仿气腹25孔3单端腔镜训练箱训练用单针/双针带线【出售】-->外科训练模块总目录
「训练教具器械汇总」管理员微信/QQ12087382[问题反馈]
开启左侧

肘关节内结节性筋膜炎切除术后肱骨远端继发动脉瘤性骨囊肿

[复制链接]
发表于 2019-4-29 00:00:55 | 显示全部楼层 |阅读模式

马上注册,结交更多好友,享用更多功能,让你轻松玩转社区。

您需要 登录 才可以下载或查看,没有账号?注册

×
概要
背景
结节性筋膜炎最常发生在皮下组织内,但也可能出现在骨骼肌,真皮,血管,周围神经内,尽管很少发生在关节内。关于动脉瘤性骨囊肿的原因,其自然病史和治疗结果的知识是有限的。继发性动脉瘤性骨囊肿与其他肿瘤过程有关。先前未报道肘关节内关节内结节性筋膜炎,肘关节内关节内结节性筋膜炎继发动脉瘤性骨囊肿也未见报道。

案例介绍
作者报告了一例患有1年右肘疼痛史的日本13岁男孩的不寻常病例。疼痛的发作是危险的,没有先前的创伤。在体格检查中,肘部的运动范围有限。受影响的肢体的握力降低。进行切口活检,组织学检查发现肘关节有结节性筋膜炎。肿瘤切除后,肱骨远端发生继发性动脉瘤性骨囊肿。进行内窥镜辅助刮除术和人工骨移植。手术后一年,平片显示没有复发,患者恢复了日常活动,没有任何症状。

结论
在肘关节内切除关节内结节性筋膜炎后,肱骨远端出现动脉瘤性骨囊肿。经内镜辅助刮除术和人工骨移植后,继发性动脉瘤性骨囊肿成功愈合。该病例的发现表明这两种肿瘤存在于USP6诱导的肿瘤定义的相同生物谱中。

关键词:动脉瘤性骨囊肿,关节内结节性筋膜炎,肘关节炎

背景
结节性筋膜炎是成纤维细胞的良性,自限性增殖,优选年轻成人的上肢,躯干和头颈部。 Konwaler等。 1955年首次将这种疾病报告为皮下假性肉瘤性纤维瘤病[1]。结节性筋膜炎最常发生在皮下组织内,但也可能出现在骨骼肌,真皮,血管和周围神经内,很少发生在关节内[2-5]。

动脉瘤性骨囊肿也是良性,局部侵袭性骨性病变,最早由Jaffe和Lichtenstein于1942年评论[6]。原发性动脉瘤性骨囊肿占所有动脉瘤性骨囊肿诊断的约70%。继发性动脉瘤性骨囊肿可与其他肿瘤过程联合发展[7]。动脉瘤性骨囊肿是特定病理生理变化的结果,可能是创伤或肿瘤引起的异常血管过程的结果[8]。

最近,Oliveira和Chou认为动脉瘤性骨囊肿和结节性筋膜炎与USP6诱导的肿瘤存在相同的生物学谱[9]。

在这里,作者提出在肘关节内切除关节内结节性筋膜炎后肱骨远端继发性动脉瘤性骨囊肿的病例。

案例介绍
一名日本13岁男孩患有1年右肘疼痛病史。疼痛的发作是阴险的,没有先前的创伤。他报告了肘关节屈曲和伸展的疼痛。他没有疾病史,他的家人没有肌肉骨骼疾病史。在体格检查中,肘部的屈曲和伸展被限制在116°-30°的范围内。受影响的肢体的握力降至16 kg,而左侧为21 kg。神经血管检查显示正常结果,无淋巴结肿大或其他肿大。

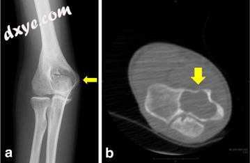
右肘的平片和计算机断层扫描(CT)显示肱骨远端前部有扇形(图1a-c)。磁共振成像(MRI)显示肘关节前部有多个软质量为3×2×2 cm。在T1加权MRI上,病变与肌肉呈等信号(图2a),T2加权成像时主要为高信号,肘关节后关节有液体渗出(图2b)。后钆序列显示厚,外周和间隔增强,这不仅对于肿块而且对整个肘关节都是明显的(图2c)。色素性绒毛结节性滑膜炎,局限性结节性滑膜炎和复杂神经节被认为可能是鉴别诊断。然而,不能排除软组织肉瘤的可能性。在局部麻醉下进行切口活检,组织学检查发现肘关节有结节性筋膜炎。

