仿气腹25孔3单端腔镜训练箱训练用单针/双针带线【出售】-->外科训练模块总目录
「训练教具器械汇总」管理员微信/QQ12087382[问题反馈]
开启左侧

Dennis Ⅲ区骶骨骨折经皮经骶 - 经髂骨和髂骨螺钉固定术“闭合性仰卧位”闭合复位

[复制链接]
发表于 2019-1-7 00:00:10 | 显示全部楼层 |阅读模式

马上注册,结交更多好友,享用更多功能,让你轻松玩转社区。

您需要 登录 才可以下载或查看,没有账号?注册

×
概要
背景
在这里,作者证明了Dennis区III骶骨骨折经骶 - 韧带(TSTI)和髂骶(IS)螺钉固定的超伸展仰卧位闭合复位的临床结果。

患者和方法
对2009年1月至2016年9月期间接受治疗的Denis III区骶骨骨折的16名患者进行了评估。所有患者均在闭合复位期间使用经皮TSTI / IS螺钉固定进行治疗,患者置于过度伸展的仰卧位并伴有身体操纵。评估临床和放射学结果,并使用Gi​​bbon分类系统回顾性评估神经学结果。使用德国多中心研究组骨盆结果量表(POS)评估临床结果。

结果
骶骨后凸角减小18.06°±15.26°(平均后凸角:前OP,39.44°±20.56°; OP后,21.38°±7.39°),骨折平移减少5.93±4.95 mm(平均值)断裂平移:前OP,8.69±8.03 mm;后OP 2.75±3.97 mm)。平均初始长臂猿的得分为3.00±1.32。随访持续时间超过12个月的15例患者中,骶骨后凸角的平均复位损失为5.87°±10.40°,骨折平移为1.00±3.00 mm。最终的Gibbon评分为1.80±1.21,73.3%的患者根据POS评分获得了良好的结果。

结论
虽然经皮后路螺钉固定的过度伸展仰卧位闭合减少与一些手术限制和技术困难相关,但该手术是微创的并且对于稳定Denis III区骶骨骨折非常有效。


1. 介绍
DennisIII区骶骨骨折通常是由于高能量创伤,如高度跌落,交通事故和挤压伤,大部分骨折发生在多发伤患者[1]。 III区骶骨骨折是相对罕见的损伤,据报道仅占所有骶骨骨折的3-5%[2-4]。重要的是,这些骨折伴有高比率的神经损伤,包括小腿的感觉和运动缺陷;鞍区麻醉;和肠,膀胱和性功能障碍[2]。

从历史上看,Dennis III区骶骨骨折的标准治疗方法不涉及手术或局限于骶骨椎板切除术[1,5]。然而,鉴于内固定技术的进步,脊柱后凸最小且没有神经功能缺损的病例可以使用几种常用的外科手术治疗,如脊柱固定术[6],后路钢板固定[7]和髂骨螺钉固定[8]。然而,目前尚无关于Dennis III区骶骨骨折的适当治疗策略和适应症的明确指南。 Spinopelvic和​​后板固定显示良好的减少和神经恢复,但与长的手术时间相关。此外,手术在俯卧位进行,这对多发伤患者可能特别不利。此外,后板和其他脊柱器械的使用可能导致软组织损伤并导致伤口并发症。为了使这种并发症的风险最小化,微创方法越来越多地用于这些骨折。在最近的报告中,据报道,骨盆环骨折的微创后路螺钉固定,包括经骶骨 - 髂骨(TSTI)和髂骶(IS)螺钉固定,具有许多临床和生物力学优势[9-13]。

本研究的目的是回顾作者的经验,并证明使用经皮TSTI / IS螺钉固定方法对Denis III区骶骨骨折进行闭合复位的超伸展仰卧位的临床结果。


2.患者和方法
从作者的创伤数据库中选择2009年1月至2016年9月期间治疗的归类为AO / OTA C型骨盆损伤的Denis III区骶骨骨折患者。选择接受手术治疗且随访至少12个月的患者进行分析。回顾性分析患者的病历,根据Roy-Camille(由Strange-Vognsen和Lebech修改)和骨折形态[1,14,15]的方法,根据骶骨水平对骨折进行分类。

