仿气腹25孔3单端腔镜训练箱训练用单针/双针带线【出售】-->外科训练模块总目录
「训练教具器械汇总」管理员微信/QQ12087382[问题反馈]
开启左侧

胆囊腺癌

[复制链接]
发表于 2020-11-21 11:00:09 | 显示全部楼层 |阅读模式

马上注册,结交更多好友,享用更多功能,让你轻松玩转社区。

您需要 登录 才可以下载或查看,没有账号?注册

×
介绍
腹部疼痛和肿块感。

患者资料
年龄:70岁
性别:男

CT
1.jpeg
轴向C +动脉期

2.jpeg
轴向C +门静脉

3.jpeg
轴向C +延迟

4.jpeg
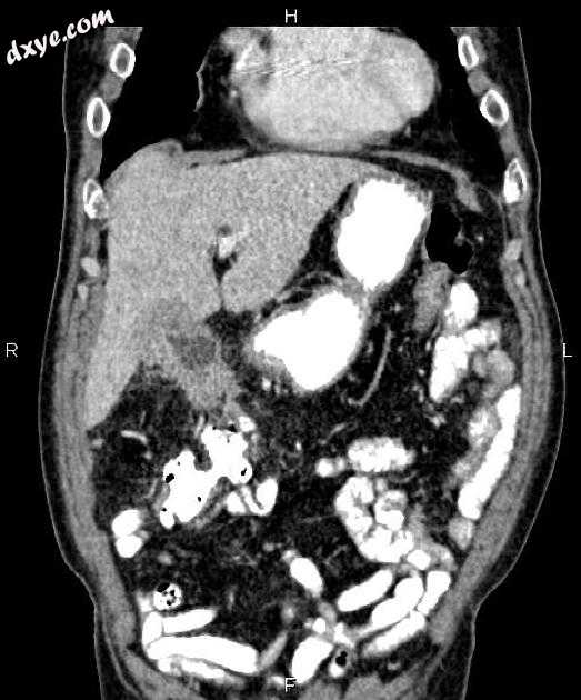
冠状C +门静脉期

5.jpeg
矢状C +门静脉期

胆囊体和底存在不对称的壁厚增加。邻近的肝实质中存在轻度异质增强,提示局部浸润。另外,在相邻区域观察到脂肪滞留和肿瘤沉积。

案例讨论
经路径证实的胆囊腺癌。

胆囊癌是指由胆囊引起的原发性上皮恶性肿瘤的术语,其中绝大多数(90%)为腺癌,其余为鳞状细胞癌。它们在老年妇女中更普遍,并且在大多数情况下,只有在晚期时才有症状。

在成像时,它们可表现为局灶性腔内肿块,局灶性或弥漫性胆囊壁不规则增厚,或大块病变,可代替整个胆囊。描绘出具有一定程度侵犯邻近结构或转移性疾病的肿瘤并不少见。

流行病学
胆囊腺癌虽然总体上并不常见,但它是最常见的原发性胆道癌,也是胃肠道恶性肿瘤的第五位。

主要影响患有长期胆囊结石症的老年人,因此在老年妇女(> 60岁,F:M比率= 4:1)中最常见。

临床表现
在疾病的早期,患者总是无症状的,因此通常错过了治疗窗口。最终,出现症状,此时肿块通常无法切除。

临床表现取决于肿块延伸的方向。如果发生胆道梗阻,通常首先出现黄疸。如果恶性肿瘤位于胆囊的体或底,则延伸到肝脏或邻近结肠或小肠会分别导致局部疼痛或肠梗阻。

其他症状包括右上腹疼痛,体重减轻和厌食。

病理
胆囊癌病例中有90%以上是腺癌,大多数与慢性炎症性化生和发育异常有关。鳞状细胞癌是第二类最常见的胆囊癌组织学类型(占所有胆囊原发性恶性肿瘤的3%)。
您需要登录后才可以回帖 登录 | 注册

本版积分规则

丁香叶与你快乐分享

微信公众号

管理员微信

服务时间:8:30-21:30

站长微信/QQ

← 微信/微信群

← QQ

Copyright © 2013-2026 丁香叶 Powered by dxye.com  手机版 
快速回复 返回列表 返回顶部