仿气腹25孔3单端腔镜训练箱训练用单针/双针带线【出售】-->外科训练模块总目录
「训练教具器械汇总」管理员微信/QQ12087382[问题反馈]
开启左侧

[解剖] 解剖:肝内脏硬化性胆管炎 腹膜后器官筋膜和临床

[复制链接]
发表于 2022-9-1 00:00:13 | 显示全部楼层 |阅读模式
 楼主| 发表于 2022-9-1 00:00:14 | 显示全部楼层
与腹膜后纤维化相关的硬化性胆管炎:一例多系统纤维炎症性疾病

介绍
腹膜后纤维化是一种病因不明的纤维炎症性疾病,可能与其他纤维炎症性疾病有关。最近,有几篇报道显示腹膜后纤维化是 IgG4 相关硬化性疾病的一种表现,通常表现为自身免疫性胰腺炎。

案例报告
该报告显示了与腹膜后纤维化相关的与自身免疫性胰腺炎无关的 IgG4 相关硬化性胆管炎病例。患者出现胆汁淤积性黄疸,内镜逆行胆管造影显示硬化性胆管炎。内镜胆道引流和类固醇治疗相结合是该病例的有效治疗方法。

结论
硬化性胆管炎患者应始终考虑 IgG4 相关硬化性疾病的诊断,尤其是当它与任何纤维炎症性疾病相关时。

关键词:硬化性胆管炎,腹膜后纤维化,多系统纤维炎症性疾病,IgG4相关硬化性疾病

介绍
腹膜后纤维化(也称为奥蒙德病)是一种罕见的疾病,其特征是腹膜后间隙存在纤维炎症组织,通常围绕腹主动脉和髂动脉。该病的发病机制尚不清楚。似乎自身免疫机制在慢性炎症和纤维化的诱导中起着至关重要的作用。很难说它是一个局部过程还是仅仅是一种全身性疾病的表现。腹膜后纤维化与自身免疫性疾病(例如,系统性红斑狼疮、类风湿性关节炎、血管炎、自身免疫性甲状腺疾病)和其他器官的纤维化(例如,硬化性胆管炎、眼眶假瘤、Riedel 甲状腺炎)的频繁关联表明了该疾病的全身机制。因此,一些作者认为腹膜后纤维化是多系统纤维炎症性疾病的表现之一。

最近,提出了一个新术语“IgG4 相关硬化性疾病”来描述涉及结缔组织的自身免疫性疾病组。已经在许多器官中证明了 IgG4 抗体染色的浆细胞,并提出了 IgG4 相关自身免疫性疾病的新临床病理学实体。作者认为,胆管狭窄、唾液腺炎或自身免疫性胰腺炎是由器官广泛的 IgG4 阳性浆细胞浸润以及 CD4 或 CD8 阳性 T 淋巴细胞引起的。病理性诱发组织纤维化的器官临床表现明显,其特点是激素治疗后临床改善。已在各种器官中观察到 IgG4 阳性浆细胞和 T 淋巴细胞的浸润:胰腺、胆管、胆囊、唾液腺、腹膜后、肾脏、肺和前列腺。 IgG4 相关硬化性疾病的大多数表现与自身免疫性胰腺炎有关,但也有没有胰腺受累的病例,如本例患者。

很少有涉及胆管的奥蒙德病病例报告。在他们中的大多数人中,胆总管被包裹起来。只有个别病例出现腹膜后纤维化,累及肝内胆管,并出现硬化性胆管炎。诊断 IgG4 相关的硬化性胆管炎仍然是一个巨大的临床挑战,尤其是在与自身免疫性胰腺炎无关的情况下。它需要与原发性硬化性胆管炎(PSC)和胆管癌区分开来,因为它导致完全不同的治疗策略。在胆管造影显示硬化性胆管炎的患者中,应始终考虑此类诊断,尤其是当它与任何其他潜在的 IgG4 相关疾病共存时。诊断困难导致许多患者进行不必要的手术,其中一些患者可能没有得到适当的治疗。该报告显示了与腹膜后纤维化相关的与自身免疫性胰腺炎无关的 IgG4 相关硬化性胆管炎病例。

案例报告
2007年1月,一名51岁男子因黄疸增加数周、严重瘙痒、乏力、食欲不振和体重减轻达30公斤,于2007年1月被格但斯克医科大学消化内科和肝病科录取。前 4 个月。