收集以下伤害数据:人口统计学,损伤机制,相关损伤和ISS。如果患者的病情允许,则进行初始临床神经系统检查,并根据Gibbons等[5,16]描述的分类系统进行分级。术前成像包括骨盆前 - 后X线片和多层CT扫描。收集的术后数据包括临床和放射学评估的结果。使用骨盆和多层螺旋CT的标准放射线照相术进行骶骨后凸角,骨折平移,植入位置和减压的放射学评估[17,18]。此外,由矫形外科医生(H.I.)进行多学科随访检查。

2.1.减少和操作技术
在8年的研究期间,进行了使用闭合复位和后骨盆环固定(TSTI和/或IS螺钉固定)的标准化手术技术。在伴有骶骨骨折和前骨盆环损伤的患者中,进行分期和/或一期重建。使用前腹膜外或经皮入路治疗骨盆环前部的损伤。通过经皮方法进行后骨盆环固定。

2.2.操作程序
对于后路螺钉固定,将患者仰卧在射线可透过的桌子上,并在手术枕头垂直于骶骨骨折线处进行过度伸展(图1(a))。在透视引导下,进行闭合骨折复位。当骨折复位质量不足时,放置额外的枕头和/或进行患者身体的操作(图1(b))。操纵操作涉及在将躯干和下肢推到桌子的同时沿纵向放置丝束(图1(c))。闭合复位后,在透视引导下进行经皮螺钉插入(图1(d))。原则上,插入两个或更多个TSTI螺钉;如果无法做到这一点,则将TITS螺钉与IS螺钉组合使用。作者研究所使用的螺钉包括由Depuy-Synthes,Inc。提供的6.5毫米(直径)套管松质骨螺钉(部分螺纹;最大长度:120毫米)和Meira,Inc。(部分和全螺纹;最大长度:150毫米)。最初没有进行直接骶骨减压。

1.jpg
图1
“超伸展”仰卧位闭合复位手术。 (a)显示了一个手工制作的减压枕。 (b)显示术中位置和“超伸展”仰卧位。 (c)显示操纵操作。 (d)显示术中图像。左图是在减速机动之前拍摄的,右图是在机动之后拍摄的。如果获得良好的减少,则在相同位置进行螺钉插入。 (e)术中荧光透视图像的前后还原后机动。在这种情况下,获得了良好的减少。

2.3.术后护理
术后第1天开始允许患者与躯干直立坐着。在确定性手术后4周允许非承重活动。确定性手术后5周开始负重活动。

在明确的骨盆环固定后,在1周内进行随访CT以间接评估减压质量。如果发现骶管中的残余骨折碎片和/或间接减压质量差,则考虑进行二次直接骶骨减压。一名骨科创伤外科医生(H.I.)执行了所有手术程序。记录与手术治疗相关的早期和晚期并发症。

2.4.放射学评估
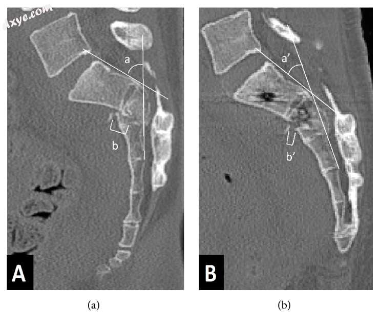
Dennis III区骶骨骨折的骶骨后凸角度是通过测量后骶骨皮质之间的角度来测量的,后骶骨皮质位于横向骨折水平的上方和下方。还通过测量横向骨折上方和下方骶骨前皮质的位移,从矢状位CT重建测量骨折平移(图2)。所有涉及术前,术后和最终X光片的测量以及CT图像均由第一作者进行。

