仿气腹25孔3单端腔镜训练箱训练用单针/双针带线【出售】-->外科训练模块总目录
「训练教具器械汇总」管理员微信/QQ12087382[问题反馈]
开启左侧

桡骨远端骨折临床病例 - 9 桡骨柱骨折

[复制链接]
发表于 2019-2-4 07:36:12 | 显示全部楼层 |阅读模式

马上注册,结交更多好友,享用更多功能,让你轻松玩转社区。

您需要 登录 才可以下载或查看,没有账号?注册

×
案例介绍

一名66岁的右手优势女性从站立高度落到她伸出的手上。她持续移位左桡骨茎突骨折。在初始X射线上没有腕关节半脱位或舟月骨不对齐的证据(图9.1)。月骨小关节似乎相对于近端半径保持缩小,因此决定将损伤重建回到月骨小平面的稳定参考点。然而,在初始缩小期间,注意到月骨小关节碎片不稳定,需要刚性固定(图9.2),使其成为三部分骨折。治疗包括桡骨柱的开放复位和内固定,通过背侧径向入路,使用2.4 mm背侧桡骨远端板(Synthes,Paoli,USA),然后通过单独的方法进行尺骨柱板(图9.3a)。在5周时(图9.3b),患者对桡骨茎突没有疼痛,并且与对侧肢体相比具有完全且对称的运动范围。

1.jpg
图9.1术前X射线

2.jpg
图9.2术中X射线显示初始减少运动和桡骨柱碎片的临时固定。 在还原期间,注意到移位的掌侧月骨小关节碎片。 为了稳定掌侧片段,进行了Lunate小平板钢板

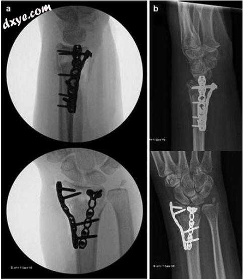
3.jpg
图9.3术后即刻(a)和5周(b)术后X射线。 注意桡骨柱板的相对掌侧位置,板不平行

介绍

桡骨柱的骨折可以是相对简单的,孤立的远端桡骨骨折,更复杂的远端桡骨骨折的一部分或不完全或完全更大的弧周缘脱位的一部分,涉及内在和外在的腕骨韧带(图9.4)。 在非骨质疏松症患者的50%移位的桡骨远端骨折中发现舟月骨(SL)韧带损伤[1],这一事实凸显了这一点,使这种损伤超过“桡骨远端骨折”。在评估桡骨柱骨折时, 因此,必须排除伴随的韧带损伤,因为未能治疗相关损伤的后遗症会导致长期手腕退化[2]。

4.jpg
图9.4显示桡骨柱骨折的可变性,将它们置于上下文中,作为孤立的,更复杂的骨折模式的一部分或作为周围骨折脱位(腕骨不稳定或桡腕关节脱位)的组成部分

解剖

桡骨柱是支撑舟状窝的骨支撑,并作为外在腕骨韧带的附件[3]。桡骨茎突是手腕桡侧可触知的骨突。桡神经(SBRN)的浅表分支位于皮下的皮下脂肪,紧邻桡骨茎突(图9.5)。在主神经越过第一背室之前,SBRN的手掌分支分开。已经确定了在桡骨茎突处插入克氏针的安全区域,其通过茎突向近侧接界,由桡动脉向远侧,背侧由SBRN背侧,并且由第一背侧隔室[4]向右侧接线。因此,在插入克氏针之前,建议在桡骨茎突尖端的远侧切开1cm的切口。第一背侧隔室的肌腱位于两个纤维骨质隔膜内,位于桡骨茎突的掌侧径向和背侧径向方向上(图9.6a),其中肱桡肌位于隔室的底部。
 
隔膜之间的空间可以容纳桡骨柱板(图9.6b)。

5.jpg
图9.5显示SBRN和头静脉相对于桡骨茎突的过程的图示

6.jpg
图9.6尸体解剖显示(a)拇外展肌的径向隔膜,拇短伸肌的尺骨中隔,肱桡肌(BR)肌腱插入和桡骨茎突(针); (b)桡骨柱板放置在隔膜之间的第一背室的底板上。 BR需要从桡骨茎突上切除,以便于减少并允许固定

放射科

常规放射学视图应包括后前位(PA),真侧位和45°内旋视图。在PA视图中,桡骨茎突在轮廓上可视化,并且在侧视图上,茎突具有叠加在月骨上的弯曲外观。横向的严格审查可能表明转移 - 经常在偶然的视线中错过。 45°旋前视图最好地显示桡骨茎突骨折,这在标准额叶PA和侧视图中并不总是被认可,其中茎突可能看起来相对正常[5]。由于桡骨茎突骨折可能代表更大的弧形周围损伤的一部分,其存在应该导致外科医生怀疑高级SL韧带损伤。评估SL关节的最佳视图是旋转AP视图[6]。握紧拳头视图有助于证明不稳定,但急性骨折可能无法获得。相反,在固定骨元件之后在手术室中获得应力视图。将腕部移动到径向并且尺骨偏离并且注意到SL关节的扩大。 MRI扫描可用于检测韧带损伤,但观察者之间的可靠性较差[7]。单独的MRI检查不足以排除结构性韧带损伤。结合体格检查,X光片和关节镜检查是评估韧带完整性的一种很好的方法[8]。

