仿气腹25孔3单端腔镜训练箱训练用单针/双针带线【出售】-->外科训练模块总目录
「训练教具器械汇总」管理员微信/QQ12087382[问题反馈]
开启左侧

桡骨远端骨折临床病例 - 11 桡骨远端骨折的桥式钢板

[复制链接]
发表于 2019-2-6 09:26:34 | 显示全部楼层 |阅读模式

马上注册,结交更多好友,享用更多功能,让你轻松玩转社区。

您需要 登录 才可以下载或查看,没有账号?注册

×
案例介绍

一名37岁的右手显性病态肥胖女性患有阻塞性睡眠呼吸暂停和哮喘病史,曾参与机动车事故。她持续右侧开放性胫骨干骨折,伴有胸骨后血肿的胫骨骨折和左侧闭合的桡骨远端骨折(图11.1)。她出现正中神经分布麻木和刺痛,随着桡骨骨折的闭合复位而改善。根据她的病史,她被发现有与腕管综合症一致的伤前症状。在进入1级创伤中心后,她对胫骨开放性骨折进行了冲洗、清创和髓内钉固定,并对其桡骨远端骨折进行了复位和夹板固定。第二天,她回到手术室,确定了桡骨远端骨折的最终固定方法。鉴于她的下肢损伤和需要立即负重上肢进行早期活动,她采用开口复位和桡骨远端骨折内固定,背侧跨越桥板,辅助桡骨茎突克氏针固定(图11.2)。在固定桡骨骨折后,她进行了开放的腕管松解。远端测试了桡尺骨关节的稳定性,发现它是稳定的;然后将她放在轻微旋后的钳夹板中。她被允许立即通过前臂对受伤的肢体施加压力以进行转移和操作。十二周后,桡骨骨折在X光片上愈合后,她回到手术室,取出背桥板和克氏针。 (图11.3和11.4)将她放入柔软的敷料中,术后不受限制。

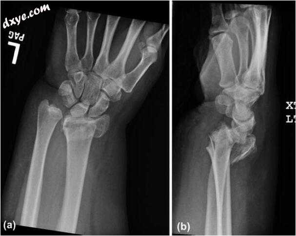
1.jpg
图11.1损伤射线照片。(a)正视图和(b)侧视图

2.jpg
图11.2术中透视图。 (a)牵引AP,(b)牵引侧,(c)AP,和(d)侧向

3.jpg
图11.3术后2个月的X光片。 (a)AP和(b)侧视图

4.jpg
图11.4切除钢板后术后4个月的X线照片。 (a)AP和(b)侧视图

介绍

桡骨远端骨折是常见的骨折,占美国急诊室治疗骨折的六分之一[1,2]。在骨折解剖学和患者特征方面,并非所有远端桡骨骨折都适合单独掌侧锁定,这已成为治疗的主要支柱。 Burke和Singer于1998年首次描述了高度粉碎性桡骨远端骨折的背侧牵引钢板技术[3]。在某些情况下,这种技术对于稳定和减少某些骨折非常有用,依靠韧带的方法来帮助获得和维持复位,并用作粉碎性骨折碎片的背侧支撑。也称为内部桥接钢板,该技术已被证明可用于伴有干骺端和干骺端延伸的高能粉碎桡骨远端骨折[4],伴有下肢或骨盆骨折的多发伤患者[5],骨质可能较差的老年患者质量[6],甚至在桡骨远端骨不连的抢救中[7]。虽然这些情况中的许多可能先前已经用外部固定进行了处理,但桥接电镀具有全内部设计的优点。

回顾文献

Burke和Singer在20世纪90年代末首次描述了桡骨远端骨折的桥接技术[3]。他们讨论了通过第四隔室背部打开手腕,并使用9孔3.5毫米动态压缩板固定在第三掌骨轴的远端,并在桡骨轴的近端。他们的适应症是任何移位和粉碎的桡骨远端骨折,并排除关节外和掌侧剪切模式损伤。另外的克氏针固定用于移位的关节碎片。他们在术后8-10周定期取出钢板。没有报告反射性生活感神经营养不良的病例,但没有讨论任何病例的结果数据,只提供了一例病例报告。

