仿气腹25孔3单端腔镜训练箱训练用单针/双针带线【出售】-->外科训练模块总目录
「训练教具器械汇总」管理员微信/QQ12087382[问题反馈]
开启左侧

颌面部肿瘤术后动态面部和美学重建的前外侧大腿嵌合皮瓣病例报告

[复制链接]
发表于 2019-7-28 00:01:00 | 显示全部楼层 |阅读模式

马上注册,结交更多好友,享用更多功能,让你轻松玩转社区。

您需要 登录 才可以下载或查看,没有账号?注册

×
概要
背景
头颈部恶性肿瘤外科手术管理常常导致功能和美学缺陷,这些缺陷会损害患者的生活质量。在这些情况下,可以通过假体解决重建,但是各种类型的显微手术游离皮瓣可以提供更好的临床结果。

案例介绍
在本病例报告中,在左中部第三次复发基底细胞癌后,从一名42岁的患者手术切除肿瘤和部分面部肌肉和神经。用前外侧大腿嵌合I型筋膜 - 肌皮瓣重建组织缺损,其中面神经麻痹用股神经的节段分支恢复,并且所涉及的口角提升肌肉用于分割的股外侧肌。 6个月的随访显示了良好的美学效果,软组织缺损重建,具有良好的重建面神经功能活动和可接受的模拟运动。之后没有再发生过。

结论
结论:嵌合型I型前外侧筋膜 - 肌皮瓣游离皮瓣可以为颌面部广泛组织缺损的美学和功能重建提供良好的选择。

关键词:颌面外科,显微外科,动态重建,基底细胞癌,股前外侧皮瓣

背景
作为复杂肿瘤治疗的一部分,头颈部恶性肿瘤的手术切除对临床结果具有相当大的影响。这些手术通常不仅导致颅面骨骼的严重缺陷,而且导致模拟肌肉的软组织覆盖和功能的严重缺陷,并且这些损伤的复杂性需要使用具有不同功能的不同类型的组织用于重建。

颌面完整性的恢复可以通过游离或血管化的自体骨移植来实现,但同种异体骨或人工材料也在颌面部缺损的重建中起重要作用。软组织覆盖是主要治疗的基本部分。虽然局部和区域皮瓣提供了一种简单实用的解决方案,但是游离皮瓣(目前应用越来越多)可以提供更加令人满意的美学和功能性结果。颌面部肿瘤手术后常见的并发症是部分或全部面神经麻痹,导致由于颞叶分支病变引起的额叶肌萎缩导致眉毛无法抬高等问题,以及眼睛干涩或眼轮匝肌缺乏引起的溢泪[1]。缺乏其他口腔功能及其后果(例如无法抬高嘴角和流口水)可以对社交互动产生显著影响[2,3]。在选择合适的皮瓣时涉及许多因素,例如缺损的大小和位置,皮瓣和受体部位的血液供应,或重建介入的目的(例如美学或功能期望)。因此,如果患者要达到可接受的美学或功能结果,则必须意识到功能性解剖学方面和显微外科重建的高级经验。

案例介绍
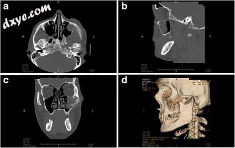
在42岁患者的左中部区域通过组织学证实了基底细胞癌的第三次复发(图1A)。术前CT成像显示肿瘤侵犯上颌窦,眶底和周围软组织,例如面部皮肤,皮下组织和口腔提升肌(图2)。

1.jpg
图1
左中表面基底细胞癌的术前表现(a)和根治性肿瘤切除术(b-d)

2.jpg
图2
冠状(a),矢状(b)和轴(c)视图的CT扫描和侧视图中的三维重建(d)

进行根治性肿瘤切除联合部分上颌骨切除术和广泛的肿瘤周围软组织切除术。 面神经的边缘下颌分支可以被抢救,但是模拟肌的颧骨分支由于它们被肿瘤浸润而被消融。 切除了主要和次要的颧弓,提肌,上睑提肌和颊肌(图1B-D)。 在部分上颌骨切除术后,用钛网(Titanium Contourable Mesh Plates,可延展的,1.3mm,Synthes Medical Hungary,Budapest,Hungary)重建眶底。

