仿气腹25孔3单端腔镜训练箱训练用单针/双针带线【出售】-->外科训练模块总目录
「训练教具器械汇总」管理员微信/QQ12087382[问题反馈]
开启左侧

肝包虫囊肿

[复制链接]
发表于 2021-9-25 00:00:42 | 显示全部楼层 |阅读模式

马上注册,结交更多好友,享用更多功能,让你轻松玩转社区。

您需要 登录 才可以下载或查看,没有账号?注册

×
介绍
努力治疗腹痛。

患者数据
年龄:35岁
性别:男

CT
1.jpeg
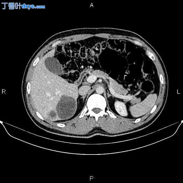
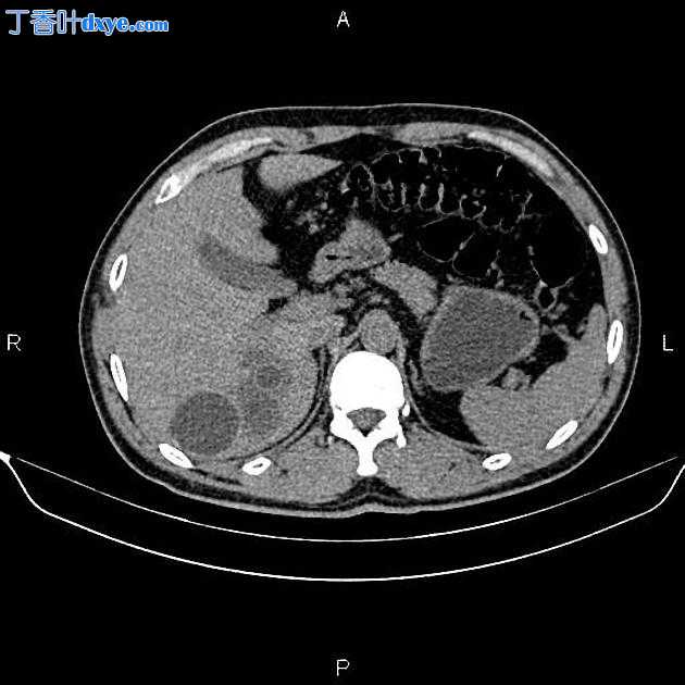
Axial non-contrast

2.jpeg
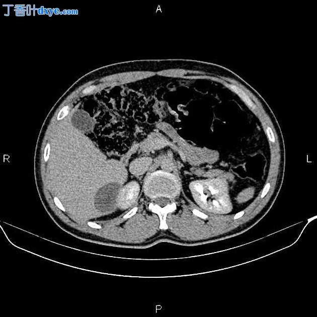
Axial C+ arterial phase

3.jpeg
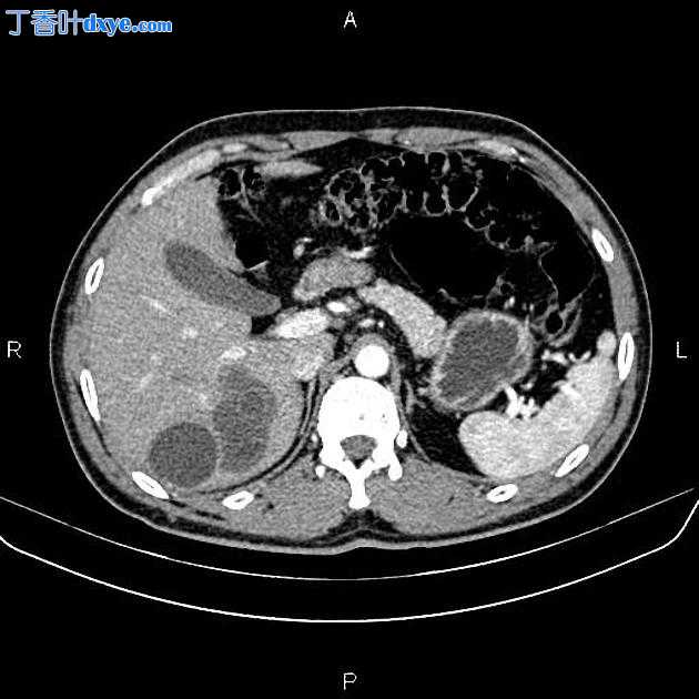
Axial C+ portal venous phase

4.jpeg
Axial C+ delayed

5.jpeg
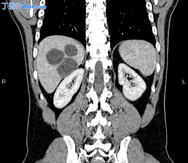
Coronal C+ portal venous phase

6.jpeg
Sagittal C+ portal venous phase

在右肝叶小于 55 mm 处可见三个相邻的厚壁囊性病变。

此外,还描绘了一个直径为 15 毫米的低密度肝病灶,位于第 4 肝段(Couinaud 的命名法),显示早期外周、结节状强化和向心性充盈。特征与血管瘤最相容。

案例讨论
患者接受了肝囊肿切除术,组织病理学评估证实肝包虫囊肿。

肝包虫病是由棘球绦虫引起的一种寄生虫病。在肝脏中,两种物质被认为会导致人类疾病:

细粒棘球绦虫
棘球绦虫

有关一般性讨论和其他系统特定表现的链接,请参阅有关包虫病的文章。有关归因于多房肠球菌感染的侵袭模式的更具体讨论,请参阅关于肺泡棘球蚴病的文章。

病理
细粒大肠杆菌是北美和澳大利亚的地方病,常见于肝脏。它通常形成一个球形的、纤维状边缘的囊肿,几乎没有(如果有的话)周围宿主反应。传统上,它有一个大的父囊肿,其中存在许多外围子囊肿。卫星子囊肿(在父囊肿之外)经常出现(约 16% 的病例)。
E. granulosus 有两种形式:

田园:最常见的形式; 家犬是主要宿主
栖息于森林的:狼或狗是主要宿主
E. multilocularis 终宿主(成虫)是赤狐(Vulpes vulpes)(有时也包括猫和狗),人类是偶然的中间宿主。 它广泛分布于整个北半球。
您需要登录后才可以回帖 登录 | 注册

本版积分规则

丁香叶与你快乐分享

微信公众号

管理员微信

服务时间:8:30-21:30

站长微信/QQ

← 微信/微信群

← QQ

Copyright © 2013-2025 丁香叶 Powered by dxye.com  手机版 
快速回复 返回列表 返回顶部