仿气腹25孔3单端腔镜训练箱训练用单针/双针带线【出售】-->外科训练模块总目录
「训练教具器械汇总」管理员微信/QQ12087382[问题反馈]
开启左侧

一名青少年患者出现MIS-C和阑尾炎临床表现重叠的病例报告

[复制链接]
发表于 2022-5-6 00:00:45 | 显示全部楼层 |阅读模式

马上注册,结交更多好友,享用更多功能,让你轻松玩转社区。

您需要 登录 才可以下载或查看,没有账号?注册

×
背景
腹痛和其他胃肠道症状是儿童多系统炎症综合征 (MIS-C) 的常见表现特征,并且可能与感染性或炎症性腹部疾病重叠,使得准确诊断具有挑战性。

案例展示
描述了一名 16 岁女性的病例,她出现提示阑尾炎的临床症状,腹部计算机断层扫描 (CT) 显示与阑尾炎有关的特征。腹腔镜阑尾切除术后,阑尾组织病理学仅显示轻度浆膜炎症,与急性阑尾炎不符。她的整体临床表现被认为与 MIS-C 一致,随后她通过免疫调节和类固醇治疗得到改善。

结论
注意到 MIS-C 可以模拟急性阑尾炎。该病例强调 MIS-C 是腹部影像学检查的原因,具有与阑尾炎相关的特征,对于有阑尾炎样症状和 COVID-19 IgG 阳性的患者,应在鉴别诊断时考虑 MIS-C。实验室标准,特别是低正常白细胞计数和血小板减少症,似乎在区分 MIS-C 和急性阑尾炎方面具有高度相关性,即使在放射学上阑尾扩张时也是如此。

关键词:阑尾炎,阑尾切除术,MIS-C,COVID-19,放射学阑尾炎模拟物

背景
与成人相比,对儿童 2019 年冠状病毒病 (COVID-19) 的研究表明,其临床病程总体温和,结果更有利。然而,有一部分儿科患者会出现儿童多系统炎症综合征 (MIS-C),这是一种与近期感染严重急性呼吸综合征冠状病毒 2 (SARS-CoV- 2)。这些患者可能表现出川崎病的特征、全身炎症的迹象、终末器官功能障碍和休克。实验室特征包括炎症标志物升高、淋巴细胞减少、中性粒细胞增多和血小板减少。高烧、皮疹、结膜炎、严重腹痛和颈部疼痛,以及 SARS-CoV-2 暴露史是 MIS-C 的“危险信号”。

高达 84% 的 MIS-C 患者以胃肠道症状(腹痛、恶心、呕吐、腹泻)为主要表现特征。一些报告描述了 MIS-C 患者,其表现与手术诊断有关,提示腹部成像和/或手术干预。在本病例报告中,描述了一名青少年,其 MIS-C 的表现包括阑尾炎的临床和放射学体征,但阑尾切除术为阴性。

案例展示
一名既往健康的 16 岁女性因腹痛、呕吐、发烧、头痛、肌痛和咳嗽四天就诊。她在转诊急诊科的初始生命体征是体温 39.4°C,脉搏 154,呼吸频率 16,血压 115/61,血氧饱和度 96%。体格检查明显苍白和右下腹 (RLQ) 腹部压痛,无防护或反跳。初始实验室检测显著白细胞 (WBC) 计数 5.8 10^3/uL(参考范围 4-10.5),中性粒细胞 93%,血红蛋白 11.9 g/dL (12-15),血小板 102 10^3/uL (150 –450),C 反应蛋白 11 mg/dL (0–1.0),红细胞沉降率 26 mm/hr (0–20),降钙素原 0.50 ng/mL (<0.09)。尿hCG阴性。尿液分析显示微量白细胞酯酶(阴性)、阴性亚硝酸盐和 1-5 个 WBC(0)。腹部/骨盆的增强计算机断层扫描 (CT) 显示肠系膜水肿、阑尾扩张 (8mm) 以及整个下腹部和骨盆的脂肪绞合。她接受了两次静脉注射 (IV) 液体丸剂、抗热剂并被转移到的儿科医院。