伤害机制

桡骨柱裂缝在过去的“chauffer's裂缝”中被称为[9],因为早期描述了二十世纪初由汽车曲柄回火引起的断裂。今天,大多数桡侧腕关节损伤发生在伸出的手上。由此产生的轴向和过伸负荷将导致远端桡骨或舟骨骨折。如果损伤机制结合过度伸展,尺骨偏离和腕间旋,则会发生渐进性周围骨折脱位[10]。损伤始于手腕的桡骨方向,并通过中间空间向尺骨侧传播。较小的电弧损伤涉及椎间韧带和内在韧带,没有相关的骨折。更大的电弧损伤涉及一个或多个腕骨的骨折和中腕关节的破坏,其中最常见的类型是跨 - 舟状背侧周围骨折脱位。较差的弧形损伤通过桡腕关节传播而不是穿过腕骨。可能破坏掌侧和背侧方向上的外部韧带和/或可能发生桡骨茎突的骨折。当力通过桡骨茎突的尖端传播时,它可能引起放射性痉挛(RSC)韧带的撕脱,允许尺骨腕骨平移。然后,力通过外在的桡腕韧带传播,导致桡腕关节脱位。桡骨和尺骨茎突骨折的组合应引起对这种潜在不稳定性损伤的怀疑。

然而,如果力从径向柱上的更近端位置通过桡骨远端的舟月骨脊传播,则存在SL韧带损伤的高风险(图9.7),以及周围伤害的其他组成部分。

7.jpg
图9.7伴有SL韧带损伤的桡骨柱骨折,突出表明,周围损伤的范围可能只涉及径向侧面结构而没有完全爆裂的月骨周围的脱位

分类

AO分类将桡骨远端骨折分为关节外A型,部分关节型B型和完全关节型C型骨折[11]。 桡骨柱骨折属于B型,如下:

B1.1:单纯桡骨茎突骨折

B1.2:多碎片桡骨茎突骨折

B 2.2:更复杂的桡骨骨折半脱位,包括桡骨茎突片段

B 2.3:高能量桡腕关节骨折脱位伴桡骨茎突骨折,背侧粉碎,DRUJ破坏。

Perilunate骨折脱位已被进一步分类[12],其中茎突尖骨折被称为相关的碎片骨折,并且通过桡骨茎突基部的骨折代表了更大的弧形周边骨折脱位的亚组。 Dumontier等。 [13]将桡腕关节脱位分为2组。第1组定义为纯脱位或具有相关桡骨茎突尖端撕脱的脱位。第2组是桡腕关节脱位,伴有桡骨茎突的相关骨折,涉及大于舟状窝的三分之一。 Green和O'Brien [14]描述了腕骨脱位的分类,包括桡骨茎突骨折作为腕骨脱位的亚组。这些分类系统突出了桡骨柱骨折的复杂性质,将它们置于手腕复杂损伤的范围内。

Reichel等人提出的简单工作分类。 [2]并且基于伴随的伤害使骨折处于适当的环境中并指导治疗(表9.1)。

表9.1径向柱骨折和治疗方案的工作分类
t1.jpg

治疗
 
非手术治疗

经过彻底的放射学评估,包括45°旋前PA视图,可以非手术治疗真正无移位的桡骨茎突骨折。由于其固有的不稳定性,每周的X光片应该仔细检查这种骨折。即使是非移位的桡骨茎突也可能由于桡骨肌腱在茎突片段上的拉动而随后移位。如果选择闭合治疗,应考虑在旋后固定,因为这个位置的肱桡肌肌肉活动较低[15]。

手术治疗

桡骨茎突骨折

茎突骨折通常是关节外的,应始终评估相关的桡腕关节不稳定性(Dumontier组1)。在荧光检查下测试外在的桡腕韧带,因为手和腕骨相对于前臂移位,尺骨和矢状平面。如果涉及超过6-8mm的茎突尖端,则RSC韧带与骨头一起撕裂但仍然与碎片连接。这可能预示着比尖端骨折更好的预后,因为解剖复位和固定通常会导致骨性愈合并建立桡骨稳定性。

