仿气腹25孔3单端腔镜训练箱训练用单针/双针带线【出售】-->外科训练模块总目录
「训练教具器械汇总」管理员微信/QQ12087382[问题反馈]
开启左侧

单个手术位置的上尿路尿路上皮癌全腹腔镜肾输尿管切除术

[复制链接]
发表于 2019-9-19 15:53:40 | 显示全部楼层 |阅读模式

马上注册,结交更多好友,享用更多功能,让你轻松玩转社区。

您需要 登录 才可以下载或查看,没有账号?注册

×
概要
背景
评估单次手术位置下上尿路尿路上皮癌(UUTUC)全腹腔镜输尿管切除术的可行性和有效性。

方法
收集了89例UUTUC患者的医疗数据,他们于2016年1月至2018年6月在院接受治疗.45例接受单次腹腔镜全肾切除术的患者在试验组中分配,44例接受腹膜后腹腔镜检查结合对侧斜视切口,对照组。作者比较了围手术期指标和肿瘤复发率两组,并分析了新手术治疗UUTUC的临床效果。

结果
UUTUC的所有89项手术都是成功的,没有转为开放手术。围手术期未发生明显并发症。试验组平均手术时间明显缩短(96.58±8.56分钟对147.45±9.16分钟),出血量减少(39.58±4.15毫升对46.50±4.58毫升),早期行走(7.47±1.01小时对比11.39±1.82小时),住院时间较短(6.98±1.14天对9.89±1.51天)(P <0.05)。试验组在术后1小时,12小时和24小时的视觉模拟评分(VAS)评分均低于对照组(P <0.05)。肿瘤分期,肿瘤分级,术后胃肠功能恢复时间,随访时间,肿瘤复发率无显著差异。

结论
与传统手术方法相比,单个手术位置的腹腔镜UUTUC治疗具有手术时间短,出血少,术后早期行走的优点。新的手术方法可缩短住院时间,加速患者康复,是一种值得临床应用和推广的可行手术方式。

试用注册
作者的试验获得批准,并已在烟台毓璜顶医院伦理委员会注册(批准号[2015] 171号)。

关键词:单位,全腹腔镜,上尿路尿路上皮癌

背景
上尿路尿路上皮癌(UUTUC)是一种罕见的泌尿系肿瘤,以肉眼血尿为常见的初始症状[1]。大多数患者最终被诊断为UUTUC,偶尔会出现肉眼可见的血尿。腹腔镜手术是UUTUC的主要手术解决方案之一[2,3]。腹膜后腹腔镜肾输尿管切除术加经尿道膀胱电切术治疗UUTUC已被广泛应用[4,5]。近年来,研究表明腹膜后腹腔镜联合腹下斜切口具有更明显的优势[6,7]。

在分析和总结了UUTUC的手术方法和临床效果后,院根据上尿路的解剖结构和治疗原则,开发了一种新的手术方法,用于治疗单个手术位置的UUTUC-全腹腔镜肾输尿管切除术。 UUTUC。在这项研究中,研究了这种新方法的有效性,与传统方法相比,在操作过程中需要改变位置。作者证实,这种新方法可以减少手术创伤,促进患者更快恢复。

方法
临床资料
作者的研究已经烟台毓璜顶医院伦理委员会批准,作者已获得所有患者的知情同意。作者的研究已经注册。从2016年1月至2017年6月入选院的89名UUTUC患者入选。接受完全腹腔镜治疗UUTUC的患者被纳入实验组,并且接受腹膜后腹腔镜联合腹下斜切口的患者被纳入对照组。

试验组共45例,其中男性24例,女性21例,左侧肿瘤19例,右侧肿瘤26例,肾盂癌31例,输尿管癌14例。对照组共44例,其中男性23例,女性21例。 21名患者的肿瘤位置在左侧,而23名患者在右侧。肾盂癌患者29例,输尿管癌患者15例。所有患者在手术前均行计算机断层尿路造影(CTU)或磁共振尿路造影(MRU)以确定肿瘤位置(图1)。进行肾动态成像和肾小球滤过率(GFR)测试以评估对侧肾功能。进行胸部和腹部CT以排除肿瘤转移,评估心肺功能以排除手术禁忌症。视觉模拟评分(VAS)用于评估术后1小时,12小时,24小时和48小时的疼痛程度。两组患者的一般情况无统计学差异,如年龄,性别,肿瘤部位,肿瘤分期和分级(P> 0.05,表见11)。