2.jpg
图2
放射学测量方法。 (a)显示了矢状平面中骶骨的术前CT扫描。 (b)显示了矢状平面中骶骨的术后CT扫描。 a和a':骶骨后凸角; b和b':骶骨骨折翻译。

2.5.结果评估
在术前和术后进行下肢感觉和运动功能以及直肠检查以确定下腰骶丛的损伤。根据Gibbons等[5]的方法对马尾神经损伤的神经功能缺损进行分类。同样评估了最终随访时神经功能的改善。

使用德国多中心研究组骨盆结果量表(POS)[19]的临床标准,在最终随访时评估临床结果。这些临床标准(疼痛,功能障碍,持续性神经和泌尿系统损害以及肠功能障碍)均基于临床结果,范围为1至4分; POS得分为3-4分被认为是一个好结果,而得分为1-2分则表示结果不佳。

2.6.静态分析
数据通过Microsoft Excel 2016(Microsoft,Redmond,WA)注册,然后使用IBM SPSS Statistics,版本19(SPSS,Chicago,IL)进行统计分析。数据以算术平均值和标准偏差给出。使用配对t检验分析初始,术后和最终随访数据。对于p <0.05的值,数据差异被认为是显著的。


3.结果
3.1.患者人口统计学(表1)
表格1
术前临床资料和手术程序。
t1.jpg

ISS:伤害严重程度得分; R-C:Roy-Camille; OP:有效; TSTI:经骶 - 髂骨螺钉; IS:髂骨螺钉; U:U形; H:H形; T:T形; FOH:从高处跌落; CR:挤压伤; TA:交通事故; F:女;男:男; P:部分螺纹螺钉; F:全螺纹螺钉。

确定了16名患有Denis III区骶骨骨折的患者(6名男性,10名女性),分类为AO / OTA C型骨盆损伤。表1显示了患者的人口统计学特征,损伤机制,ISS,骨折模式,初始Gibbons等级和手术程序。在受伤时,患者的平均年龄为29.50±11.12岁(范围:16-50岁)。所有患者均持续高能量创伤。受伤的机制包括从高处跌落(n = 12; 11起自杀和1起意外),交通事故(n = 3)和挤压伤(n = 1)。

平均ISS为25.94±13.88(范围:9-50)。 16例患者中有13例出现相关损伤,其中9例头部和躯干相关损伤,简易损伤评分≥3。 10例患者出现了其他脊柱和四肢损伤,2例患者出现骨盆骨折和尿路损伤。在初步检查时,16名患者中有12名观察到神经功能缺损,平均Gibbons'分级为3.13±1.25(范围:1-4)。

3.2.断裂类型
横向骨折涉及以下骶骨水平:S1(n = 1),S2(n = 7),S2-3(n = 2),S3(n = 3),S3-4(n = 1), S2 + S3-4(n = 1),S2 + S3(n = 1)。使用Roy-Camille分类系统和断裂形态对断裂模式进行分类。 12例患者发生Roy-Camille 2型骨折,4例患者发生3型骨折。此外,发现H形(n = 3),T形(n = 4),U形(n = 7)和Y形骨折(n = 2)。在1例中观察到Morel-Lavallée病变,而未发现任何开放性骨折病例。

3.3.手术治疗(表2)
表2
放射学和临床发现。
t2.jpg

在损伤后0至8天进行后部经皮内固定(中位数:1.31±2.73天)。 骨盆后环稳定的手术方法仅包括12例2或3-TSTI螺钉固定(图(图33和图4),4),1例双侧S1 IS和S2 TSTI螺钉固定,1例单侧S1和S2 IS 螺钉固定,2个双侧S1和S2 IS螺钉固定(图5)。 对9例患者进行了额外的一期固定,包括耻骨螺钉固定(n = 4),耻骨板固定(n = 1),耻骨螺钉/钢板和前骶髂板固定(n = 1),联合钢板固定( n = 2),以及髋臼骨折的钢板固定(n = 2)(图5)。 后确定性固定的平均手术时间为64.69±98.65分钟(范围:10-420分钟)。

