仿气腹25孔3单端腔镜训练箱训练用单针/双针带线【出售】-->外科训练模块总目录
「训练教具器械汇总」管理员微信/QQ12087382[问题反馈]
开启左侧

一种新的口腔内超声引导下穿孔脓肿抽吸技术

[复制链接]
发表于 2018-12-4 00:00:17 | 显示全部楼层 |阅读模式

马上注册,结交更多好友,享用更多功能,让你轻松玩转社区。

您需要 登录 才可以下载或查看,没有账号?注册

×
概要
扁桃体周围脓肿(PTA)是急性扁桃体炎的常见并发症。 治疗是脓肿的引流,但由于仅基于口腔检查的低诊断准确性,许多针吸入是不成功的。 在本文中,作者描述了如何添加口内超声以改善PTA的诊断检查,并提出了一种使用小型铅笔形换能器进行PTA超声引导抽吸的新技术。 作者介绍了这项技术的第一次临床经验,并描述了如何将其整合到临床环境中,以指导安全和成功的PTA针吸。

关键词:床旁超声,口内超声,扁桃体周围脓肿,超声引导下穿刺

1.简介
扁桃体周围脓肿(PTA)是与腭扁桃体相关的常见深部感染,在美国每年每10万人发病30例[1]。早期治疗,以脓液引流的形式,对于避免扩散到周围组织和致命的并发症很重要[2]。脓肿的形成通常先于急性扁桃体炎,其发展为扁桃体周围蜂窝织炎并进一步发展为PTA。患者通常抱怨单侧喉咙痛,发烧,同侧耳痛和口服摄入减少[3]。口腔检查可能会发现低沉的声音,牙关紧闭和单侧红斑和腭部,相应的扁桃体移位到中线或以上。大多数PTA患者可以由耳鼻喉科医生或急诊医师在门诊就诊,使用局部麻醉剂进行针吸(或切口)[1,4]。这种具有里程碑意义的技术传统上用于确定具有最大膨胀和波动的点 - 通常在扁桃体的上极 - 针插入针进行“盲”抽吸[3,5]。如果误吸不成功,将在扁桃体的中下极点进行进一步的尝试[6]。然而,PTA的诊断准确性,仅基于体格检查,较低(敏感性为78%,特异性为50%)[7],并且可能导致许多不必要的尝试引流扁桃体周围蜂窝织炎而没有治疗效果[8] 。具有对比度的计算机断层扫描(CT)对PTA具有高灵敏度,但是昂贵并且使年轻患者暴露于电离辐射。相反,口内超声可以提供PTA的无电离,低成本和实时成像,尽管它可能难以用于患有严重牙关紧闭和活跃的口腔舌肌组织的患者[9,10]。大多数研究仅使用口内超声作为静态诊断图像模态,然后,进行PTA的“盲”针抽吸,作为两步操作[7,9,11,12,13,14,15,16, 17。一些病例报告描述了使用内腔传感器,设计用于经阴道检查以实现PTA针吸的实时图像引导[18,19,20]。然而,内腔传感器的尺寸使得难以在口腔中处理而不会引发患者的呕吐反射。相反,作者开发了一种新技术,使用较小的铅笔形换能器(最初开发用于通过头骨上的钻孔进行神经外科成像),用于口内超声引导的PTA抽吸(见图1)。作者将在本文中描述作者的口内超声方法,并提供一些来自临床实践的说明性图像。此外,作者将提交病例报告并讨论护理对PTA患者的潜在影响。

1.jpg
图1
可用于口内超声的不同类型的换能器(左)。 Burr-Hole,曲棍球棒和经阴道/直肠传感器来自BK Ultrasound(Analogic,Peabody,MA,USA)。针头连接到Burr-Hole传感器(中间)。使用带盖的Burr-Hole换能器进行口内超声检查(右)。

2。材料和方法
局部麻醉剂(利多卡因,10 mg /剂)应喷洒到咽后部,以便在进行口内超声前减少呕吐反射。铅笔形Burr-Hole 8863换能器(BK Ultrasound,Peabody,MA,USA)适用于口内超声,其中小弯头置于水肿腭舌弓上,并从扁桃体的颅端到尾端滑动。脓肿腔可以看作与扁桃体相关的低回声区(见图2)。如果对脓肿的存在有任何疑问,应使用能量多普勒(图3)或相反扁桃体的超声波作为参考。此外,线性曲棍球棒传感器也可用于改善口内成像,以帮助区分严重扁桃体炎/蜂窝织炎与PTA(见图4)。如果确认PTA,局部麻醉(例如2%利多卡因和5微克肾上腺素)应渗入粘膜。针引导器连接到Burr-Hole传感器,带有屏幕上的超声针引导线,以确保小而深的PTA精确且安全地排出。当针尖可视化到脓肿腔中时,辅助护士可以将脓液吸入注射器,直到超声波区域消失在超声图像上(见图5)。更大的PTA腔也可以使用自由手超声引导技术吸出,使用注射器支架进行吸气,无需助手的帮助。可以使用或刀来打开脓肿腔以在抽吸后进一步排出。患者 - 非气道受损 - 现在可以口服抗生素和止痛药出院,以便在门诊进行随访。

