仿气腹25孔3单端腔镜训练箱训练用单针/双针带线【出售】-->外科训练模块总目录
「训练教具器械汇总」管理员微信/QQ12087382[问题反馈]
开启左侧

Schein常识急诊腹部手术:“第三世界”的腹部急症 37.2 非洲

[复制链接]
发表于 2019-11-11 00:00:18 | 显示全部楼层 |阅读模式

马上注册,结交更多好友,享用更多功能,让你轻松玩转社区。

您需要 登录 才可以下载或查看,没有账号?注册

×
Schein常识急诊腹部手术:“第三世界”的腹部急症 37.2 非洲

像非洲的许多悖论一样,急诊手术也说明了极端情况:可能是直升机转移到了20世纪的重症监护室,或者是在几天内将多辆手推车和出租车转移到资源贫乏的医院。 (David Dent)

非洲大陆千差万别。它的人口范围从某些农村地区,受教育程度最高,贫困程度极高,医疗服务有限或根本没有医疗服务的人群,到富有的第一世界公民,他们都可以使用现代的,通常是私人的医疗保健服务。与其他国家一样,腹部紧急情况的范围也很广泛,一般外科病理学都伪装成创伤和产科紧急情况。尽管在非洲有独特而有趣的病理,但绝大多数腹部紧急情况的患者与西方同行共享其病理,但是由于对医疗保健,政治冲突和内战的访问较差,他们倾向于呈现在外科医生患病的过程中,往往要面对许多独特的手术挑战。在几乎是正常的情况下,出现延迟是很常见的。在本章中,作者将讨论一些特殊情况,并分享一些技巧来处理被忽略的情况。通常在次优情况下,对这些患者进行充分治疗仍然是非洲手术的挑战。

肠套叠:致死和迟发

肠套叠仍是生命早期最常见的危及生命的腹部疾病。根据作者的经验,由WojciechGórecki(>章节35)描绘的典型西方作品很少出现在贫穷的非洲人口中。

        许多患者表现为肠梗阻。

        由于肠袢肿胀,典型的腹部肿块很难触及。

        许多患者因痢疾被误诊。

        通常会出现穿孔引起的急性腹膜炎,通常是在接收肠的引导点受压时。

        结肠肠套叠在南部非洲特别常见,通常在年龄较大的儿童中。

        肠套叠可能从肛门突出,并被误认为是直肠脱垂。在进行直肠检查时,能够将手指向上伸到与排便相邻的地方相当长的距离应该可以区分(>图37.2.1)。

除非另外证明,否则四岁以下儿童的肠梗阻是肠套叠,无肠疝或嵌顿手术的证据。

放射指导的降压可以治疗作者地区较少的肠套叠患者。在3个月至2岁的范围内进行良好复苏的患者中,腹部没有嫩,没有肠梗阻的迹象,可以尝试减少(最好是用空气),并在大约三分之一的患者中取得了成功。症状的持续时间不能用作减少空气的绝对禁忌症,因为这将排除几乎所有患者。由于肠缺血和穿孔的切除率很高,其他患者最好通过开放式外科手术治疗。

1.jpg
图37.2.1。区分直肠脱垂和肠套叠。在直肠脱垂时,检查的手指不能在脱垂的肠和肛门边缘之间滑动,而在肠套叠中,手指可以在出现在肛门边缘的肠套叠旁边滑动

阑尾炎:被忽视的穿孔仍然是致命疾病

在发展中国家,阑尾炎的治疗与其他地方没有什么不同。一种可能的例外是识别出威胁生命的长期穿孔,通常持续时间为2-3周。这类患者通常表现为严重的败血症,脱水,消瘦,器官功能障碍,腹部严重扩张,并伴有弥漫性腹膜炎和多个部位。最好通过非常积极的术前复苏,抗生素治疗以及中线剖腹术(而不是腹腔镜...

蛔虫感染

蛔虫寄生虫肯定在许多非洲人的肠道中找到了幸福的家。向外科医生最常见的表现是肠梗阻。大多数患者会报告蠕虫蠕虫呕吐或直肠蠕虫通过。腹部X线平片显示肠梗阻的图像,肠腔内蠕虫的典型曲线阴影。大多数患者可以通过液体复苏和鼻胃引流进行保守治疗。传统上,杀虫剂通常不会在阻塞的急性期使用,因为担心会使药丸中的蠕虫瘫痪并加剧情况(但这可能是神话!)。泛影葡胺(湿滑和高渗的)通常通过鼻胃管(>图37.2.2)从上方给药,但也可作为灌肠剂用于远端阻塞。手术干预的适应症包括腹膜炎,严重的全身毒性,24-36小时无反应和严重的直肠出血。