他的病史对 2 年前诊断出的奥蒙德病具有重要意义。当时的疾病表现是由于尿路梗阻引起的急性肾功能衰竭。排除腹膜后纤维化的其他病因,应用激素治疗,临床效果良好。当时总 IgG 水平升高,为 27.44 g/L(5.4–20.34 g/L),但未进行 IgG4 水平评估。该患者还因桥本氏甲状腺炎而患有甲状腺功能减退症 26 年,动脉高血压 10 年。他正在使用以下药物:每天 4 毫克甲基强的松龙、每天 100 微克培哚普利和左甲状腺素。

体格检查发现有黄疸、皮肤剥落和肝肿大。腹部没有压痛。

在最初的实验室测试中,观察到以下病理(括号中的参考值):贫血——血红蛋白水平 111 g/L(140–180 g/L),红细胞沉降率 58 mm/h(2–20 mm/h) ,总胆红素 589.95 μmol/L(3.4–20.5 μmol/L),碱性磷酸酶 228 U/L(40–150 U/L)和抗 HCV 抗体的存在(后来通过 HCV RNA 检测证实)。乙型肝炎被排除在外。除碱性磷酸酶外,电解质、凝血试验、C 反应蛋白、葡萄糖和肝功能试验均在正常范围内。该患者还接受了自身免疫性肝病检测:抗中性粒细胞胞浆抗体(ANCA)、平滑肌细胞抗体(SMA)和抗线粒体抗体(AMA)均在正常范围内;抗核抗体 (ANA) 升高至 320 (<1:40),胆管抗体 (BDA) 升高至 20 (<1:5),均无特异性。入院时总 IgG 水平正常,但在住院期间注意到 IgG4 浓度升高(2.46 g/L [0.03–2.0 g/L])。除此之外,促甲状腺激素 (TSH) 血清水平升高至 36.38 μU/mL (0.34–4.94 μU/mL),游离甲状腺素 (T4) 血清水平降低至 10.18 pmol/L (9.01–19.05 pmol) /L) 在入院时进行观察。左旋甲状腺素剂量增加至150 μg/d,临床效果良好(数月后TSH水平为5.6 μU/mL,T4为14.7 pmol/L)。

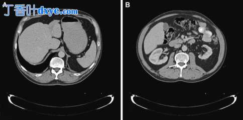
腹部超声检查显示肝肿大,肝内胆管扩张,无胆石症、胰腺或肝门肿瘤征象。腹部 CT 显示肝肿大,两个肝叶都有明显的胆汁淤积,胆囊壁增厚,主动脉腹侧有 5 毫米厚的软组织套,反映了奥蒙德病过程中的硬化变化(图 1a,b)。

与腹膜后纤维化相关的硬化性胆管炎:一例多系统纤维炎症性疾病

与腹膜后纤维化相关的硬化性胆管炎:一例多系统纤维炎症性疾病

图 1
CT显示肝肿大伴胆汁淤积,肝叶(a)和主动脉腹侧软组织套(b)

进行了内镜逆行胰胆管造影(ERCP),结果显示右肝管节段性狭窄伴狭窄后扩张(图 2)。 胆管内没有结石。 机械扩张右肝管的主要狭窄,将鼻胆管引流管和胆管支架置入右肝叶。 胰管正常。

与腹膜后纤维化相关的硬化性胆管炎:一例多系统纤维炎症性疾病

与腹膜后纤维化相关的硬化性胆管炎:一例多系统纤维炎症性疾病

图 2
ERCP 显示右肝管节段性狭窄(细箭头)伴狭窄后扩张(粗箭头)

在治疗过程中,用盐水溶液反复灌洗胆管并给予皮质类固醇(首先静脉注射甲基强的松龙,然后口服强的松)。该患者还接受了熊去氧胆酸。在胆汁培养中,存在绿色链球菌并给予阿莫西林 + 克拉维酸。

住院9天后出现发热38.5℃以上,诊断为胆管炎。胆汁培养显示鲍曼不动杆菌感染,抗生素改为亚胺培南(根据微生物敏感性试验)。进行了另一次 ERCP,显示肝内胆管多灶性狭窄。右肝管内的鼻胆管引流管更换为支架,引流管和支架置入左肝管。胆管灌洗、抗生素和糖皮质激素继续使用,临床效果良好。

胆道灌洗和激素治疗7周后,总胆红素水平为32.49 μmol/L(3.4~20.5 μmol/L),γ-谷氨酰转移酶为190 U/L(8~61 U/L),其他肝酶和实验室测试在正常范围内。在 ERCP 期间,鼻胆管引流管被胆管支架取代。随访 CT 显示仅有中度肝内胆汁淤积(图 3)。甲基强的松龙剂量逐渐减少。 6个月后更换胆道支架,此时患者一般情况良好,实验室检查无异常。