2.jpg
图2
静脉超声图像与Burr-Hole N11C5s BK超声换能器的左侧扁桃体脓肿被视为测量的低回声区域。

3.jpg
图3
能量多普勒显示在不明确的低回声区域(A)没有血管活动,支持诊断扁桃体周围脓肿。 使用Hockey Stick 8809换能器和Flex Focus 800 BK超声机(Analogic,Peabody,MA,USA)的超声图像。

4.jpg
图4
图像(a)患有严重扁桃体炎的患者,伴有扁桃体周围肿胀。 超声波可见扁桃体肥大,发炎的扁桃体隐窝(x)但没有脓肿。 图(b)和(c)来自另一名患者的超声图像,显示具有脓肿腔的腭扁桃体(T)(A)。 所有成像均使用Hockey Stick换能器和GE Logiq S7超声系统(GE_Healthcare Chicago,Chicago,IL,USA)捕获。

5.jpg
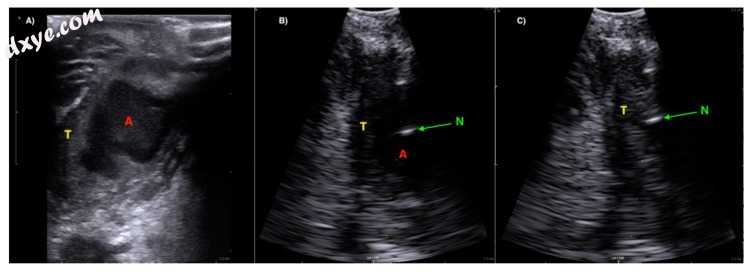
图5
(图像(A))用线性曲棍球棒传感器(BK超声)观察到与帕拉丁扁桃体(T)相关的明确的低回声扁桃体周围脓肿(A)。 (图像(B))使用具有针引导的凸阵钻孔换能器来自同一患者的超声图像。针尖被视为脓肿腔(A)中的低回声反射(N)。 (图像(C))从脓肿腔中成功吸出脓液后的超声图像。

3.结果
一名年龄较小的30多岁的年轻人被怀疑由急诊部门转诊到Rigshospitalet的耳鼻喉科,头颈外科和听力科。最初的临床检查证实了对左侧PTA的怀疑,并且使用传统的标志性技术进行了三次盲针抽吸尝试而没有吸入脓液。有序对比CT检查,发现与左腭扁桃体有关的深脓肿(见图6)。因此,患者计划在全身麻醉(Quincy扁桃体切除术)中进行急性扁桃体切除术,以确保脓肿腔的引流。然而,由于其他紧急外科手术,该手术被推迟。相反,如方法部分所述,超声引导下的针吸操作用局部麻醉剂成功完成(见视频S1,补充)。之后,患者出院时口服抗生素并在门诊就诊。

6.jpg
图6
口腔检查左侧扁桃体肿胀(左)。深部左侧扁桃体周围脓肿,由计算机断层扫描(CT)图像中的红色箭头表示(右)。

4.讨论
在本文中,作者描述了一种用于腭扁桃体的即时口内超声的新技术。作者将其用于具有小深度PTA的病例,其中使用传统的标志性技术的吸气是不成功的,但超声引导的针吸取成功。作者使用了一种新的小型铅笔形传感器,可以显示扁桃体,腭舌弓,减少患者的不适感。与其他研究相比,作者的技术允许实时针引导以确保脓肿腔的安全和完全引流,这也适用于牙关紧闭的患者。作者相信,与标志性技术相比,这种技术可用于减少不成功的针头吸气次数,而实时超声波引导可确保精确的针头切口并避免损伤血管结构。作者只建议对成人进行口内超声技术[21],而经皮颈部超声检查对儿童的耐受性较好,应该优先考虑这些病例[22]。作者技术的另一个限制是使用特殊的神经外科换能器,传统上不用于急诊医学或耳鼻喉科。线性曲棍球棒传感器更常用,与Burr-Hole传感器相比,由于更多的传感器晶体和更高的频率,实际上可以提供更好的扁桃体图像分辨率[见图5] [23]。大多数超声波制造商都有曲棍球棒传感器,作者在作者的部门使用GE(GE_Healthcare Chicago,Chicago,IL,USA)和BK Ultrasound(Analogic,Peabody,MA,USA)的设备有很好的经验。 GE换能器提供扁桃体的最佳图像质量(见图3),而BK的Hockey Stick换能器具有灵活的尖端,非常适合口内使用。然而,由于曲棍球棒传感器的尺寸,作者可以将其用作静态成像模式,而之后的针切口则是“盲目”[17]。本文所示的口内超声检查均由Tobias Todsen获得,他是一名经验丰富的耳鼻喉科超声检查专家,并获得头颈超声证书。然而,即时超声是一种非常依赖于用户的图像模态,需要医生提供技术和图像解释技术[24,25]。因此,作者不知道作者的初步结果是否可以推广到医生没有口内超声经验的其他设置,并且需要进一步的研究来评估学习曲线[26,27]。