在肿瘤切除的同时,在大腿左侧采集嵌合型I型ALT筋膜皮瓣和股外侧肌段皮瓣(图3)[4]。两者均由外旋股动脉下行支的穿支提供。通过使用双极电刺激器(Aesculap GN015,B.Braun Melsungen AG,Melsungen,Germany)鉴定支配所选肌肉节段的股神经的节段分支,并在手术显微镜下制备(HEZ 2429,Möller-Wedel GmbH) &Co。KG,Wedel,Germany)通过神经干内神经内切除术以获得更多的神经长度。解剖并切开股外侧肌,提供适当的长度来代替角提升。将嵌合I型皮瓣移植到中面缺损上(图4)。股外侧肌肌肉段用2.0单丝,可吸收的间断缝合线(PDS,Ethicon,One Johnson&Johnson Plaza,New Brunswick,New Jersey,USA)固定到modiolus和颞筋膜上。在左侧面部和左侧旋股动脉之间以及左侧面部和左侧旋支股静脉之间产生血管吻合。通过肌肉运动神经和先前选择的面神经颊支的共同适应来尝试该区域的动态功能重建.9.0单丝,不可吸收(Prolene®,Ethicon,One Johnson&Johnson Plaza,New Brunswick美国新泽西州中断缝合线用于吻合上述动脉和神经,并在静脉吻合处缝合两根半缝合线。用针迹对穿孔动脉进行标记,以便用手持式多普勒探针观察灌注。受区和供端主要关闭。

3.jpg
图3
在大腿左侧标记手术部位和穿支血管(a)。 用回旋股动脉血管(LCFV)(b,c)和股神经和穿支血管(PV)的节段分支抬高嵌合I型前外侧筋膜皮瓣(FC)和股外侧肌肌节(VL)皮瓣(d))

4.jpg
图4
受体侧(a),皮瓣位置(b,c)的血管和神经吻合,以及手术重建后的状态(d)

在定期随访期间(每月6个月),检查可能的并发症(例如出血,伤口愈合失败或脓肿形成)和功能改善。

组织学检查显示基底细胞癌浸润肌肉和骨组织,并且在外周具有栅栏状肿瘤细胞的巢形成。 组织学样本显示R0切除,具有宽的无肿瘤手术切缘。 随后的CT成像证实成功切除基底细胞癌,没有肿瘤复发或造影剂的病理积累(图5)。

5.jpg
图5
CT在手术前6个月(a)和侧(b)视图显示无肿瘤状态

从腮腺开始的唾液瘘被发现并在门诊治疗。 在站立或平静的位置未观察到位置面部不对称。 模拟肌肉的某些功能(例如唇部圆形)恢复,但是在手术治疗后6个月,提升左侧角部的能力仍然远低于完整侧的能力(图6)。

6.jpg
图6
患者的美学外观(a)和手术干预后6个月恢复的面神经功能(b-d)

讨论和结论
文献仅提供有限数量的建议,涉及具有广泛组织缺陷的基底细胞癌的管理。各种局部皮瓣,如前皮瓣,侧颊旋转皮瓣或颈阔肌肌皮瓣,可用于恶性病变切除后大面积颌面部缺损的重建[5]。然而,一项涉及685名患有765例基底细胞癌的患者的研究表明,通过使用带蒂皮瓣可以获得更好的功能和美学效果[6]。

颌面外科手术后面瘫等常见并发症对患者的社会交往影响很大。动态面部重建的目的是实现对称和协调的微笑,增强的脸颊张力,改善的语音和吃的能力[7]。科伊尔等人。发表了神经损伤后不同阶段面神经麻痹治疗方法的算法,但未考虑可能的软组织缺损[7]。 Chuang讨论了长期面瘫的治疗可能性,强调区域肌肉和微血管游离组织转移的可行性。虽然区域性肌肉转移是可靠的并且在没有自发模拟性质的情况下立即恢复运动,但它通常需要多次手术[8,9]。虽然这些方法通常无法恢复完整的颌面完整性并平衡面部运动,但它们是不符合免费微神经血管重建条件的患者的选择[10,11]。游离皮瓣可以提供同步的模拟运动,但可能需要延长的愈合时间[8]。关于肿瘤病变手术切除后广泛的软组织缺损和作者患者的一般健康状况,作者应用ALT嵌合皮瓣重建软组织缺损并纠正面瘫。该皮瓣的血液供应由侧旋股动脉的下行支支撑,因此其适用性需要复杂的重建解决方案[12]。