3.jpg
图3
病例1.一名25岁男子因高低坠落而受伤,接受S1和S2 TSTI部分螺纹螺钉固定,用于Roy-Camille 2型U形横骶骨骨折。 (a)显示骨盆的术前三维CT重建。 (b)显示矢状平面中骶骨的术前CT扫描(术前骶骨后凸角:33°;骨折平移:10 mm)。 (c)显示骨盆的术后前后位X线片。 (d)显示矢状平面中骶骨的术后CT扫描(术后骶骨后凸角:17°;骨折平移:2 mm)。 (e)显示了矢状平面中骶骨的最终随访CT扫描。 观察到轻微的减少损失。

4.jpg
图4
病例9.一名18岁的男子因高低坠落而受伤,接受S1和S2 TSTI全螺纹螺钉固定,用于Roy-Camille 2型U形横骶骨骨折。 (a)显示骨盆的术前三维CT重建。 (b)显示矢状平面中骶骨的术前CT扫描(术前骶骨后凸角:89°;骨折平移:8 mm)。 (c)显示骨盆的术后前后位X线片。 (d)显示矢状平面中骶骨的术后CT扫描(术前骶骨后凸角:32°;骨折平移:3 mm)。 (e)显示了矢状平面中骶骨的最终随访CT扫描。 保持了良好的降低质量。

5.jpg
图5
案例3。该案件的减少损失最大。一名25岁的女性因高低坠落而受伤,接受单侧S1和S2双侧髂骶部分螺纹螺钉固定治疗Roy-Camille 2型H形横骶骨骨折。 (a)显示骨盆的术前三维和矢状平面CT重建(术前骶骨后凸角度:63°;骨折平移:11 mm)。 (b)显示术后前后位X线片和矢状面骶骨CT扫描(术后骶后凸角度:28°;骨折平移:6 mm)。 (c)显示在初始手术治疗后一个月采取的矢状平面中的骶骨的前后X射线照片和CT扫描(骶骨后凸角:60°;骨折平移:14mm)。观察到螺钉松动。进行继发性骶骨减压。 (d)显示了矢状平面中骶骨的最终随访前后位X线片和CT扫描。实现骨愈合,但减少损失和膀胱/肠功能障碍仍然存在。

在5名患者中进行了由残余骨碎片和神经缺陷引起的额外手术,包括延迟直接骶骨减压(n = 5)。在骨折愈合后,14例患者常规切除后路植入物。

3.4.术前和术后放射学结果(表2)
平均术前和术后骶骨后凸角度分别为39.44°±20.57°(范围:13-89°)和21.38°±7.39°(范围,11-36°)。骶椎后凸的术后平均缩小角度为18.06°±15.26°(范围:2-57°)。后凸角度有显著差异(p <0.05,95%置信区间(CI)9.93至26.19)平均术前和术后平移为8.69±8.03 mm(范围:0-35 mm),2.75±3.97 mm(范围:0-16 mm),分别。术后平均翻译减少为5.93±4.95 mm(范围:0-19 mm)。骨折平移也得到改善,具有显著差异(p <0.05,95%CI 3.30至8.57)。

3.5.最终随访时的放射学,神经学和临床结果(表2)
15名患者被随访超过12个月。在最后的随访中(平均值:27.53±19.64个月;范围:12-71个月),平均骶骨后凸角和减少损失为27.93°±13.01°(范围:13-60°)和5.87°±10.40° (范围:-1-32°),分别。后凸角度和后最终随访之间的显著差异降低了后凸角(p <0.05,95%CI -11.62至-0.11)。平均骶骨平移和减少损失分别为3.80±6.71mm(范围:0-24mm)和1.00±3.00mm(范围:-2-8mm)。保持平移没有差异(p = 0.22,95%CI -2.66至0.66)。平均Gibbons'等级为1.80±1.21(范围:1-4),12名患者中有8名(66.71%)神经系统症状表现出神经状态改善。 Gibbons等级得到改善,具有显著差异(p <0.05,95%CI 0.65至2.02)。平均POS评分为2.93±1.28(范围:1-4)。 POS评分表明的临床结果良好且分别为73.3%(11/15)和26.7%(4/15)的患者(表2)。

