马上注册,结交更多好友,享用更多功能,让你轻松玩转社区。
您需要 登录 才可以下载或查看,没有账号?注册
×
概要
高回声性是典型地报道有利于良性病变的标志,并且可以在许多类型的良性乳房病变中观察到,例如错构瘤,脂肪瘤,血管脂肪瘤,血管瘤,血肿,脂肪坏死,纤维化和乳腺囊肿等。然而,一些罕见的恶性乳腺病变也可呈现高回声外观。这些高回声恶性病变中的大多数呈现出更典型地提示恶性的其他特征,例如后阴影,更垂直的轴或有助于指导诊断的不规则边缘。磁共振成像后,第二次超声可能会显示早期未发现的高回声恶性病变,放射科医师必须知道如何识别这些病变。
教学要点
•一些罕见的恶性乳腺病变可呈现高回声外观。
•恶性病变具有其他提示恶性肿瘤的特征。
•乳房X线照相术中具有脂肪密度的回声肿块不需要活组织检查。
关键词:乳腺癌,乳腺超声,组织学,高回声性,恶性
介绍
通过超声检测的大多数乳房病变是低回声的。根据BI-RADS词典[1],高回声病变的定义是回声性大于皮下脂肪或等于纤维腺实质的回声性。只有1-6%的乳房肿块是高回声的,其中绝大多数是良性的。然而,恶性病变很少以高回声图像的形式出现[2]。高回声性具有可变的组织学起源[3],并且归因于以下情况:
密集的脂肪细胞
纤维化的厚带
多个血管空间
异质性和侵袭性肿瘤细胞的偶然性
在他们1995年发表的最初研究中,基于超声检测的750个乳腺结节,Stavros等。 [4]报道42例结节均为高回声,均为良性。高回声性是支持良性病变的超声参数,具有最高的阴性预测值(100%)。最近由Linda等人发表的一项研究。 [3],对一系列4511活检病灶的回顾性分析显示,25例(0.6%)为高回声,9例(0.4%)为恶性。
高回声乳房图像的鉴别诊断基于对临床环境的了解,对形态特征的详细分析,以及与乳房摄影和可能的磁共振成像(MRI)的比较。在本文中,我们提出了各种高回声乳腺病变的审查。
技术参数
美国放射学院[5]建议使用中心频率至少为10 MHz的大型带通线性换能器进行乳腺超声检查。频率适应乳房体积和病变部位的性质。必须调节不同深度处的总增益和增益,以获得乳房前区,乳房区和乳房后区的脂肪的均匀中间信号。将焦距调整到病变处的深度。可以使用两种互补模式:
谐波模式:通过增加脂肪的回声性来减少人工制品,提高空间分辨率和腺体组织,脂肪和乳房病变之间的对比度,并增强后部超声波修改。
复合模式或实时空间复合成像:改善信噪比并优化病变边缘和乳房肿块内部回声结构的分析。后部超声修改减弱。
良性高回声病变
脂肪瘤
脂肪瘤是成熟脂肪细胞的增殖,形成由细纤维囊明确限定的小叶肿块。 脂肪瘤是一种常见的病变,通常是单侧和孤立的,并且可以呈现为柔软,可移动的可触及肿块。
在乳房X线照相术中,脂肪瘤表现为具有规则边缘的射线可透性病变,周围有精细的不透射线囊。 在超声检查中,脂肪瘤是一种具有可变回声性的均质病变:等回声,类似于皮下脂肪,或者由于脂肪细胞密集组织而更少发生高回声(图1)。 乳房X线照相术中具有脂肪密度的回声肿块是良性的,不需要活组织检查[6,7]。
图1
纺锤细胞脂肪瘤。 横向超声扫描显示均匀,高回声,圆形肿块,具有良好的限制边缘
血管脂肪瘤
血管脂质瘤是一种罕见的良性病变,由成熟的脂肪细胞组成,与通常含有纤维蛋白血栓的小而窄腔血管网络相关。 典型地,血管脂肪瘤在皮下组织中具有表面形貌,并且呈现为无痛性肿块[8]。 在乳房X线照相术中,血管脂质瘤表现为界限良好的固体肿块或混合不对称密度(固体和脂肪)。 在超声检查中,血管脂肪瘤是一种清晰划分,均匀,等回声的高回声肿块,具有规则的边缘(图2)。 其表面形貌可能提示诊断,但通常由于其非特异性表现而进行活组织检查。
图2
血管脂肪瘤。 右乳房的横向超声扫描显示均匀,高回声,椭圆形的皮下肿块,具有外切边缘