可以容易地获得肌皮肤ALT皮瓣并且可以提供用于填充组织缺陷的大量肌肉,以及重建颅面区域中的骨缺损的机会。可以改变前外侧区域皮下脂肪的厚度,以达到必要的皮瓣厚度,这使其非常适合口腔颌面部缺损的外科治疗[13,14]。供体部位的发病率,例如瘢痕周围敏感性降低,是患者常见的抱怨[15-18]。然而,在作者的情况下,在美学和功能上的供体部位缺陷是最小的,并且股四头肌功能不受影响。

面神经麻痹的动态重建需要仔细选择患者并采用适当的手术技术,如果预期效果良好[7]。许多研究表明,如果在2年内进行重建手术,可以获得明显更好的功能结果[19,20]。单阶段手术(重建软组织缺损和面部麻痹)可以提供更好的结果,但是必须考虑患者的一般健康状况,并且在某些情况下多级手术可能是不可避免的。各种神经移植物,例如咬肌或节段分支的神经移植物,影响功能和美学效果。虽然咬肌神经保证游离的自发性股薄肌肌肉激活而没有任何自发的微笑,但由节段分支支配的游离皮瓣成功率较低,导致运动较少;然而,可以观察到自发的微笑[21]。作者的患者的年龄和期望在颌面完整性的管理中发挥了重要作用,包括关于微血管游离组织转移与节段性神经分支相结合的决定。

头颈部肿瘤手术通常会导致复杂的功能和美学缺陷。这些广泛损伤的管理通常涉及治疗困难,并且外科医生可能不得不寻求新的机会以获得可接受的结果。一般而言,单阶段手术与较少的并发症和更好的神经再生相关。嵌合型I型ALT皮瓣可以是面部动态重建的良好选择,但外科医生还必须考虑个体解剖变异和其他潜在的治疗方案,以期获得令人满意的临床结果。

