仿气腹25孔3单端腔镜训练箱训练用单针/双针带线【出售】-->外科训练模块总目录
「训练教具器械汇总」管理员微信/QQ12087382[问题反馈]
开启左侧

未分类的胫骨平台骨折:反向Schatzker IV型

[复制链接]
发表于 2019-1-9 00:00:28 | 显示全部楼层 |阅读模式

马上注册,结交更多好友,享用更多功能,让你轻松玩转社区。

您需要 登录 才可以下载或查看,没有账号?注册

×
概要
最常被接受的胫骨平台骨折分类系统是Schatzker。高能量损伤和非典型骨质疏松性脆性破坏越来越多地导致更复杂,不寻常和以前未描述的骨折模式得到认可。作者提出一例患者先前未报告的胫骨平台骨折和膝关节脱位。作者强调所面临的挑战,并介绍管理和他受伤的结果。一名28岁的男性摩托车手在与卡车相撞时涉及头部,并通过直升机转移到作者的1级主要创伤中心急诊室。他的受伤是左腿周围脱落伤,右侧胫骨平台骨折/膝关节脱位。胫骨平台外侧骨折的模式是独特的,不符合任何公认的分类系统。患者最初接受跨越外固定器,在软组织复苏的潜伏期为12天后,他通过前外侧入路接受胫骨近端固定,两个管状6.5 mm部分螺纹螺钉和一个额外的胫骨外侧近端板处于支撑模式。在手术后施加铰接的膝盖支架,其具有不受限制的运动范围,并且在手术后允许自由承重。在随访的6个月时,患者在没有辅助工具的情况下行走并且没有跛行。检查显示稳定的关节和全方位的运动。平片显示骨折愈合良好,固定稳定。高能量损伤可导致更复杂的骨折模式,这对整形外科医生的管理提出了挑战。了解个体骨折模式以及可能发生的可能挑战至关重要。该研究报告了胫骨平台外侧骨折/脱位,这可能最好描述为反向Schatzker IV型骨折。

关键词:膝关节,胫骨平台骨折,Schatzker分类,下肢外伤

介绍
在涉及胫骨平台骨折的文献中已经提出了多种分类系统。它们用于描述骨折模式,指导管理和预测结果。最广泛使用的胫骨平台骨折分类是Schatzker首次提出的系统。1 近来,高能量损伤和脆性骨折的频率增加导致更复杂的骨折模式。

Schatzker IV型被认为是由高能量损伤机制引起的骨折,约占所有胫骨平台骨折的10%。2 骨折线通常穿过内侧胫骨平台并结合 脱位/半脱位膝关节(图1)。 一般认为,Schatzker IV型骨折是导致轴向负荷和膝盖内翻应力的高能量损伤。但是,作者在本研究中讨论的患者出现了穿过胫骨平台外侧的骨折线脱臼 膝关节 - 在作者所谓的'反向Schatzker IV型'骨折模式中(图2)。 据作者所知,这种断裂模式是文献中首次描述的。

