仿气腹25孔3单端腔镜训练箱训练用单针/双针带线【出售】-->外科训练模块总目录
「训练教具器械汇总」管理员微信/QQ12087382[问题反馈]
开启左侧

动脉化静脉骨瓣的实验研究

[复制链接]
发表于 2019-4-5 00:00:13 | 显示全部楼层 |阅读模式

马上注册,结交更多好友,享用更多功能,让你轻松玩转社区。

您需要 登录 才可以下载或查看,没有账号?注册

×
概要
在动脉化静脉瓣(AVF)中,静脉网络用于使皮瓣再血管化。虽然已报道AVF在软组织中的可行性,但尚未对骨质AVF进行研究。在这项研究中,作者的目的是评估猪模型中骨质AVF的皮瓣存活率。 18只猪的内侧股骨髁皮瓣抬高。创建了三组:AVF(n = 6),常规动脉瓣(cAF,n = 6)和骨移植(BG,n = 6)。 AVF是通过与一个腔静脉吻合的膝动脉吻合创建的,同时留下一条传出静脉用于引流。 6个月后收获标本。 cAF和AVF中骨组织学和组织形态学显著优于AVF中骨量较高的骨移植物(p = 0.01)。该研究表明,使用静脉网络的动脉化技术可以支持骨质游离皮瓣并存活。骨瓣中AVF的概念对于动脉不足但发育良好的静脉的游离皮瓣的血运重建可能是可行的。需要进一步的实验和临床研究来评估临床使用动脉化静脉骨瓣的可行性。

动脉化静脉皮瓣(AVF)是在没有常规血管蒂的情况下收获的组织瓣。通过将受体动脉与皮瓣内的静脉丛吻合来实现皮瓣的灌注。首先在Nakayama等人的大鼠实验研究中引入AVF。随后的作者报道了静脉系统动脉化的各种技术。已经报道了动脉流入技术(流入静脉的配置,流入阀的方向)以及提供流出物(传出静脉或流出动脉)2,3的变化。实验和临床研究证明了各种AVF技术的可行性和相对可靠性4,5,6,7,8,9,10,11。

关于AVF中组织灌注的机制尚未达成共识。作者提出,皮瓣存活可以通过动静脉分流11,从小静脉进入毛细血管系统12的逆转,或通过静脉系统氧合而不进入动脉系统13来解释。

尽管AVF成功组织灌注的机制尚不清楚,但临床和实验经验已证实使用这种非常规技术可以使皮瓣存活。这扩大了皮瓣收获的可能供体部位的范围,并使供体部位的发病率降至最低。

尚不清楚这种技术的潜在优势是否可用于含有其他组织类型的皮瓣。本研究的目的是同样评估AVF通过静脉系统动脉化灌注骨瓣的可行性。

材料与方法
动物实验根据世界动物卫生组织动物福利指南进行,并经土耳其阿达纳Cukurova大学当地动物伦理委员会批准。在该研究中使用了在Çukurova大学的医学实验研究中心(DETAUM)繁殖的18只成年,6至8个月大的家猪。在手术中,他们的体重是40±5公斤。将它们保持在高热量饲料上并随意饮水。骨内节段从股骨内侧髁突起。创建了三个不同的骨段:常规动脉骨瓣(cAF,n = 6),动脉化静脉骨瓣(AVF,n = 6)和非带蒂骨移植物作为对照组(BG,n = 6)。每只猪都使用左股骨创建三个骨段中的一个。在程序结束时,允许猪返回行走并保持6个月。

通过静脉内致死剂量的硫喷妥钠和钾处理6个月后处死所有猪。将收获的样品脱钙并准备用于组织形态学和组织学评估。

手术方法
通过肌内注射20mg / kg氯胺酮(Alfamyne,Egevet,İzmir,土耳其),2mg / kg甲苯噻嗪(Rompun,Bayer,伊斯坦布尔,土耳其)和0.5mg硫酸阿托品预先给药猪。静脉内施用15mg / kg硫喷妥钠(Pental Sodyum,I.E.Ulagay,İstanbul,Turkey)进行全身麻醉。作为预防性抗生素,术前给所有猪静脉注射1g头孢唑啉钠(Sefazol,MustafaNevzatİlaç,伊斯坦布尔,土耳其)。

如前所述,股骨远端股骨用于根据下行膝动脉及其静脉伴侣来抬高内侧股骨髁瓣14,15。在腿的内侧进行8-10cm的纵向切口。股内侧肌在前面反折,暴露内侧股骨。解剖骨膜血管和下行膝动脉和伴随的静脉(图1)。

