仿气腹25孔3单端腔镜训练箱训练用单针/双针带线【出售】-->外科训练模块总目录
「训练教具器械汇总」管理员微信/QQ12087382[问题反馈]
开启左侧

中弓韧带综合征致胰十二指肠动脉动脉瘤,开腹手术及腹腔镜手术治疗

[复制链接]
发表于 2020-1-9 15:27:51 | 显示全部楼层 |阅读模式

马上注册,结交更多好友,享用更多功能,让你轻松玩转社区。

您需要 登录 才可以下载或查看,没有账号?注册

×
摘要
介绍
腹部内脏动脉瘤的可能原因很多,包括正中弓状韧带(MAL)阻塞腹腔动脉。作者报告了由于手术治疗的MAL综合征导致的胰十二指肠动脉瘤2例。

案例介绍
病例1:一名66岁的日本妇女被诊断患有胰十二指肠下动脉的动脉瘤破裂。由于血管内治疗的困难,作者进行了紧急手术。作者选择了腹部手术,术后过程平稳。案例2:一名75岁的日本男子在 院就诊,出现剧烈的腹痛,恶心和冷汗。作者在案例1中治疗MAL综合征的经验使作者能够准确地诊断出该疾病。作者选择了腹腔镜手术,术后过程平稳。

讨论区
由于MAL综合征,胰腺十二指肠动脉瘤有几种治疗选择。作者仅进行了MAL的释放以进行治疗,但是很难下结论仅释放MAL是否足以确保长期的阳性预后。在这种情况下,需要定期进行追踪。

结论
腹腔镜手术可以被认为是MAL综合征的一种选择。

1.简介
腹部内脏动脉瘤很少见,约占所有动脉瘤的1%。据报道,腹腔内脏动脉瘤占脾动脉的60%,肝动脉占20%,肠系膜上动脉占10%,胰十二指肠动脉占2%[1]。腹部内脏动脉瘤破裂预后较差;脾动脉死亡率为25%,肝动脉死亡率为35%,胰十二指肠动脉死亡率为50%。胰十二指肠动脉的动脉瘤有几种可能的原因:动脉硬化,胰腺炎,创伤,纤维肌增生异常,节段性动脉中膜溶解以及正中弓形韧带(MAL)引起的腹腔动脉狭窄或阻塞。 MAL位于主动脉裂孔的前面,当腹腔动脉根部受到MAL压缩时,会发生“ MAL综合症”。 MAL综合征的临床特征是慢性餐后腹痛,上腹bru音和体重减轻[2]。

MAL综合征的第一份报告是1963年由Harjola和1965年由Dunbar提出的[3]。 MAL综合征每10,000名患者中有2名[4],并且在年轻人和瘦弱的女性中更为常见。 MAL的较低水平(尤其是在呼气期间)或腹腔动脉的较高水平(或两者)均可导致MAL综合征,该综合征可能具有非特异性症状,从而使诊断变得困难。动脉瘤破裂有时显示MAL综合征。

在这里,作者报道了通过外科手术成功治疗了由MAL综合征引起的胰十二指肠动脉瘤的两例病例。第一位患者接受了剖腹手术,另一位患者接受了腹腔镜手术。腹腔镜手术的有用性已有报道,包括对临床改善更快,并发症更少,恢复快和美容效果良好的描述[5]。

2.案例1
案例1是一名66岁的日本妇女,她曾在另一家医院出现急性腹痛,她在被送往医院之前洗了澡时就经历了这种情况。她的生命体征表明休克(收缩压为70mmHg),CT扫描显示腹膜内出血。她被转移到作者医院。她没有明显的病史。入院时,她的体温为37.4°C,脉搏为118bpm / min。

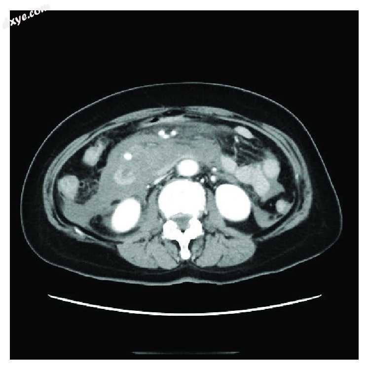
进行液体复苏后,患者的血压为129/94。实验室检查结果显示轻微的白细胞增多(15,600 /μl)和贫血(9.9g / dl)。 CT扫描显示大量腹水和动脉瘤(图1)。血管构造检查显示了胰十二指肠下动脉(IPDA)的动脉瘤和腹腔动脉根的狭窄(图2)。然后,作者进行了血管造影(图3),它也显示了IPDA的动脉瘤。作者尝试了线圈栓塞术,但是由于插入导管困难,作者中止了栓塞术,而是决定进行手术。作者以前没有MAL综合征的经验,鉴于紧急情况,作者选择了腹部手术。