1.jpg
图.1
典型的Schatzker IV骨折模式。

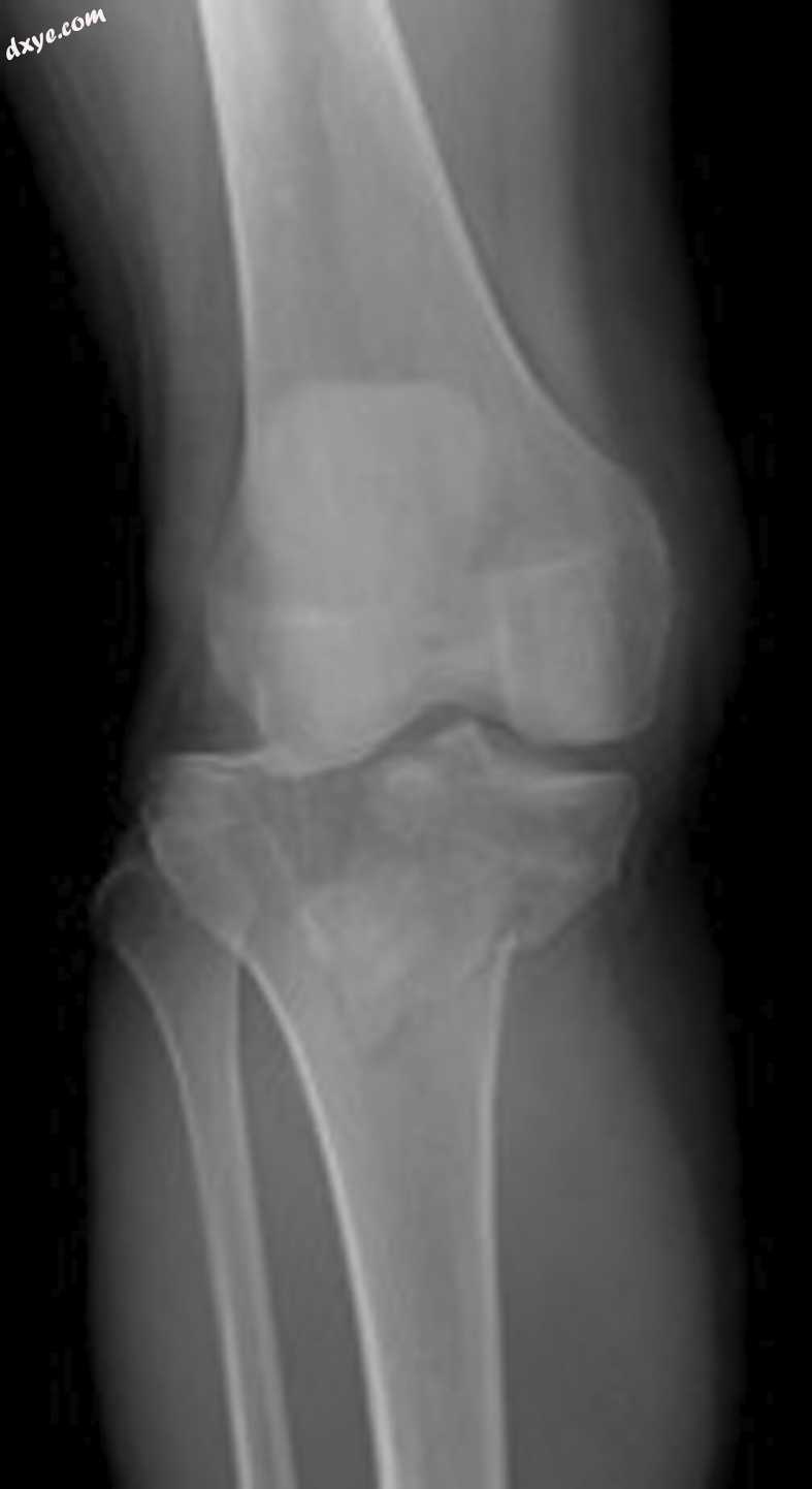
2.jpg
图2
A:前后位; B:损伤的平片的侧视图; C:CT扫描的冠状视图; D:描绘受伤时右侧胫骨近端的3D重建。

了解骨折模式及其背后的机制对于手术医生来说非常有用,因为该模式会影响手术方法和患者定位,固定构建和康复方案,可以及早识别任何风险和并发症,甚至可以预测预后结果病人

案例报告
事件
一名28岁的男性摩托车手与一辆入境卡车发生冲突。他在地区直升机紧急医疗服务(HEMS)的事故现场受到照顾,被发现被困在卡车下面。他被空运转移到区域一级重大创伤中心。

抵达后,他使用标准的主要创伤复苏协议进行管理。呼吸道,呼吸和循环稳定。最初应用骨盆夹板。患者保持警觉,并以格拉斯哥昏迷量表(GCS)定位为15,上肢完好无损。下肢的感觉和运动功能完好无损。脉冲存在于右下肢但左侧不存在。

在临床检查中,他的左腿向膝盖远端进行了广泛的脱套伤,右下肢膝关节受伤,膝盖肿胀,变形和触痛。放射成像显示左腿无骨性损伤,右侧膝关节胫骨平台骨折/脱位伴近端腓骨骨折(图2)。放射学和临床上排除骨盆损伤并取出骨盆粘合剂。右腿用膝盖以上的全腿背板固定,左腿用盐水浸泡敷料。患者急切地转移到剧院进行手术治疗。

围手术期
患者被紧急转移到手术室,由矫形外科医生管理左腿脱套伤,并由矫形外科医生进行右膝骨折/脱位。最初通过外科清创,冲洗和施加真空辅助闭合(VAC)敷料来治疗左腿脱套伤。第一次紧急手术治疗右膝骨折/脱位的目的是减少关节脱位,保持高度和对齐,以便为软组织复苏留出时间。这是通过使用跨越外部固定器(Hoffmann 3,Stryker,Kalamazoo,MI,USA)实现的。术中使用股骨牵引器来辅助减少,因为关节的减少还没有通过其他手段实现。