1.jpg
图1
显示左股骨内侧股骨髁。
解剖蒂,并显示下行膝动脉和伴随的静脉伴行。

在具有常规动脉瓣(cAF)的组中,蒂保持完整并且保留了骨膜的连续性。结扎动脉和并行静脉的远端,并使用Fisher提升皮质骨膜瓣。 (图2)从相邻的股骨干和相同尺寸的骨瓣中采集单皮质骨块。将收获的骨移植物置于骨瓣下方,使骨内膜部位朝上。用12mm拉力螺钉(Synthes)固定骨瓣/骨移植物夹层,形成腔室,最终新生成的骨骼可以生长(图3)。使用一层薄骨水泥来划线股骨干中产生的缺损,并将骨瓣嵌入骨水泥中。施加粘合剂层是为了防止血管从股骨下面的相邻髓管向内生长到实验骨段(图4)。

2.jpg
图2
显示股骨内侧髁骨瓣翻转。
蒂的远端结扎。

3.jpg
图3
展示血管内侧髁瓣,其已用非血管化骨块固定,形成骨腔。

4.jpg
图4
通过用一层骨水泥衬托供体部位,将皮瓣与周围骨的血运重建分离,并使皮瓣返回其原始位置。
在AVF组中,有意地横切动脉蒂和两个静脉组织中的一个。 第二个并行静脉保持不变(图5)。 使用11.0 Ethilon和手术放大镜将膝动脉与横断的静脉伴行吻合(图6)。 没有横切的第二个并行静脉用作排水静脉。 所有吻合术均由经验丰富的微血管外科医生(AG,HB,JH)共同作者完成。 在成功吻合后,切开骨膜,结扎蒂的远端,并以与上述相同的方式抬起骨瓣。 产生骨腔,在使用薄的骨水泥层将缺陷排列成类似于上述常规皮瓣组之后,将其返回到采集部位。

5.jpg
图5
展示动静脉吻合术前血管的准备。
下行膝动脉向远端结扎并向近端夹紧。 将一个腔静脉夹紧器向远侧夹紧并向近端结扎。 第二个静脉并行留作传出静脉用于引流。

6.jpg
图6
证实了动静脉吻合术。
在对照组中,用两个非血管化的骨移植物形成骨腔,并以与上述相同的方式将其绝缘。

在所有三组中,膝关节在整个解剖过程中保持闭合。手术完成后,进行分层伤口闭合。

组织学方法
将从每组获得的样品固定在10%福尔马林中并在5%硝酸中脱钙用于组织学检查。在石蜡包埋后,制备5μm厚的切片并用苏木精和曙红染色。来自每个样本的两个载玻片由不知道分组的2位组织学家检查。

分析了板层骨和骨小梁的发育,骨缺损中骨细胞的存在,软骨 - 骨转化区域,Haversian系统中血管的存在,以评估骨活力。

在切片中评估了空隙中骨细胞的存在,周围细胞活动的出现以及间质层状骨细胞的存在。根据这些标准进行坏死和生存力的组织学评估。

组织形态学分析
组织学载玻片的数字图像是用数码相机(Olympus DP 70,Tokyo,Japan)以×4的放大率连接到显微镜(Olympus BX50,Tokyo,Japan)获得的。将获得的图像转移至个人计算机,并使用WinTAS(Trabecular Analyze System,版本1.2.9)进行组织形态学分析。评估以下参数:骨体积相对于总测量体积(BV / TV),小梁厚度(TbTh),小梁数(TbN)和小梁分离(TbSp)的百分比。这些首字母缩写词和缩写词是由美国骨与矿物研究委员会提出的。

统计分析
所有分析均使用SPSS 20.0统计软件包(IBM SPSS Statistics)进行。连续变量总结为平均值和标准偏差,并在适当时作为中位数和最小值 - 最大值。为了比较两组之间的连续变量,使用Mann Whitney U检验。 Kruskal Wallis检验用于比较两组以上。所有测试的统计学显著性水平被认为是0.05。没有针对多重比较调整给定的p值。

结果
组织学发现
组织学检查所有骨组的标本的质量和骨的存活力。不幸的是,有两只动物在术后病程中死亡。由于作者对这些动物进行了动脉皮瓣和骨移植,因此cAF和BG组的标本数量减少了。

组织学上观察到cAF(n = 4)和AVF(n = 6)组之间没有显著差异。两组中的骨被骨膜覆盖,骨膜由外部纤维层组成,具有不规则的致密结缔组织和内部更多的细胞层。下面的骨骼主要由具有血管和神经纤维的Haversian系统组成。

在AVF中的骨小梁内可见一些软骨小岛,骨髓疏松,包括造血细胞和脂肪细胞(图7)。在两组中,板层系统发育良好,有证据表明在Haversian管的空隙和血管中有活的骨细胞。