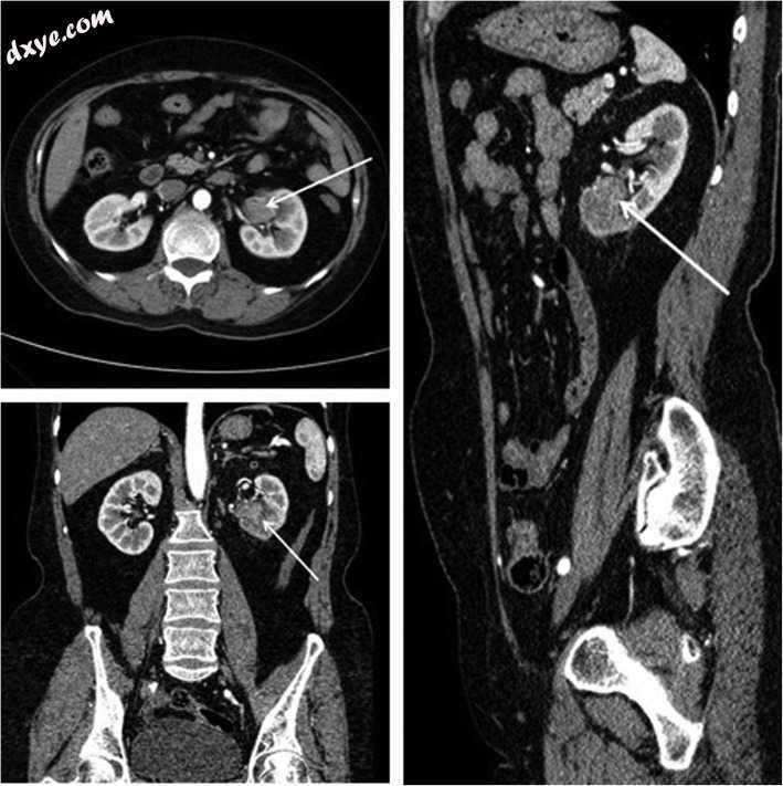
1.jpg
图1
通过CT确定肿瘤位置。 箭头表示上尿路尿路上皮癌

外科手术
测试组
在全身麻醉后将导管插入尿道,并在患者的臀部下方放置手术单,以便于调整患者的姿势。患者采取70°侧卧位,病变侧朝上(左侧UUTUC的一个例子示于图22和图33(a))。将患者的腹部按钮放置在手术床的中间关节处,使腰部桥稍微抬起,并且操作区域例行地进行消毒。外科医生站在病人健康的一侧并执行手术和助手(操作员在头侧),摄像助手站在患者头部的中间位置,监护仪位于病变侧。首先,在端口a(肚脐侧面4cm)处做一个小切口,并用毛巾钳夹住并抬起切口两侧的腹壁。 Veress方法用于建立肺压膜,其压力维持在约14mmHg。将11mm套管针作为观察孔置于切口中,然后插入晶状体。将套管针(12 mm)放置在肚脐水平和腋前线(端口b)的交叉点处,将另一个套管针(12 mm)放置在腹直肌的外侧边界与平面5 cm的交叉点处。在肚脐水平以上(端口c),另一个套管针(5毫米)放置在端口d下方的端口d处(图(图33(b))。此时,操作主要基于在端口b和c套管针上。如有必要,使用端口套管来辅助手术。进入腹腔后,用超声刀切开结肠周围沟和后腹膜以暴露其后面的肾筋膜。在中肾位置打开筋膜;定位并释放肾静脉;定位肾静脉分支处的生殖静脉和腰静脉,用Hem-o-lock夹住,切开;然后,肾动脉以与肾静脉相同的方式进行手术(图(图4a).4a)。肾脏被释放在它的上极,并保留肾上腺。然后,输尿管沿肾脏下极水平和腰大肌前部释放到髂血管的分叉水平面。输尿管用Hem-o-lock夹住,以防止肿瘤扩散,肾脏和大部分输尿管完全释放。在检查手术伤口以确保没有活动性出血后,抬起患者的脚并降低头部。如果患者超重,则电路护士可以通过拖动臀部下方的手术单将患者的位置从70°改变到40°,并且调整患者的位置可以提高外科手术的舒适度。通过术前放置的导尿管填充膀胱,这有利于下输尿管的分离,膀胱袖带的切除以及通过端口b和d套管针的膀胱缝合。操作者的操作方向是从头侧到脚侧,并且相机助手将站在患者的头侧。如有必要,通过端口c引入腹腔镜器械以便于暴露视野。套管针端口仍然是观察口。拉动输尿管暴露膀胱并促进膀胱袖带的切除(图(图4b-d).4b-d)。