与腹膜后纤维化相关的硬化性胆管炎:一例多系统纤维炎症性疾病

与腹膜后纤维化相关的硬化性胆管炎:一例多系统纤维炎症性疾病

图 3
CT显示双叶中度肝内胆汁淤积; 肝胆管支架(箭头)

2008 年 4 月进行的另一次腹部 CT 显示,与 2007 年 1 月的 CT 相比,肝内胆汁淤积显著减少。肝左叶和肝门区域的胆管仅中度扩张。 2008年7月行ERCP,胆管支架摘除,未见胆管狭窄。 患者感觉良好; 体格检查和实验室检查均无异常。 2009 年 9 月的另一次腹部 CT 显示,腹主动脉周围的胆汁淤积和病理性肿块完全消退(图 4a、b)。 在 3 年的随访中,患者状况良好,没有疾病复发的迹象,并继续每天服用 8 mg 甲基强的松龙。

与腹膜后纤维化相关的硬化性胆管炎:一例多系统纤维炎症性疾病

与腹膜后纤维化相关的硬化性胆管炎:一例多系统纤维炎症性疾病

图 4
CT 显示胆汁淤积 (a) 和腹主动脉周围的病理性肿块 (b) 完全消退

讨论
大多数报告与胆管受累相关的腹膜后纤维化与自身免疫性胰腺炎引起的胰头水平胆总管梗阻病例有关。在这些病例报告中,临床图片和影像学研究表明诊断为胰腺癌或胆管癌,患者接受了手术治疗并进行了组织学评估。在本例患者中,内镜逆行胆管造影显示肝内和肝外胆管多处狭窄,如硬化性胆管炎。 Bartholomew 在 1960 年代和 Laitt 在 1990 年代曾报道过与腹膜后纤维化相关的硬化性胆管炎的类似病例。最近,有一些关于奥蒙德病与硬化性胆管炎相关的报道。在这些患者中,观察到 IgG 和 IgG4 水平升高,以及其他自身免疫性疾病如硬化性胰腺炎、唾液腺炎和干燥综合征并存。 2007 年,引入了一个新术语“IgG4 相关胆管炎”(IAC),指的是 IgG4 相关全身性疾病的胆道表现。 2008 年,Ghazale 提出了 IAC 诊断的 HISORT 标准。如果胆管造影显示硬化性胆管炎的特征,则应同时考虑 PSC 和 IAC 的诊断。 PSC 和 IAC 均以胆管肝内和肝外狭窄为特征。因此,胆管造影在这两种疾病中是相似的,不是区分诊断工具。 IAC 患者对类固醇治疗有反应,而 PSC 患者对类固醇耐药,最终需要肝移植。与 PSC 相比,IAC 与炎症性肠病无关,但它通常与胰腺、唾液腺、腹膜后间隙、淋巴结和肾脏等其他器官的纤维炎症变化并存。 IAC 最常与自身免疫性胰腺炎相关,但胰腺疾病对于 IAC 的诊断并不是必需的。 IAC 的特征是胆管内部或周围的组织学检查显示血清 IgG4 水平升高和淋巴浆细胞浸润(具有 >10 个 IgG4 阳性细胞/hpf)。

就的患者而言,ERCP 显示肝内胆管的多个节段性狭窄可能同时发生在 PSC 和 IAC 中。对类固醇治疗反应良好,与其他纤维炎症性疾病如腹膜后纤维化和桥本甲状腺炎有关,诊断腹膜后纤维化时血清 IgG 升高和硬化性胆管炎治疗过程中 IgG4 升高提示 IAC 的诊断。不需要手术,也没有进行胆管活检。然而,即使没有组织学检查,考虑到上述所有数据,也可以将的患者归类为 IAC 的高怀疑指数组,可以排除 PSC。许多作者将与腹膜后纤维化相关的硬化性胰腺炎描述为由多系统纤维炎症性疾病或 IgG4 相关硬化性疾病引起的“自身免疫性胰腺炎”。因此,与上述患者一样,由腹膜后纤维化引起的硬化性胆管炎病例最有可能是类固醇反应性多系统纤维炎症性疾病的胆道表现。由于完全不同的治疗策略,重要的是要挑选出这些患者并将 IAC 与 PSC 区分开来。在的患者中,进行了类固醇治疗和胆管内镜引流的组合,以尽快降低非常高的胆红素水平,并防止非常高的高胆红素血症和胆管炎的潜在致命后果。 Ghazale 等人。还进行了胆道支架术以加快黄疸的消退。问题仍然是治疗应该持续多长时间。没有关于 IAC 治疗持续时间的数据。也许,血清 IgG4 水平的重复评估可能是监测和计划继续治疗的有用标志。