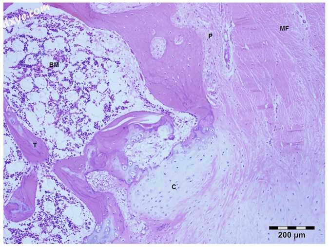
7.jpg
图7
AVF组的脱钙部分。
P,骨膜; O,骨; H,Haversian管; T,小梁; 箭,空隙中的骨细胞; BM,骨髓。 苏木精和伊红染色。Bar=200μm左右。

在骨移植组(n = 4)中,骨厚度显著减小。 与血管化骨瓣不同,骨板层系统未发育良好。 有骨管的Haversian系统数量减少,其中存在血管和神经纤维。 骨小梁与多个软骨小岛部分融合。 有相当大的骨腔,其中含有造血组织和小梁之间的疏松结缔组织。 此外,在BG组中,层流系统和Haversian管中的血管没有很好地发育,并且空隙中存活的骨细胞数量减少(图8)。

8.jpg
图8
BG组的脱钙部分。
P,骨膜; MF,肌纤维; C,软骨组织; T,小梁; BM,骨髓。 苏木精和伊红染色。Bar=200μm左右。

组织形态学分析
在骨骼结构的组织形态学评估中,与AVF(P = 0.01)和cAFs(p = 0.11)相比,骨移植物中骨量与总测量体积(BV / TV)的百分比降低(图9)。骨小梁明显变薄 在BG组(平均18.38μm)与cAF组相比(平均26.93μm,P = 0.029)。 在AVF组中,小梁厚度大于BG组,具有低显著性水平(平均24.18μm,p = 0.17)。 在两个血管化组cAF和AVF之间未发现骨体积或小梁厚度的显著差异(表1)。

9.jpg
图9
在所有组中评估组织形态学参数。
证实了所有3组中骨量的百分比。

表格1
所有组的组织形态学结果。
T1.jpg
(cAF,常规动脉瓣; AVF,动脉化静脉瓣; BG,骨移植; BV / TV,骨体积与总测量体积的百分比; TbTh,小梁厚度; TbN,小梁数; TbSp,小梁分离)。

*统计学显著性,p <0.05。

BG组小梁分离率(平均18.13μm)明显高于AVF组(13.52μm,p = 0.038),cAF组无统计学差异(13.32μm,p = 0.20)。

与非血管化BG组相比,血管化AVF组和cAF组的小梁数更高,但统计相关性较弱(p = 0.17,p = 0.34)。

两个血管化组AVF和cAF之间的小梁数量或小梁分离没有显著差异(图10)。

10.jpg
图10
在所有组中评估组织形态学参数。

讨论
在动脉化的静脉皮瓣中,静脉网络用于灌注收获的组织。尽管AVF中成功组织灌注的确切机制尚不清楚,但各种临床和实验研究已经证实使用这种非常规技术可以改善皮瓣存活率。4,5,7,10,16,17,18,19  AVF可以在很多地方采集。采集在技术上要求较低,比传统的动脉蒂皮瓣更浅,允许快速收获非常薄的组织。5,7,8,10 这种技术在皮瓣转移中获得的优势使人怀疑是否可以通过静脉系统的动脉化灌注其他组织。 AVF已经成功地用作软组织中的复合软组织瓣,包括筋膜和肌腱。20 在这项研究中,作者旨在评估骨质AVF的皮瓣存活率和骨质量。

在这种猪模型中,动脉化静脉内侧股骨髁皮瓣(AVF)是通过将动脉蒂与一个静脉栓塞吻合而留下一条传出静脉用于引流而产生的。在将动脉化的静脉骨瓣返回其原始位置之前,通过用一层骨水泥衬垫供体部位,从周围骨中的血运重建中分离瓣。采取了类似的步骤来创建cAF和BG,并将它们返回到他们原来的水泥内层里供体部位。 6个月后各组的显微镜评估显示血管化组(AVF和cAF)的愈合和骨质量没有显著差异。血管化骨瓣的组织学和组织形态学显著优于AVF中骨量较高的骨移植物(p = 0.01)。该研究表明,使用静脉网络的动脉化技术可以支持骨质游离皮瓣并存活。骨瓣中AVF的概念可用于动脉不足但静脉发达的游离皮瓣的血运重建。

这项研究受限于每组中包含的少量动物以及产生的小尺寸的骨质瓣。几个问题需要进一步的实验或临床研究。在临床应用该技术之前,确定骨瓣的尺寸是否会改变动脉化的静脉骨瓣的存活将是有帮助的。此外,虽然这项研究证明了这些动脉化骨瓣的存活和有希望的组织形态学特征,但作者的模型并未确定这种类型的灌注是否会影响骨折愈合的能力和速度,如果应用于骨折或骨不连修复的情况下。