抵达后,儿科手术团队对她进行了评估,认为她的表现与急性阑尾炎不一致。进一步的病史和检查显示,除了 RLQ 疼痛外,她还有轻微的双侧结膜充血和颈部压痛,一个月前的 SARS-CoV-2 聚合酶链反应 (PCR) 检测呈阳性(她没有症状,但由于几个家庭原因接受了检测成员检测呈阳性)。

获得了关注 MIS-C 的其他实验室,这些实验室对 SARS-CoV-2 IgG 抗体测试阳性和正常肌钙蛋白和 N 端脑钠肽前体具有重要意义。考虑到发烧、SARS-CoV-2 IgG 阳性、炎症的实验室证据和多系统受累,她住院以进一步监测和治疗 MIS-C。

一夜之间,患者持续发热和心动过速。她还报告说 RLQ 疼痛增加,并表现出新的腹部反跳痛。主治儿科放射科医生对先前 CT 的回顾得出结论,该影像学与急性阑尾炎一致,因为阑尾扩张,测量 8 毫米,阑尾黏膜轻度增强和邻近肠系膜脂肪绞合(图 1)。与儿科手术重新讨论了患者的护理,多学科团队一起无法明确排除阑尾炎作为并发病理学。虽然 MIS-C 的诊断通常需要排除其他病因,但人们认为她可能同时患有阑尾炎和 MIS-C。阑尾炎的经验性治疗以哌拉西林-他唑巴坦开始。手术团队审查了持续使用抗生素与诊断性腹腔镜检查和阑尾切除术的非手术治疗的风险和益处。选择手术治疗。获得超声心动图以评估心脏受累情况,显示心脏功能正常,冠状动脉无扩张。住院第 2 天,她在急性病床上保持稳定,并要求静脉注射免疫球蛋白 (IVIG) 和阿司匹林治疗 MIS-C。然而,考虑到手术可以将她带到手术室的时间,她首先接受了诊断性腹腔镜检查和阑尾切除术。发现她的阑尾基本正常,没有炎症提示阑尾炎(图 2)。由于外科医生对阑尾炎的术中“眼球”评估并不完美,并且在进行腹腔镜检查时阑尾切除术的风险很低,因此决定完成阑尾切除术。组织学发现仅显示轻度慢性浆膜炎症和水肿间皮;它没有显示阑尾炎的透壁急性炎症诊断。停用哌拉西林-他唑巴坦,患者返回急诊室进行术后监测,并使用 IVIG 输注(2 g/kg)和阿司匹林(81 mg)进行 MIS-C 治疗。

一名青少年患者出现MIS-C和阑尾炎临床表现重叠的病例报告

一名青少年患者出现MIS-C和阑尾炎临床表现重叠的病例报告

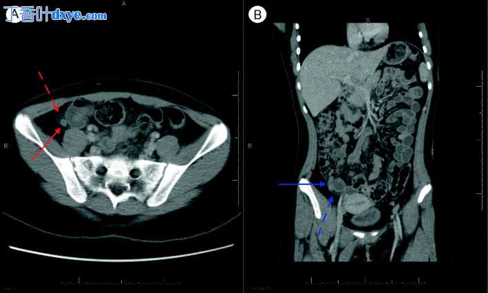
图 1
CT 腹部/骨盆。 (A) 阑尾(红色实线箭头)壁厚>3mm。 腔内空气不足,阑尾积液深度>2.6mm,高密度。 红色虚线箭头显示阑尾周围脂肪绞合。 (B) 直径 8 毫米(蓝色实线箭头)伴有炎症性脂肪绞合(蓝色虚线箭头),在盲肠周围最为明显