Becton等人描述了另一种内部牵引钢板技术,远端固定在掌骨指数而不是第三掌骨[8]。将板放置在第二背室的地板上,而不是Burke和Singer技术中的第四背室。在手术的早期使用期间,他们进行了广泛的背侧入路,但后来改为制作两个较小的切口,一个在指甲掌侧上方,一个在径向轴上方向近侧,使板逆行穿过隔室。他们使用了Biomet(华沙,印第安纳州)特制的3.5毫米背桥板。他们报告了他们的结果35例,虽然来自六位不同的外科医生,并没有发现反射性生活感神经营养不良的病例。报告了两种并发症,一名患者通过螺钉孔进行了掌指骨骨折,一名患者松弛了掌指螺钉。两名患者最终均愈合了桡骨骨折。

当使用外部固定装置治疗粉碎性和移位的桡骨远端骨折时,并发症发生率高达62%[9],Chhabra等。 [10]进行了内部牵引钢板和外固定的生物力学比较。使用丙烯酸棒模型来模拟不稳定的桡骨远端骨折,他们比较了两个用作内部桥板的市售金属板和常用的三个外部固定器装置。结果显示,内固定器板在轴向压缩时比外固定器更硬。内固定器装置在拉伸,压缩和侧向弯曲方面显示出明显更大的刚度,然而在前后弯曲中,外部固定装置更硬。他们得出结论,使用内固定装置有助于防止背侧塌陷,并且作为刚性背侧支撑更好地发挥作用。

随着更高能量的桡骨远端骨折伴有干骺端和干骺端粉碎,桥接外固定治疗可能无法在干骺端附近提供足够的稳定性[4]。认为这是一个问题,Ruch及其同事在这种临床情况下利用该技术治疗桡骨远端骨折,并报告了22例患者的良好总体结果[4]。他们使用三个切口技术将板固定在第三掌骨的远端,第三个切口位于Lister结节的中心。该第三切口提供直接进入干骺端以放置骨移植物或添加补充固定物。在他们的研究中,11名患者使用骨移植物。平均术后124天取出平板。在最后的随访中,屈曲和伸展分别平均为57°和65°,旋前和外旋平均分别为77°和76°。他们发现平均DASH评分在6个月时为34分,1年时为15分,最终随访时为11.5分。这些结果强调,使用内部牵引板的长时间固定导致移除后的功能性运动范围,并且在最终随访时具有最小的残疾。多发伤的患者能够立即承担转移和移动的负担,并且能够恢复使用硬件。

在对他们的患者队列的回顾中,Hanel等人。讨论了主要受益于内桡骨远端桥接技术的两个患者群体:具有干骺端和干骺端延伸的高能量骨折的患者和需要立即负重受伤肢体以进行早期操作的多重受伤患者[5]。他们治疗了62例患者,其桡骨远端桥板固定在指甲掌侧,首先使用22孔2.4 mm下颌骨重建板(Synthes,Paoli,PA),后来使用专门设计的20孔2.4 mm远端桡骨桥板来自Synthes。平板移除平均112天。功能活动范围恢复1年,并且所有病例均发生骨折愈合,无关节脱位大于2 mm或远端桡尺关节不稳。他们没有术后手指过度僵硬或反射性生活感神经营养不良的情况。一名患者确实有桡侧腕伸肌(ECRB)破裂,但该患者术后16个月出现骨折,导致破裂,因为他未能同意因职业压力而被切除。

为了确定近端和远端需要的螺钉数量,Wolf等人。检查桡骨远端骨折尸体模型中的构造[11]。将远端桡骨桥接钢板技术与外固定系统在屈曲或伸展时的轴向负荷进行比较,作者发现跨越2.4 mm锁定板的桡腕关节比外固定器明显更稳定。他们发现远端只需要三个锁定螺钉,近端需要三个锁定螺钉。