在膀胱切除术基本完成之前,适当地拔出导管囊以增加手术操作空间。首先用2-0带倒钩的缝合线缝合膀胱并拉动(图4e,4e,f),切除输尿管和膀胱的剩余连接处后完全缝合膀胱(图(图4g,4g,h)。对任何明显出血的手术伤口进行检查后,将所有切除的标本包装在自制的标本袋中并进行di 疤痕评价(图33(c))。切口为从口c向下延伸约3-4cm,在口b处放置引流管。释放腹腔内的气体,拔出所有套管针,最后逐层封闭切口。

2.jpg
图2
腹腔镜端口(a-d)和试验组的切口伤口(用于左侧上尿路尿路上皮癌)。 BB,肚脐

3.jpg
图3
左侧上尿路尿路上皮癌(a,b)和切除标本(c)的套管位置。 BB,肚脐

4.jpg
图4
外科手术的代表性图像。结扎肾动脉。 b,c拉动输尿管以暴露膀胱。 d切掉大部分膀胱。 e拉动输尿管以帮助缝合膀胱。 f缝合大部分膀胱。 g切断输尿管和膀胱的剩余交界处。 h完全缝合膀胱。 LRA,左肾动脉; LRV,左肾静脉; U,输尿管; B,膀胱

控制组
在通过气管内插管进行全身麻醉后,将患者置于侧卧位并进行常规消毒并放置手术单。通过三孔法建立后腹腔(图5).5)。肾蒂的血管被释放并阻塞,然后肾脏被完全释放。将输尿管最大程度地分开,然后用Hem-o-lock夹住输尿管的远端。将患者改为仰卧位并重新消毒,并放置手术单。在病变侧做一个5-6厘米的腹股沟切口,取出剩余的输尿管和部分膀胱壁。用2-0带倒钩的缝合线缝合膀胱,然后放置引流管并关闭切口。

5.jpg
图5
腹腔镜端口和对照组切口伤口(左侧上尿路尿路上皮癌)

术后膀胱冲洗和随访
所有患者均一直随访至2018年10月。所有患者术后2周均接受膀胱冲洗化疗:15~30 mg / BSA(m2)吡柔比星溶于5%葡萄糖注射液至500~1000μg/ ml终浓度注入膀胱腔每周一次30分钟,每次4~8次,然后每月一次,共1年。手术后大约每3个月进行一次膀胱镜检查,第2年每3~4个月进行一次,第3~5年每6个月进行一次,此后每年进行一次。通过尿路超声,胸部X光等定期检查患者。

统计分析
记录并比较两组的相应指标,然后使用SPSS 23.0软件对数据进行分析。 T检验和卡方检验或Fisher精确检验分别用于定量数据和定性数据的比较。 P <0.05被认为具有统计学意义。