3.6.并发症
所有患者均显示骨性愈合。没有发现深部和/或浅表伤口感染的病例。 3例患者出现螺钉松动;一名患者有较大的减少损失(病例3;双侧S1和S2 IS螺钉,见图5)。此外,在4名患者中观察到螺钉错位;然而,在这些情况下,术后没有观察到新的神经功能缺损。


4.讨论
本研究旨在表明,通过操作和经皮TSTI / IS螺钉固定,在一个过度伸展的仰卧位闭合复位可用于治疗Denis III区骶骨骨折。目前,本研究是关于这些骨折的闭合复位和经皮螺钉固定的最大案例系列[8,10,11,13]。此外,本研究包括涉及仰卧位置机动的最多案例。

Dennis III区骶骨骨折可能是H型,U型,T型或Y型[20],骶骨脱位可能是前部或后部[1]。当治疗这些骨折时,重要的是减少骶骨后凸角度骨折平移并保持这种减小的位置。以前,已经报道了这些骨折的几种治疗方法的结果。 Siebler等人。报道了保守治疗的结果[21],并发现治疗后骶骨后凸角增加了4.1°(从36.4°到40.5°)。在手术治疗方面,Schildhauer等人,Tan等人和Lindahl等人。据报道,使用spinopelvic固定,43°,32°和38°的初始后凸角分别改善到21°,19°和22°的最终角度[6,20,22]。 Nork等人。据报道,使用IS螺钉固定后,后凸角度从29.2°减小到28.2°[8],而K&#246;nig等人。据报道,在3例患者中使用TSTI螺钉固定术后,骶尾部和骨盆入射角分别从术前的84°和75°降至术后的58°和56°(分别为14°和15°的减少损失)[10] ]。 Ruatti等人。报道称,在仰卧位,骨质疏松,骨骼牵引,经皮螺钉固定等3例均有良好的复位效果[13]。在本研究中,术前和术后后凸角分别为40°和22°,表明减少了4.9°的损失。在翻译方面,Lindahl等人。据报道,旋转盆腔固定的平均术前和术后平移分别为15.5和5.8 mm [22],而在本研究中,相应的值分别为8.9和2.8 mm。在本研究中,仅一名患有IS固定的患者(病例3)被观察到具有高的减少损失和螺钉松动。总之,这些临床数据表明TSTI螺钉固定等于脊柱固定术。此外,Min等人。据报道,从生物力学的角度来看,2-TSTI螺钉固定在2区骶骨骨折模型中优于脊柱固定术[23]。因此,作者认为TSTI螺钉固定在仰卧位是Dennis III区骶骨骨折固定的有效,刚性和微创手术。

据报道,Denis III区骶骨骨折导致高达100%的患者出现不同程度的神经损伤[6-8,20-22,24]。因此,在本研究中,16名患者中的12名(75%)观察到神经缺陷。然而,50-100%患有这些骨折的患者出现神经功能恢复[6-8,10,20,21]。骶骨的早期手术治疗,包括间接或直接恢复脊柱静脉稳定性和神经根减压,被认为是神经恢复的最佳环境。 Schildhauer等。据报道,神经功能恢复取决于受伤时神经损伤的程度[6]。然而,Siebler等人在他们的非手术治疗研究中报告说,恢复率仍然高达85.7%。 [21]因此,就神经学结果而言,最好的治疗方法仍不清楚。在本研究中,整体神经系统恢复率为66.7%(8/12)。在4例(病例3,4,12和15)中观察到缺乏神经恢复。其中,一例(病例4)涉及脊髓损伤合并。在另外一例(病例12)中,术后骶管的减压被认为是足够的;然而,没有观察到神经恢复。在病例3和15中,由于可疑的后凸角和平移的减少损失,进行了额外的神经减压手术(病例3);然而,无法获得神经恢复。此外,由于残余碎片和/或神经恢复不足,4例(病例6,7,8和9;参见图4)经历了额外的减压,并且最终被认为具有足够的神经恢复。根据作者的经验和Schildhauer等人的报告。 [6],神经恢复的可能性似乎取决于受伤时神经损伤的程度。然而,为了最大程度地恢复神经功能,作者认为间接或直接神经减压是必要的。因此,在作者的治疗策略中,在急性期进行间接减压和减压,如果术后CT显示骶管中的不完全减压和/或残余骨折碎片,则进行二次直接骶骨减压。

