仿气腹25孔3单端腔镜训练箱训练用单针/双针带线【出售】-->外科训练模块总目录
「训练教具器械汇总」管理员微信/QQ12087382[问题反馈]
开启左侧

桡骨远端骨折临床病例 - 19 桡骨远端骨折并发症:EPL破裂

[复制链接]
发表于 2019-3-1 16:38:36 | 显示全部楼层 |阅读模式

马上注册,结交更多好友,享用更多功能,让你轻松玩转社区。

您需要 登录 才可以下载或查看,没有账号?注册

×
案例系列

病人1

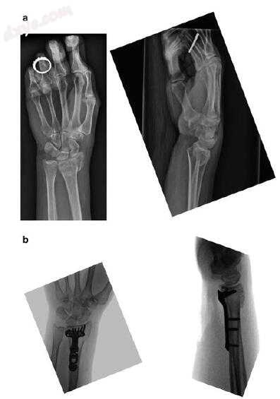
一名54岁的右手优势女子参与了机动车事故。 她接受了急诊科的闭合复位评估。 离开急诊室后,她注意到拇指和食指在向手外科医生报告时出现严重的麻木和刺痛感。 鉴于显著的背部粉碎以及正中神经症状,在一周内进行手术固定和腕管释放。 一个月后,她在手背上感到疼痛,无法伸展拇指指间关节。 在第三或第四隔室中手术时没有显示突出的螺钉(图19.1)。

1.jpg
图19.1自发性破裂。 (a)受伤时的初始X光片显示粉碎的背侧移位桡骨远端骨折。 (b)术后透视薄膜显示用背侧突出的螺钉充分减少

病人2

一名54岁的女子在轮滑时摔倒并桡骨远端骨折。她最初被夹板并转变为铸造,用于非移位的桡骨远端骨折。她在受伤后4周注意到她可以弯曲拇指但不伸展它。在手术时,她发现她的EPL已经破裂。整个临床过程中的X光片显示她继续无移位骨折。

病人3

一名38岁的女子从酒吧凳子上摔到右臂上。她桡骨远端骨折,最初用夹板进行非手术治疗,然后在2周时进行支具治疗。患者注意到拇指周围疼痛和紧绷感增加。她的骨折已经移位了。因此,她在受伤后4周接受了桡骨远端ORIF。手术后四周,她注意到无法伸展拇指。注意到螺钉在干骺端远端桡骨区域突出(图19.2)。取出平板并背部转移以恢复拇指的功能。

2.jpg
图19.2背部突出的螺钉。随访时采取的术后X线片显示充分减少但背侧突出的螺钉

根据临床检查,每例病例的诊断均为Lister结节水平的拇长伸肌腱断裂。这三种情况代表同一复杂情况的三个不同面。在所有三种情况下,远端的EPL残余物允许将伸肌腱转移至第一掌骨水平。

病因
 
拇长伸肌腱的断裂是桡骨远端骨折的众所周知的并发症。非手术治疗的非移位骨折发生率为0.07-5%,手掌治疗组发生率为2-8.6%[1-4]。破裂通常发生在损伤后1至3个月,特征是不能伸展拇指。关于破裂的病因学有各种各样的理论,因此作者将选择分为两个不同的类别:在铸型中处理的非移位骨折和用掌侧钢板治疗的背侧移位骨折。

对于非移位性骨折,提出了多种因素。以往的研究表明,在李斯特结节的水平上,拇伸肌长血管不好。这是肌腱的分水岭区域,因为存在独立的近端和远端固有血管系统[5]。在非移位性骨折中,没有足够的力量使伸肌支持带断裂。因此,它被维持为一个狭窄的环境。由于骨折形成血肿,压力在第三背隔室的纤维骨隧道内增加。这会减少滑膜的生成,并可能危及肌腱的血管。其他因素也可以减少椎管内的空间,如从骨折处向上延伸的尖锐骨小骨或随着骨折愈合而形成的硬化。

随着移位的骨折,鞘可能会破裂,使肌腱从其紧密的管道中移出。因此,肌腱可能有三种形式的医源性损伤。如果骨折严重缩小,肌腱可能会陷入骨折并可能受伤。在将远端锁定螺钉放置为掌侧远端桡骨板时,据报道钻头穿透过深并背部肌腱受伤[4]。最后的可能性是螺钉可能放置得太长,在第三或第四背室的凹槽内留下突出的螺钉,导致肌腱重复磨损并最终破裂[6]。

诊断

诊断通常可以在临床上进行。患者会抱怨他们可以屈曲但不再伸展拇指。通常不需要高级诊断测试。偶尔,他们会在活动前感受到流行音乐或在手腕上形成疼痛。在某些情况下,在患者的骨折疼痛似乎消退后出现的拇指运动的背腕疼痛前驱症状可以导致伸肌的肌腱炎的诊断。早期换位可以防止肌腱断裂。一旦肌腱断裂,磨损就会导致主要修复。