结果
所有患者均顺利完成手术,未发生并发症,如转为开放手术,大量出血和邻近器官损伤。并且术后病理证实所有患者的膀胱边缘均为阴性。两组患者的年龄,性别,肿瘤位置等一般情况无显著差异(P> 0.05)。两组患者术后胃肠功能恢复时间或肿瘤复发率差异无统计学意义(P> 0.05)。然而,与对照组相比,试验组的手术时间明显缩短,术中出血量减少,行走时间延长,住院时间缩短(表1(表1)1)(P <0.05)。试验组在术后1小时,12小时和24小时的视觉模拟评分(VAS)评分均低于对照组(P <0.05)。结果表明,新的手术方法可以减少手术创伤,促进患者更快恢复。

讨论
UUTUC的发病率远低于膀胱尿路上皮癌[6],约占上尿路肿瘤的5%~6%[7]。尿路上皮癌具有复发率高,多中心生长的特点。因此,目前,肾输尿管切除术仍然是UUTUC的标准外科手术[8]。

近年来,随着微创介入的普及和腹腔镜技术的进步,UUTUC的标准外科手术程序逐渐从传统的开腹手术转向腹腔镜手术[2,3]。微创手术可以达到与开放手术相同的治疗效果,可以减少术中出血量,减少术后疼痛,提高切口美容满意度,加快患者康复,缩短术后住院时间,减少围手术期并发症的发生率[9-11] 。目前,对于UUTUC,较成熟的手术方式是腹膜后腹腔镜肾输尿管切除术加经尿道电切除术后同侧膀胱袖套。据报道,经尿道电凝加腹膜后腹腔镜下UUTUC肾输尿管切除术可以减少肿瘤细胞的脱落和植入[12]。更多的试验证明了腹膜后腹腔镜手术治疗UUTUC的益处[13-15]。对于晚期患者,一些试验表明开放手术优于微创手术[16-19],两种手术之间UUTUC的肿瘤学结果相似[20]。然而,由于手术过程中的位置变化和二次消毒,微创手术增加了麻醉时间和手术时间,从而增加了围手术期并发症的发生率。

如今,有许多关于腹腔镜治疗UUTUC的报道。在本报告中,作者评估了新的外科手术在UUTUC腹腔镜肾盂切除术中的有效性和安全性,其中不再需要改变患者的位置。与常规手术相比,作者的手术具有以下特点:(1)套管针的解剖位置相对固定,建立起来相对简单,可缩短手术学习曲线。 (2)该手术通过腹部入路进行,具有清晰的解剖标志和较宽的手术空间。 (3)良好的视力可以促进膀胱切口的紧密缝合,这可以减少术后导尿管留置时间和住院时间。 (4)手术期间无需二次灭菌。 (5)通过护士将臀部下方的手术单拖拽,可以调整患者的位置,避免操作轴与病变侧的过度偏离,避免操作距离的增加,提高操作舒适。 (6)外科医生可以用四个套管针完成肾脏,全长输尿管和部分膀胱的切除,不需要额外的套管针或切口。 (7)沿腹直肌外侧边缘延伸切口以取出标本可以最大限度地减少肌肉损伤并促进术后恢复。

总之,在单个手术位置下进行的全腹腔镜肾输尿管切除术对UUTUC的治疗是有效的。它具有缩短手术时间和减少术中失血的优点。患者可在手术后早期起床,便于术后恢复。新的手术程序也缩短了住院时间。这种新的UUTUC手术治疗是有效的,值得临床应用和推广。

结论
在单一手术位置完成腹腔镜UUTUC治疗可缩短住院时间,加速患者康复,是一种值得临床应用和推广的可行手术方式。

缩略语
CTU        Computed tomographic urography
GFR        Glomerular filtration rate
MRU        Magnetic resonance urography
UUTUC        Upper urinary tract urothelial carcinoma
VAS        Visual analogue scale

