仿气腹25孔3单端腔镜训练箱训练用单针/双针带线【出售】-->外科训练模块总目录
「训练教具器械汇总」管理员微信/QQ12087382[问题反馈]
开启左侧

骨纤维异常增生

[复制链接]
发表于 2020-2-27 00:01:02 | 显示全部楼层 |阅读模式

马上注册,结交更多好友,享用更多功能,让你轻松玩转社区。

您需要 登录 才可以下载或查看,没有账号?注册

×
纤维异常增生是一种正常的骨骼和骨髓被纤维组织所替代的疾病,导致骨骼形成薄弱并易于扩张。 结果,大多数并发症是由骨折,畸形,功能障碍和疼痛引起的。[1] 疾病的发生范围很广,从无症状的偶发性病变到严重的致残性疾病。 疾病可以影响一根骨头(单侧骨),多根骨头(多骨侧骨)或所有骨头(全骨骨骨)[2] [3],可以单独发生或与咖啡因皮肤黄斑和功能亢进的内分泌病变结合发生,被称为McCune–Albright综合征。 [1] 纤维异常增生很少与肌肉内粘液瘤有关,称为马扎布鲁氏综合征。[4] 纤维异常增生非常罕见,尚无治愈方法。 纤维异常增生不是癌症的一种形式。

Micrograph showing fibrous dysplasia with the characteristic thin, irregular (Ch.jpg
显微照片显示纤维增生,特征是骨小梁稀薄,不规则(汉字状)和纤维化骨髓腔。 H&E染色。

内容
1 介绍
2 病理生理学
3 诊断
4 治疗
5 参考

介绍

Fibrous dysplasia of the right zygomatic bone (left in the image). Corresponding.jpg
右侧骨的纤维异常增生(图中左侧)。同一患者的相应的T2加权MRI(左)和CT(右)。
纤维异常增生是一种镶嵌疾病,可能涉及颅面,腋窝和/或阑尾骨骼的任何部分或组合。[5]因此,并发症的类型和严重程度取决于受影响骨骼的位置和程度。临床范围非常广泛,从偶然发现的孤立的,无症状的单灶性病变到实际上涉及整个骨骼并导致视力,听力和/或活动能力丧失的严重致残性疾病。

个别的骨病变通常在生命的头几年出现,并在儿童时期扩大。到10岁,绝大多数具有临床意义的骨病变都是可检测到的,而15岁以后几乎没有新出现且几乎没有临床意义的骨病变出现。[6]全身闪烁扫描有助于鉴别和确定骨病变的程度,对所有怀疑有纤维异常增生的患者均应进行全身扫描。[1]

附属骨骼中有纤维异常增生的儿童通常表现为跛行,疼痛和/或病理性骨折。频繁的骨折和进行性畸形可能导致下床困难和活动能力受损。在颅面骨骼中,纤维性异型增生可表现为无痛的“肿块”或面部不对称。颅面病变扩大可能会导致进行性面部畸形。在极少数情况下,患者可能会因视神经和/或听觉通道受损而出现视力和/或听力丧失,这在患有McCune-Albright综合征且生长激素过多的患者中更为常见。[7]纤维异常增生通常累及脊柱,并可能导致脊柱侧凸,在极少数情况下可能很严重。[8]未经治疗的进行性脊柱侧弯是纤维异常增生的少数特征之一,可导致早期死亡。

骨痛是纤维异常增生的常见并发症。它可能存在于任何年龄,但最常见于青春期并发展到成年期。[5]

纤维不典型增生中的骨髓基质细胞产生过量的磷酸盐调节激素成纤维细胞生长因子-23(FGF23),导致尿液中磷酸盐的丢失。[9] 低磷血症患者可能会出现病/骨软化,骨折加重和骨痛。[10]