作者认为TSTI / IS螺钉固定是一种侵入性较小的方法,与并发症发生率相对较低有关。在作者的系列中,平均手术时间约为65分钟。在仅涉及TSTI或IS螺钉插入的情况下,每个螺钉的螺钉插入时间约为10分钟。此外,作者的术前闭合复位程序所需的时间约为20至30分钟。因此,在仅需要闭合复位和螺钉固定的情况下,可以在急性期治疗患者。此外,在仅涉及螺钉固定的情况下,患者仰卧位置,这通常是多发伤患者最舒适的位置。此外,TSTI / IS螺钉固定与非常低的轮廓和很少的手术部位并发症相关。事实上,在作者的研究中,没有观察到手术部位的并发症。在过去使用不同方法的报告中,手术部位并发症发生率高达38%[6,7,20]。 Spinopelvic固定与盆腔环骨折治疗中特别高的并发症发生率相关[6,20],并且后部软组织并发症与较差的结果相关。

本研究存在一些局限性。首先,研究人口相对较少,不允许进行高效的统计分析;因此,作者的结论应该谨慎解释。其次,TSTI / IS螺钉固定存在操作限制。在用于III区骶骨骨折的TSTI / IS螺钉固定中,需要至少两个螺钉插入件(2个TSTI螺钉,或1个TSTI螺钉和1个IS螺钉),因为螺钉需要提供抵抗垂直负载剪切力和旋转的阻力骶椎体的力量。然而,据报道,骨内植入物的髂骶 - 髂骨走廊未插入S1和S2病例的18-25%和10-12%;此外,据报道女性患者的这一问题很频繁[25-27]。因此,由于解剖学变化和不同的骨折类型,该方法并不总是有用的。

总之,目前的研究表明,采用TSTI / IS螺钉固定的超伸展仰卧位闭合复位可有效治疗DenisⅢ区骶骨骨折,包括骨折复位,复位减少,神经功能恢复和临床结果。因此,尽管存在一些局限性,作者认为作者的手术是治疗Denis III区骶骨骨折的有效且合适的方法。