1.jpg
图1
病例1:一名66岁的女性,CT扫描显示大量腹水和动脉瘤。

2.jpg
图2
病例1:血管构造检查显示了胰十二指肠下动脉(IPDA;箭头)的动脉瘤和腹腔动脉根的狭窄(箭头)。

3.jpg
图3
案例1:显示IPDA动脉瘤的血管造影。

作者进行了腹部正中切片,并可以看到腹腔内出血。在十二指肠,胰腺和横结肠周围的后腹膜中观察到过多的出血。 IPDA是胰腺下缘的血管拱廊,有10mm的动脉瘤。作者通过围手术期超声检查证实了动脉瘤的存在,结扎了进料器,并取出了动脉瘤。

为了防止动脉瘤破裂,作者尝试切除MAL。拍打左胃动脉后,作者观察到腹腔动脉被MAL所覆盖。作者一点一点地切除了MAL,并确认了左胃动脉搏动的增加。将引流管放在左下侧和胰腺下侧后,作者闭合了腹部切口的伤口。手术时间为4小时27分钟,失血量为1800ml。病人在术后第8天开始就餐。术后过程平稳,在第22住院日出院。 CT扫描显示3年内无动脉瘤复发。

3.案例2
案例2是一名75岁的日本男子,他在作者医院出现了急性腹痛,恶心和冷汗。他的CT扫描显示腹膜后出血(胰腺和升结肠的背侧周围)。他的总体情况稳定,但作为保守措施入院。他的血管造影(入院后6天)显示胰腺十二指肠动脉瘤无活动性出血。

作者在案例1中治疗MAL综合征的经验使作者能够在案例2中准确诊断疾病。MAL综合征也是该患者动脉瘤的原因(图4)。 作者根据MAL综合征和这种手术的好处选择了腹腔镜手术。 病人的手术姿势是截石位。 保持腹腔内压力为12mmHg。 套管针的要点如下:肚脐处有一个12mm的套管针,相机的上腹部有2个12mm的套管针,左上腹部的有12mm的套管针和5mm的套管针(图5)。

4.jpg
图4
案例2:CT扫描显示MAL导致的腹腔动脉根部结构(箭头)。

5.jpg
图5
病例2(一名75岁的男性)在腹腔镜手术中的套管针放置位置。

首先,作者通过外科手术缝合线将肝脏的脐带韧带抬起,然后将器官牵开器放到肱骨小头上,以改善视野。打开网膜囊后,作者用蛇形牵开器提起胃,观察胃的背面。作者确认左胃动脉并用胶带绑住。从右侧的套管针中取出胶带,然后助手将其拉出以牵引手术区域。在腹腔动脉根部之后,通过MAL固定动脉。作者使用血管密封系统将MAL一点一点切开,直到明确确认了腹腔动脉的行进方向。使用血液流量计,作者确认了左胃动脉的血流有所改善(从5mm / min到69mm / min)。在左下侧放置引流管,并切开腹部切口的伤口。手术时间为3小时35分钟,出血量最小为15ml。患者的CT扫描显示2年内无动脉瘤复发。

4.讨论
通过MAL综合征形成IPDA的动脉瘤的机制之一如下。 (1)MAL压缩腹腔动脉,(2)减少流向肝脏或脾脏的血流,(3)为弥补这种减少,肠系膜上动脉的血流增加, IPDA的流程。 IPDA不太厚,不能承受太多的血液流动。

但是,尚不清楚MAL综合征的确切机制[6]。计划进行胰十二指肠切除术(PD)的患者应考虑MAL。在PD中,由于胰十二指肠拱廊的切除,腹腔受压动脉是导致严重肝胆并发症的原因。 MAL大约存在。计划进行PD的患者术前CT检查的10%[7]。

由于MAL综合征而导致的胰十二指肠动脉瘤的治疗方法有多种选择:手术(开放式,腹腔镜或机器人辅助[8,9]),腹腔干线支架置入术和动脉瘤的线圈栓塞术。在情况1中,由于难以插入胰十二指肠动脉导管而无法通过血管内手术进行治疗。因此,外科医生必须准备随时进行急诊手术以治疗动脉瘤。

腹腔镜手术治疗MAL综合征的最早描述发表于2000年[10]。此后,几项研究探讨了腹腔镜治疗MAL综合征的优势:临床快速改善,并发症少,恢复快,术后粘连率降低以及良好的美容效果[4-11]。但是,腹腔镜手术存在不利方面。在9.1%的腹腔镜组中,由于出血而需要进行开放式转换[4]。根据情况,必须进行剖腹手术以治疗MAL综合征。