本文介绍了一种新的PTA超声引导抽吸方法,可以减少患者的不适感和不成功的针吸操作次数。 然而,作者仅描述了作者对该技术的初步临床经验,并且需要未来的随机对照试验来探索患者结果和成本效益。

参考:
A Novel Technique for Intraoral Ultrasound-Guided Aspiration of Peritonsillar Abscess
1. Herzon F.S., Harris P. Peritonsillar abscess: Incidence, current management practices, and a proposal for treatment guidelines. Laryngoscope. 1995;105:1–17. doi: 10.1288/00005537-199508002-00001. [PubMed] [CrossRef]
2. Page C., Biet A., Zaatar R., Strunski V. Parapharyngeal abscess: Diagnosis and treatment. Eur. Arch. Oto-Rhino-Laryngol. 2008;265:681–686. doi: 10.1007/s00405-007-0524-5. [PubMed] [CrossRef]
3. Passy V. Pathogenesis of peritonsillar abscess. Laryngoscope. 1994;104:185–190. doi: 10.1288/00005537-199402000-00011. [PubMed] [CrossRef]
4. Powell J., Wilson J.A. An evidence-based review of peritonsillar abscess. Clin. Otolaryngol. 2012;37:136–145. doi: 10.1111/j.1749-4486.2012.02452.x. [PubMed] [CrossRef]
5. Shaul C., Koslowsky B., Rodriguez M., Schwarz Y., Muahnna N., Peleg U., Sichel J.Y. Is needle aspiration for peritonsillar abscess still as good as we think? A long-term follow-up. Ann. Otol. Rhinol. Laryngol. 2015;124:299–304. doi: 10.1177/0003489414556083. [PubMed] [CrossRef]
6. Roberts J.R., Hedges J.R. Clinical Procedures in Emergency Medicine. Elsevier Health Sciences; Amsterdam, The Netherlands: 2009.
7. Scott P.M.J., Loftus W.K., Kew J., Ahuja A., Yue V., Van Hasselt C.A. Diagnosis of peritonsillar infections: A prospective study of ultrasound, computerized tomography and clinical diagnosis. J. Laryngol. Otol. 1999;113:229–232. doi: 10.1017/S0022215100143634. [PubMed] [CrossRef]
8. Froehlich M.H., Huang Z., Reilly B.K. Utilization of ultrasound for diagnostic evaluation and management of peritonsillar abscesses. Curr. Opin. Otolaryngol. Head Neck Surg. 2017;25:163–168. doi: 10.1097/MOO.0000000000000338. [PubMed] [CrossRef]
9. Nogan S., Jandali D., Cipolla M., DeSilva B. The use of ultrasound imaging in evaluation of peritonsillar infections. Laryngoscope. 2015;125:2604–2607. doi: 10.1002/lary.25313. [PubMed] [CrossRef]
10. Rehrer M., Mantuani D., Nagdev A. Identification of peritonsillar abscess by transcutaneous cervical ultrasound. Am. J. Emerg. Med. 2013;31:267.e1–267.e3. doi: 10.1016/j.ajem.2012.04.021. [PubMed] [CrossRef]
11. Filho B.C.A., Sakae F.A., Sennes L.U., Imamura R., de Menezes M.R. Intraoral and transcutaneous cervical ultrasound in the differential diagnosis of peritonsillar cellulitis and abscesses. Braz. J. Otorhinolaryngol. 2006;72:377–381. doi: 10.1016/S1808-8694(15)30972-1. [PubMed] [CrossRef]
12. Fordham M.T., Rock A.N., Bandarkar A., Preciado D., Levy M., Cohen J., Safdar N., Reilly B.K. Transcervical ultrasonography in the diagnosis of pediatric peritonsillar abscess. Laryngoscope. 2015;125:2799–2804. doi: 10.1002/lary.25354. [PubMed] [CrossRef]
13. Salihoglu M., Eroglu M., Yildirim A.O., Cakmak A., Hardal U., Kara K. Transoral ultrasonography in the diagnosis and treatment of peritonsillar abscess. Clin. Imaging. 2013;37:465–467. doi: 10.1016/j.clinimag.2012.09.023. [PubMed] [CrossRef]
14. Kew J., Ahuja A., Loftus W.K., Scott P.M., Metreweli C. Peritonsillar abscess appearance on intra-oral ultrasonography. Clin. Radiol. 1998;53:143–146. doi: 10.1016/S0009-9260(98)80062-7. [PubMed] [CrossRef]
