仿气腹25孔3单端腔镜训练箱训练用单针/双针带线【出售】-->外科训练模块总目录
「训练教具器械汇总」管理员微信/QQ12087382[问题反馈]
开启左侧

腹腔镜脾切除术治疗孤立性结节病一例

[复制链接]
发表于 2019-12-8 16:00:04 | 显示全部楼层 |阅读模式

马上注册,结交更多好友,享用更多功能,让你轻松玩转社区。

您需要 登录 才可以下载或查看,没有账号?注册

×
摘要
介绍
孤立的脾结节病因其稀有性而难以诊断。腹腔镜脾切除术已成为患有实体脾病变的患者进行治疗诊断的金标准,因为穿刺活检会导致出血和结扎。

案例介绍
一名59岁的女性因腹部超声检查显示脾脏异常积聚而被转诊至 院。增强型计算机断层扫描显示了三个异类增强的结节。磁共振成像在T2加权图像上显示低结节性结节。最初的诊断是纤维错构瘤或炎性假瘤。在大约4个月后,脾结节增大,进行了诊断性腹腔镜脾切除术,无并发症。组织病理学上,脾结节包含无干酪样的肉芽肿,包括上皮样细胞,多核巨细胞和小行星包涵体。术后检查没有发现其他器官受累,最后的诊断是孤立的脾结节病。术后2年无复发迹象,不需要全身治疗。

结论
放射线影像学研究不足以鉴别诊断结节病中的脾脏病变与其他疾病,而腹腔镜脾切除术的侵入性较小,可以作为诊断方法的一部分。

关键词:结节病,腹腔镜,脾切除术,病例报告

1.引言
结节病是一种来源不明的全身性疾病,其特征是存在非干酪样肉芽肿性病变[1]。一种得到广泛支持的假设指出,结节病是具有遗传易感性的患者对各种普遍存在的环境触发因素的免疫反应的结果[2]。结节病的表现形式差异很大,影响到所有种族和民族背景的个体,并且可以在任何年龄发生。超过90%的受影响患者在诊断时具有肺部表现[3]。肺外受累通常发生在有肺受累的情况下,而结节病的孤立性肺外表现很少见,仅在10%的患者中发生[4]。特别地,由于其稀有性,孤立的脾结节病难以诊断。在表现为脾实性病变的患者中,除了脾结节病以外,鉴别诊断还可能包括淋巴瘤,肿瘤转移,血管肉瘤,纤维性错构瘤和炎性假瘤[5]。可能需要进行活检以明确诊断。针头活检会导致出血和道播种;因此,腹腔镜脾切除术已成为治疗诊断的标准方法。在此,作者报道了一名原发性脾结节病患者,该患者经腹腔镜脾切除术诊断并治疗。据报道,这种情况下的工作符合SCARE标准[6]。

2.案例介绍
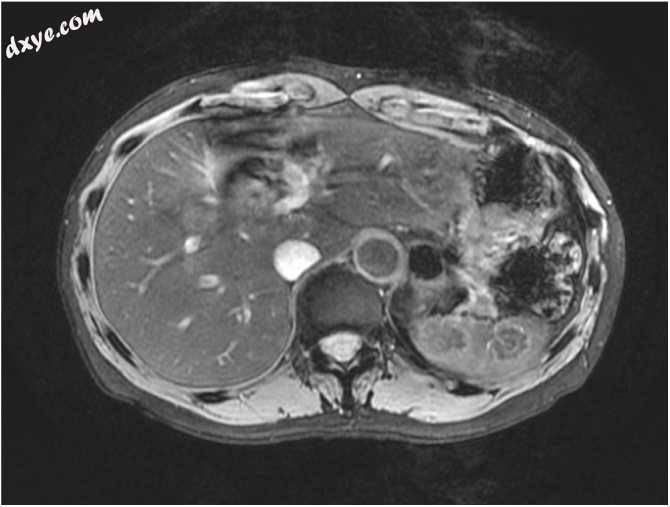
在常规健康检查期间,腹部超声检查发现一位59岁的女性因腹部异常结节被转诊到作者医院。她过去的病史包括7年前输卵管的脓肿和双侧卵巢。基线实验室检查,包括全血细胞计数,电解质(包括钙)的血清水平,肾和肝功能检查,可溶性白介素2受体(sIL-2R)水平以及肿瘤标志物癌胚抗原(CEA)和碳水化合物抗原的水平19-9(CA19-9)在正常范围内。腹部超声检查显示脾脏大小正常,并有三个小尺寸的低回声结节。腹部增强的计算机断层扫描(CT)和磁共振成像(MRI)证实了脾脏中存在多个病变。这三个脾结节在T2加权图像上显示低信号,异质性增强,直径分别为22、17和9mm(图1,图2)。在其他器官中未发现其他病变。

1.jpg
图1
腹部增强型,在脾脏中显示多个低回声结节。

2.jpg
图 2
腹部的磁共振成像在T2加权图像上显示出低水平结节。

最初的鉴别诊断包括纤维错构瘤和炎性假瘤,并计划进行影像学检查。 4个月后进行的增强CT扫描显示,所有结节直径均增加到27、22和16mm。正电子发射断层扫描(PET)-CT观察到异常摄取的18F-氟脱氧葡萄糖(FDG)的最大标准化摄取值(SUVmax)为2.89,患者最终接受了诊断性腹腔镜脾切除术。

使用了4-套管针技术,并使用LigaSure(Valleylab,博尔德,CO,美国)或通过剪切将韧带和血管切开。内脏完全操作后,将脾动脉暴露直至周围部分,并保留胰脏的周围动脉(胰腺尾动脉)。通过在脐带区域的3cm小开口除去脾脏。无明显出血,总手术时间为148min。患者恢复良好,术后第5天出院,口服量充足,生命体征正常,无不适。