脂肪坏死
脂肪坏死是直接创伤,感染,手术或继发放疗的结果。 它可以具有可变的外观,包括巨噬细胞泡沫细胞,侧噬菌体,纤维变化或甚至钙化的区域。 在乳房X线照相术中,脂肪坏死可能表现为射线可透过的囊肿,可能与厚钙化有关,质量或扭曲有毛刺或不规则边缘。 超声波外观是可变的,有时是高回声,单纯性囊肿,或包含固体和囊性成分的复杂肿块(图3a)[9]。 可以通过提示性临床设置和乳房X线照相术中脂肪密度含量的证明来确定诊断(图33b)。
图3
脂肪坏死。 超声扫描显示由无回声脂肪成分(星号)和回声纤维成分(箭头)组成的复杂质量。 b乳房X线摄影,斜视图,显示投射在夹子上的射线可透射形成
肌纤维母细胞
肌纤维母细胞瘤是一种罕见的良性肿瘤,由梭形细胞带组成,由可变厚度的透明胶原蛋白束分开。 肌纤维母细胞瘤可以在所有年龄段的女性中观察到,但在老年女性中更常见。 乳房X线照相显示出一个界限分明的椭圆形肿块[10],很少被钙化。 边距有时可能看起来很难定义。 在超声检查中,它是一个具有限制边缘的固体肿块,可以是低回声,等回声或高回声,提示纤维腺瘤。 高回声形式有时会因其脂肪含量而减弱(图4)[11]。 诊断基于活组织检查。
图4
肌纤维母细胞。 超声扫描显示略微不均匀,高回声和衰减的圆形肿块
血管瘤
血管瘤是一种血管瘤,很少发生在乳房,通常在中年女性中观察到。 它起源于乳房薄壁组织或皮下组织。 在乳房X线照相术中,血管瘤呈现为等密度的大圆形或微小小的病变,具有限制边缘,可能含有钙化。 在超声检查中,它是一个椭圆形的病变,具有外切边缘,平行于皮肤,具有可变的回声性(45%的病例中有高回声)(图5)。 在彩色多普勒血管瘤上,血管瘤可能是单支供血动脉或多血管供血动脉的血管内血管[12]。
图5
血管瘤在一名72岁的女性中,呈现出缓慢生长的浅表乳房混浊。 超声波:椭圆形,高回声的皮下脂肪块,平行于皮肤。 手术切除以消除血管肉瘤:确认肿瘤的良性
血肿
血肿是继发于创伤或可能是医源性(介入手术,手术)的局部出血。 血肿的超声表现取决于出血的年龄:损伤后立即无回声,急性期低回声,亚急性期混合复杂外观,慢性期高回声(图6)。
图6
血肿。患者随后接受了1998年治疗的右乳腺癌,提到了关于右乳房的乳房X线不透明度在前乳房X线照片上不存在的意见。超声显示混合的高回声和低回声,部分衰减区。在临床访谈中,患者报告了一起与安全带接触的乳房瘀斑的机动车事故。超声引导的微生物检查显示脂肪坏死,没有可疑的图像。在定期随访检查中回归图像
刚刚发展的血肿也可能是不明确的和高回声的。
乳房X线照相的外观可能具有误导性,可能会模仿恶性肿瘤。因此,与临床背景和临床访谈的相关性对诊断至关重要。
错构瘤
错构瘤是一种无痛,可移动的肿块,由不同比例的腺体,脂肪和结缔组织组成。乳房X线照相术可视化包含射线可透过的脂肪区的边界良好的椭圆形肿块,与对应于纤维组织的密集区域交替,由清晰的假包膜包围。超声波显示出一个界限清晰的椭圆形可压缩物质,周围环绕着细小的​​光环。错构瘤倾向于低回声,等回声或混合,但有时可能具有高回声外观,这取决于各种成分的比例。大约12-43%的错构瘤可能出现高回声[6,13]。可以观察到声学阴影,声学阴影和衰减的混合,或边缘效应伪影(图7a和b)。
图7
错构瘤。 超声显示椭圆形肿块,具有混合回声,全球等回声,具有边缘效应假象。 b乳房X线照相显示边界清晰,致密,椭圆形肿块,外观略微不均匀,与其混合含量(脂肪和基质)有关
哺乳期妇女的疾病
乳腺囊肿
乳腺囊肿对应于管道阻塞附近的扩张的输乳管中的乳汁滞留,通常发生在母乳喂养期间或停止母乳喂养后不久。
在通过精神抑制药治疗的女性中,在没有母乳喂养的情况下也可能发生乳腺囊肿。 乳腺囊肿的出现取决于脂肪和蛋白质含量。