单纯桡骨茎突基底骨折

这些骨折通常是关节内的,如果关节不协调大于2 mm,应考虑进行手术[16]。 治疗方案包括闭合复位和铸造,克氏针固定,无头螺钉固定,掌侧板和桡骨柱板。 移位的桡骨茎突骨折本质上是不稳定的,因此最好用稳定的内固定治疗。 闭合复位和克氏针固定通常就足够了。 减少操作涉及尺骨上直接拇指压力,尺骨偏离(图9.8)。 或者,可以将克氏针经皮引入茎突并用作操纵杆以减少骨折并克服肱桡肌的拉力。 使用摆动钻将克氏针插入桡骨茎突中,或者如果做了小皮肤切口,则使用保护套来避免损坏SBRN(图9.9)。

8.jpg
图9.8桡骨茎突骨折的闭合复位

9.jpg
图9.9桡骨远端的梯形轮廓,显示桡骨茎突的相对手掌位置,以及相对于背尺侧面在轴向平面内偏移50°-90°的螺钉轨迹

如果不能将裂缝缩小封闭,则需要采用开放式方法。径向柱的开放式方法是背部入路或掌侧入路。背部通过第一和第二背侧隔室之间的纵向背侧切口进行,并释放第一背侧隔室支持带的近端部分。从骨头上切下肱桡肌以减少和硬件放置。 SBRN始终受到保护。掌侧桡动脉入路使用桡动脉和第一背侧隔室之间的间隔[17]。最终的固定方法包括克氏针,无头螺钉和片段特定的桡骨柱板。没有比较结果研究孤立的径向柱骨折有利于一种固定方法而不是另一种固定方法。如果使用螺钉,应将它们垂直于断裂平面插入,以最大限度地提高压缩效果(图9.10)。如果使用桡骨柱板,则将其放置在第一和第二背室之间,其中螺钉在轴向平面中偏移50°-90°,到背侧 - 尺骨平面(图9.9)。应该努力防止硬件突出于皮质骨并降低肌腱和神经刺激的风险。

10.jpg
图9.10用克氏针加强开放复位和无头内固定治疗的移位桡骨茎突骨折的术后后,斜和侧位X线片

粉碎性桡骨茎突骨折

这些骨折通常是更复杂的桡骨远端骨折的一部分。 可接受的治疗方式包括克氏针固定,背板,掌侧板,组合掌侧和径向固定与径向柱板,K线或无头螺钉和外部固定。 手术方法取决于骨折的几何形状以及是否需要额外的掌侧或背侧固定。 手术方法包括第一和第二背室之间的背指方法和标准掌侧FCR方法。 通过标准FCR方法的掌侧板通常可以牢固地固定相当大的茎突片段,尤其是更横向取向的骨折(图9.11)。

11.jpg
图9.11术前(a,b)和术后(c,d)后掌侧视图和侧视图,用掌侧板治疗两部分桡骨茎突骨折。注意,骨折线在桡骨和月骨窝之间的脊附近结束(a),并注意舟状骨的“环征”,表明SL韧带损伤(c)

如果将掌侧屈肌桡侧入路用于掌侧植入物定位,则可以同时进行背侧入路,而不存在血管损害介入皮肤桥的风险,因为桡动脉位于间隔内[18]。在用掌侧板治疗的三部分关节骨折中,径向柱的额外螺钉固定显著增加了构造的稳定性并且在尸体模型中加载失败[19]。

在一项随机前瞻性试验中,比较外固定,桡骨柱固定和掌侧电镀治疗桡骨远端不稳定骨折,随访12个月,发现放射状钢板保持径向倾斜,径向高度明显优于外固定和掌板固定。在1年时,所有患者均有良好的报告结果[20]。在没有比较径向茎突组件的特定治疗的结果研究的情况下,该研究非常重要,因为它报告了针对不稳定桡骨远端骨折的各种治疗选择的优异功能结果。

并发症

经皮钉扎术报道SBRN损伤的并发症发生率高达20%[21]。使用钝性解剖和钻套可以降低神经损伤的风险。尽管桡侧或背侧桡动脉入路似乎对茎突最直接,但SBRN的小分支可能更容易受到疼痛的神经瘤形成,这种方法直接遇到。插入的克氏针越近,它们越可能损伤主SBRN。当将克氏针插入近端移位的茎突组件中并且当使用克氏针将组件操纵回到位时,外科医生必须意识到这一点。 克氏针插入的安全区已在完整的标本上定义,其中茎突处于解剖学上的不间断位置;在还原之前插入克氏针时不是这种情况。可以从掌侧方法放置径向板,并且更可能避免对SBRN的损伤,因为解剖对于神经及其分支是深的。

参考:Distal Radius Fractures A Clinical Casebook
您需要登录后才可以回帖 登录 | 注册

本版积分规则

丁香叶与你快乐分享

微信公众号

管理员微信

服务时间:8:30-21:30

站长微信/QQ

← 微信/微信群

← QQ

Copyright © 2013-2025 丁香叶 Powered by dxye.com  手机版 
快速回复 返回列表 返回顶部