仿气腹25孔3单端腔镜训练箱训练用单针/双针带线【出售】-->外科训练模块总目录
「训练教具器械汇总」管理员微信/QQ12087382[问题反馈]
开启左侧

卵巢颗粒细胞瘤

[复制链接]
发表于 2019-10-19 00:00:25 | 显示全部楼层 |阅读模式

马上注册,结交更多好友,享用更多功能,让你轻松玩转社区。

您需要 登录 才可以下载或查看,没有账号?注册

×
卵巢颗粒细胞瘤是由颗粒细胞产生的肿瘤。它们是分泌酯原的肿瘤,呈大而复杂的卵巢肿块。这些肿瘤是性索-性腺间质瘤或非上皮性肿瘤组的一部分。尽管颗粒细胞通常仅在卵巢中发生,但是卵巢颗粒细胞瘤在卵巢和睾丸中都存在(请参阅卵巢癌和睾丸癌)。这些肿瘤应被认为是恶性的,并应与其他卵巢恶性肿瘤相同的治疗方法。卵巢疾病有两种形式,即少年和成年,均表现为生长缓慢[1],因此具有较高的康复率。[2] [3]这些肿瘤的分期系统与上皮肿瘤的分期系统相同,并且大多数存在于I期。[4]发生这些疾病的高峰年龄是50-55岁,但是它们可能出现在任何年龄。

少年卵巢颗粒细胞瘤是一种相似但截然不同的罕见肿瘤。它也发生在卵巢和睾丸中。在睾丸中,它极为罕见,并且尚未被报道是恶性的。[5]尽管这种肿瘤通常发生在儿童中(因此得名),但在成人中已有报道。[6]

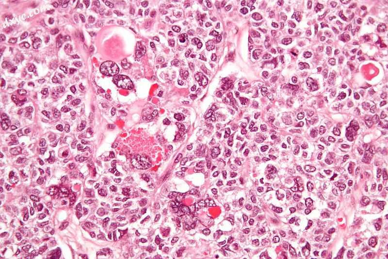
Micrograph of a juvenile 卵巢颗粒细胞瘤 with hyaline g耳垂s. H&E stain..jpg
带有透明性小球的卵巢颗粒细胞瘤的显微照片。 H&E污渍。

内容
1 演示
2 遗传学
2.1 成年颗粒细胞肿瘤
2.2 少年颗粒细胞瘤
3 诊断
3.1 外观
3.2 肿瘤标记
4 治疗
5 其他物种的颗粒细胞团
6 参考

介绍
雌激素是通过功能性肿瘤产生的,临床表现取决于患者的年龄和性别。


如果患者是绝经后,通常会出现异常子宫出血,在某些情况下还会出现血液腹膜。
如果患者处于育龄,她将出现月经不调。 但是,在某些情况下,她可能会完全停止排卵。
如果患者未经历青春期,则可以看到青春期的早期发作。
这些肿瘤倾向于晚期复发(甚至在30年之后)。
遗传学
成年颗粒细胞瘤
使用下一代DNA测序,发现97%的成年人卵巢颗粒细胞瘤在FOXL2基因中包含相同的突变[1]。这是一种体细胞突变,这意味着通常不会传播给后代。 FOXL2序列中的突变c.402C> G导致氨基酸取代p。 C134W。据信这种突变可能是卵巢颗粒细胞瘤的原因。

少年颗粒细胞瘤
最近的两项研究表明,AKT1酶参与了幼年的颗粒细胞瘤。在超过15%的15岁以下少女少年颗粒细胞瘤中,发现该蛋白的pleckstrin-homology域中存在框内重复。没有重复的肿瘤携带点突变,影响高度保守的残基。携带重复的突变蛋白表现出非野生型亚细胞分布,在质膜上有明显的富集。这导致强烈的磷酸化水平证明了AKT1活化的惊人程度,并被报告基因检测证实。[7]