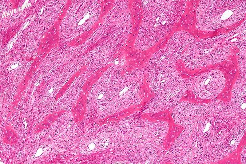
Micrograph of fibrous dysplasia (right of image) jutxaposed with unaffected bone.jpg
与未受影响的骨头并列的纤维异常增生的显微照片(图右侧)。 H&E染色
病理生理学
纤维异型增生是由GNAS基因在20q13.2-q13.3的合子后激活突变引起的一种镶嵌疾病,该突变编码Gs G偶联蛋白受体的α亚基。[11]在骨骼中,组成型Gsα信号传导结果削弱了骨髓基质细胞的分化和增殖。[12]这些细胞的增殖导致正常的骨骼和骨髓被纤维组织替代。骨小梁异常薄且不规则,通常被比作汉字(活检时为骨针)。

纤维异常增生不是遗传性的,从未发生过由父母传给孩子的情况。

诊断
X射线泡状溶解性病变/毛玻璃成像测试。可以使用计算机断层扫描或MRI扫描来确定您的骨骼受到的影响程度。骨扫描。该测试使用放射性示踪剂,这些示踪剂被注入您的血液中。骨骼的受损部分占据了更多的示踪剂,这些示踪剂在扫描中显示得更加明亮。活检。该测试使用空心针去除一小块受影响的骨头,以进行实验室分析。

治疗
纤维异常增生的治疗主要为姑息性治疗,重点在于控制骨折和预防畸形。没有能够改变疾病进程的药物静脉注射双膦酸盐可能有助于治疗骨痛,但尚无明确证据表明它们可以增强骨病变或预防骨折。[13] [14]对其他疾病有效的手术技术,例如骨移植,刮除术,钢板和螺钉,在纤维异常增生中通常无效,应该避免。[15] [16]通常首选髓内棒来治疗下肢的骨折和畸形。[16]渐进性脊柱侧弯通常可以使用标准的器械和融合技术进行治疗。[17]颅面部骨骼的外科手术治疗由于术后FD再生长而变得复杂,应集中在功能性畸形的矫正上。[18]预防性视神经减压会增加视力丧失的风险,因此禁用。[19]

内分泌病的管理是FD中管理的重要组成部分。应该对所有纤维异常增生患者进行评估,并治疗与McCune-Albright综合征相关的内分泌疾病。尤其是未经治疗的生长激素过量可能会加剧颅面纤维异常增生,并增加失明的风险。[20]未经治疗的低磷血症会增加骨痛和骨折风险。[21]