平滑肌病

平滑肌病是非洲儿童的普遍问题。作者已经看到了50多个案例。它在教科书或文献中没有得到很好的描述,因为它在发达国家实际上不存在,其原因尚不清楚;作者认为这是灌肠或其他突变造成的毒性伤害(请参阅灌肠部分)。

2.jpg
图37.2.2.阻塞患者通过鼻胃管给予泛影葡胺。注意线性阴影指示蠕虫在肠近端

这种情况表现为在3至7岁时开始出现腹胀(最初是相当良性和无症状的),随后是进行性大规模,主要是气胀,伴有明显的阻塞性特征,并由于肠道衰竭而发展为死亡,通常是在肠道破裂之前。人生的第三个十年。原因不明,受感染肠的病理(通常从远端开始,向近端发展)表明,固有肌层中的肌肉被纤维组织覆盖。这些患者通常在临床和放射学上有很大的张开,但通常没有显示出肠梗阻的征兆,而且经常出乎意料地很少进食而感到不适。腹部柔软,对敲击有震颤感。

在这种情况下,常见的陷阱是看X射线,假设存在威胁生命的梗阻,发现巨大的结肠环,然后进行造口。这些气孔大而笨重,易于并发症,并且通常不能充分缓解扩张。取而代之的是,这些患者最好通过套管或内窥镜进行直肠减压,定期的“灌肠程序”(主要是“自下而上”)和营养支持来治疗。尽管少数患者可在数年内因全结肠直肠切除术和回肠直肠吻合术而缓解,但没有任何形式的手术对这些患者有明显帮助。

3.jpg
图37.2.3.艾滋病毒阳性婴儿CMV的多处结肠穿孔

结肠炎

与艾滋病毒有关的腹部突发事件(请参阅第36章)

HIV / AIDS的高发病率以及相关的机会性感染,特别是结核病,大大增加了可能的病原学范围。在作者的经验中,最常见的HIV / AIDS腹部并发症是婴儿(3-18个月大)的巨细胞病毒(CMV)肠炎和穿孔以及大龄儿童的腹部结核。

通常,在严重免疫功能低下和营养不良的孩子中,CMV疾病表现为急性腹胀,呕吐和心血管衰竭。在剖腹手术中,在肠的整个长度上发现了多个,有时数百个小的穿孔(>图37.2.3)。组织学有时会显示典型的胞浆内病毒包涵体。即使采取积极治疗,包括使用更昔洛韦静脉注射,预后也很差。

传统的“巫医”灌肠

尽管关于该主题的文献很少,但是在许多非洲部落中,使用传统的多灌肠是司空见惯的(见图37.2.4)。 传统的治疗师或巫师所添加的有毒化学物质,例如重铬酸钾(一种强力的腐蚀剂),可能导致腐蚀伤害,导致组织坏死,穿孔(>图37.2.5)或狭窄。 单独使用机械器械可导致直接的直肠损伤,并且其中任何一种损伤都可能导致腹膜炎或腹膜后坏死性筋膜炎。 肾毒素的添加可能会进一步使临床表现更加复杂

4.jpg
图37.2.4.“嘿,医生,让我再征求一下意见。是的,我叫我的圣母“

5.jpg
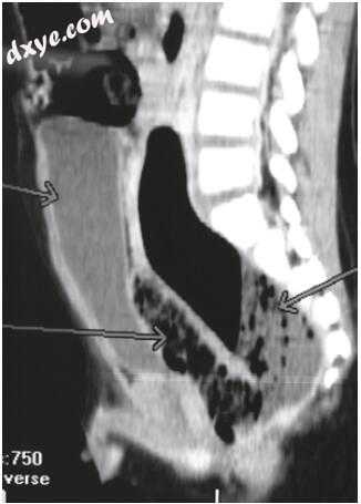
图37.2.5。一个5岁男孩的CT腹腔矢状体重建术被错误地治疗了急性阑尾炎,后来发现其直肠后部穿孔较大,并有直肠后集合体,这是“传统灌肠”的并发症。左箭头指出了膀胱和直肠,而右侧箭头所指的是直肠后方的大型充气结构

斑蝥素(茨瓦纳部落从研磨死的水疱甲虫的身体中提取的提取物,用于增强药效并用作堕胎药),重新导致了急性肾衰竭。患者通常没有使用传统药物的病史,因此需要很高的怀疑指数。研究表明,大多数因胃肠炎入院的非洲婴幼儿已经接受了传统的灌肠治疗。确定疾病的发作是否早于多剂量的给药还至关重要。将所有后遗症归咎于该药水并因此错过了其他潜在条件,这是一个常见的错误。

乙状结肠和乙状结肠打结(请参阅第25章)