一名青少年患者出现MIS-C和阑尾炎临床表现重叠的病例报告

一名青少年患者出现MIS-C和阑尾炎临床表现重叠的病例报告

图 2
术中照片显示阑尾大体正常,无炎症迹象

在住院第三天,她完成了 IVIG 治疗,她的血压和发烧曲线得到了改善。重复实验室显示淋巴细胞减少症、贫血症、血小板减少症和低白蛋白血症恶化。随后,她出现了液体复苏难治的心动过速和低血压,并考虑到难治性 MIS-C,她开始接受皮质类固醇治疗(2 mg/kg,每天两次)。她被转移到重症监护病房并开始使用去甲肾上腺素 (0.02 mcg/kg/min) 进行血液动力学支持,她需要 24 小时。患者情况稳定,然后在接下来的两天内随着全血细胞减少症的改善被转移回急诊室。住院第 7 天,她出院回家,情况稳定,完成了一个低剂量阿司匹林和类固醇逐渐减量的疗程。

在她出院后 4 周的心脏随访预约中,她没有症状,但超声心动图显示左右冠状动脉适度扩张,心室功能正常。她每天服用阿司匹林,并密切跟踪心脏病学以监测她冠状动脉受累的进展。

讨论和结论
人们越来越认识到 COVID-19 和 MIS-C 患者的胃肠道受累。一些病例报告描述了出现典型阑尾炎症状的患者,这些患者也被发现感染了 SARS-CoV-2 病毒或符合 MIS-C 的诊断。研究表明,大多数患有 MIS-C 的儿童会出现胃肠道 (GI) 症状。对于有胃肠道症状和近期SARS-CoV-2暴露或感染史的患者,MIS-C应具有高度的差异性,即使这些发现似乎与其他胃肠道疾病,如阑尾炎、感染或炎症性肠病(IBD)一致。

目前的病例表明 MIS-C 在一名接受阴性阑尾切除术的患者的 CT 上与急性阑尾炎的放射学相似。之前的一份报告描述了一个 MIS-C 病例,其在临床和超声成像上与阑尾炎相似,在开始使用 IVIG 和类固醇治疗之前,需要静脉注射抗生素和手术(开放式阑尾切除术和切除发炎的回肠段)。病理学未显示阑尾炎,但确实显示坏死性肠系膜淋巴管炎和血管炎。在 SARS-CoV-2 阳性 PCR 的情况下,南非的一个系列描述了 4 名患有阑尾炎的儿童,经手术结果证实。其中三名儿童在阑尾切除术后被诊断出 MIS-C。其他病例系列描述了急性 SARS-CoV-2 感染情况下的阑尾炎。此外,在 COVID-19 大流行期间发现未感染 SARS-CoV-2 的儿童的阑尾穿孔率增加,这可能是由于不愿到医院进行评估。在 COVID-19 和 MIS-C 中看到的高炎症状态可能在肠道受累的发病机制中起作用。与川崎病和胃肠道表现(包括阑尾炎)有类似的已知关联。其他人假设在肠道,尤其是回肠末端表达的血管紧张素转换酶 2 (ACE2) 受体的促成作用,允许 SARS-CoV-2 侵入胃肠细胞。

的患者有一些阑尾炎表现,伴有 RLQ 压痛、发热、恶心、呕吐和食欲下降。阑尾炎患儿可能不存在许多典型的阑尾炎体征(发热、厌食、恶心、警惕和疼痛从脐部转移到 RLQ);这些发现也可能存在于阑尾炎以外的疾病中。多达 20% 的阑尾炎患者没有白细胞增多,而的患者最初的 WBC 计数正常。

患者的 CT 有关于急性阑尾炎的发现。 CT对阑尾炎的敏感性为94%,特异性为95%。 CT 假阳性的原因包括阑尾肿瘤、IBD、囊性纤维化、病毒感染和输卵管卵巢感染。在一项 MIS-C 影像学检查结果的研究中,腹部影像学显示少量腹水 (38%)、肝肿大 (38%)、肾脏回声 (31%)、肠壁增厚 (19%)、胆囊壁增厚 (19% )、肠系膜淋巴结肿大 (13%)、脾肿大 (6%) 和膀胱壁增厚 (16%)。 CT上的阑尾扩张和脂肪绞合,阑尾炎的诊断并存在于的患者中,以前没有描述过。