另见
McCune–Albright syndrome
Cherubism
Dysplasia
参考
Boyce, Alison M.; Collins, Michael T. (1993-01-01). Pagon, Roberta A.; Adam, Margaret P.; Ardinger, Holly H.; Wallace, Stephanie E.; Amemiya, Anne; Bean, Lora JH; Bird, Thomas D.; Fong, Chin-To; Mefford, Heather C. (eds.). Fibrous Dysplasia/McCune-Albright Syndrome. Seattle (WA): University of Washington, Seattle. PMID 25719192.
Cole DE; Fraser FC; Glorieux FH; Jequier S; Marie PJ; Reade TM; Scriver CR (14 Apr 1983). "Panostotic fibrous dysplasia: a congenital disorder of bone with unusual facial appearance, bone fragility, hyperphosphatasemia, and hypophosphatemia". American Journal of Medical Genetics (4 ed.). 14: 725–35. Retrieved 19 Sep 2019.
Leslie WD; Reinhold C; Rosenthall L; Tau C; Glorieux FH (July 1992). "Panostotic fibrous dysplasia. A new craniotubular dysplasia". Clinical Nuclear Medicine (7 ed.). 17: 556–60.
Cabral, C. E.; Guedes, P.; Fonseca, T.; Rezende, J. F.; Cruz Júnior, L. C.; Smith, J. (1998-05-01). "Polyostotic fibrous dysplasia associated with intramuscular myxomas: Mazabraud's syndrome". Skeletal Radiology. 27 (5): 278–282. doi:10.1007/s002560050381. ISSN 0364-2348. PMID 9638839.
Kelly, M. H.; Brillante, B.; Collins, M. T. (2008-01-01). "Pain in 骨纤维异常增生: age-related changes and the anatomical distribution of skeletal lesions". Osteoporosis International. 19 (1): 57–63. doi:10.1007/s00198-007-0425-x. ISSN 0937-941X. PMID 17622477.
Hart, Elizabeth S.; Kelly, Marilyn H.; Brillante, Beth; Chen, Clara C.; Ziran, Navid; Lee, Janice S.; Feuillan, Penelope; Leet, Arabella I.; Kushner, Harvey (2007-09-01). "Onset, progression, and plateau of skeletal lesions in fibrous dysplasia and the relationship to functional outcome". Journal of Bone and Mineral Research. 22 (9): 1468–1474. doi:10.1359/jbmr.070511. ISSN 0884-0431. PMID 17501668.
Cutler, Carolee M.; Lee, Janice S.; Butman, John A.; FitzGibbon, Edmond J.; Kelly, Marilyn H.; Brillante, Beth A.; Feuillan, Penelope; Robey, Pamela G.; DuFresne, Craig R. (2006-11-01). "Long-term outcome of 视神经 encasement and 视神经 decompression in patients with fibrous dysplasia: risk factors for blindness and safety of observation". Neurosurgery. 59 (5): 1011–1017, discussion 1017–1018. doi:10.1227/01.NEU.0000254440.02736.E3. ISSN 1524-4040. PMID 17143235.
Leet, Arabella I.; Magur, Edward; Lee, Janice S.; Wientroub, Shlomo; Robey, Pamela G.; Collins, Michael T. (2004-03-01). "Fibrous dysplasia in the spine: prevalence of lesions and association with scoliosis". The Journal of Bone and Joint Surgery. American Volume. 86-A (3): 531–537. ISSN 0021-9355. PMID 14996879.
Riminucci, Mara; Collins, Michael T.; Fedarko, Neal S.; Cherman, Natasha; Corsi, Alessandro; White, Kenneth E.; Waguespack, Steven; Gupta, Anurag; Hannon, Tamara (2003-09-01). "FGF-23 in 骨纤维异常增生 and its relationship to renal phosphate wasting". The Journal of Clinical Investigation. 112 (5): 683–692. doi:10.1172/JCI18399. ISSN 0021-9738. PMC 182207. PMID 12952917.
Leet, Arabella I.; Chebli, Caroline; Kushner, Harvey; Chen, Clara C.; Kelly, Marilyn H.; Brillante, Beth A.; Robey, Pamela G.; Bianco, Paolo; Wientroub, Shlomo (2004-04-01). "Fracture incidence in polyostotic fibrous dysplasia and the McCune-Albright syndrome". Journal of Bone and Mineral Research. 19 (4): 571–577. doi:10.1359/JBMR.0301262. ISSN 0884-0431. PMID 15005844.
Weinstein, L. S.; Shenker, A.; Gejman, P. V.; Merino, M. J.; Friedman, E.; Spiegel, A. M. (1991-12-12). "Activating mutations of the stimulatory G protein in the McCune-Albright syndrome". The New England Journal of Medicine. 325 (24): 1688–1695. doi:10.1056/NEJM199112123252403. ISSN 0028-4793. PMID 1944469.
