转的先天性疾病。它存在于 1:10 000 人中。内脏器官的正常位置被称为孤立部位。它首先由亚里士多德在动物中描述,并被认为是来自神的标志。

胸腔内和腹腔内器官从右向左完全移位称为全内翻位,比内翻位少见。通常,当结构重复或不存在时,与位置模糊相比,这种情况不涉及医疗问题。

全内翻是一种常染色体隐性遗传病。这些患者中有 25% 存在原发性纤毛运动障碍。纤毛功能障碍与 50% 的发生部位反转的机会有关。伴有慢性鼻窦炎和支气管扩张的内翻三联征称为卡塔格纳综合征。

在胚胎发育过程中,围绕身体横轴旋转180°,将心角带入未来的胸椎区域。在围绕矢状轴和纵轴的第二次旋转过程中,心脏被正确定位在纵隔中。

内翻的确切原因尚不清楚。有人建议心脏管的旋转会导致所有其他变化。在两种旋转运动中的任何一种中发生的任何机械干扰都可能导致心脏或右位心的异常定位。

此外,还描述了肠旋转决定因素,通常位于身体左侧。人们认为,在个体发育过程中决定肠道旋转的这一因素的干扰可能是导致内脏反转的唯一原因。先前的一项研究描述了配对同源域 2 (PITX2) 基因在心脏和肠道循环机制中的积极作用。

旋转不良的基础理论之一是它通过灭活叉头盒 F1 (FOXF1) 转录末端的杂合突变而发生,具有这种突变的患者经常与肺泡毛细血管发育不良相关,这意味着肺静脉错位导致内在发育缺陷肺血管化。

1718 年,Morgagni 首次描述了先天性阑尾缺失。这种情况发生在 1:100 000 的急性阑尾炎手术中。

胚胎学上,蠕虫状阑尾在妊娠第 10 周左右从盲肠形成,呈管状末端覆盖结构。阑尾闭锁的已知原因可能是宫内血管意外或宫内纤维带导致的自动截肢。此外,称为苹果皮空肠闭锁(常染色体隐性遗传)并与短中肠综合征相关的发育缺陷可导致阑尾闭锁。

蠕虫状阑尾发育不全可能是孤立的,也可能是回盲部畸形复合体的一部分。柯林斯研究了这方面并做出了如下分类:I型——没有阑尾和盲肠; II 型——盲肠发育不全,无阑尾; III型——正常盲肠和无阑尾; IV 型——正常盲肠和残端阑尾; V型——巨大盲肠和无阑尾。本病例为Ⅲ型。

这个年龄的乙状结肠憩室炎并不常见(40 岁或更年轻的患者中为 5%)。在没有适当的影像学检查或没有憩室病史的情况下,即使是复杂的乙状结肠憩室炎的诊断过程也很困难。腹部倒置的存在将引发更大的鉴别诊断问题。

左右髂窝疼痛症状的出现经常将临床医生引导至急性阑尾炎或乙状结肠憩室炎。左髂窝的急腹症(通过急性阑尾炎)和右髂窝的腹膜刺激征象作为乙状结肠憩室炎的表现可能与阑尾和乙状结肠(长阑尾,盆腔位置)的长度和位置异常有关, 大乙状结肠, 大乙状结肠)。然而,这种情况更罕见地与全内翻位相关。

与常规手术相比,内脏反转病例的罕见性、非特异性临床表现、诊断困难以及涉及镜像解剖手术的技术挑战使作者回顾了过去 30 年的文献,分析了不同的手术方法,例如腹腔镜方法、单端口或机器人方法。

在 1990-2020 年间在 PubMed 数据库中进行搜索,并使用术语 situs inversus totalis,获得了 817 个结果。在排除了介绍儿科病例和无法访问的文章后添加急性阑尾炎,作者获得了 13 个结果。九篇文章被选中。使用相同的搜索数据和相同的排除标准,从 Google Scholar 数据库中选择了 20 篇文章。

据观察,诊断时的平均年龄为 35.9 岁。主要症状为左髂窝或下腹部疼痛,继之发热、恶心。选择的影像学检查是腹部断层扫描——20 例 (66.66%) 例,其次是腹部超声 9 例 (30%) 例,1 例在术中诊断,1 例先前确定了内脏内翻的诊断。

术中诊断为急性阑尾炎20例(66.66%),合并腹膜炎4例(13.33%),坏疽性阑尾炎1例(3.33%),阑尾粘液腺癌1例(3.33%)。在两个病例中,检测到非炎症性阑尾,阑尾切除术是预防性的。