仅使用抗生素的非手术治疗在治疗急性单纯性阑尾炎方面非常成功,符合严格的纳入标准,并且是该患者的一个重要考虑因素。然而,在与 IVIG 和类固醇同时治疗 MIS-C 的情况下,抗生素治疗阑尾炎的成功尚不清楚,目前文献中没有可用的结果数据。此外,考虑到患者的腹部症状很可能会在 MIS-C(独立于阑尾炎的诊断)下持续存在,研究小组担心他们将无法可靠地跟踪她的腹部检查以确定她的阑尾炎是否得到了充分治疗用抗生素。

虽然患者的临床表现和影像学检查结果需要进行手术评估,但她的手术和病理结果最终与阑尾炎不一致。实验室标准可能有助于区分 MIS-C 和急性阑尾炎——特别是淋巴细胞减少、血小板减少和 WBC 计数异常正常。的患者有进行性淋巴细胞减少和血小板减少,不符合阑尾炎的典型表现。

MIS-C 患者可出现急性阑尾炎的特征性表现,包括 RLQ 疼痛、发热、恶心、呕吐、厌食和阑尾炎的影像学证据。 这对临床医生提出了诊断挑战。 尽管在 CT 证据的情况下难以排除阑尾炎,但某些实验室标准,即相对白细胞减少和血小板减少可能有助于区分这些患者。 然而,在 MIS-C 治疗中使用免疫调节剂可能会使潜在阑尾炎患者的护理复杂化,尽管临床怀疑阑尾炎的可能性较低,但阑尾切除术仍可能是风险最低的选择。