参考:
Total laparoscopic nephroureterectomy for upper urinary tract urothelial carcinoma under a single surgical position
1. Tan WS, Feber A, Sarpong R, Khetrapal P, Rodney S, Jalil R, Mostafid H, Cresswell J, Hicks J, Rane A, et al. Who should be investigated for haematuria? Results of a contemporary prospective observational study of 3556 patients. Eur Urol. 2018;74:10–14. doi: 10.1016/j.eururo.2018.03.008. [PubMed] [CrossRef] [Google Scholar]
2. Roupret M, Babjuk M, Comperat E, Zigeuner R, Sylvester RJ, Burger M, Cowan NC, Gontero P, Van Rhijn BWG, Mostafid AH, et al. European Association of Urology Guidelines on Upper Urinary Tract Urothelial Carcinoma: 2017 Update. Eur Urol. 2018;73:111–122. doi: 10.1016/j.eururo.2017.07.036. [PubMed] [CrossRef] [Google Scholar]
3. Bariol SV, Stewart GD, McNeill SA, Tolley DA. Oncological control following laparoscopic nephroureterectomy: 7-year outcome. J Urol. 2004;172:1805–1808. doi: 10.1097/01.ju.0000140995.44338.58. [PubMed] [CrossRef] [Google Scholar]
4. Liu W, Wang Y, Zhong Z, Jiang H, Ouyang S, Zhu L, Xu R. Transperitoneal versus retroperitoneal laparoscopic nephroureterectomy in the management of upper urinary tract urothelial carcinoma: a matched-pair comparison based on perioperative outcomes. Surg Endosc. 2016;30:5537–5541. doi: 10.1007/s00464-016-4922-x. [PubMed] [CrossRef] [Google Scholar]
5. Kim CH, Kim KT, Kim KH, Yoon SJ. Hand-assisted retroperitoneoscopic nephroureterectomy with bladder cuffing after preperitoneal and retroperitoneal perivesical ballooning. Korean J Urol. 2014;55:29–35. doi: 10.4111/kju.2014.55.1.29. [PMC free article] [PubMed] [CrossRef] [Google Scholar]
6. Verges DP, Lallas CD, Hubosky SG, Bagley DH., Jr Endoscopic treatment of upper tract urothelial carcinoma. Curr Urol Rep. 2017;18:31. doi: 10.1007/s11934-017-0675-x. [PubMed] [CrossRef] [Google Scholar]
7. Kang HW, Jung HD, Ha YS, Kim TH, Kwon TG, Byun SS, Yun SJ, Kim WJ, Choi YD. Preoperative underweight patients with upper tract urothelial carcinoma survive less after radical nephroureterectomy. J Korean Med Sci. 2015;30:1483–1489. doi: 10.3346/jkms.2015.30.10.1483. [PMC free article] [PubMed] [CrossRef] [Google Scholar]
8. Mandalapu RS, Matin SF. Contemporary evaluation and management of upper tract urothelial cancer. Urology. 2016;94:17–23. doi: 10.1016/j.urology.2015.12.035. [PubMed] [CrossRef] [Google Scholar]
9. Hanna N, Sun M, Trinh QD, Hansen J, Bianchi M, Montorsi F, Shariat SF, Graefen M, Perrotte P, Karakiewicz PI. Propensity-score-matched comparison of perioperative outcomes between open and laparoscopic nephroureterectomy: a national series. Eur Urol. 2012;61:715–721. doi: 10.1016/j.eururo.2011.12.026. [PubMed] [CrossRef] [Google Scholar]
10. Favaretto RL, Shariat SF, Chade DC, Godoy G, Kaag M, Cronin AM, Bochner BH, Coleman J, Dalbagni G. Comparison between laparoscopic and open radical nephroureterectomy in a contemporary group of patients: are recurrence and disease-specific survival associated with surgical technique? Eur Urol. 2010;58:645–651. doi: 10.1016/j.eururo.2010.08.005. [PMC free article] [PubMed] [CrossRef] [Google Scholar]
11. Ni S, Tao W, Chen Q, Liu L, Jiang H, Hu H, Han R, Wang C. Laparoscopic versus open nephroureterectomy for the treatment of upper urinary tract urothelial carcinoma: a systematic review and cumulative analysis of comparative studies. Eur Urol. 2012;61:1142–1153. doi: 10.1016/j.eururo.2012.02.019. [PubMed] [CrossRef] [Google Scholar]