RNA-Seq分析确定了一系列差异表达的基因,这些基因参与细胞因子和激素信号传导以及与细胞分裂相关的过程。进一步的分析指出了可能的去分化过程,并表明大多数转录组异常调节可能是由受AKT1激活干扰的有限转录因子介导的。这些结果表明,AKT1的体细胞突变是少年颗粒细胞瘤发病机理中的主要驱动因素。[8]

诊断
外观
肿瘤大小不等,从细小斑点到大块,平均直径为10厘米。 肿瘤呈椭圆形且质地柔软。 在切开的切片上,组织学显示网状,小梁区域有间质性出血和Call-Exner体-小囊肿样空间散布在格拉夫滤泡中。

肿瘤标记
抑制素(一种激素)已被用作颗粒细胞肿瘤的肿瘤标志物。

治疗
[图标]
此部分为空。 您可以通过添加帮助。 (2018年2月)
其他物种的颗粒细胞簇
在衰老的松鼠猴(Saimiri sciureus)的卵巢中,出现了类似于人类卵巢颗粒细胞瘤的颗粒细胞簇。[9] 这些似乎是该物种随年龄增长的正常变化。

另见
Inhibin, alpha
参考
"Prognostic factors in adult granulosa".
Young RH, Dickersin GR, Scully RE (1984). "Juvenile granulosa cell tumor of the 卵巢. A clinic pathological analysis of 125 cases. Beth Israel Deaconess Medical Center, Boston". American Journal of Surgical Pathology. 8 (8): 575–596. doi:10.1097/00000478-198408000-00002. PMID 6465418.
"Program in Gynecologic Medical Oncology, Beth Israel Deaconess Medical Center, Boston".
Gynaecology. 3rd Ed. 2003. Churchill Livingstone, pp. 690-691.
Dudani R, Giord另一 L, Sultania P, Jha K, Florens A, Joseph T (April 2008). "Juvenile granulosa cell tumor of testis: case report and review of literature". American Journal of Perinatology. 25 (4): 229–231. doi:10.1055/s-2008-1066878. PMID 18548396.
Lin KH, Lin SE, Lee LM (July 2008). "Juvenile granulosa cell tumor of adult testis: a case report". Urology. 72 (1): 230.e11–3. doi:10.1016/j.urology.2007.11.126. PMID 18313118.
Bessière L, Todeschini AL, Auguste A, Sarnacki S, Flatters D, Legois B, Sultan C, Kalfa N, Galmiche L, Veitia RA (March 2015). "A Hot-spot of In-frame Duplications Activates the Oncoprotein AKT1 in Juvenile Granulosa Cell Tumors". EBioMedicine. 2 (5): 421–431. doi:10.1016/j.ebiom.2015.03.002. PMC 4485906. PMID 26137586.
Auguste A, Bessière L, Todeschini AL, Caburet S, Sarnacki S, Prat J, D'angelo E, De La Grange P, Ariste O, Lemoine F, Legois B, Sultan C, Zider A, Galmiche L, Kalfa N, Veitia RA (Dec 2015). "Molecular analyses of juvenile granulosa cell tumors bearing AKT1 mutations provide insights into tumor biology and therapeutic leads". Human Molecular Genetics. 24 (23): 6687–6698. doi:10.1093/hmg/ddv373. PMID 26362254.
Walker ML, Anderson DC, Herndon JG, Walker LC (2009). "Ovarian aging in squirrel monkeys (Saimiri sciureus)". Reproduction. 138 (4): 793–799. doi:10.1530/REP-08-0449. PMID 19656956.
您需要登录后才可以回帖 登录 | 注册

本版积分规则

丁香叶与你快乐分享

微信公众号

管理员微信

服务时间:8:30-21:30

站长微信/QQ

← 微信/微信群

← QQ

Copyright © 2013-2026 丁香叶 Powered by dxye.com  手机版 
快速回复 返回列表 返回顶部