对于的患者,还可以讨论硬化性胆管炎和桥本甲状腺炎之间是否存在关联,或者它们是否是巧合发生的。最近,李等人。在桥本自身免疫性甲状腺炎的纤维变体中发现了与 IgG4 相关的硬化性疾病相似的组织病理学特征。作者提出了一种新的分类,将桥本自身免疫性甲状腺炎分为两组:IgG4 甲状腺炎和非 IgG4 甲状腺炎。 IgG4甲状腺炎可能与IgG4相关的硬化性疾病密切相关。本例患者无需进行甲状腺活检;因此,无法证明它是 IgG4 甲状腺炎。然而,诊断 IAC 时甲状腺功能减退的恶化和甲状腺疾病多年稳定后需要增加左旋甲状腺素的剂量可能表明这两种自身免疫性疾病之间存在某种关联。

硬化性胆管炎患者应始终考虑 IgG4 相关硬化性疾病的诊断,尤其是当它与任何纤维炎症性疾病相关时。在上述患者的情况下,重复和复杂的内镜胆道引流与类固醇相结合被证明是一种有效且互补的治疗策略。

参考资料:
1. Vaglio A, Salvarani C, Buzio C. Retroperitoneal fibrosis. Lancet. 2006;367:241–251. doi: 10.1016/S0140-6736(06)68035-5.   
2. Van Bommel EF. Retroperitoneal fibrosis. Neth J Med. 2002;60:231–242.  
3. Kamisawa T, Funata N, Hayashi Y, Eishi Y, Koike M, Tsuruta K, Okamoto A, Egawa N, Nakajima H. A new clinicopathological entity of IgG4-related autoimmune disease. J Gastroenterol. 2003;38:982–984. doi: 10.1007/s00535-003-1175-y.   
4. Zen Y, Harada K, Sasaki M, Sato Y, Tsuneyama K, Haratake J, Kurumaya H, Katayanagi K, Masuda S, Niwa H, Morimoto H, Miwa A, Uchiyama A, Portmann B, Nakanuma Y. IgG4-related sclerosing cholangitis with and without hepatic inflammatory pseudotumor, and sclerosing pancreatitis-associated sclerosing cholangitis: do they belong to a spectrum of sclerosing pancreatitis? Am J Surg Pathol. 2004;28:1193–1203. doi: 10.1097/01.pas.0000136449.37936.6c.   
5. Kamisawa T, Okamoto A. Autoimmune pancreatitis: proposal of IgG4-related sclerosing disease. J Gastroenterol. 2006;41:613–625. doi: 10.1007/s00535-006-1862-6.   
6. Bjrnsson E, Chari ST, Smyrk TC, Lindor K. Immunoglobulin G4 associated cholangitis: description of an emerging clinical entity based on review of the literature. Hepatology. 2007;45:1547–1554. doi: 10.1002/hep.21685.   
7. Kamisawa T, Okamoto A. IgG4-related sclerosing disease. World J Gastroenterol. 2008;14:3948–3955. doi: 10.3748/wjg.14.3948.   
8. Renner IG, Ponto GC, Savage WT, Boswell WD. Idiopathic retroperitoneal fibrosis producing common bile duct and pancreatic duct obstruction. Gastroenterology. 1980;79:348–351.  
9. Remedios D, Coppen M, Bradbeer J, Theodossi A. Chronic periaortitis presenting as common bile duct obstruction. Gut. 1991;32:713–714. doi: 10.1136/gut.32.6.713.   
10. Cappell MS. Obstructive jaundice due to retroperitoneal fibrosis involving the head of the pancreas. J Clin Gastroenterol. 1994;18:53–56. doi: 10.1097/00004836-199401000-00013.   
11. Chutaputti A, Burrell MI, Boyer JL. Pseudotumor of the pancreas associated with retroperitoneal fibrosis: a dramatic response to corticosteroid therapy. Am J Gastroenterol. 1995;90:1155–1158.  
12. Pereira-Lima JC, Kromer MU, Adamek HE, Riemann JF. Cholestatic jaundice due to Ormond’s disease (primary retroperitoneal fibrosis) Hepatogastroenterology. 1996;43:992–994.  
13. Dejaco C, Ferenci P, Schober E, Kaserer K, Fugger R, Novacek G. Stenosis of the common bile duct due to Ormond’s disease: case report and review of the literature. J Hepatol. 1999;31:156–159. doi: 10.1016/S0168-8278(99)80176-7.   
14. Zhao MF, Tian Y, Guo KJ, Ma ZG, Liao HH. Common bile duct obstruction due to fibrous pseudotumor of pancreas associated with retroperitoneal fibrosis: a case report. World J Gastroenterol. 2004;10:3078–3079.   