在乳房X线照相术中具有脂肪密度的乳腺囊肿在超声波上具有高回声外观(图8a和b)。
图8
乳腺囊肿。超声扫描显示管道扩张,均匀的高回声含量,彩色多普勒无血供,在长期精神分裂症治疗的精神分裂症患者中。 b同一患者的数字乳房断层合成显示脂肪密度乳腺囊肿(箭头)
哺乳期腺瘤
泌乳腺瘤是一种良性肿瘤,发生在妊娠的最后三个月,由扩张的管状结构组成,形成可变大小的肺泡,在其中心含有富含脂质的泡沫材料的空泡细胞。乳房X光检查显示包含脂肪区的椭圆形肿块,而超声显示有界限均匀,均匀,低回声(67%),等回声(20%)或高回声(13%)椭圆形肿块。哺乳期腺瘤通常在停止母乳喂养后自发消退[14]。
假性血管瘤基质增生(PASH)
假性血管瘤性间质增生是良性间充质病变,更常见于绝经前妇女或通过激素疗法治疗的妇女。 PASH由高密度孕酮受体诱导的肌成纤维细胞增殖组成,导致成纤维细胞增生的发展。 PASH的特征在于存在由平坦的内皮样细胞排列的吻合通道网络,模拟血管肿瘤。这些没有红细胞的空通道主要在小叶周围呈现同心图案,并且通常位于致密的胶原基质中。
PASH可呈现为结节形式(可触知或不可触及)或弥散形式。结节形式罕见,在不到1%的乳房活检中观察到。乳房X线照相术显示出界限清晰,非钙化的肿块或不对称的密度。超声显示出界限清楚,低回声和/或高回声的椭圆形肿块(图9b和b)。
图9
PASH。超声扫描显示高回声,略微不均匀和减弱的椭圆形肿块。 b显微镜检查(HES×20):组织学切片显示纤维化伴有假性血管瘤基质增生(箭头显示由平坦的内皮样细胞排列的通道)
乳腺炎和乳房脓肿
在患有传染性乳腺炎的母乳喂养妇女中,5-11%[15]观察到乳房脓肿,通常由金黄色葡萄球菌通过破裂的乳头渗透引起。乳房脓肿伴有发热,弥漫性或局部的乳房红斑,疼痛性硬结和白细胞增多。吸烟会增加乳房脓肿的风险,这种情况也可能发生在非哺乳期妇女(继发于导管扩张,囊性炎症或导管上皮化生)中,更常见于男性。乳房X光检查显示边界清晰或蒙面肿块,而超声波显示具有回声内容的扩张导管。虽然乳房脓肿有时可能具有高回声外观,但它通常呈现混合的回声(图10)。诊断通常以临床背景和对抗生素的有利疗程为指导。当非哺乳期妇女的乳房脓肿未能对抗生素产生反应时,应进行活检以排除炎性乳腺癌(鉴别诊断)。
图10
脓肿。 一名42岁女性,左乳房肿大1个月,伴有左乳房乳腺炎引起的疼痛和红斑。 在同一患者的左乳房超声扫描显示混合回声,全球性高回声脓肿
硅胶瘤
硅胶瘤是一种炎症性再吸收性肉芽肿,与游离硅凝胶液滴接触,与荚膜破裂或游离硅胶注射有关。 在乳房X线照相术中,硅胶呈现为假体硅胶的质量等密度。 超声显示高回声肿块包含精细回声,超声波束明显衰减,“暴风雪”外观掩盖了所有后部结构(图11)。 诊断由临床背景和超声特征指导,无需活组织检查。
图11
硅胶瘤。假体周围硅胶(箭头显示高回声肿块,超声波束衰减)
复杂的硬化病变
复杂的硬化病变是良性乳房病变,包括硬化病变与多种增殖性上皮病变的组合。桡骨瘢痕是一种硬化性病变,纤维弹性中心被一个由囊性小叶和小管组成的放射状冠状物包围,有时呈现增生性病变。在30%的病例[16]中,桡骨瘢痕与导管原位癌或管状癌相关。在超声检查中,它表现为边界不良,圆形或小叶区域,引起具有可变回声性的结构变形,更常见的是低回声,有时伴有后部衰减(图12)。这些病变的诊断必须基于经皮活检的组织学检查。当组织学检查显示相关癌症的诊断时,可以立即治疗肿瘤(包括侵袭性癌症的前哨淋巴结活检)。当组织学检查对癌症是阴性时,指示手术探查以避免错过经皮活组织检查未检测到的局灶性恶性病变。
图12
复杂的硬化病变。 超声波在一个可触及的肿块的年轻女子,显示具有不规则边缘和声学阴影的高回声区。 微生物学证实良性复杂硬化病变包括导管结构和增生上皮,没有可疑的异型性,伴有几个假毛细血管结构和局部炎性输卵管纤维化