1.jpg
图1
入院时的平片和计算机断层扫描(CT)结果。 右肘的平片(a),轴向CT(b)和矢状CT(c)显示肱骨远端前部的扇形(黄色箭头)。

2.jpg
图2
入院时的磁共振成像(MRI)结果。 MRI显示多个软质肿块在肘关节前部测量总共3×2×2cm(黄色箭头)。在T1加权MRI上,病变与肌肉呈等信号(a),在T2加权成像中主要为高信号,后肘关节有液体渗出(b)。后钆序列显示没有焦点,这表明含铁血黄素沉积。厚度,周边和隔膜增强不仅见于肿块,还见于整个肘关节(c)。

作者在全身麻醉下进行了切除活检。在切开肘管的侧囊后,将包裹的团块暴露并切除(图3a)。部分肿瘤存在于肱骨远端,因此也进行了刮除术。用尼龙4-0缝线修复外侧副韧带复合体。手术后,对肘部施加压迫绷带2周,然后在手部治疗师的监督下开始主动和被动的运动范围练习。病理检查证实了结节性筋膜炎的典型组织学特征,包括细胞学上平淡,均匀的丰满梭形细胞,在胶原基质内排列成短的交叉束(图3b)。免疫组织化学显示样品对平滑肌肌动蛋白(SMA)呈弥漫性阳性(图3c),但对S-100,结蛋白,CD34,抗细胞角蛋白(CAM5.2),泛细胞角蛋白抗体(AE1 / AE3)呈阴性,和间变性淋巴瘤激酶。肘关节症状逐渐消退,患者在切除活检后恢复正常活动。

3.jpg
图3
手术,病理和免疫组化结果。在切开肘管的侧囊后,将包裹的物质(黄色箭头)暴露并切除(a)。病理检查显示结节性筋膜炎的典型组织学特征,包括细胞学上平淡,均匀的丰满梭形细胞,排列在胶原基质内的短交叉束中(b)。免疫组织化学显示平滑肌肌动蛋白的弥散阳性(c)。

术后1年,平片和CT显示肱骨远端骨骺有大的骨囊肿(图4a,b)。在T1加权成像时,病变对肌肉呈低信号(图5a),在T2加权脂肪饱和序列上主要为高信号(图5b)。后钆序列显示囊肿的外周增强(图5c)。 MRI显示肱骨远端骨骺中有单纯的骨囊肿或动脉瘤性骨囊肿。在全身麻醉下进行内窥镜辅助刮除和人工骨移植(OSferion; Olympus Terumo Biomaterials,Tokyo,Japan)。图6a,b显示了来自骨囊肿的内窥镜检查的视图。刮除术样本的病理检查显示动脉瘤样骨囊肿。充满血液的腔室结构不规则,有骨骼和纤维组织。未发现的骨形成与纤维隔膜一起被识别(图7)。刮除术和人工骨移植术后一年,平片显示无复发(图8a,b)。在体格检查中,肘关节的屈曲和伸展恢复到134°-0°的范围。受影响的肢体的握力也恢复到31公斤,而健康方面则为30公斤。患者在没有任何症状的情况下恢复了日常活动。

4.jpg
图4
随访平片和计算机断层扫描(CT)结果。 在切除活组织检查后1年,平片(a)和CT(b)显示肱骨远端骨骺有一个大的骨囊肿(黄色箭头)。

5.jpg
图5
随访磁共振成像(MRI)发现。 在T1加权MRI上,病变对肌肉呈现低信号(a),在T2加权脂肪饱和序列上主要为高信号(b)。 后钆序列显示囊肿的外周增强(c)。 MRI显示肱骨远端的单纯骨囊肿或动脉瘤性骨囊肿(黄色箭头)。

6.jpg
图6
从骨囊肿的内窥镜检查看。 囊肿内的结构显示在刮除术前(a)和刮除术后(b)。

7.jpg
图7
刮除术样本的病理检查。 通过刮除获得的标本的病理学检查显示动脉瘤样骨囊肿。 充满血液的腔室结构不规则,有骨骼和纤维组织。

8.jpg
图8
刮除术和人工骨移植术后1年的平片。 刮除术和人工骨移植术后一年,前后位(a)和侧位(b)视图的平片显示无复发。 患者恢复日常活动,没有任何症状。