Richard及其同事研究了老年人桡骨远端粉碎性骨折的内部牵引钢板结果,特别是60岁以上的患者[6]。使用Ruch等人的手术技术。 [4]和Hanel等人。 [5],他们回顾性地回顾了60岁以上的33名患者,平均年龄为70岁。在最后一次随访(平均47周)时,所有骨折均愈合,X线片显示平均手掌倾斜度为5°,平均尺度方差为0.6 mm。腕关节屈曲和伸展的平均值分别为46°和50°,旋后和内旋分别为79°和77°。最终平均DASH评分为32.他们指出33名患有指僵硬的患者中有10名患者需要肌腱溶解,1名患者患有复杂的局部疼痛综合征。

最近,Mithani等人。描述使用跨越背侧牵引板技术治疗桡骨远端骨不连[7]。他们描述了在8名患者中单独使用背板或与非跨度固定结合使用背桥板。所有患者继续结合,平均移植平板148天,在最终随访时运动弧度,旋后和DASH评分有统计学意义上的显著改善。一名患者出现持续性疼痛并最终需要腕关节融合术。

方法的基本原理

所呈现的患者是病态肥胖的年轻成人多发伤,伴有下肢损伤。这种损伤使她无法承受下肢的完全负重,需要使用辅助装置进行早期活动。因此,重要的是进行一项操作,使她能够尽早通过前臂承受重量,并且没有暴露的针脚,这可能是感染的潜在病因,因为重症监护病房可能长期停留。内固定桡骨远端桥接固定技术是快速稳定和明确治疗桡骨远端骨折的有效替代方法,可使患者在受伤后早期立即负重并使用肢体。

利用桡骨远端桥接钢板技术的适应症包括:

高能量关节内桡骨远端骨折伴干骺端和干骺端延长的患者。

伴有下肢或骨盆伤口的多发伤患者可通过受伤的肢体提供早期操作帮助。

老年患者关节内桡骨远端骨折伴骨质疏松骨,其中可能无法实现严格的固定。

桡腕脱位提供稳定性作为外部固定或石膏固定的替代。

作为挽救远端桡骨畸形愈合的调整。

使用远端桡骨桥接的禁忌症包括手术的一般禁忌症,例如不良的患者临床状态或活动性感染,特别是任何伴随的指数或中掌骨干骨折。

手术技术

患者仰卧在手术台上,手术侧附有射线可透过的手台。一个带衬垫的止血带放在上臂上,手臂准备好并且垂褶。可以根据需要使用大型或小型荧光透视机。将手臂在肩部外展到臂板上,并按照Hanel等人的描述进行Agee减少动作。 [5]。通过在食指和中指上向远侧拉动将纵向牵引力施加到远端半径,以使远端半径伸出适当的长度。向腕骨施加手掌定向平移力以减少背侧半脱位,并且对腕骨施加旋前力以使腕骨脱离通常的旋后畸形。在透视下确认足够的关节复位。然后可将无菌手指陷阱放置在食指和中指上并连接到无菌绳上,然后将无绳绳悬挂在手掌台的末端,重量为10磅,以提供连续的纵向牵引力,使手进行内旋。

在放置桥接板之前,还可以通过将来自桡骨茎突的1.6或2.0mm的克氏针放入远端桡骨的近端内侧轴中来获得临时固定。这可以通过经皮进行或通过在腕部的桡骨方向上进行纵向切口,远离桡骨茎突,并在该水平识别桡神经分支。在透视下确认克氏针的放置。

作者更喜欢使用Synthes(Paoli,PA)为桥接钢板技术专门设计的2.4 mm远端桡骨桥板,它允许在近端和远端放置锁定和非锁定螺钉,并且具有锥形端部以帮助在内部滑动板第二伸肌室。然而,其他人使用12至16孔3.5毫米动态压缩板[3,4]。需要将较大的板放置在第三掌骨上并且通过第四隔室向近侧穿过开放技术,而较小的锥形板可以向远侧放置在第二掌骨轴上并且向近侧滑动穿过第二隔室的底板。然后将锥形板放置在皮肤上,并使用荧光透视成像确认在第二掌骨轴和径向轴上的正确放置,并且这可以在皮肤上标记。然后在第二掌骨的基部进行4cm切口。识别任何放射状感觉神经分支并轻轻缩回并保护。在第2和第3掌骨的基部分别识别出桡侧腕伸肌(ECRL)和ECRB的插入。在桡骨轴上的有计划的板插入的近端范围内,在靠近露出的肌肉(拇短伸肌和拇长外展肌)的近端处进行第二切口约4至5cm,并且与ECRL和ECRB肌肉腹部一致。这些肌肉之间的间隔发展,揭示了潜在的桡骨轴。