腺病
腺病对应于末端导管小叶单元(上皮细胞,肌上皮细胞和结缔组织)的所有成分的增生,导致小叶的大小和数量增加。 腺病可以临床上以缓慢增长的乳房肿胀的形式存在。 在大多数情况下,它与任何乳房X线照片标志无关。 花粉腺病可呈现多微结构性射线照片外观。 也可以观察到点状微钙化。 在超声检查中,腺病是一个可变回声区,可能有不规则的边缘(图13)。
图13
腺病。 45岁女性右乳房内部肿胀直径15毫米,对应于与点状微钙化相关的乳房X线不透明度差,在4年内发展缓慢。超声:混合回声区,主要是高回声区,长轴平行于皮肤,不改变超声波束
可能是高回声恶性病变
乳腺癌,无论其组织学如何,通常都是低回声的。乳腺癌很少会出现高回声,但其他超声特征通常也存在,提示诊断,如边界不良,形状不规则,后部衰减,垂直轴更多[17]。超声表征必须考虑最贬义的参数。
侵袭性导管癌(IDC)
IDC占所有乳腺癌的75%。在乳房X线照相术中,IDC呈现出针状肿块,不对称密度或建筑扭曲的形式。在超声检查中,IDC经常表现为低回声肿块,尽管可以观察到高回声或混合性回声损伤(图14)。在Skaane等人出版的系列中 [2],4/194(2%)的IDC是高回声的。造成高回声原性的机制尚未明确阐明,但可能与肿瘤异质性或胶原,脂肪组织和肿瘤细胞增殖的侵入前关联厚带有关。
图14
侵袭性导管癌。对已经接受左乳癌治疗的高风险患者进行年度监测。 MRI,钆增强的T1减影序列,证明在左乳房上象限的交界处有不规则的,界限不良的肿块。钆增强检查显示最初90%的增强,在晚期清除。 b乳房造影由同一患者的MRI引导,斜视图:非钙化肿块(箭头)的示范,左乳房上象限交界处的结构扭曲。 c在同一患者中左心乳房的MRI引导超声。在上象限的交界处,在距离乳头4厘米的12.30位置,存在具有微小边缘的高回声结节,后部衰减被归类为高ACR4。微生物学显示分化差的浸润性导管癌(II级,低MI,HR +,HER2-)
粘液癌
粘液癌(或胶体癌)是一种罕见的实体,占所有乳腺癌的1%至7%[18],随年龄增长而增加。粘液癌可以细分为两种组织学亚型,纯的或混合的,取决于粘蛋白含量[19]。在乳房X线照相术中,粘液性癌通常以界限良好,小叶或小叶状卵圆形的形式出现。超声典型地显示低回声或等回声,很少高回声,微小肿块(图15)。
图15
粘液癌。在乳房切除术后10年,伴有二次假体重建的上内象限局部皮下复发的患者。超声波:皮下组织的高回声肿块,略微微小的边缘。 B超声引导微生物检查的组织学检查(HES×20):由粘蛋白区域(箭头)包围的肿瘤细胞团块(星号)
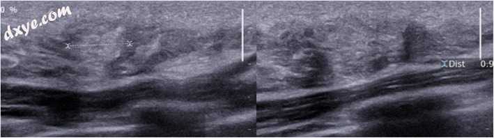
侵袭性小叶癌(ILC)
ILC是浸润性导管癌后第二种最常见的乳腺癌形式,其特征是肿瘤细胞分别或链中侵入乳腺实质。最常见的乳房X线照相外观是针刺质量,但观察到不对称密度和结构破坏的频率高于IDC(图16)。至于IDC,超声波通常显示出低回声肿块,具有毛刺边缘和后部衰减。相反,ILC可呈现非典型特征,例如缺乏明确定义的肿块或高回声性。 ILC中的高回声呈现频率是IDC的10倍[20]。
图16
侵袭性小叶癌。乳房X线摄影,AP视图,显示右上内象限(箭头)的边缘不规则的肿块。 b超声显示不规则,边界不良,垂直方向,高回声和部分减弱的病变
血管肉瘤
血管肉瘤是一种罕见的侵袭性恶性肿瘤,占所有乳腺癌的不到1%。两种形式是有区别的:原发性血管肉瘤,在年轻女性中是散发性的,在放射治疗后平均6年内发生在受照射的乳房中的继发性血管肉瘤。