讨论
关节内结节性筋膜炎是一种罕见的病理。 以前只描述过一例肘关节结节性筋膜炎,但肘关节内没有肿瘤[10]。 Hornick等人。 报告了10例关节内结节性筋膜炎,其中膝关节有7处病变,手部有2处,踝部有1处。 在免疫组织化学检查中,所有病例均出现SMA弥漫性阳性。 组织学特征与结节性筋膜炎基本相同,除了相对频繁存在广泛的间质透明化和其他退行性改变[5]。

关于动脉瘤性骨囊肿的原因,其自然病史和治疗结果的知识是有限的。在先前的研究中,研究结果表明,动脉瘤样囊肿可能是其他病变患者出现的出血性降解事件的结果,包括巨细胞瘤,血管瘤,软骨母细胞瘤,成骨细胞瘤,非骨化性纤维瘤,纤维异常增生,软骨粘液样纤维瘤,嗜酸性肉芽肿。和其他肿瘤[6,7]。 Jaffe和Lichtenstein [11,12]都注意到肿瘤和创伤之间的联系。根据Mirra等人的说法,所谓的动脉瘤性骨囊肿既不是囊肿也不是肿瘤;相反,它可能是骨内动静脉畸形的骨膜,与其他众所周知的良性甚至恶性病变相关并不常见[13]。最近报道了动脉瘤性骨囊肿和结节性筋膜炎的生物学谱。动脉瘤性骨囊肿和结节性筋膜炎的特征在于结构相似的USP6融合基因。 USP6是一种遍在蛋白特异性蛋白酶,二十年前在Ewing肉瘤DNA的转染实验中被鉴定为致癌基因。在动脉瘤性骨囊肿和结节性筋膜炎中鉴定结构相似的USP6融合基因表明这些是可能属于相同生物谱的克隆性肿瘤疾病[9]。在本案例中,考虑了发展继发性动脉瘤骨囊肿形成的两种机制。一个是在关节内结节性筋膜炎切除和肱骨远端病变刮除后,骨膜内动静脉畸形可能已经发展成骨膜。然后,在手术后的重塑过程中可能已经发生肱骨远端骨骺的继发性动脉瘤性骨囊肿。另一种病理机制涉及类似的USP6融合基因。结节性筋膜炎的部位主要位于桡侧。然而,动脉瘤性骨囊肿仅存在于肱骨远端的尺侧。作者不能仅通过外科手术后的重塑过程来解释发病机制。虽然作者没有进行分子诊断,但这一案例强烈表明这两种肿瘤存在于USP6诱导的肿瘤定义的相同生物谱中。

曼金等人。回顾了150例动脉瘤样骨囊肿患者。各种治疗方法(包括刮除术和插入骨移植物或聚甲基丙烯酸甲酯)后的复发率为20%[7]。在另一系列96例中,术后动脉瘤性骨囊肿的总体复发率包括刮除和辅助治疗,为11.5%。刮除术和单独高速治疗后复发率为20.6%,刮除术后加入氩离子束凝固后高速治疗后复发率为7.5%[14]。在这种情况下,成功地进行了内窥镜辅助刮除术。刮除术和人工骨移植术后一年,平片显示无复发。

结论
作者报道了一例罕见的肘关节内结节性筋膜炎,并在肿瘤切除后发展为动脉瘤性骨囊肿。成功进行了内窥镜辅助刮除术。结节性筋膜炎的部位主要位于桡侧,而动脉瘤性骨囊肿仅存在于肱骨远端的尺侧。发病机制不能仅通过手术后的重塑过程来解释。尽管未进行分子诊断,但本病例的发现表明这两种肿瘤存在于USP6诱导的肿瘤定义的相同生物谱中。