50% 的患者首选的手术方法是腹腔镜阑尾切除术,其中 2 名 (6.66%) 患者与胆囊切除术相关。 1例通过腹腔镜单孔入路解决,2例保守治疗,但随着住院时间延长而演变,1例在5个月后再次介入治疗。 9例(30%)首选开腹手术,包括全身性腹膜炎和肠穿孔1例,腹部外伤首选开腹手术切除回肠吻合。组织病理学诊断为粘液性腺癌的患者需要在新辅助化疗后进行二次手术,并进行右结肠切除术。未发现机器人手术方法(表 1)。

这六篇综述突出了与作者相似的结果,在症状、诊断怀疑、影像诊断和腹腔镜手术的偏好方面。阿克布鲁特等人。分析了最大的病例组,并强调了与作者的研究相比在治疗选择和组织病理学诊断以及术前诊断方面的相似数据。本研究提到,14.7%的全内翻病例是在入院时诊断出来的,20%是在术中诊断出来的。

搜索与全内翻和乙状结肠憩室相关的病例返回了两篇文章,其中介绍了两例逆全内翻和乙状结肠憩室炎,手术干预是选择性治疗。

查阅这两个数据库后,没有发现全内翻患者出现阑尾发育不全伴乙状结肠憩室炎的病例。

通常,急性阑尾炎的诊断很敏感,并且在临床上与炎症综合征有关。这包括排除其他带状定位的病理:伤寒、网膜坏死或网膜扭转、输尿管结石和肾绞痛、尿路感染、急性肠系膜腺炎(尤其是儿童)胆绞痛和胆囊炎(用于肝下阑尾定位,有时与黄疸)、小肠结肠炎、十二指肠穿孔溃疡、克罗恩病和右结肠憩室病或癌症。

此外,在女性中,应排除卵巢囊肿或扭转、炎症性盆腔疾病、子宫内膜异位症、输卵管卵巢脓肿

然而,阑尾发育不全不能在临床或影像学上得到评价(CT除外)。

作者认为对任何急腹症进行腹部超声检查都是有用的,即使临床检查提示特定病理,在尝试建立诊断时也欢迎额外的数据。 CT 是探查蚯蚓状阑尾病变最精确的影像学方法,但并非所有急诊室都采用 CT。

乙状结肠憩室炎与内翻的关联很少见,与本病例相反,通常不需要进行与急性阑尾炎的鉴别诊断。在没有其他影像数据的情况下,腹腔镜检查优于传统方法。

在这种情况下,开放手术方法的局限性是显而易见的,因为特定的解剖变化、顶叶乙状结肠阻滞的存在以及连续结肠造口术的结肠风险。

可以说腹腔镜检查是有益的,它取代了缺乏影像数据和不完整的临床检查,以及由于特定的解剖结构而使外科医生无法预见可预测的器质性病变。 作者还建议在怀疑有急性阑尾炎的任何情况下进行腹腔镜手术,尤其是在女性中,这不仅是为了排除诊断,还因为它在术后并发症、手术干预持续时间、住院和康复方面的好处时期 。