在潜伏期为12天(软组织复苏的足够时间)后,患者前往手术室进行右胫骨平台骨折的明确固定。进行了胫骨近端的前外侧入路。确定,准备,清洁和减少裂缝。用两根3.2毫米的k线暂时减少了压下量。从近端到远端和前外侧到内侧施加两个插管的6.5mm部分螺纹螺钉(ASNIS III 6.5mm,Stryker,Kalamazoo,MI,USA),以提供穿过骨折剪切平面的压缩。在支撑模式(AxSOS 3,Stryker,Kalamazoo,MI,USA)中应用另外的外侧胫骨近端板(图3A和B)。手术过程中没有并发症。

3.jpg
图3
图像识别器射线照片的前后(A)和侧(B)术中视图描绘右胫骨近端外科固定。

对于隔室综合征,患者在术后即刻进行了密切监测。应用了抬高和冰疗法。铰接式膝盖支架配有不受限制的运动范围,以支撑内侧副韧带,该内侧副韧带受到损伤力的明显损伤。他接受了定期的理疗,并进行了膝关节和踝关节的早期运动训练。给出了耐受早期负重的说明。

跟进
一旦他的左腿由整形外科医生进行皮肤移植治疗,患者在右胫骨平台骨折手术治疗后十天出院。在医院里,他每天接受物理治疗,并设法用拐杖行走,通过右腿承重。

随访6周,伤口愈合,没有感染迹象。他正用一根拐杖走路。膝盖的运动范围是0°-90°。在那时,取下铰接的膝盖支架,患者继续进行物理治疗。

在随访的3个月时,患者在没有辅助行走且没有肢体的情况下到诊所就诊。膝关节检查显示关节稳定,运动范围为0°-120°。放射学评估显示骨折愈合良好,并且固定保持稳定。

随访6个月,患者恢复到正常活动水平,关节稳定,活动范围充分。放射学评估显示,骨折完全愈合,良好对齐,固定保持不变(图4)。

4.jpg
图4
A:在随访6个月时描绘右膝的平片的前后视图; B:在随访6个月时描绘右膝的平片的侧视图。

讨论
虽然胫骨平台骨折的分类很多,并且描述了多种骨折模式,但作者提出了一种不寻常的骨折模式,以前在任何已知的系统中都没有报告和无法分类。在这种情况下,倾斜剪切模式破裂将胫骨髁分开。外侧胫骨髁保持在其外侧韧带结构固定于股骨的解剖位置。内侧胫骨髁保持附着于胫骨干并完全脱位。股骨内侧髁位于两个胫骨髁之间。它类似于Schatzker IV骨折模式,其中外侧胫骨髁和轴脱位,留下内侧髁。这是唯一的胫骨平台骨折类型,其包括膝关节的半脱位。因此,这种骨折模式可能最好描述为反Schatzker IV型骨折。

随着Schatzker分类,目前在文献中提到的超过六种分类模型描述了胫骨平台骨折模式,然而,还没有普遍接受的模型用于描述这些骨折模式。其他常用模型包括但不限于ArbeitsgemeinschaftfürOsteosynthesefragen(AO / OTA),罗氏分类和Hohl和Moore.5,6

Zhu等人发表的一项研究比较了使用AO / OTA和Schatzker分类作为参考标准的罗氏三柱分类5对胫骨平台骨折的可靠性。LUO的分类基于多平面计算机断层扫描(CT)图像,并且基本上将胫骨平台分成三个部分:侧柱,内侧柱和后柱。5 Zhu等人和几项研究一致认为多平面CT的扫描使用与Schatzker和AO / OTA分类相比,3D重建除了增强胫骨平台骨折分类的可靠性。8,9 Schatzker和AO / OTA系统最初基于平片,但是,现在经常使用CT成像平片用于分类胫骨平台骨折。

Charalambous等[10]也得出结论,当使用带有X线平片的Schatzker或AO / OTA模型时,胫骨平台骨折分类存在较高的观察者间和观察者内的变化。然而,有趣的是,Maripuri等人[11]得出结论,AO / OTA,Schatzker和Hohl和Moore系统并不是理想的骨折分类系统,但与AO / OTA和Hohl和Moore的分类相比,Schatzker的内部和内部观察者变异性较小。 Hohl和Moore分类被认为是所研究的三种分类中最不可靠的分类

Chang等人[2]确定了Schatzker IV型骨折模式中的亚分类。基本上,这描述了Schatzker IV型骨折模式的不同变体,并将它们分类为八种亚型。这些亚型分为两组;第1组包含经典的内侧高原骨折,第2组包括内侧高原骨折和侧面高原延伸。每个子类型将进一步由断裂线位置,断裂线方向和断裂类型(分裂,分裂 - 抑制等)定义。[2]尽管这个子分类很大,但它没有包含对的描述。本例研究中描述了胫骨平台外侧骨折 - 脱位模式。