参考:
Secondary aneurysmal bone cyst in the distal humerus after resection of intra-articular nodular fasciitis of the elbow
1. Konwaler BE, Keasbey L, Kaplan L. Subcutaneous pseudosarcomatous fibromatosis (fasciitis) Am J Clin Pathol. 1955;25:241–252. [PubMed] [Google Scholar]
2. Price SK, Kahn LB, Saxe N. Dermal and intravascular fasciitis. Unusual variants of nodular fasciitis. Am J Dermatopathol. 1993;15:539–543. doi: 10.1097/00000372-199312000-00004. [PubMed] [CrossRef] [Google Scholar]
3. Chi AC, Dunlap WS, Richardson MS, Neville BW. Intravascular fasciitis: report of an intraoral case and review of the literature. Head Neck Pathol. 2012;6:140–145. doi: 10.1007/s12105-011-0284-9. [PMC free article] [PubMed] [CrossRef] [Google Scholar]
4. Yano K, Kazuki K, Yoneda M, Ikeda M, Fukushima H, Inoue T. Intraneural nodular fasciitis of the median nerve: case report and literature review. J Hand Surg Am. 2011;36:1347–1351. doi: 10.1016/j.jhsa.2011.05.034. [PubMed] [CrossRef] [Google Scholar]
5. Hornick JL, Fletcher CD. Intraarticular nodular fasciitis—a rare lesion: clinicopathologic analysis of a series. Am J Surg Pathol. 2006;30:237–241. doi: 10.1097/01.pas.0000180441.48904.50. [PubMed] [CrossRef] [Google Scholar]
6. Jaffe HL, Lichtenstein L. Solitary unicameral bone cyst with emphasis on the roentgen picture, the pathologic appearance and the pathogenesis. Arch Surg. 1942;44:1004–1025. doi: 10.1001/archsurg.1942.01210240043003. [CrossRef] [Google Scholar]
7. Mankin HJ, Hornicek FJ, Ortiz-Cruz E, Villafuerte J, Gebhardt MC. Aneurysmal bone cyst: a review of 150 patients. J Clin Oncol. 2005;23:6756–6762. doi: 10.1200/JCO.2005.15.255. [PubMed] [CrossRef] [Google Scholar]
8. Kransdorf MJ, Sweet DE. Aneurysmal bone cyst: concept, controversy, clinical presentation, and imaging. AJR Am J Roentgenol. 1995;164:573–580. doi: 10.2214/ajr.164.3.7863874. [PubMed] [CrossRef] [Google Scholar]
9. Oliveira AM, Chou MM. USP6-induced neoplasms: the biologic spectrum of aneurysmal bone cyst and nodular fasciitis. Hum Pathol. 2014;45:1–11. doi: 10.1016/j.humpath.2013.03.005. [PubMed] [CrossRef] [Google Scholar]
10. Frei S, de Lange EE, Fechner RE. Case report 690. Nodular fasciitis of the elbow. Skeletal Radiol. 1991;20:468–471. doi: 10.1007/BF00191095. [PubMed] [CrossRef] [Google Scholar]
11. Jaffe HL. Aneurysmal bone cyst. Bull Hosp Joint Dis. 1950;11:3–13. [PubMed] [Google Scholar]
12. Lichtenstein L. Aneurysmal bone cyst. A pathological entity commonly mistaken for giant-cell tumor and occasionally for hemangioma and osteogenic sarcoma. Cancer. 1950;3:279–289. doi: 10.1002/1097-0142(1950)3:2<279::AID-CNCR2820030209>3.0.CO;2-F. [CrossRef] [Google Scholar]
13. Mirra JM. Aneurysmal bone cyst. In: Mirra JM, Picci P, Gold RH, editors. Bone tumors: clinical, radiologic, and pathologic correlations. Philadelphia: Lea & Febiger; 1989. pp. 1267–1311. [Google Scholar]
14. Steffner RJ, Liao C, Stacy G, Atanda A, Attar S, Avedian R, Peabody TD. Factors associated with recurrence of primary aneurysmal bone cysts: is argon beam coagulation an effective adjuvant treatment? J Bone Joint Surg Am. 2011;93:1221–1229. doi: 10.2106/JBJS.J.01067. [PubMed] [CrossRef] [Google Scholar]
您需要登录后才可以回帖 登录 | 注册

本版积分规则

丁香叶与你快乐分享

微信公众号

管理员微信

服务时间:8:30-21:30

站长微信/QQ

← 微信/微信群

← QQ

Copyright © 2013-2025 丁香叶 Powered by dxye.com  手机版 
快速回复 返回列表 返回顶部