在作者的两名患者中,作者仅进行了一次MAL的释放作为治疗,并且没有动脉瘤复发。其他研究描述了通过手术和血管成形术将血管置入支架以防止复发[5,12,13]。由于作者的患者自手术后(2年和3年)的时间相对较短,因此得出结论,仅MAL的释放就足以取得良好的长期预后还为时过早。在案例2中,作者检查了左胃动脉血流的改善情况。如果尚未证实这种改善,则可能需要重建腹腔动脉。在类似情况下,需要定期进行追踪。

5.结论
根据作者的经验,腹腔镜手术可以治疗MAL综合征。外科医生应熟悉MAL综合征的病理生理及其适当的治疗方法。

参考
Aneurysms of Pancreaticoduodenal Artery due to Median Arcuate Ligament Syndrome, Treated by Open Surgery and Laparoscopic Surgery
1. Stanley J. C., Wakefield T. W., Graham L. M., Whitehouse W. M., Jr., Zelenock G. B., Lindenauer S. M. Clinical importance and management of splanchnic artery aneurysms. Journal of Vascular Surgery. 1986;3(5):836–840. doi: 10.1016/0741-5214(86)90059-5.   
2. Horton K. M., Talamini M. A., Fishman E. K. Median arcuate ligament syndrome: evaluation with CT angiography. RadioGraphics. 2005;25(5):1177–1182. doi: 10.1148/rg.255055001.   
3. Dunbar J. D., Molnar W., Beman F. F., Marable S. A. Compression of the celiac trunk and abdominal angina. American Journal of Roentgenology. 1965;95(3):731–744. doi: 10.2214/ajr.95.3.731.   
4. Duran M., Simon F., Ertas N., Schelzig H., Floros N. Open vascular treatment of median arcuate ligament syndrome. BMC Surgery. 2017;17(1):p. 95. doi: 10.1186/s12893-017-0289-8.   
5. Michalik M., Dowgiałło-Wnukiewicz N., Lech P., Majda K., Gutowski P. Hybrid (laparoscopy + stent) treatment of celiac trunk compression syndrome (Dunbar syndrome, median arcuate ligament syndrome (MALS)) Videosurgery and Other Miniinvasive Techniques. 2016;4(4):236–239. doi: 10.5114/wiitm.2016.64070.   
6. Kotarac M., Radovanovic N., Lekic N., et al. Surgical treatment of median arcuate ligament syndrome: 病例报告 and review of literature. Srpski Arhiv za Celokupno Lekarstvo. 2015;143(1-2):74–78. doi: 10.2298/SARH1502074K.   
7. Guilbaud T., Ewald J., Turrini O., Delpero J. R. Pancreaticoduodenectomy: secondary stenting of the celiac trunk after inefficient median arcuate ligament release and reoperation as an alternative to simultaneous hepatic artery reconstruction. World Journal of Gastroenterology. 2017;23(5):919–925. doi: 10.3748/wjg.v23.i5.919.   
8. Do M. V., Smith T. A., Bazan H. A., Sternbergh W. C., Abbas A. E., Richardson W. S. Laparoscopic versus robot-assisted surgery for median arcuate ligament syndrome. Surgical Endoscopy. 2013;27(11):4060–4066. doi: 10.1007/s00464-013-3061-x.   
9. You J. S., Cooper M., Nishida S., Matsuda E., Murariu D. Treatment of median arcuate ligament syndrome via traditional and robotic techniques. Hawaii Journal of Medicine & Public Health. 2013;72(8):279–281.   
10. Roayaie S., Jossart G., Gitlitz D., Lamparello P., Hollier L., Gagner M. Laparoscopic release of celiac artery compression syndrome facilitated by laparoscopic ultrasound scanning to confirm restoration of flow. Journal of Vascular Surgery. 2000;32(4):814–817. doi: 10.1067/mva.2000.107574.   
11. Weber J. M., Boules M., Fong K., et al. Median arcuate ligament syndrome is not a vascular disease. Annals of Vascular Surgery. 2016;30:22–27. doi: 10.1016/j.avsg.2015.07.013.   
12. Tulloch A. W., Jimenez J. C., Lawrence P. F., et al. Laparoscopic versus open celiac ganglionectomy in patients with median arcuate ligament syndrome. Journal of Vascular Surgery. 2010;52(5):1283–1289. doi: 10.1016/j.jvs.2010.05.083.   
13. Rubinkiewicz M., Ramakrishnan P. K., Henry B. M., Roy J., Budzyski A. Laparoscopic decompression as treatment for median arcuate ligament syndrome. The Annals of The Royal College of Surgeons of England. 2015;97(6):e96–e99. doi: 10.1308/rcsann.2015.0025.   
您需要登录后才可以回帖 登录 | 注册

本版积分规则

丁香叶与你快乐分享

微信公众号

管理员微信

服务时间:8:30-21:30

站长微信/QQ

← 微信/微信群

← QQ

Copyright © 2013-2025 丁香叶 Powered by dxye.com  手机版 
快速回复 返回列表 返回顶部