本案例研究的独特之处在于努力突出所遇到的挑战以及用于治疗该患者的管理方案。这种特殊骨折模式的挑战可能包括腓神经或腘窝血管损伤的风险增加,骨折减少的困难以及解决斜向剪切骨折平面的需要。[12]这种骨折的手术过程并不典型于Schatzker采用IV型作为前外侧入路,而不是通常用于Schatzker IV骨折模式的内侧入路。然而值得注意的是,大多数基于Schatzker IV型胫骨平台骨折模式的病例研究实际上是涉及道路交通事故的年轻男性。13

在第一次检查冠状CT图像时,由于骨折线穿过外侧胫骨平台,骨折外观可能被误认为是S型I型或II型。然而,结合CT图像(冠状和三维重建)检查平片,清楚地描绘了膝关节半脱位的胫骨外侧髁骨折(图2)。

IV型胫骨平台骨折的手术治疗方案在很大程度上依赖于放射线图像。 Wicky等[14]发现,在看到CT图像后,基于平片图像制作的IV型胫骨平台骨折的手术治疗计划在60%的病例中发生变化,21%的手术计划在看到磁共振图像后被修改( MRI)胫骨平台骨折。作者的患者有X线平片(前后位和侧位视图)和CT三维重建(图2)。在这种情况下的计划主要基于对损伤机制的理解。

右侧胫骨平台骨折的手术治疗包括两个大的椎间盘螺钉加上支撑模式的辅助钢板(图2A和B)的减少和稳定,这将起到抵消作用在侧面平台上的剪切力的作用。利用可伸展的前外侧入路来实现关节和主要骨折线的可视化。

内固定可能与并发症有关,如深部感染或骨折移位导致腿部机械轴不对齐或关节不协调。15,16 然而,在骨折门诊随访3个月时,作者的患者证实膝盖0°-120°的一系列运动,没有任何与手术相关的术后并发症。随访6个月,骨折愈合良好。

内固定最常见的并发症之一是深部感染。 Ramos等[17]提出了一种替代内固定治疗胫骨平台骨折--Ilizarov细线外固定器。这项研究描述了Ilizarov技术如何缩短手术时间,缩短住院时间以及改善膝关节屈曲。此外,Keightley等[18]发现,与内固定相比,在受损的软组织中使用Ilizarov技术时没有深部感染使其成为可行的替代方案。 Barei等[16]对77例胫骨平台骨折患者进行了77个月的研究,发现内固定率为8.4%。加拿大骨科创伤学会15也进行了类似的研究,描述了83名内固定胫骨平台骨折患者超过两年,深部感染发生率为18%。然而,根据Metcalf等[19]进行的一项研究,与Ilizarov框架相关的感染总数远远大于内固定。更重要的是,在特定Schatzker IV平台骨折的管理中使用细线固定器的最具挑战性的因素之一是控制后内侧碎片并在主要冠状断裂平面上提供压缩。细导线难以向近端放置在后内侧平台上,并且通常损伤需要一定程度的开放复位和关节部件的有限内部固定,从而避免了细线固定构造的许多益处。

Yang等人最近的一项研究[13]描述了胫骨平台骨折线位置和方向背后的不同机制。研究发现,胫骨平台骨折线的方向与损伤时膝关节屈曲的程度有关。本研究发现,当膝关节处于中立位置时,内侧胫骨平台骨折发生,与内侧胫骨骨折线是由于内翻力作用于膝关节的常见概念形成对比。此外,Yang等[13]解释说,由于膝关节在受伤时屈曲或伸展,因此发生了后内侧和前内侧骨折。然而,在这个案例研究中,骨折线穿过外侧胫骨平台,内侧关节脱位。这种骨折模式的罕见性使得找到关于损伤机制的任何文献都具有挑战性,因此只能在轴向和外翻应力与膝关节延伸的可能组合中假设损伤的机制。然而,普遍的共识是,骨折脱位(Schatzker IV型)需要高能量的损伤机制。4

需要进一步研究以扩展目前的骨折分类。作者的病例报告中的发现可用于补充Schatzker分类,因此可以导致新的外科手术管理计划的发展,并可能确定与Schatzker IV型骨折相关的新挑战。

Schatzker分类可用于描述大多数胫骨平台骨折,但是,正如作者的案例研究所示,并非所有的骨折模式都被考虑在内。应该对当前标准进行重新评估,以适应骨折模式的所有可能的排列,并且因此可以实现新的管理计划。