12. Wang J, Yu S, Men C, Lin C, Zhang Z, Gao Z, Zhang Y, Wang K. Transurethral electric coagulation combined with retroperitoneal laparoscopic nephroureterectomy for upper urinary urothelial carcinoma. Int Surg. 2015;100:547–551. doi: 10.9738/INTSURG-D-13-00282.1. [PMC free article] [PubMed] [CrossRef] [Google Scholar]
13. Matsumoto K, Hirayama T, Kobayashi K, Hirano S, Nishi M, Ishii D, Tabata K, Fujita T, Iwamura M. Laparoscopic retroperitoneal nephroureterectomy is a safe and adherent modality for obese patients with upper urinary tract urothelial carcinoma. Asian Pac J Cancer Prev. 2015;16:3223–3227. doi: 10.7314/APJCP.2015.16.8.3223. [PubMed] [CrossRef] [Google Scholar]
14. Fang Z, Li L, Wang X, Chen W, Jia W, He F, Shen C, Ye G. Total retroperitoneal laparoscopic nephroureterectomy with bladder-cuff resection for upper urinary tract transitional cell carcinoma. J Invest Surg. 2014;27:354–359. doi: 10.3109/08941939.2014.930214. [PubMed] [CrossRef] [Google Scholar]
15. Li P, Tao J, Deng X, Qin C, Cheng Y, Li P, Zhang J, Cao Y, Yang X, Yang C, Lu Q. Extraperitoneal laparoscopic radical nephroureterectomy and lymph node dissection in modified supine position. Urology. 2017;107:126–131. doi: 10.1016/j.urology.2017.05.048. [PubMed] [CrossRef] [Google Scholar]
16. Xylinas E, Rink M, Cha EK, Clozel T, Lee RK, Fajkovic H, Comploj E, Novara G, Margulis V, Raman JD, et al. Impact of distal ureter management on oncologic outcomes following radical nephroureterectomy for upper tract urothelial carcinoma. Eur Urol. 2014;65:210–217. doi: 10.1016/j.eururo.2012.04.052. [PubMed] [CrossRef] [Google Scholar]
17. Carrion A, Huguet J, Garcia-Cruz E, Izquierdo L, Mateu L, Musquera M, Ribal MJ, Alcaraz A. Intraoperative prognostic factors and atypical patterns of recurrence in patients with upper urinary tract urothelial carcinoma treated with laparoscopic radical nephroureterectomy. Scand J Urol. 2016;50:305–312. doi: 10.3109/21681805.2016.1144219. [PubMed] [CrossRef] [Google Scholar]
18. Kim HS, Ku JH, Jeong CW, Kwak C, Kim HH. Laparoscopic radical nephroureterectomy is associated with worse survival outcomes than open radical nephroureterectomy in patients with locally advanced upper tract urothelial carcinoma. World J Urol. 2016;34:859–869. doi: 10.1007/s00345-015-1712-3. [PubMed] [CrossRef] [Google Scholar]
19. Zou L, Zhang L, Zhang H, Jiang H, Ding Q. Comparison of post-operative intravesical recurrence and oncological outcomes after open versus laparoscopic nephroureterectomy for upper urinary tract urothelial carcinoma. World J Urol. 2014;32:565–570. doi: 10.1007/s00345-013-1160-x. [PubMed] [CrossRef] [Google Scholar]
20. Tibi B, Quintens H, Carpentier X, Albano L, Durand M, Amiel J. Management of the bladder cuff removal by open excision versus transurethral resection of the ureteral orifice after laparoscopic radical nephroureterectomy in upper urinary tract--urothelial carcinoma. Prog Urol. 2014;24:94–101. doi: 10.1016/j.purol.2013.08.320. [PubMed] [CrossRef] [Google Scholar]
您需要登录后才可以回帖 登录 | 注册

本版积分规则

丁香叶与你快乐分享

微信公众号

管理员微信

服务时间:8:30-21:30

站长微信/QQ

← 微信/微信群

← QQ

Copyright © 2013-2025 丁香叶 Powered by dxye.com  手机版 
快速回复 返回列表 返回顶部