参考资料:
1. Mehta NS, Mytton OT, Mullins EWS, et al. SARS-CoV-2 (COVID-19): What Do We Know About Children? A Systematic Review. Clin Infect Dis. 2020;71(9):2469–2479. doi: 10.1093/cid/ciaa556.   
2. Henderson LA, Canna SW, Friedman KG, et al. American College of Rheumatology Clinical Guidance for Multisystem Inflammatory Syndrome in Children Associated With SARS–CoV‐2 and Hyperinflammation in Pediatric COVID‐19: Version 2. Arthritis Rheumatol. 2021;73:e13–e29. doi: 10.1002/art.41616.   
3. Dufort EM, Koumans EH, Chow EJ, et al. Multisystem Inflammatory Syndrome in Children in New York State. New Engl J Med. 2020;383(4):347–358. doi: 10.1056/NEJMoa2021756.   
4. Lee PY, Day-Lewis M, Henderson LA, et al. Distinct clinical and immunological features of SARS-CoV-2-induced multisystem inflammatory syndrome in children. J Clin Invest. 2020;130(11):5942–5950. doi: 10.1172/JCI141113.   
5. Carlin RF, Fischer AM, Pitkowsky Z, et al. Discriminating Multisystem Inflammatory Syndrome in Children Requiring Treatment from Common Febrile Conditions in Outpatient Settings. J Pediatr. 2021;229:26–32. doi: 10.1016/j.jpeds.2020.10.013.   
6. Nakra N, Blumberg D, Herrera-Guerra A, Lakshminrusimha S. Multi-System Inflammatory Syndrome in Children (MIS-C) Following SARS-CoV-2 Infection: Review of Clinical Presentation, Hypothetical Pathogenesis, and Proposed Management. Children. 2020;7(7):69. doi: 10.3390/children7070069.   
7. Miller J, Cantor A, Zachariah P, Ahn D, Martinez M, Margolis KG. Gastrointestinal Symptoms as a Major Presentation Component of a Novel Multisystem Inflammatory Syndrome in Children That Is Related to Coronavirus Disease 2019: A Single Center Experience of 44 Cases. Gastroenterology. 2020;159(4):1571–1574. doi: 10.1053/j.gastro.2020.05.079.   
8. Tullie L, Ford K, Bisharat M, et al. Gastrointestinal features in children with COVID-19: an observation of varied presentation in eight children. Lancet Child Adolesc Health. 2020;4(7):e19–e20. doi: 10.1016/S2352-4642(20)30165-6.   
9. Jackson RJ, Chavarria HD, Hacking SM. A Case of Multisystem Inflammatory Syndrome in Children Mimicking Acute Appendicitis in a COVID-19 Pandemic Area. Cureus. 2020;12:e10722.   
10. Meyer JS, Robinson G, Moonah S, et al. Acute appendicitis in four children with SARS-CoV-2 infection. J Pediatr Surg Case Rep. 2021;64:101734. doi: 10.1016/j.epsc.2020.101734.   
11. Suwanwongse K, Shabarek N. Pseudo-Appendicitis in an Adolescent With COVID-19. Cureus. 2020;12:e9394.   
12. Abdalhadi A, Alkhatib M, Mismar AY, Awouda W, Albarqouni L. Can COVID 19 present like appendicitis? IDCases. 2020:e00860.  
13. Jackson RJ, Chavarria HD, Hacking SM. A Case of Multisystem Inflammatory Syndrome in Children Mimicking Acute Appendicitis in a COVID-19 Pandemic Area. Cureus. 2020;12(9):e10722.   
14. Lishman J, Kohler C, de Vos C, et al. Acute Appendicitis in Multisystem Inflammatory Syndrome in Children With COVID-19. Pediatr Infect Dis J. 2020;39(12):e472–e473. doi: 10.1097/INF.0000000000002900.   
15. Place R, Lee J, Howell J. Rate of Pediatric Appendiceal Perforation at a Children's Hospital During the COVID-19 Pandemic Compared With the Previous Year. JAMA Netw Open. 2020;3(12):e2027948. doi: 10.1001/jamanetworkopen.2020.27948.   
16. Garnett GM, Kimball S, Melish ME, et al. Appendicitis as the presenting manifestation of Kawasaki disease. Pediatr Surg Int. 2014;30(5):549–552. doi: 10.1007/s00383-013-3439-9.   
17. Gwendolyn M, Sarah K, Melish ME, et al. Appendicitis as the presenting manifestation of Kawasaki disease. Pediatric Surg Int. 2014;30(5):549–552. doi: 10.1007/s00383-013-3439-9.   
18. Ni W, Yang X, Yang D, et al. Role of angiotensin-converting enzyme 2 (ACE2) in COVID-19. Crit Care. 2020;24(1):422. doi: 10.1186/s13054-020-03120-0.   
19. Glass CC, Rangel SJ. Overview and diagnosis of acute appendicitis in children. Semin Pediatr Surg. 2016;25(4):198–203. doi: 10.1053/j.sempedsurg.2016.05.001.   
20. Dietz KR, Merrow AC, Podberesky DJ, Towbin AJ. Beyond acute appendicitis: imaging of additional pathologies of the pediatric appendix. Pediatr Radiol. 2013;43(2):232–242. doi: 10.1007/s00247-012-2565-1.   
21. Blumfield E, Levin TL, Kurian J, Lee EY, Liszewski MC. Imaging Findings in Multisystem Inflammatory Syndrome in Children (MIS-C) Associated With Coronavirus Disease (COVID-19) Am J Roentgenol. 2021;216(2):507–517. doi: 10.2214/AJR.20.24032.   
22. Minneci PC, Hade EM, Lawrence AE, et al. Association of Nonoperative Management Using Antibiotic Therapy vs Laparoscopic Appendectomy With Treatment Success and Disability Days in Children With Uncomplicated Appendicitis. JAMA. 2020;324(6):581–593. doi: 10.1001/jama.2020.10888.   
您需要登录后才可以回帖 登录 | 注册

本版积分规则

丁香叶与你快乐分享

微信公众号

管理员微信

服务时间:8:30-21:30

站长微信/QQ

← 微信/微信群

← QQ

Copyright © 2013-2025 丁香叶 Powered by dxye.com  手机版 
快速回复 返回列表 返回顶部