越来越多的研究推荐腹腔镜方法用于急腹症的不确定病例。 逐渐地,腹腔镜已成为此类病理的“金标准”。

参考资料:
1. Choi KS, Choi YH, Cheon JE, Kim WS, Kim IO. Intestinal malrotation in patients with situs anomaly: implication of the relative positions of the superior mesenteric artery and vein. Eur J Radiol. 2016;85(10):1695–1700.  
2. Jobanputra S, Safar B, Wexner SD. Laparoscopic diverticular resection with situs inversus totalis (SIT): report of a case. Surg Innov. 2007;14(4):284–286.  
3. Kobus C, Targarona EM, Bendahan GE, Alonso V, Balagué C, Vela S, Garriga J, Trias M. Laparoscopic surgery in situs inversus: a literature review and a report of laparoscopic sigmoidectomy for diverticulitis in situs inversus. Langenbecks Arch Surg. 2004;389(5):396–399.  
4. Gedda L, Sciacca A, Brenci G, Villatico S, Bonanni G, Gueli N, Talone C. Situs viscerum specularis in monozygotic twins. Acta Genet Med Gemellol (Roma) 1984;33(1):81–85.  
5. Fulcher AS, Turner MA. Abdominal manifestations of situs anomalies in adults. Radiographics. 2002;22(6):1439–1456.  
6. Yokoyama T, Copeland NG, Jenkins NA, Montgomery CA, Elder FF, Overbeek PA. Reversal of left-right asymmetry: a situs inversus mutation. Science. 1993;260(5108):679–682.  
7. Starck D. Embryologie. Ein Lehrbuch auf allgemein biologischer Grundlage. 2. Neubearbeitete Auflage. Stuttgart: Thieme; 1965. pp. 427–431.https://www.worldcat.org/title/e ... ferer=brief_results
8. Campione M, Steinbeisser H, Schweickert A, Deissler K, van Bebber F, Lowe LA, Nowotschin S, Viebahn C, Haffter P, Kuehn MR, Blum M. The homeobox gene Pitx2: mediator of asymmetric left-right signaling in vertebrate heart and gut looping. Development. 1999;126(6):1225–1234.  
9. Swarhib M, Das S, Htwe O. A case of situs inversus totalis: embryological and clinical considerations. Int Med J. 2013;20(2):264–265. https://www.researchgate.net/pro ... 628dd0000000/42.pdf
10. Martin V, Shaw-Smith C. Review of genetic factors in intestinal malrotation. Pediatr Surg Int. 2010;26(8):769–781.   
11. Chèvre F, Gillet M, Vuilleumier H. Agenesis of the vermiform appendix. Surg Laparosc Endosc Percutan Tech. 2000;10(2):110–112.  
12. Sedik A, Al-Dawoodi T, Elhoushy S. Appendicular agenesis: a case report. Int Surg J (ISJ) 2018;5(3):1121–1123. https://www.ijsurgery.com/index.php/isj/article/view/2418
13. Yohannes B, Abebe K. Appendiceal agenesis: a very rare intraoperative diagnosis - a case report. Int Med Case Rep J. 2021;14:233–236.   
14. Collins DC. Agenesis of the vermiform appendix. Am J Surg. 1951;82(6):689–696.  
15. Di Buono G, Maienza E, Buscemi S, Randisi B, Romano G, Agrusa A. Acute appendicitis in a patient with situs viscerum inversus totalis: role of laparoscopic approach. A case report and brief literature review. Int J Surg Case Rep. 2020;77(Suppl):S29–S33.   
16. Karagülle E, Türk E, Yildirim E, Moray G. A rare cause of left lower quadrant abdominal pain: acute appendicitis with situs inversus totalis] Ulus Travma Acil Cerrahi Derg (Turk J Trauma Emerg Surg) 2010;16(3):268–270.  
17. Huang SM, Yao CC, Tsai TP, Hsu GW. Acute appendicitis in situs inversus totalis. J Am Coll Surg. 2008;207(6):954–954.  
18. Seifmanesh H, Jamshidi K, Kordjamshidi A, Delpisheh A, Peyman H, Yasemi M. Acute left-sided appendicitis with situs inversus totalis: a case report. Am J Emerg Med. 2010;28(9):1058e5–1058e7.  
19. Petrou A, Papalambros A, Katsoulas N, Bramis K, Evangelou K, Felekouras E. Primary appendiceal mucinous adenocarcinoma alongside with situs inversus totalis: a unique clinical case. World J Surg Oncol. 2010;8:49–49.   
20. Djohan RS, Rodriguez HE, Wiesman IM, Unti JA, Podbielski FJ. Laparoscopic cholecystectomy and appendectomy in situs inversus totalis. JSLS. 2000;4(3):251–254.   
21. Uludag M, Citgez B, Ozkurt H. Delayed small bowel perforation due to blunt abdominal trauma and periappendicitis in a patient with situs inversus totalis: a report of a case. Acta Chir Belg. 2009;109(2):234–237.  
22. Akbulut S, Ulku A, Senol A, Tas M, Yagmur Y. Left-sided appendicitis: review of 95 published cases and a case report. World J Gastroenterol. 2010;16(44):5598–5602.   
23. Hou SK, Chern CH, How CK, Kao WF, Chen JD, Wang LM, Huang CI. Diagnosis of appendicitis with left lower quadrant pain. J Chin Med Assoc. 2005;68(12):599–603.  
24. Oh JS, Kim KW, Cho HJ. Left-sided appendicitis in a patient with situs inversus totalis. J Korean Surg Soc. 2012;83(3):175–178.   