参考:
Arterialized Venous Bone Flaps: An Experimental Investigation
Nakayama Y., Soeda S. & Kasai Y. Flaps nourished by arterial inflow through the venous system: an experimental investigation. Plast Reconstr Surg. 67, 328–34 (1981). [PubMed] [Google Scholar]
Woo S. H. et al. A retrospective analysis of 154 arterialized venous flaps for hand reconstruction: an 11-year experience. Plast Reconstr Surg. 119, 1823–38 (2007). [PubMed] [Google Scholar]
Goldschlager R. et al. The nomenclature of venous flow-through flaps: updated classification and review of the literature. Microsurgery. 32, 497–501 (2012). [PubMed] [Google Scholar]
Garlick J. W. et al. Arterialized venous flow-through flaps in the reconstruction of digital defects: case series and review of the literature. Hand (N Y). 10, 184–90 (2015). [PMC free article] [PubMed] [Google Scholar]
Kayalar M. et al. Clinical applications of free arterialized venous flaps. J Plast Reconstr Aesthet Surg. 67, 1548–56 (2015). [PubMed] [Google Scholar]
Yan H. et al. The effect of hemodynamic remodeling on the survival of arterialized venous flaps. PLoS One. 8, e79608 (2013). [PMC free article] [PubMed] [Google Scholar]
Iglesias M. et al. Arterialized venous free flap for reconstruction of burned face. Microsurgery. 28, 546–50 (2013). [PubMed] [Google Scholar]
Kovacs A. F. Comparison of two types of arterialized venous forearm flaps for oral reconstruction and proposal of a reliable procedure. J Craniomaxillofac Surg. 26, 249–54 (1998). [PubMed] [Google Scholar]
Woo S. H. et al. Effects of blood flow and venous network on the survival of the arterialized venous flap. Plast Reconstr Surg. 101, 1280–9 (1998). [PubMed] [Google Scholar]
Yilmaz M. et al. Free arterialized venous forearm flap. Ann Plast Surg. 34, 88–91 (1995). [PubMed] [Google Scholar]
Chavoin J. P. et al. Island flaps with an exclusively venous pedicle. A report of eleven cases and a preliminary haemodynamic study. Br J Plast Surg. 40, 149–54 (1987). [PubMed] [Google Scholar]
Baek S. M. et al. Experimental studies in the survival of venous island flaps without arterial inflow. Plast Reconstr Surg. 75, 88–95 (1985). [PubMed] [Google Scholar]
Matsushita K. et al. Blood flow and tissue survival in the rabbit venous flap. Plast Reconstr Surg. 91, 127–35 (1993). [PubMed] [Google Scholar]
Gaggl A., Burger H. & Chiari F. M. The microvascular osteocutaneous femur transplant for covering combined alveolar ridge and floor of the mouth defects: preliminary report. J Reconstr Microsurg. 24, 169–75 (2008). [PubMed] [Google Scholar]
Burger H. K. et al. Vascularized medial femoral trochlea osteochondral flap reconstruction of advanced Kienbock disease. J Hand Surg Am. 39, 1313–22 (2014). [PubMed] [Google Scholar]
Yilmaz M. et al. Free arterialised venous forearm flaps for limb reconstruction. Br J Plast Surg. 49, 396–400 (1996). [PubMed] [Google Scholar]
Koch H. et al. Clinical application of the retrograde arterialized venous flap. Microsurgery. 24, 118–24 (2004). [PubMed] [Google Scholar]
Yan H. et al. Reconstruction of large dorsal digital defects with arterialized venous flaps: our experience and comprehensive review of literature. Ann Plast Surg. 70, 666–71 (2013). [PubMed] [Google Scholar]
Tan M. P., Lim A. Y. & Zhu Q. A novel rabbit model for the evaluation of retrograde flow venous flaps. Microsurgery. 29, 226–31 (2009). [PubMed] [Google Scholar]
Liu Y. et al. A comparative study of four types of free flaps from the ipsilateral extremity for finger reconstruction. PLoS One. 9, e104014 (2014). [PMC free article] [PubMed] [Google Scholar]
您需要登录后才可以回帖 登录 | 注册

本版积分规则

丁香叶与你快乐分享

微信公众号

管理员微信

服务时间:8:30-21:30

站长微信/QQ

← 微信/微信群

← QQ

Copyright © 2013-2025 丁香叶 Powered by dxye.com  手机版 
快速回复 返回列表 返回顶部