与在乙状结肠扭转通常影响老年患者的“发达”世界不同,在非洲,乙状结肠扭转往往发生在年轻男性中。非洲的乙状结肠扭转与一定程度的巨结肠/直肠有关,肠壁和中乙状结肠很厚并且相对耐缺血。因此,肠坏死不如西方老年人的壁薄结肠那么普遍,但是当出现症状的延迟时间延长时,肠坏死仍会发生。出现肠坏死的患者需要迅速复苏并紧急切除。如果有经验的操作员在场并且病情稳定,则认为原发性吻合术是安全的。没有肠坏死或穿孔迹象的病例应进行乙状结肠镜减压。最好通过使用刚性乙状结肠镜来实现此目的,将患者跪在四肢上并将臀部抬高到头和肩膀上方。通常,成功进行减压后,将插入“肠胃”(直肠)管。由于高复发率,患者应在同一次住院期间进行明确的手术(>第25章)。

回肠乙状结肠打结是一种罕见的情况,回肠将自身包裹在乙状结肠周围,引起闭环阻塞,两个内脏都有可能出现坏疽。它主要发生在非洲,亚洲和中东,通常发生在中年健康人群中。认为这是由于乙状结肠和回肠的肠系膜的冗余所致,并且可能由于大量散食而加剧。处理的原则包括必要时切除肠,并就原发性吻合的可取性进行讨论。

伤寒

革兰氏阴性伤寒沙门氏菌经口经口传播而感染的感染仍然是较贫穷社区小肠穿孔和腹膜炎的重要原因。最初以高烧和相对的白细胞减少为特征,一小部分患者通常在疾病的第二到第四周出现肠穿孔。穿孔后,死亡率随手术干预的延迟呈指数增长。需要快速复苏和紧急外科手术探查。可以最小化清创孔眼并简单地封闭。多次穿孔可能需要部分切除,通常是回肠末端。除非患者在生理上受到损害,否则原发性吻合被认为是安全的,在这种情况下,最好将肠作为气孔外化。适当的抗生素覆盖对成功至关重要。随着对阿莫西林和氯霉素抗性的增强,喹诺酮类抗生素是重病患者更安全的首选。可以通过切除标本的组织学检查,阳性血液培养或阳性血清学检查(以Widal检验的形式)确认诊断。

镰状细胞病

镰状细胞病(SCD)是一种常染色体隐性血红蛋白病,在中非部分地区较为常见。仅有一个异常基因的杂合子具有镰状细胞性状(SCT),这是一种有益条件,赋予了自然抵抗疟疾的生存优势。不幸的是,具有双重剂量的血红蛋白S(HbS;即SCD)的人没有这种运气。异常的血红蛋白在低氧张力条件下变得不稳定,并聚集成大的聚合物。这导致红细胞变形并降低其可变形性。该疾病的特征在于慢性溶血性贫血和痛苦的血管闭塞性危机。急性腹痛是一种常见的表现方式,可能难以与其他外科或泌尿外科急症区分开。某些线索可能指向“镰状细胞危象”:

        疼痛发生在多个部位。通常是胸部,背部和四肢。

        疼痛的模式与以前的发作类似。

        肠鸣音被保留。

        通过补充水分,充氧和明智使用镇痛剂等一般性支持措施可改善病情。

        存在沉淀因素(触发)(例如呼吸道感染)。

大多数镰状细胞危机将依靠支持疗法解决,但极少数缺血性肠穿孔可能需要手术,大规模脾脏或肝脏隔离症可能证明是致命的。该患者组中也发生了常见的外科手术病理,并且腹部计算机断层扫描(CT)扫描已被证明是一种可靠的方式,可以识别大多数手术情况,但是最终对患者病程的临床观察将决定适当的治疗方法。通过观察外周血涂片上的镰状细胞,可以确诊疑似病例中的SCD。

结论

急性腹部疾病给非洲的外科医生带来的挑战并不是因为他们的疾病多样性,而是因为在人员不足和装备简陋的情况下治疗常常非常严重,被忽视的患者。绝大多数医院根本不具备先进的围手术期护理,包括重症监护,彻底改变了西方这些患者的治疗效果。外科医生必须具有创新精神,并且在许多情况下必须根据患者的设施和情况来定制患者的治疗方法。营养不良和严重的传染病,尤其是肺结核和艾滋病毒/艾滋病,常常会损害患者的生理储备,因此,外科医生必须“以最简单,最安全的手术在第一时间正确治疗”。对于操作策略的错误!

“攀登一座大山之后,人们只会发现还有更多的山要攀登。” (Nelson Mandela)

参考:Schein's Common Sense Emergency Abdominal Surgery
您需要登录后才可以回帖 登录 | 注册

本版积分规则

丁香叶与你快乐分享

微信公众号

管理员微信

服务时间:8:30-21:30

站长微信/QQ

← 微信/微信群

← QQ

Copyright © 2013-2025 丁香叶 Powered by dxye.com  手机版 
快速回复 返回列表 返回顶部