15. Strong E.B., Woodward P.J., Johnson L.P. Intraoral ultrasound evaluation of peritonsillar abscess. Laryngoscope. 1998;105:779–782. doi: 10.1288/00005537-199508000-00002. [PubMed] [CrossRef]
16. Ahmed K., Jones A.S., Shah K., Smethurst A. The role of ultrasound in the management of peritonsillar abscess. J. Laryngol. Otol. 1994;108:610–612. doi: 10.1017/S0022215100127598. [PubMed] [CrossRef]
17. Costantino T.G., Satz W.A., Dehnkamp W., Goett H. Randomized Trial Comparing Intraoral Ultrasound to Landmark-based Needle Aspiration in Patients with Suspected Peritonsillar Abscess. Acad. Emerg. Med. 2012;19:626–631. doi: 10.1111/j.1553-2712.2012.01380.x. [PubMed] [CrossRef]
18. Lyon M., Blaivas M. Intraoral ultrasound in the diagnosis and treatment of suspected peritonsillar abscess in the emergency department. Acad. Emerg. Med. 2005;12:85–88. doi: 10.1197/j.aem.2004.08.045. [PubMed] [CrossRef]
19. Blaivas M., Theodoro D., Duggal S. Ultrasound-guided drainage of peritonsillar abscess by the emergency physician. Am. J. Emerg. Med. 2003;21:155–158. doi: 10.1053/ajem.2003.50029. [PubMed] [CrossRef]
20. Haeggström D.A., Gustafsson D.O., Engquist D.S., Engström D.C.-F. Intraoral Ultrasonography in the Diagnosis of Peritonsillar Abscess. Otolaryngol. Head Neck Surg. 1993;108:243–247. doi: 10.1177/019459989310800306. [PubMed] [CrossRef]
21. Buckley A.R., Moss E.H., Blokmanis A. Diagnosis of peritonsillar abscess: Value of intraoral sonography. Am. J. Roentgenol. 1994;162:961–964. doi: 10.2214/ajr.162.4.8141026. [PubMed] [CrossRef]
22. Huang Z., Vintzileos W., Gordish-Dressman H., Bandarkar A., Reilly B.K. Pediatric peritonsillar abscess: Outcomes and cost savings from using transcervical ultrasound. Laryngoscope. 2017;127:1924–1929. doi: 10.1002/lary.26470. [PubMed] [CrossRef]
23. Prokofieva A., Modayil V., Chiricolo G., Ash A., Raio C. Ultrasound-guided drainage of peritonsillar abscess: Shoot with your hockey-stick. Int. Emerg. Med. 2016;11:883–884. doi: 10.1007/s11739-015-1343-0. [PubMed] [CrossRef]
24. Todsen T. Surgeon-performed ultrasonography. Dan. Med. J. 2017;64 PMID:29115210. [PubMed]
25. Tolsgaard M.G., Todsen T., Sorensen J.L., Ringsted C., Lorentzen T., Ottesen B., Tabor A. International multispecialty consensus on how to evaluate ultrasound competence: A delphi consensus survey. PLoS ONE. 2013;8:e57687 doi: 10.1371/journal.pone.0057687. [PMC free article] [PubMed] [CrossRef]
26. Todsen T., Melchiors J., Charabi B., Henriksen B., Ringsted C., Konge L., von Buchwald C. Competency-based assessment in surgeon-performed head and neck ultrasonography: A validity study. Laryngoscope. 2018;128:1346–1352. doi: 10.1002/lary.26841. [PubMed] [CrossRef]
27. Todsen T., Tolsgaard M.G., Olsen B.H., Henriksen B.M., Hillingsø J.G., Konge L., Jensen M.L., Ringsted C. Reliable and valid assessment of point-of-care ultrasonography. Ann. Surg. 2015;261:309–315. doi: 10.1097/SLA.0000000000000552. [PubMed] [CrossRef]
您需要登录后才可以回帖 登录 | 注册

本版积分规则

丁香叶与你快乐分享

微信公众号

管理员微信

服务时间:8:30-21:30

站长微信/QQ

← 微信/微信群

← QQ

Copyright © 2013-2025 丁香叶 Powered by dxye.com  手机版 
快速回复 返回列表 返回顶部