参考:
Closed Reduction in a “Hyperextended Supine Position” with Percutaneous Transsacral-Transiliac and Iliosacral Screw Fixation for Denis Zone III Sacral Fractures
1. Roy-Camille R., Saillant G., Gagna G., Mazel C. Transverse fracture of the upper sacrum: Suicidal jumper’s fracture. The Spine Journal. 1985;10(9):838–845. doi: 10.1097/00007632-198511000-00011. [PubMed] [CrossRef]
2. Denis F., Davis S., Comfort T. Sacral fractures: An important problem: Retrospective analysis of 236 cases. Clinical Orthopaedics and Related Research. 1988;(227):67–81. [PubMed]
3. Albert T. J., Levine M. J., An H. S., Cotler J. M., Balderston R. A. Concomitant noncontiguous thoracolumbar and sacral fractures. The Spine Journal. 1993;18(10):1285–1291. doi: 10.1097/00007632-199308000-00007. [PubMed] [CrossRef]
4. Hessmann M., Degreif J., Mayer A., Atahi S., Rommens P. M. Transverse sacral fracture with intrapelvic intrusion of the lumbosacral spine: Case report and review of the literature. Journal of Trauma - Injury Infection and Critical Care. 2000;49(4):754–757. doi: 10.1097/00005373-200010000-00027. [PubMed] [CrossRef]
5. Gibbons K. J., Soloniuk D. S., Razack N. Neurological injury and patterns of sacral fractures. Journal of Neurosurgery. 1990;72(6):889–893. doi: 10.3171/jns.1990.72.6.0889. [PubMed] [CrossRef]
6. Schildhauer T. A., Bellabarba C., Nork S. E., Barei D. P., Chip Routt M. L., Jr., Chapman J. R. Decompression and lumbopelvic fixation for sacral fracture-dislocations with spino-pelvic dissociation. Journal of Orthopaedic Trauma. 2006;20(7):447–457. doi: 10.1097/00005131-200608000-00001. [PubMed] [CrossRef]
7. Gribnau A. J. G., Hensbroek P. B. V., Haverlag R., Ponsen K. J., Been H. D., Goslings J. C. U-shaped sacral fractures: Surgical treatment and quality of life. Injury. 2009;40(10):1040–1048. doi: 10.1016/j.injury.2008.11.027. [PubMed] [CrossRef]
8. Nork S. E., Jones C. B., Harding S. P., Mirza S. K., Routt M. L. C., Jr. Percutaneous stabilization of U-shaped sacral fractures using iliosacral screws: Technique and early results. Journal of Orthopaedic Trauma. 2001;15(4):238–246. doi: 10.1097/00005131-200105000-00002. [PubMed] [CrossRef]
9. Tabaie S. A., Bledsoe J. G., Moed B. R. Biomechanical comparison of standard iliosacral screw fixation to transsacral locked screw fixation in a type C zone II pelvic fracture model. Journal of Orthopaedic Trauma. 2013;27(9):521–526. doi: 10.1097/BOT.0b013e3182781102. [PubMed] [CrossRef]
10. K&#246;nig M. A., Seidel U., Heini P., et al. Minimal-invasive percutaneous reduction and transsacral screw fixation for u-shaped fractures. Journal of Spinal Disorders & Techniques. 2013;26(1):48–54. doi: 10.1097/BSD.0b013e3182318539. [PubMed] [CrossRef]
11. Gardner M. J., Routt M. L. C., Jr. Transiliac-transsacral screws for posterior pelvic stabilization. Journal of Orthopaedic Trauma. 2011;25(6):378–384. doi: 10.1097/BOT.0b013e3181e47fad. [PubMed] [CrossRef]
12. Bederman S. S., Hassan J. M., Shah K. N., Kiester P. D., Bhatia N. N., Zamorano D. P. Fixation techniques for complex traumatic transverse sacral fractures: A systematic review. The Spine Journal. 2013;38(16):E1028–E1040. doi: 10.1097/BRS.0b013e318297960a. [PubMed] [CrossRef]
13. Ruatti S., Kerschbaumer G., Gay E., Milaire M., Merloz P., Tonetti J. Technique for reduction and percutaneous fixation of U- and H-shaped sacral fractures. Orthopaedics & Traumatology: Surgery & Research. 2013;99(5):625–629. doi: 10.1016/j.otsr.2013.03.025. [PubMed] [CrossRef]
