仿气腹25孔3单端腔镜训练箱训练用单针/双针带线【出售】-->外科训练模块总目录
「训练教具器械汇总」管理员微信/QQ12087382[问题反馈]
开启左侧

急性胰腺炎

[复制链接]
发表于 2021-9-7 00:30:02 | 显示全部楼层 |阅读模式

马上注册,结交更多好友,享用更多功能,让你轻松玩转社区。

您需要 登录 才可以下载或查看,没有账号?注册

×
介绍
腹痛。

患者数据
年龄:80 岁
性别:男

CT
1.jpeg
Axial non-contrast

2.jpeg
Axial C+ portal venous phase

3.jpeg
Axial C+ delayed

4.jpeg
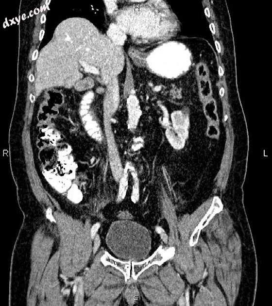
Coronal C+ portal venous phase

5.jpeg
Sagittal C+ portal venous phase

存在肝脏和右侧膈肌之间的结肠,推断 Chilaiditi 征。

胆囊内可见多颗小结石。

胰腺相对于患者年龄而言是突出的,建议进行胰周脂肪搁浅。

在远端胃小弯和胰腺转向架之间注意到一个 20 × 15 mm 明确定义的软组织密度肿块。小胃 GIST 可能在鉴别表中提示。

双肾可见少数非强化的单纯皮质囊肿,最大直径为28mm。

前列腺增大。

在腰椎处看到骨赘形成的退行性变化。
L5 椎骨被骶化。
L5 上 L4 的 I 级脊椎滑脱伴有双侧脊椎滑脱。

案例讨论
特征与急性胰腺炎相容。为患者检查淀粉酶和脂肪酶并显示显着升高。

急性胰腺炎是胰腺的一种急性炎症,是一种可能危及生命的疾病。

术语
根据修订的亚特兰大分类,急性胰腺炎有两种亚型:

间质性水肿性胰腺炎
绝大多数(90-95%)
通常简称为“急性胰腺炎”或“无并发症的胰腺炎”

坏死性胰腺炎
胰腺和/或胰周组织发生坏死

流行病学
受急性胰腺炎影响的患者的人口统计学反映了潜在原因,其中有很多(见下文病理学)。

诊断
急性胰腺炎的诊断通常基于临床标准或结合临床和影像学特征。
您需要登录后才可以回帖 登录 | 注册

本版积分规则

丁香叶与你快乐分享

微信公众号

管理员微信

服务时间:8:30-21:30

站长微信/QQ

← 微信/微信群

← QQ

Copyright © 2013-2025 丁香叶 Powered by dxye.com  手机版 
快速回复 返回列表 返回顶部