Riminucci, M.; Fisher, L. W.; Shenker, A.; Spiegel, A. M.; Bianco, P.; Gehron Robey, P. (1997-12-01). "骨纤维异常增生 in the McCune-Albright syndrome: abnormalities in bone formation". The American Journal of Pathology. 151 (6): 1587–1600. ISSN 0002-9440. PMC 1858361. PMID 9403710.
Plotkin, Horacio; Rauch, Frank; Zeitlin, Leonid; Munns, Craig; Travers, Rose; Glorieux, Francis H. (2003-10-01). "Effect of pamidronate treatment in children with polyostotic 骨纤维异常增生". The Journal of Clinical Endocrinology and Metabolism. 88 (10): 4569–4575. doi:10.1210/jc.2003-030050. ISSN 0021-972X. PMID 14557424.
Boyce, Alison M.; Kelly, Marilyn H.; Brillante, Beth A.; Kushner, Harvey; Wientroub, Shlomo; Riminucci, Mara; Bianco, Paolo; Robey, Pamela G.; Collins, Michael T. (2014-11-01). "A randomized, double blind, placebo-controlled trial of alendronate treatment for 骨纤维异常增生". The Journal of Clinical Endocrinology and Metabolism. 99 (11): 4133–4140. doi:10.1210/jc.2014-1371. ISSN 1945-7197. PMC 4223439. PMID 25033066.
Leet, Arabella I.; Boyce, Alison M.; Ibrahim, Khalda A.; Wientroub, Shlomo; Kushner, Harvey; Collins, Michael T. (2016-02-03). "Bone-Grafting in Polyostotic Fibrous Dysplasia". The Journal of Bone and Joint Surgery. American Volume. 98 (3): 211–219. doi:10.2106/JBJS.O.00547. ISSN 1535-1386. PMC 4732545. PMID 26842411.
Stanton, Robert P.; Ippolito, Ernesto; Springfield, Dempsey; Lindaman, Lynn; Wientroub, Shlomo; Leet, Arabella (2012-05-24). "The surgical management of 骨纤维异常增生". Orphanet Journal of Rare Diseases. 7 Suppl 1: S1. doi:10.1186/1750-1172-7-S1-S1. ISSN 1750-1172. PMC 3359959. PMID 22640754.
Leet, Arabella I.; Magur, Edward; Lee, Janice S.; Wientroub, Shlomo; Robey, Pamela G.; Collins, Michael T. (2004-03-01). "Fibrous dysplasia in the spine: prevalence of lesions and association with scoliosis". The Journal of Bone and Joint Surgery. American Volume. 86-A (3): 531–537. ISSN 0021-9355. PMID 14996879.
Lee, J. S.; FitzGibbon, E. J.; Chen, Y. R.; Kim, H. J.; Lustig, L. R.; Akintoye, S. O.; Collins, M. T.; Kaban, L. B. (2012-05-24). "Clinical guidelines for the management of craniofacial fibrous dysplasia". Orphanet Journal of Rare Diseases. 7 Suppl 1: S2. doi:10.1186/1750-1172-7-S1-S2. ISSN 1750-1172. PMC 3359960. PMID 22640797.
Amit, Moran; Collins, Michael T.; FitzGibbon, Edmond J.; Butman, John A.; Fliss, Dan M.; Gil, Ziv (2011-01-01). "Surgery versus watchful waiting in patients with craniofacial fibrous dysplasia--a meta-analysis". PLOS ONE. 6 (9): e25179. doi:10.1371/journal.pone.0025179. ISSN 1932-6203. PMC 3179490. PMID 21966448.
Boyce, Alison M.; Glover, McKinley; Kelly, Marilyn H.; Brillante, Beth A.; Butman, John A.; Fitzgibbon, Edmond J.; Brewer, Carmen C.; Zalewski, Christopher K.; Cutler Peck, Carolee M. (2013-01-01). "Optic neuropathy in McCune-Albright syndrome: effects of early diagnosis and treatment of growth hormone excess". The Journal of Clinical Endocrinology and Metabolism. 98 (1): E126–134. doi:10.1210/jc.2012-2111. ISSN 1945-7197. PMC 3537097. PMID 23093488.
Leet, Arabella I.; Chebli, Caroline; Kushner, Harvey; Chen, Clara C.; Kelly, Marilyn H.; Brillante, Beth A.; Robey, Pamela G.; Bianco, Paolo; Wientroub, Shlomo (2004-04-01). "Fracture incidence in polyostotic fibrous dysplasia and the McCune-Albright syndrome". Journal of Bone and Mineral Research. 19 (4): 571–577. doi:10.1359/JBMR.0301262. ISSN 0884-0431. PMID 15005844.
您需要登录后才可以回帖 登录 | 注册

本版积分规则

丁香叶与你快乐分享

微信公众号

管理员微信

服务时间:8:30-21:30

站长微信/QQ

← 微信/微信群

← QQ

Copyright © 2013-2026 丁香叶 Powered by dxye.com  手机版 
快速回复 返回列表 返回顶部