如果临床敏锐度不足,可以订购超声波确认诊断。使用超声波,管状低回声区域取代了正常的肌腱,这对应于充满液体或出血的滑膜鞘[7]。
 
超声波更好地定义了肌腱的收缩量。

预防

有几种方法可以降低手术室内拇长伸肌腱损伤的风险。 手术期间螺钉长度的荧光镜评估可以通过使用特殊视图将这种风险降至最低。 使用桡骨远端的标准侧膜,第三隔室内的突出螺钉可被Lister结节所遮盖。 因此,当实际上螺钉长度已经穿透皮质时,螺钉长度可能看起来合适。 Ozer等。 发现横向视图对螺钉穿透1 mm敏感68%,对穿透2 mm的螺钉敏感80%[8]。 他们主张采用背侧切向观点来更好地评估螺钉是否突出。 在这个视图中,手腕是弯曲的,并且光束与背面相切,以更好地确定螺钉穿透(图19.3)。

3.jpg
图19.3桡骨的背侧切向视图。 (a)当腕部弯曲时,正确定位X光片是很重要的。 (b)该视图提供了背侧皮质的极佳视图,并且对螺钉穿透敏感。 请注意,没有螺钉是突出的

使用的另一种技术是调节螺杆长度。 经典教学是双皮质固定是所有桡骨远端骨折的标准。 沃尔等人。 研究了螺钉长度对稳定性的影响,发现代表75%骨宽度(测量深度的75%)的单皮质螺钉具有与双皮质固定相似的刚度[9]。

因此,通过锁定板固定,可以缩短螺钉以保护伸肌腱。
 
治疗

通常,考虑到肌腱的磨损损伤和萎缩性质,不可能对EPL进行初级修复。作者对拇长伸肌腱断裂的标准治疗方法是将伸肌腱长肌腱向远端伸肌腱长肌转移。这些肌肉有类似的偏移和拉动方向。这种转移可以通过三个小切口进行(图19.4a)。第一个切口靠近拇指MCP关节,并确定EPL。可以首先探索肌腱残余,以确定是否需要更长时间的EIP滑动。在该区域应该谨慎,因为可以存在浅表桡神经的分支。转移应在这个神经分支下进行。神经损伤或将转移置于其上方可导致术后神经痛和慢性疼痛。第二切口靠近食指掌指关节。 EIP被确定为EDC指数的尺骨肌腱。保持完整直到在手腕上确定它确实有助于收获期间。在手腕远离视网膜的水平处进行第三切口,允许在横断之前识别EIP。肌腱在矢状带的近侧横切,并在近端从腕部取出。偶尔,人们确实注意到EDCindex和EIP之间的互连,必须将其裂解以允许肌腱的近端递送。如果需要更长的转移,收获地点可以延伸过矢状带和关节,但需要修复间隙。然后将EIP远端隧道输送到EPL残余物(图19.4b)并进行Pulvertaft编织(图19.4c)。如果可能,应进行三或四次肌腱编织。肌腱张紧,手腕处于中立状态,拇指处于完全伸展状态。这使得拇指在手腕伸展时能够弯曲。一个人应该在严格修复方面犯错误,因为松动修复会因拇指伸展不足而抱怨。随着清醒手术的开始,一些人主张术中紧张,患者清醒,以帮助适当的张力,并促进大脑皮层的重新编程[10]。康复方案从传统的3-6周固定到早期主动运动和早期动态运动方案不同[11,12]。转移后患者的独立食指伸展减少[13]。作者在实践中没有看到这个问题;然而,像钢琴家一样,高水平的表演者应该被警告这种风险。大多数患者在治疗后8周内功能相当。

4.jpg
图19.4 EIP到EPL的转移。 (a)标出三个单独的切口。 第一个是拇指MCP关节的近端,并且是将发生Pulvertaft编织的纵向。 第二个接近食指的MCP关节。 最后一个是在Lister's结节的尺骨上。 (b)伸肌腱在MCP关节水平横切,并从腕部近端伤口穿过拇指。 EIP位于远端,EPL的破裂末端位于近端。 (c)Pulvertaft编织在伤口中很明显。 注意,肌腱转移是在浅表桡神经的分支深处进行的

参考:Distal Radius Fractures A Clinical Casebook
您需要登录后才可以回帖 登录 | 注册

本版积分规则

丁香叶与你快乐分享

微信公众号

管理员微信

服务时间:8:30-21:30

站长微信/QQ

← 微信/微信群

← QQ

Copyright © 2013-2025 丁香叶 Powered by dxye.com  手机版 
快速回复 返回列表 返回顶部