然后将远端桡骨桥板从近端切口开始,在第二隔室的底板中的ECRL和ECRB肌肉之间从近端到远端插入,直到在远端切口基部中可视化。该板位于骨膜外,位于第二背室内。如果板不能向远侧穿过,则缝线穿引器或导丝可以逆行穿过第二隔室,然后固定到板的远端并用于将其引导到远端切口。还可以在Lister结节上进行第三次切口,并且第二个隔室在直接可视化下打开以通过该板。

然后通过荧光透视确认平板位置,使其在指掌骨轴和桡骨轴上居中。然后将一个2.7毫米的非锁定皮质螺钉穿过板的最远端孔放入指掌骨。必须确保这恰好位于骨骼的中心,以便不会产生手相对于径向轴的旋转对齐。还要注意,放置的第一个螺钉是一个非锁定螺钉,以便将板牢固地拉到骨头上。然后在将螺钉放置在板的最近侧面之前从手腕移除牵引力,以避免桡腕关节的过度牵引。然后将另一个2.7mm皮质非锁定螺钉置于径向轴的最近端孔中,以使板滞后于骨。然后将两个2.7毫米的锁定螺钉放置在板的近端,以及另外两个2.7毫米的锁定螺钉,放置在板的远端。这样在板的两端至少有三个螺钉。

根据骨折构型,如果先前制作的话,以Lister结节为中心的第三背侧切口可用于减少任何剩余的畸形关节碎片或在必要时放置干骺端骨移植物。如果需要,板的中间部分中的三个孔,覆盖远端桡骨干骺端,可用于延迟任何游离干骺端或关节皮质碎片。然后使用荧光检查确认充分和令人满意的减少。然后将任何放置的克氏针切割成埋在皮肤下面。然后用无菌盐水冲洗伤口,并使用用于皮下组织的可吸收缝合线和用于皮肤的不可吸收缝线以间断方式分层闭合。

然后在旋前和旋后评估远端桡尺关节(DRUJ)的稳定性。如果DRUJ稳定,则患者在前2周使用钳夹板进行轻度旋后夹板。如果DRUJ不稳定,那么尺骨头可以缩小成S形切口,并且可以将两根1.6mm克氏针横向地从尺骨放置到刚好靠近DRUJ的半径中,或者可以通过开放装置修复三角纤维软骨复合体。

允许患者使用平台助行器或拐杖立即通过前臂负重。职业治疗也可以在手术后不久开始指范围的运动训练。

补充克氏针固定通常可在术后6周取出。一旦骨折愈合,桡骨远端桥板在术后12周内就会被移除。在局部或区域麻醉下,可以作为门诊手术进行移除。打开先前的切口并移除螺钉。然后将板通过远端切口向远侧滑动。去除钢板后不使用固定,只需使用柔软的衬垫敷料。

提示与技巧

避免将板放在指甲掌骨上太远的位置。固定钢板后,确保手指完全被动屈曲,以避免术后指僵硬。

确保将板放置在掌骨轴的中心,以防止手相对于桡骨轴的任何旋转位移。

少桡骨远端骨折最好采用纵向牵引,手掌转发和内旋。 避免直接压在腕管上。 在适当的患者中临床需要时执行腕管松解。

避免过度牵引桡腕关节,因为这会限制术后的指运动,并增加复杂区域疼痛综合征发展的风险。 在向近端固定在径向轴上之前释放纵向牵引重量,以帮助防止过度分散。

在临床相关时,不要犹豫提供补充克氏针固定或应用骨移植。

参考:Distal Radius Fractures A Clinical Casebook
您需要登录后才可以回帖 登录 | 注册

本版积分规则

丁香叶与你快乐分享

微信公众号

管理员微信

服务时间:8:30-21:30

站长微信/QQ

← 微信/微信群

← QQ

Copyright © 2013-2025 丁香叶 Powered by dxye.com  手机版 
快速回复 返回列表 返回顶部