25. Golash V. Laparoscopic management of acute appendicitis in situs inversus. J Minim Access Surg. 2006;2(4):220–221.   
26. Perera WR, Hennessy OF. Clinical images. An unusual case of appendicitis. Am J Surg. 2010;199(6):e79–e81.  
27. Channabasappa SM, Mohan HS, Sarma J. A patient with situs inversus totalis presenting for emergency laparoscopic appendectomy: consideration for safe anesthetic management. Anesth Essays Res. 2013;7(1):127–129.   
28. Song JY, Rana N, Rotman CA. Laparoscopic appendectomy in a female patient with situs inversus: case report and literature review. JSLS. 2004;8(2):175–177.   
29. Franklin MEJ, Almeida JA, Reyes PE, Michaelson RLP, Majarrez A. Cholecystectomy and appendectomy by laparoscopy in a patient with situs inversus totalis. A case report and review of the literature. Rev Mex Cir Endoscop. 2001;2(3):150–153. https://www.medigraphic.com/cgi- ... cgi?IDARTICULO=6526
30. Koç A, Sönmez Y, Balaban O. Anaesthetic management for appendectomy in a patient with situs inversus totalis. Turk J Anaesthesiol Reanim. 2016;44(2):105–107.   
31. Cissé M, Touré AO, Konaté I, Dieng M, Ka O, Touré FB, Dia A, Touré CT. Appendicular peritonitis in situs inversus totalis: a case report. J Med Case Rep. 2010;4:134–134.   
32. Hassan AA, El Sabagh A, Helmy AH. Laparoscopic management of acute appendicitis in situs inversus totalis. Egypt J Surg. 2008;27(4):213–215. https://www.researchgate.net/pro ... nversus-totalis.pdf
33. Patel RB, Bhadreshwara K, Hukkeri S. Laparoscopic appendicectomy in a patient with situs inversus totalis. Indian J Surg. 2013;75(Suppl 1):41–43.   
34. Akbulut S, Caliskan A, Ekin A, Yagmur Y. Left-sided acute appendicitis with situs inversus totalis: review of 63 published cases and report of two cases. J Gastrointest Surg. 2010;14(9):1422–1428.  
35. Versluis J, Suliman HM. Appendicitis in a patient with situs inversus totalis. JBR-BTR. 2014;97(3):182–183.  
36. Arid MK. Situs inversus totalis with left-sided appendicitis: a case report. Open J Clin Diagn. 2020;10(4):104–114. https://www.scirp.org/pdf/ojcd_2020122915012838.pdf
37. Rajkumar JS, Syed A, Anirudh JR, Kishor CM, Ganesh D. Single-incision multi-port appendectomy for a patient with situs inversus totalis: first case report. Sultan Qaboos Univ Med J. 2016;16(2):e242–e245.   
38. Yang CY, Liu HY, Lin HL, Lin JN. Left-sided acute appendicitis: a pitfall in the emergency department. J Emerg Med. 2012;43(6):980–982.  
39. Yeni M, Peksöz R, Dablan A, Dişçi E. A rare acute abdomen case: acute appendicitis in the patient with situs inversus totalis. J Surg Med. 2019;3(10):766–768. [url]http://jsurgmed.com/en/download/article-file/829213
40. Chuang TJ, Chen CW, Lin HY, Hsu WH, Wang SC, Tu CC. Acute appendicitis presenting as unusual left upper quadrant pain. Iran J Radiol. 2013;10(3):156–159.   
41. Jackson ML, Shah SK, Agarwal AK. Acute appendicitis in a patient with situs inversus totalis and malrotation. CRSLS. 2019:e2019.00001–e2019.00001. [url]http://crsls.sls.org/wp-content/uploads/2019/05/jls102193774001.pdf
42. Keli E, Ndri KJ, Ahue KH, Blégolé OC, Moussa B, Aboua G, Adon A, Dongui JP. Laparoscopic appendicectomy in a patient with situs inversus totalis. S Afr J Surg. 2019;57(2):66–67. [url]http://www.scielo.org.za/pdf/sajsurg/v57n2/17.pdf
43. Trésallet C, Bart S, Cardot V, Baleston F, Nguyen QT, Chigot JP, Menegaux F. Sigmoid diverticulitis revealing a situs inversus at an advanced age] J Chir (Paris) 2004;141(3):205–206.  
44. Kumar A, Ramakrishnan TS, Sahu S. Differential diagnosis for acute appendicitis: epiploic appendagitis. Med J Armed Forces India. 2009;65(3):276–277.   
45. Minutolo V, Licciardello A, Di Stefano B, Arena M, Arena G, Antonacci V. Outcomes and cost analysis of laparoscopic versus open appendectomy for treatment of acute appendicitis: 4-years experience in a district hospital. BMC Surg. 2014;14:14–14.   
46. Kumar S, Jalan A, Patowary BN, Shrestha S. Laparoscopic appendectomy versus open appendectomy for acute appendicitis: a prospective comparative study. Kathmandu Univ Med J (KUMJ) 2016;14(55):244–248.  
47. Jaschinski T, Mosch C, Eikermann M, Neugebauer EAM. Laparoscopic versus open appendectomy in patients with suspected appendicitis: a systematic review of meta-analyses of randomised controlled trials. BMC Gastroenterol. 2015;15:48–48.   
您需要登录后才可以回帖 登录 | 注册

本版积分规则

丁香叶与你快乐分享

微信公众号

管理员微信

服务时间:8:30-21:30

站长微信/QQ

← 微信/微信群

← QQ

Copyright © 2013-2025 丁香叶 Powered by dxye.com  手机版 
快速回复 返回列表 返回顶部