参考:
An unclassified tibial plateau fracture: Reverse Schatzker type IV
1. Schatzker J., McBroom R., Bruce D. The tibial plateau fracture. The Toronto experience 1968-1975. Clin Orthop Relat Res. 1979;138:94–104.
2. Chang S.M., Zhang Y.Q., Yao M.W., Du S.C., Li Q., Guo Z. Schatzker type IV medial tibial plateau fractures: a computed tomography-based morphological subclassification. Orthopedics. 2014;37:e699–e706. [PubMed]
3. Junior M.K., Fogagnolo F., Bitar R.C., Freitas R.L., Salim R., Jansen Paccola C.A. Tibial plateau fractures. Rev Bras Ortop. 2009;44:468–474. [PubMed]
4. Markhardt B.K., Gross J.M., Monu J.U. Schatzker classification of tibial plateau fractures: use of CT and MRI imaging improves assessment. Radiographics. 2009;29:585–597. [PubMed]
5. Luo C.F., Sun H., Zhang B. Three-column fixation for complex tibial plateau fractures. J Orthop Trauma. 2010;24:683–692. [PubMed]
6. Hohl M. Tibial condylar fractures. JBJS. 1967 Oct 1;49(7):1455–1467.
7. Zhu Y., Hu C.F., Yang G. Inter-observer reliability assessment of Schatzker, AO/OTA and three-column classification of tibial plateau fractures. J Trauma Manag Outcomes. 2013;7:7. [PubMed]
8. Hu Y.L., Ye F.G., Ji A.Y. Three-dimensional computed tomography imaging increases the reliability of classification systems for tibial plateau fractures. Injury. 2009;40:1282–1285. [PubMed]
9. Brunner A., Horisberger M., Ulmar B. Classification systems for tibial plateau fractures; does computed tomography scanning improve their reliability? Injury. 2010;41:173–178. [PubMed]
10. Charalambous C.P., Tryfonidis M., Alvi F. Inter-and Intra-observer variation of the Schatzker and AO/OTA classifications of tibial plateau fractures and a proposal of a new classification system. Ann R Coll Surg Engl. 2007;89:400–404. [PubMed]
11. Maripuri S.N., Rao P., Manoj-Thomas A. The classification systems for tibial plateau fractures: how reliable are they? Injury. 2008;39:1216–1221. [PubMed]
12. Bryant G. Isolated medial plate fixation for a medial tibial plateau fracture with lateral diaphyseal extension: an atypical bicondylar tibial plateau fracture. J Orthop Trauma Case Rep. 2015:e1–e4.
13. Yang G., Zhu Y., Luo C.F. Morphological characteristics of Schatzker type IV tibial plateau fractures: a computer tomography based study. Int Orthop. 2012;36:2355–2360. [PubMed]
14. Wicky S., Blaser P.F., Blanc C.H., Leyvraz P.F., Schnyder P., Meuli R.A. Comparison between standard radiography and spiral CT with 3D reconstruction in the evaluation, classification and management of tibial plateau fractures. Eur Radiol. 2000 Jul 1;10(8):1227–1232. [PubMed]
15. Canadian Orthopaedic Trauma Society Open reduction and internal fixation compared with circular fixator application for bicondylar tibial plateau fractures. Results of a multicenter, prospective, randomized clinical trial. J Bone Jt Surg Am. 2006;88:2613–2623.
16. Barei D.P., Nork S.E., Mills W.J. Complications associated with internal fixation of high-energy bicondylar tibial plateau fractures utilizing a two-incision technique. J Orthop Trauma. 2004;18:649–657. [PubMed]
17. Ramos T., Ekholm C., Eriksson B.I. The Ilizarov external fixator – a useful alternative for the treatment of proximal tibial fractures. A prospective observational study of 30 consecutive patients. BMC Musculoskeletl Disord. 2013;14:11.
18. Keightley A.J., Nawaz S.Z., Jacob J.T. Ilizarov management of Schatzker IV to VI fractures of the tibial plateau: 105 fractures at a mean follow-up of 7.8 years. Bone Joint J. 2015;97-B:1693–1697. [PubMed]
19. Metcalfe D., Hickson C.J., McKee L. External versus internal fixation for bicondylar tibial plateau fractures: systematic review and meta-analysis. J Orthop Traumatol. 2015;16:275–285. [PubMed]
您需要登录后才可以回帖 登录 | 注册

本版积分规则

丁香叶与你快乐分享

微信公众号

管理员微信

服务时间:8:30-21:30

站长微信/QQ

← 微信/微信群

← QQ

Copyright © 2013-2025 丁香叶 Powered by dxye.com  手机版 
快速回复 返回列表 返回顶部