粗略检查显示,切除的脾脏标定的白色结节较差(图3)。组织病理学检查显示脾实质内有离散的,圆形至椭圆形的无干酪肉芽肿,包括上皮样肉芽肿,多核巨细胞和小行星包涵体(图4)。术后,CT扫描发现没有其他器官受累,包括肺,心脏和眼睛。最终诊断是孤立的脾结节病。该患者未接受任何全身治疗。手术切除2年后,她一直遵循稳定,良好的术后病程,无并发症或疾病复发。

3.jpg
图 3
切除的标本显示出边界较差的白色结节。

4.jpg
图 4
组织病理学检查显示无干酪肉芽肿,由多核巨细胞和小行星包裹体组成。比例尺:100μm。

3.讨论
结节病的诊断取决于与上皮样肉芽肿组织学相关的临床和影像学检查结果;但是,肉芽肿不是结节病的病原学。结节肉肉芽肿可累及任何器官,但临床结节病在90%以上的患者中表现为胸腔内淋巴结肿大,肺部受累,皮肤或眼部症状和体征或这些发现的组合。相反,在没有特定的临床或放射学迹象的肺结节病的情况下,脾结节病极为罕见,很少有值得注意的病例报道[5,7,8]。实验室检查通常对明确诊断没有帮助。孤立的脾脏病变的影像学影像学检查也不具特异性,其鉴别诊断包括肿瘤转移,血管瘤,纤维性错构瘤,炎性假瘤,淋巴瘤,脓肿和血管肉瘤[9]。因此,组织病理学诊断对于孤立性脾脏病变的明确诊断是必要的。

在本例中,腹部超声检查显示出大小不等的小回声结节,已通过CT证实,而MRI没有诊断优势。最初的诊断是良性肿瘤,例如纤维错构瘤或炎性假瘤。在随访4个月后,由于肿瘤大小的进展和PET-CT摄取18F-FDG的异常,进行了诊断性腹腔镜脾切除术。

腹腔镜脾切除术已被广泛用作诊断和治疗疾病以及确定涉及脾脏的恶性肿瘤的有效方法[10]。该过程微创,可带来显著的益处,包括住院时间短,美观,减少失血量和术后并发症[5]。快速恢复有几种临床益处,包括更早开始化疗。脾切除术不会改变病程,但可能是治疗并发症所必需的,其适应症包括腹痛,脾功能亢进,脾破裂的预防和排除肿瘤等症状[11]。重要的是,腹腔镜脾切除术已成为外科手术摘除脾脏的金标准。

本病例强调了脾脏病变的诊断方法和腹腔镜脾切除术的结果,是一种有效,安全的诊断和治疗方法。本例是结节病的一种极为罕见的形式。孤立的脾脏结节病是全身性疾病的先兆。尽管目前的患者在随访2年时未显示结节病的其他病变复发,但仍需进一步监测以发现潜在的复发。

参考
Laparoscopic splenectomy for isolated splenic sarcoidosis: A case report
1. Iannuzzi M.C., Rybicki B.A., Teirstein A.S. Sarcoidosis. N. Engl. J. Med. 2007;357:2153–2165.  
2. Raber E.L., Haba J., Beck P. Splenic sarcoidosis: a case report and review of the imaging findings of multiple incidental splenic lesions as the initial presentation of sarcoidosis. Can. J. Gastroenterol. 2011;25:477–478.   
3. Wu J.J., Schiff K.R. Sarcoidosis. Am. Fam. Phys. 2004;70:312–322.  
4. Judson M.A. Hepatic, splenic, and gastrointestinal involvement with sarcoidosis. Semin. Respir. Crit. Care Med. 2002;23:529–541.  
5. Souto M.M., Tempes B.C., Lambert B.F., Trindade E.N., Trindade M.R. Laparoscopic splenectomy for isolated splenic sarcoidosis. JSLS. 2014;18:155–159.   
6. Agha R.A., Borrelli M.R., Farwana R., Koshy K., Fowler A., Orgill D.P., For the SCARE Group The SCARE 2018 statement: updating consensus Surgical CAse REport (SCARE) guidelines. Int. J. Surg. 2018;(60):132–136.  
7. Zia H., Zemon H., Brody F. Laparoscopic splenectomy for isolated sarcoidosis of the spleen. J. Laparoendosc. Adv. Surg. Tech. A. 2005;15:160–162.  
8. Sreelesh K.P., Kumar M.L., Anoop T.M. Primary splenic sarcoidosis. Proc. (Bayl. Iniv. Med. Cent.) 2014;27:344–345.   
9. Folz S.J., Johnson C.D., Swensen S.J. Abdominal manifestations of sarcoidosis in CT studies. J. Comput. Assist. Tomogr. 1995;19:573–579.  
10. Tessier D.J., Pierce R.A., Brunt L.M. Laparoscopic splenectomy for splenic masses. Surg. Endosc. 2008;22:2062–2066.  
11. Giovinale M., Fonnesu C., Soriano A. Atypical sarcoidosis: case reports and review of the literature. Eur. Rev. Med. Pharmacol. Sci. 2009;13:37–44.  
您需要登录后才可以回帖 登录 | 注册

本版积分规则

丁香叶与你快乐分享

微信公众号

管理员微信

服务时间:8:30-21:30

站长微信/QQ

← 微信/微信群

← QQ

Copyright © 2013-2025 丁香叶 Powered by dxye.com  手机版 
快速回复 返回列表 返回顶部