仿气腹25孔3单端腔镜训练箱训练用单针/双针带线【出售】-->外科训练模块总目录
「训练教具器械汇总」管理员微信/QQ12087382[问题反馈]
开启左侧

[神经] 脑膜瘤联合岩骨入路

[复制链接]
发表于 2022-1-17 00:00:19 | 显示全部楼层 |阅读模式
 楼主| 发表于 2022-1-17 00:00:20 | 显示全部楼层
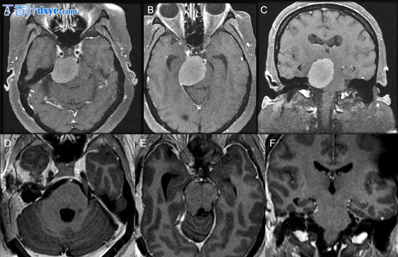
岩斜脑膜瘤位于颅底深处,邻近重要的神经血管结构,是一种难以对付的病变。岩骨联合入路包括岩骨前部切除术和迷路后岩骨后部切除术,允许岩斜区肿瘤在幕上和幕下暴露,同时可能保留听力功能(图1)。在这份手术视频图谱手稿中,作者展示了一种通过岩骨联合入路显微手术切除岩斜脑膜瘤的分步技术。显微外科和颅底技术的细微差别包括岩骨钻孔、天幕横切、肿瘤切除和硬膜缺损的多层重建。岩骨联合入路允许多个迎角,包括颞下和乙状窦前走廊。总之,岩骨联合入路加内镜辅助是岩斜脑膜瘤手术切除器械中的一项重要策略(图2)。

脑膜瘤联合岩骨入路

脑膜瘤联合岩骨入路

图 1 (A, B) 术前钆后 T1 加权轴位 (A 和 B) 和冠状位 (C) MRI 显示右侧岩斜脑膜瘤伴严重脑干受压和脑积水。 (D, E) 术后 3 个月钆后 T1 加权轴位 (D 和 E) 和冠状位 (F) MRI 显示肿瘤大体全切除成功,脑干减压和再扩张。 脑积水通过脑室腹腔分流术解决。 核磁共振,磁共振成像。

脑膜瘤联合岩骨入路

脑膜瘤联合岩骨入路

图 2 (A) 右侧联合岩入路的术中照片,显示重要的解剖标志。 从左到右,从上到下:中颅窝(MFD)、上半规管(SSC)、外侧半规管(LSC)、面神经(FN)、后半规管(PSC)、后颅窝(PFD)、 乙状窦(SS)。 (B) 通过联合岩骨暴露观察位于颅神经 VII 和 VIII 头侧的肿瘤。
您需要登录后才可以回帖 登录 | 注册

本版积分规则

丁香叶与你快乐分享

微信公众号

管理员微信

服务时间:8:30-21:30

站长微信/QQ

← 微信/微信群

← QQ

Copyright © 2013-2025 丁香叶 Powered by dxye.com  手机版 
快速回复 返回列表 返回顶部