14. Mehta S., Auerbach J. D., Born C. T., Chin K. R. Sacral fractures. Journal of the American Academy of Orthopaedic Surgeons. 2006;14(12):656–665. doi: 10.5435/00124635-200611000-00009. [PubMed] [CrossRef]
15. Strange-Vognsen H. H., Lebech A. An unusual type of fracture in the upper sacrum. Journal of Orthopaedic Trauma. 1991;5(2):200–203. doi: 10.1097/00005131-199105020-00014. [PubMed] [CrossRef]
16. T&#246;tterman A., Glott T., Madsen J. E., R&#248;ise O. Unstable sacral fractures: Associated injuries and morbidity at 1 year. The Spine Journal. 2006;31(18):E628–E635. doi: 10.1097/01.brs.0000231961.03527.00. [PubMed] [CrossRef]
17. Rommens P. M., Vanderschot P. M., Broos P. L. Conventional radiography and CT examination of pelvic ring fractures. A comparative study of 90 patients. Der Unfallchirurg. 1992;95(8):387–392. [PubMed]
18. Vaccaro A. R., Kim D. H., Brodke D. S., et al. Diagnosis and management of sacral spine fractures. Instructional Course Lectures. 2004;53:375–385. [PubMed]
19. Pohlemann T., G&#228;nsslen A., Schellwald O., Culemann U., Tscherne H. Outcome after pelvic ring injuries. Injury. 1996;27(2):31–38. doi: 10.1016/0020-1383(95)00164-6. doi: 10.1016/S0002-9378(15)33150-1. [PubMed] [CrossRef] [CrossRef]
20. Tan G.-Q., He J.-L., Fu B.-S., Li L.-X., Wang B.-M., Zhou D.-S. Lumbopelvic fixation for multiplanar sacral fractures with spinopelvic instability. Injury. 2012;43(8):1318–1325. doi: 10.1016/j.injury.2012.05.003. [PubMed] [CrossRef]
21. Siebler J. C., Hasley B. P., Mormino M. A. Functional outcomes of Denis Zone III sacral fractures treated nonoperatively. Journal of Orthopaedic Trauma. 2010;24(5):297–302. doi: 10.1097/BOT.0b013e3181ccb645. [PubMed] [CrossRef]
22. Lindahl J., M&#228;kinen T. J., Koskinen S. K., S&#246;derlund T. Factors associated with outcome of spinopelvic dissociation treated with lumbopelvic fixation. Injury. 2014;45(12):1914–1920. doi: 10.1016/j.injury.2014.09.003. [PubMed] [CrossRef]
23. Min K. S., Zamorano D. P., Wahba G. M., Garcia I., Bhatia N., Lee T. Q. Comparison of two-transsacral-screw fixation versus triangular osteosynthesis for transforaminal sacral fractures. Orthopedics. 2014;37(9):e754–e760. doi: 10.3928/01477447-20140825-50. [PubMed] [CrossRef]
24. Ayoub M. A. Displaced spinopelvic dissociation with sacral cauda equina syndrome: Outcome of surgical decompression with a preliminary management algorithm. European Spine Journal. 2012;21(9):1815–1825. doi: 10.1007/s00586-012-2406-9. [PMC free article] [PubMed] [CrossRef]
25. Vanderschot P., Meuleman C., Lefèvre A., Broos P. Trans iliac-sacral-iliac bar stabilisation to treat bilateral lesions of the sacro-iliac joint or sacrum: Anatomical considerations and clinical experience. Injury. 2001;32(7):587–592. doi: 10.1016/S0020-1383(01)00039-0. [PubMed] [CrossRef]
26. Mendel T., Noser H., Kuervers J., Goehre F., Hofmann G. O., Radetzki F. The influence of sacral morphology on the existence of secure S1 and S2 transverse bone corridors for iliosacroiliac screw fixation. Injury. 2013;44(12):1773–1779. doi: 10.1016/j.injury.2013.08.006. [PubMed] [CrossRef]
27. Gras F., Hillmann S., Rausch S., Klos K., Hofmann G. O., Marintschev I. Biomorphometric analysis of ilio-sacro-iliacal corridors for an intra-osseous implant to fix posterior pelvic ring fractures. Journal of Orthopaedic Research. 2015;33(2):254–260. doi: 10.1002/jor.22754. [PubMed] [CrossRef]
您需要登录后才可以回帖 登录 | 注册

本版积分规则

丁香叶与你快乐分享

微信公众号

管理员微信

服务时间:8:30-21:30

站长微信/QQ

← 微信/微信群

← QQ

Copyright © 2013-2025 丁香叶 Powered by dxye.com  手机版 
快速回复 返回列表 返回顶部