仿气腹25孔3单端腔镜训练箱训练用单针/双针带线【出售】-->外科训练模块总目录
「训练教具器械汇总」管理员微信/QQ12087382[问题反馈]
开启左侧

[病历讨论] 出血性静脉梗死伴静脉致密征

[复制链接]
发表于 2021-8-25 00:30:01 | 显示全部楼层 |阅读模式

马上注册,结交更多好友,享用更多功能,让你轻松玩转社区。

您需要 登录 才可以下载或查看,没有账号?注册

×
介绍
头痛

患者数据
年龄:55 岁
性别:男

CT
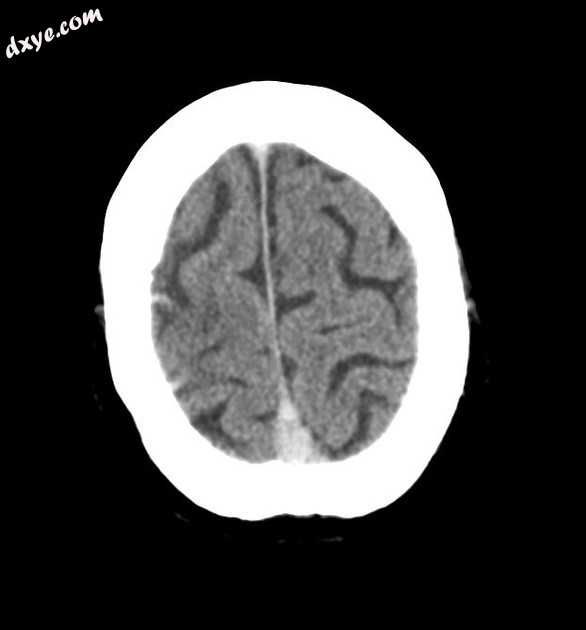
1.jpeg
右额叶可见出血。

右侧皮层浅静脉(Trolard 静脉)、上矢状窦、直窦高密度,符合致密静脉征。

案例讨论
CT结果显示出血性病灶伴致密静脉征,提示出血性静脉梗塞。

脑静脉梗塞是一种罕见的中风形式,最常继发于脑静脉血栓形成,并经常表现为出血。在与典型动脉区域不对应的梗塞(有或无出血)中应考虑它。

流行病学
在静脉窦血栓形成后易发生静脉梗塞/出血的患者中,没有发现特殊因素。有关流行病学和危险因素的一般性讨论,请参阅有关脑窦血栓形成的文章。

还应考虑静脉阻塞的其他原因(硬脑膜 AVF、外伤、结扎)。

临床表现
如果存在广泛水肿,就诊可能导致局灶性神经功能缺损或占位效应/脑积水的症状。如果意识水平迅速下降或颅神经麻痹,应考虑影响脑干的深静脉梗塞。

病理
多达 50% 的静脉窦血栓会发展为梗塞和/或出血。
发表于 2021-9-3 11:31:56 | 显示全部楼层
出血性静脉梗死伴静脉致密征
您需要登录后才可以回帖 登录 | 注册

本版积分规则

丁香叶与你快乐分享

微信公众号

管理员微信

服务时间:8:30-21:30

站长微信/QQ

← 微信/微信群

← QQ

Copyright © 2013-2025 丁香叶 Powered by dxye.com  手机版 
快速回复 返回列表 返回顶部