缩写
ALT        股前外侧
CT        计算机断层扫描

参考:
An anterolateral thigh chimeric flap for dynamic facial and esthetic reconstruction after oncological surgery in the maxillofacial region: a case report
1. Ishikawa Y. An anatomical study on the distribution of the temporal branch of the facial nerve. J Craniomaxillofac Surg. 1990;18(7):287–292. doi: 10.1016/S1010-5182(05)80533-5. [PubMed] [CrossRef] [Google Scholar]
2. Paletz JL, Manktelow RT, Chaban R. The shape of a normal smile: implications for facial paralysis reconstruction. Plast Reconstr Surg. 1994;93(4):784–789. doi: 10.1097/00006534-199404000-00020. [PubMed] [CrossRef] [Google Scholar]
3. Boahene K. Reanimating the paralyzed face. F1000Prime Rep. 2013;5:49. doi: 10.12703/P5-49. [PMC free article] [PubMed] [CrossRef] [Google Scholar]
4. Kim JT, Kim YH, Ghanem AM. Perforator chimerism for the reconstruction of complex defects: a new chimeric free flap classification system. J Plast Reconstr Aesthet Surg. 2015;68(11):1556–1567. doi: 10.1016/j.bjps.2015.07.004. [PubMed] [CrossRef] [Google Scholar]
5. Kumar SLK, Khalam SA, Jacob MM, Manuel S, Kurien NM, Varghese MP. Maxillofacial reconstruction following the excision of basal cell carcinoma: Case report. OA Case Reports 2014;18;3(7):63.
6. Piesold JU, Vent S, Krüger R, Pistner H. Treatment results after surgery for basal cell carcinomas of the head and neck region taking into consideration various reconstruction techniques. Mund Kiefer Gesichtschir. 2005;3:143–151. doi: 10.1007/s10006-005-0594-8. [PubMed] [CrossRef] [Google Scholar]
7. Coyle M, Godden A, Brennan PA, Cascarini L, Coombes D, Kerawala C, McCaul J, Godden D. Dynamic reanimation for facial palsy: an overview. Br J Oral Maxillofac Surg. 2013;51(8):679–683. doi: 10.1016/j.bjoms.2012.12.007. [PubMed] [CrossRef] [Google Scholar]
8. Chuang DC. Free tissue transfer for the treatment of facial paralysis. Facial Plast Surg. 2008;24:194–203. doi: 10.1055/s-2008-1075834. [PubMed] [CrossRef] [Google Scholar]
9. Robey AB, Snyder MC. Reconstruction of the paralyzed face. Ear Nose Throat J. 2011;90(6):267–275. [PubMed] [Google Scholar]
10. White H, Rosenthal E. Static and dynamic repairs of facial nerve injuries. Oral Maxillofac Surg Clin North Am. 2013;25(2):303–312. doi: 10.1016/j.coms.2013.02.002. [PubMed] [CrossRef] [Google Scholar]
11. Matic DB, Yoo J. The pedicled masseter muscle transfer for smile reconstruction in facial paralysis: repositioning the origin and insertion. J Plast Reconstr Aesthet Surg. 2012;65(8):1002–1008. doi: 10.1016/j.bjps.2012.03.021. [PubMed] [CrossRef] [Google Scholar]
12. Song YG, Chen GZ, Song YL. The free thigh flap: a new free flap concept based on the septocutaneous artery. Br J Plast Surg. 1984;37(2):149–159. doi: 10.1016/0007-1226(84)90002-X. [PubMed] [CrossRef] [Google Scholar]
13. Wolff KD. Indications for the vastus lateralis flap in oral and maxillofacial surgery. Br J Oral Maxillofac Surg. 1998;36(5):358–364. doi: 10.1016/S0266-4356(98)90647-7. [PubMed] [CrossRef] [Google Scholar]
14. Ren ZH, Wu HJ, Wang K, Zhang S, Tan HY, Gong ZJ. Anterolateral thigh myocutaneous flaps as the preferred flaps for reconstruction of oral and maxillofacial defects. J Craniomaxillofac Surg. 2014;42(8):1583–1589. doi: 10.1016/j.jcms.2014.04.012. [PubMed] [CrossRef] [Google Scholar]
15. Wolff KD, Howaldt HP. Three years of experience with the free vastus lateralis flap: an analysis of 30 consecutive reconstructions in maxillofacial surgery. Ann Plast Surg. 1995;34(1):35–42. doi: 10.1097/00000637-199501000-00008. [PubMed] [CrossRef] [Google Scholar]
16. Kimata Y, Uchiyama K, Ebihara S, Sakuraba M, Iida H, Nakatsuka T, Harii K. Anterolateral thigh flap donor-site complications and morbidity. Plast Reconstr Surg. 2000;106(3):584–589. doi: 10.1097/00006534-200009010-00009. [PubMed] [CrossRef] [Google Scholar]
17. Wolff KD, Kesting M, Thurmüller P, Böckmann R, Hölzle F. The anterolateral thigh as a universal donor site for soft tissue reconstruction in maxillofacial surgery. J Craniomaxillofac Surg. 2006;34(6):323–331. doi: 10.1016/j.jcms.2006.04.002. [PubMed] [CrossRef] [Google Scholar]
18. Townley WA, Royston EC, Karmiris N, Crick A, Dunn RL. Critical assessment of the anterolateral thigh flap donor site. J Plast Reconstr Aesthet Surg. 2011;64(12):1621–1626. doi: 10.1016/j.bjps.2011.07.015. [PubMed] [CrossRef] [Google Scholar]
19. Momeni A, Chang J, Khosla RK. Microsurgical reconstruction of the smile--contemporary trends. Microsurgery. 2013;33(1):69–76. doi: 10.1002/micr.22042. [PubMed] [CrossRef] [Google Scholar]
20. Terzis JK, Konofaos P. Reanimation of facial palsy following tumor extirpation in pediatric patients: our experience with 16 patients. J Plast Reconstr Aesthet Surg. 2013;66(9):1219–1229. doi: 10.1016/j.bjps.2013.04.002. [PubMed] [CrossRef] [Google Scholar]
21. Biglioli F, Colombo V, Tarabbia F, Autelitano L, Rabbiosi D, Colletti G, Giovanditto F, Battista V, Frigerio A. Recovery of emotional smiling function in free-flap facial reanimation. J Oral Maxillofac Surg. 2012;70(10):2413–2418. doi: 10.1016/j.joms.2011.11.031. [PubMed] [CrossRef] [Google Scholar]
发表于 2019-7-30 22:43:23 | 显示全部楼层
不错 支持
回复

使用道具 举报

您需要登录后才可以回帖 登录 | 注册

本版积分规则

丁香叶与你快乐分享

微信公众号

管理员微信

服务时间:8:30-21:30

站长微信/QQ

← 微信/微信群

← QQ

Copyright © 2013-2026 丁香叶 Powered by dxye.com  手机版 
快速回复 返回列表 返回顶部