仿气腹25孔3单端腔镜训练箱训练用单针/双针带线【出售】-->外科训练模块总目录
「训练教具器械汇总」管理员微信/QQ12087382[问题反馈]
开启左侧

肺及腹部结核

[复制链接]
发表于 2021-9-19 15:52:54 | 显示全部楼层 |阅读模式

马上注册,结交更多好友,享用更多功能,让你轻松玩转社区。

您需要 登录 才可以下载或查看,没有账号?注册

×
介绍
腹痛和体重减轻

患者数据
年龄:30岁
性别:男

CT
1.jpeg
Axial lung window

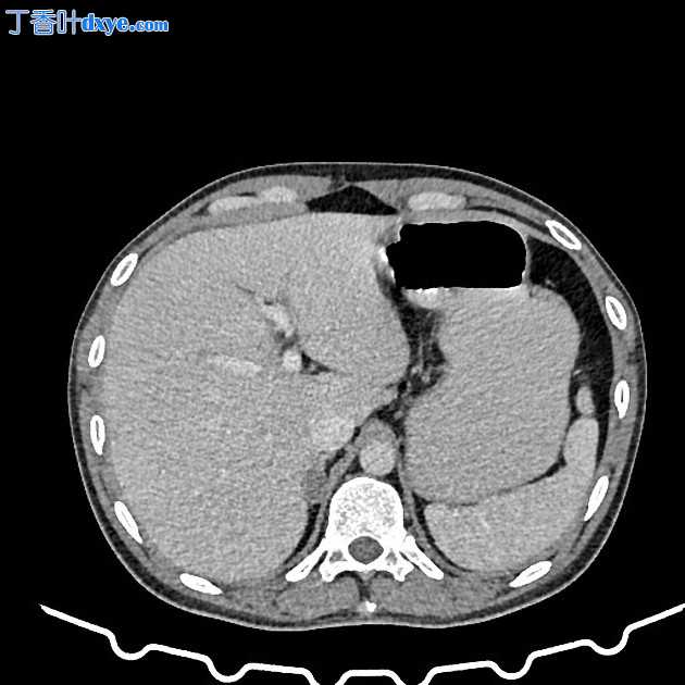
2.jpeg
Axial C+ portal venous phase

该研究揭示了盲肠、末端、回肠远端同心增厚和变窄,回盲连接部向上拉,导致近端小肠袢扩张。

多发小肠系膜淋巴结可见明显的周围水肿和脂肪搁浅。右髂窝也可见肠系膜血管突出。

几乎没有其他可疑的粘膜充血/壁增厚区域涉及回肠。

右侧骨盆可见轻度游离液体。

右肾上极可见界限不清的低密度区,上、中极肾盏张开、受压。右肾盂可见外周高密度不规则软组织,延伸至肾盂输尿管交界处,导致轻微肾积水。在右侧骨盆输尿管交界处/上输尿管的排泄期可见造影剂轻度滞留。

左肾及输尿管无异常。

双侧肾上腺扩大,分叶状轮廓和对比后研究中的异质增强。

双侧肺的可视化切片显示两侧有多个微小的小叶中心结节。

案例讨论
盲肠、末端、回肠远端同心增厚和变窄,回盲连接部向上拉,导致近端小肠袢扩张,与回盲部结核一致。

右肾上极不明确的低密度区,上、中极花萼张开、受压。右肾盂外周高密度不规则软组织,向上延伸至肾盂输尿管交界处,导致轻微肾积水。在右侧骨盆输尿管交界处/上输尿管的排泄期可见造影剂轻度滞留,类似肾乳头状坏死,可能为结核性。其他炎症病因的可能性较小。

双侧肾上腺增大,轮廓分叶,对比后研究显示异质增强,提示肾上腺结核。

双肺的可视化切片显示两侧有多个微小的小叶中心结节,可能是肺结核。

在结核病流行的国家,这个病例表明结核病涉及多系统。
您需要登录后才可以回帖 登录 | 注册

本版积分规则

丁香叶与你快乐分享

微信公众号

管理员微信

服务时间:8:30-21:30

站长微信/QQ

← 微信/微信群

← QQ

Copyright © 2013-2025 丁香叶 Powered by dxye.com  手机版 
快速回复 返回列表 返回顶部