血管肉瘤出现在乳腺实质中(与血管瘤相反)。它是一个巨大的肿瘤,诊断时通常超过3厘米。乳房X线照相术显示分界不良,非钙化肿块或局灶性不对称密度。在超声检查中,血管肉瘤倾向于呈现为孤立的或多个异质的,低回声的,高血管的肿块,具有不规则的边缘。 44%的血管肉瘤表现为高回声或混合性低回声和高回声肿瘤[21](图17)。
图17
血管肉瘤。 一名76岁女性,1993年保守治疗左乳腺癌。触诊上腹部乳房肿胀。 超声波:异质性,高回声肿块,伴有低回声中枢。 b弹性成像,质量周边的硬度区域(红色)。 c MRI,轴向钆增强T1减影序列:具有异质强烈对比增强的毛刺肿块。 组织学检查显示高级别中度至低度分化的血管肉瘤
转移
乳腺转移是罕见的,最常见的原发性肿瘤是肺癌,恶性黑素瘤,卵巢癌,甲状腺癌,淋巴瘤和横纹肌肉瘤。 乳房X线照相术显示通常界限清楚,非刺激性肿块。 超声通常表现出或多或少界限清楚的低回声或有时高回声肿块(图18),具有衰减或声学阴影。 在多普勒研究中,来自恶性黑素瘤的皮肤转移通常是血管过多的。
图18
转移。超声显示患者出现小的高回声,减弱肿块(箭头),随后出现恶性黑色素瘤。超声引导下细针穿刺后的细胞学检查:非常多的纺锤形,色素沉着的圆形恶性细胞,对应于该患者已知恶性黑色素瘤的转移
淋巴瘤
乳腺原发性淋巴瘤非常罕见,占所有乳腺癌的不到0.5%,不到1%的非霍奇金恶性淋巴瘤,主要与弥漫性B细胞淋巴瘤相对应。更常见的继发性淋巴瘤与诊断时的乳房外受累有关。
淋巴瘤通常在老年患者中观察到,通过局部炎症引起的疼痛,可触及的肿块显示,有时伴有可触及的腋窝淋巴结。乳房X线照相显示不规则或小叶非钙化肿块。多个肿块也可能导致不对称密度。超声通常显示或多或少界限良好,血管外,低回声肿块或有时混合回声肿块,伴有高回声周围(图19)。大约23%的乳腺淋巴瘤可见高回声和混合回声。一些作者认为,多普勒超声检查中高回声肿块中高血管化的存在证明了活检[7,22]。
图19
淋巴瘤。 右乳房的超声显示分界不良,混合回声肿块,多普勒超声检查血流。 b该患者的PET-CT扫描显示右侧乳房有一个代谢亢进的病变。 微生物学检查显示弥漫性大B细胞淋巴瘤
结论
绝大多数乳腺高回声肿块是良性的,诊断通常由临床环境引导。 与脂肪相比,大多数恶性病变是低回声的,尤其是在使用谐波模式时。 然而,恶性病变有时可以以高回声或混合回声图像的形式存在,在这种情况下,通常存在提示恶性肿瘤的其他体征:更垂直的轴,不规则的形状,毛刺的边缘,后部衰减或高血管化。 MRI后的二次超视可能会显示一见即未发现的高回声恶性病变。
参考
1. American College of Radiology . Illustrated breast imaging reporting and data system (BI-RADS) 3. Reston: American College of Radiology; 1998.
2. Skaane P, Engedal K. Analysis of sonographic features in the differentiation of fibroadenoma and invasive ductal carcinoma. AJR Am J Roentgenol. 1998;170:109–104. doi: 10.2214/ajr.170.1.9423610.
3. Linda A, Zuiani C, Lorenzon M, Furlan A, Londero V, Machin P, et al. The wide spectrum of hyperechoic lesions of the breast. Clin Radiol. 2011;66:559–565. doi: 10.1016/j.crad.2010.12.013.