15. Quante M, Appenrodt B, Randerath S, Wolff M, Fischer HP, Sauerbruch T. Atypical Ormond’s disease associated with bile duct stricture mimicking cholangiocarcinoma. Scand J Gastroenterol. 2009;44:116–120. doi: 10.1080/00365520802028858.   
16. Kamisawa T, Nakajima H, Egawa N, Funata N, Tsuruta K, Okamoto A. IgG4-related sclerosing disease incorporating sclerosing pancreatitis, cholangitis, sialadenitis and retroperitoneal fibrosis with lymphadenopathy. Pancreatology. 2006;6:132–137. doi: 10.1159/000090033.   
17. Fukui T, Okazaki K, Yoshizawa H, Ohashi S, Tamaki H, Kawasaki K, Matsuura M, Asada M, Nakase H, Nakashima Y, Nishio A, Chiba T. A case of autoimmune pancreatitis associated with sclerosing cholangitis, retroperitoneal fibrosis and Sj&#246;gren’s syndrome. Pancreatology. 2005;5:86–91. doi: 10.1159/000084494.   
18. Miura H, Miyachi Y. IgG4-related retroperitoneal fibrosis and sclerosing cholangitis independent of autoimmune pancreatitis: a recurrent case after a 5-year history of spontaneous remission. JOP. 2009;10:432–437.  
19. Bartholomew LG, Cain JC, Woolner LB, Utz DC, Ferris DO. Sclerosing cholangitis: its possible association with Riedel’s struma and fibrous retroperitonitis. Report of two cases. N Engl J Med. 1963;269:8–12. doi: 10.1056/NEJM196307042690102.   
20. Laitt RD, Hubscher SG, Buckels JA, Darby S, Elias E. Sclerosing cholangitis associated with multifocal fibrosis: a case report. Gut. 1992;33:1430–1432. doi: 10.1136/gut.33.10.1430.   
21. Ghazale A, Chari ST, Zhang L, Smyrk TC, Takahashi N, Levy MJ, Topazian MD, Clain JE, Pearson RK, Petersen BT, Vege SS, Lindor K, Farnell MB. Immunoglobulin G4-associated cholangitis: clinical profile and response to therapy. Gastroenterology. 2008;134:706–715.  
22. Nakazawa T, Ohara H, Sano H, Ando T, Aoki S, Kobayashi S, Okamoto T, Nomura T, Joh T, Itoh M. Clinical differences between primary sclerosing cholangitis and sclerosing cholangitis with autoimmune pancreatitis. Pancreas. 2005;30:20–25.  
23. Kamisawa T, Egawa N, Tsuruta K, Okamoto A, Funata N. Primary sclerosing cholangitis may be overestimated in Japan. J Gastroenterol. 2005;40:318–319. doi: 10.1007/s00535-004-1543-2.   
24. Nakanuma Y, Zen Y. Pathology and immunopathology of immunoglobulin G4-related sclerosing cholangitis: the latest addition to the sclerosing cholangitis family. Hepatol Res. 2007;37:S478–S486. doi: 10.1111/j.1872-034X.2007.00243.x.   
25. Li Y, Nishihara E, Hirokawa M, Taniguchi E, Miyauchi A, Kakudo K. Distinct clinical, serological and sonographic characteristics of Hashimoto’s thyroiditis based with and without IgG4-positive plasma cells. J Clin Endocrinol Metab. 2010;95:1309–1317. doi: 10.1210/jc.2009-1794.   
26. Li Y, Bai Y, Liu Z, Ozaki T, Taniguchi E, Mori I, Nagayama K, Nakamura H, Kakudo K. Immunohistochemistry of IgG4 can help subclassify Hashimoto’s autoimmune thyroiditis. Pathol Int. 2009;59:636–641. doi: 10.1111/j.1440-1827.2009.02419.x.   
您需要登录后才可以回帖 登录 | 注册

本版积分规则

丁香叶与你快乐分享

微信公众号

管理员微信

服务时间:8:30-21:30

站长微信/QQ

← 微信/微信群

← QQ

Copyright © 2013-2026 丁香叶 Powered by dxye.com  手机版 
快速回复 返回列表 返回顶部