4. Stavros AT, Thickman D, Rapp CL, Dennis MA, Parker SH, Sisney GA. Solid breast nodules: use of sonography to distinguish between benign and malignant lesions. Radiology. 1995;196:123–134. doi: 10.1148/radiology.196.1.7784555.
5. Mendelson EB, Böhm-Vélez M, Berg WA, et al. ACR BI-RADS® ultrasound. In: ACR BI-RADS® atlas, breast imaging reporting and data system. Reston: American College of Radiology; 2013.
6. Pui MH, Movson IJ. Fatty tissue breast lesions. Clin Imaging. 2003;27:150–155. doi: 10.1016/S0899-7071(02)00536-3.
7. Gao Y, Slanetz PJ, Eisenberg RL. Echogenic breast masses at US: to biopsy or not to biopsy? Radiographics. 2013;33:419–434. doi: 10.1148/rg.332125048.
8. Kim SY, Kim HH, Kim EH, Kim SY, Jou SS, Han JK, (2009) Angiolipoma of the breast: a case report. J Breast Cancer 12(4):344–346
9. Adrada B, Wu Y, Yang W. Hyperechoic lesions of the breast: radiologic-histopathologic correlation. AJR Am J Roentgenol. 2013;200:W518–W530. doi: 10.2214/AJR.12.9263.
10. Raut P, Lillemoe TJ, Carlson A. Myofibroblastoma of the breast. Appl Radiol. 2017;46:42–44.
11. Porter GJ, Evans AJ, Lee AH, Hamilton LJ, James JJ. Unusual benign breast lesions. Clin Radiol. 2006;61:562–569. doi: 10.1016/j.crad.2006.02.008.
12. Glazebrook KN, Morton MJ, Reynolds C. Vascular tumors of the breast: mammographic sonographic, and MRI appearances. AJR Am J Roentgenol. 2005;184:331–338. doi: 10.2214/ajr.184.1.01840331.
13. Chao TC, Chao HH, Chen MF. Sonographic features of breast hamartomas. J Ultrasound Med. 2007;26:447–452. doi: 10.7863/jum.2007.26.4.447.
14. Son EJ, Oh KK, Kim EK. Pregnancy-associated breast disease: radiologic features and diagnostic dilemmas. Yonsei Med J. 2006;47:34–42. doi: 10.3349/ymj.2006.47.1.34. [PMC free article]
15. Cusack L, Brennan M. Lactational mastitis and breast abscess: diagnosis and management in general practice. Aust Fam Physician. 2011;40(12):976–979.
16. Li Z, Ranade A, Zhao C. Pathologic findings of follow-up surgical excision for radial scar on breast core needle biopsy. Hum Pathol. 2016;48:76–80. doi: 10.1016/j.humpath.2015.06.028.
17. Hong AS, Rosen EL, Soo MS, Baker JA. BI-RADS for sonography: positive and negative values of sonographic features. AJR Am J Roentgenol. 2005;184:1260–1265. doi: 10.2214/ajr.184.4.01841260.
18. Conant EF, Dillon RL, Palazzo J, Ehrlich SM, Feig SA. Imaging findings in mucin-containing carcinomas of the breast: correlation with pathologic features. AJR Am J Roentgenol. 1994;163:821–824. doi: 10.2214/ajr.163.4.8092016.
19. Lam WWM, Chu WCW, Tse GM, Ma TK. Sonographic appearance of mucinous carcinoma of the breast. AJR Am J Roentgenol. 2004;182:1069–1074. doi: 10.2214/ajr.182.4.1821069.
20. Cawson JN, Law EM, Kavanagh AM. Invasive lobular carcinoma: sonographic features of cancers detected in a BreastScreen Program. Australas Radiol. 2001;45:25–30. doi: 10.1046/j.1440-1673.2001.00867.x.
21. Yang WT, Hennessy BT, Dryden MJ, Valero V, Hunt KK, Krishnamurthy S. Mammary angiosarcomas: imaging in 24 patients. Radiology. 2007;242:725–734. doi: 10.1148/radiol.2423060163.
22. Yang WT, Lane DL, Le-Petross HT, Abruzzo LV, Macapinlac HA. Breast lymphoma: imaging findings of 32 tumors in 27 patients. Radiology. 2007;245(3):692–702. doi: 10.1148/radiol.2452061726. |