仿气腹25孔3单端腔镜训练箱训练用单针/双针带线【出售】-->外科训练模块总目录
「训练教具器械汇总」管理员微信/QQ12087382[问题反馈]
开启左侧

腹部和骨盆疾病诊断影像学- 17: 局灶性肝脏病变

[复制链接]
发表于 2018-6-1 11:19:50 | 显示全部楼层 |阅读模式

马上注册,结交更多好友,享用更多功能,让你轻松玩转社区。

您需要 登录 才可以下载或查看,没有账号?注册

×
学习目标

•学习最佳成像技术和肝脏疾病鉴别诊断的相关性

•讨论肝脏特异性对照药物的当前适应症

•检查良性和恶性局灶性肝脏病变的影像学特征

•讨论原发性和继发性肝肿瘤的鉴别诊断

并且经常在社区中用于疾病筛查,但遗憾的是诊断敏感性和特异性有限。对比增强的MDCT仍然是常规肝脏成像的首选方式。当MDCT或US模棱两可或者高风险人群中存在恶性肿瘤问题时,MR成像仍主要用作解决问题的工具。

在本章中,我们将重点介绍局灶性肝脏病变的成像,重点介绍使用MDCT和MR成像进行疾病检测和表征。读者应该学习如何在他/她自己的实践中优化CT和MR成像,了解如何应用和解释CT和MR成像治疗局灶性肝脏病变,并了解肝脏特异性MR造影剂对病变的扩展作用表征。

17.1简介

多排螺旋计算机断层扫描(MDCT)和磁共振(MR)成像为肝脏解剖学和肝脏疾病的病理生理学提供了无创的见解,可以更好地诊断疾病,监测疾病进展和治疗反应,以及指导治疗决策。了解不同成像技术的应用对局灶性肝脏病变的处理至关重要。在当前挑战卫生经济学的环境中,应始终采用最合适和最具成本效益的方式。对于肝脏成像,超声检查(US)是广泛可用的,非侵入性的,

17.2 MDCT成像技术

MDCT允许在多个平面中执行成像。使用64-plus-detectorrow系统,可以使用亚毫米探测器配置在1-4秒内扫描整个肝脏,从而实现高质量的多平面重建(MPR)。当轴向观察时,通常在临床实践中使用2.5-3mm厚度且重叠为0.5-1mm的重建切片。较薄的切片不会改善病变的显着性,因为图像噪声增加会降低诊断特异性。施用的造影材料的量可以通过患者的体重来计算,但是0.5g碘/ kg b.w.是典型的(即,在300mg / mL时1.7mL / kg体重)。施用的碘的总量决定了门静脉成像阶段的质量,目的是在造影剂注射后将肝衰减增加50HU。为了实现良好的动脉期成像,建议使用相对较高的造影剂注射速率4-5 mL / s。另一方面,研究表明,30秒的固定注射持续时间(意味着注射速率将根据患者的体重而不同)也提供一致的图像质量。

与造影剂给药相关的图像采集时间取决于在早期动脉期(仅用于动脉解剖),晚期动脉期(用于血管瘤肿瘤检测和表征)或静脉期(用于随访成像)中是否需要成像。和血管内肿瘤检测)。用于局灶性肝脏病变的检测和表征,晚期动脉期成像(延迟主动脉转运时间加15-18秒)和静脉期扫描(20-30秒内扫描延迟或固定延迟~60-70秒) ) 执行。然而,这些成像阶段的组合的使用还取决于具体的指示。在CT上测量动脉增强(主动脉转运时间)的自动方法(通常称为推注跟踪)已经取代了固定扫描延迟时间的使用,因为它提供了更好的扫描与肝脏肿瘤峰值增强(动脉晚期)和肝实质(静脉期)。

现在广泛使用不同的剂量减少和图像质量优化技术:通过管电流(mA)调制进行自动曝光控制,选择下管电位(kVp)和自适应剂量屏蔽以最小化z轴上的过扫描,仅举几例。传统的滤波反投影(FBP),多年来的标准CT图像重建技术,已经让位于迭代重建(IR)。 IR使用循环原始数据校正来降低图像噪声,从而允许以降低的kVp或mAs执行成像,具有较低的辐射剂量但具有可比较的图像质量。所有主要制造商现在都提供迭代重建技术(SAFIRE,ADMIRE,Siemens; iDose,IMR,Philips; ASIR,MBIR,GE Healthcare; AIDR,AIDR 3D,Toshiba)。逐步IR降低CT噪声水平。然而,高水平的IR可能引起像素化(类似塑料)图像纹理并且可能使图像质量不可接受。 IR可以在不影响图像质量的情况下显着减少38-55%的剂量(图17.1)。近年来,出现了双能量和光谱CT技术,其中利用双源或多色X射线束以及组织中不同能量束的差分衰减来改善血管性肝细胞癌的检测或用于量化肝脏铁含量。然而,尽管存在潜在的优点,但双能CT技术在临床实践中仍未得到广泛应用,部分原因在于产生适当图像所需的后处理时间。

17.3磁共振成像技术

肝脏的MR成像现在可以在1.5和3.0T下进行; 由于成像硬件和软件的进步,后者的图像质量显着提高。 肝脏的MR检查应包括未增强的T1加权和T2加权序列,以及对比增强序列。 具体的采集顺序因制造商,患者的依从性和正在解决的临床问题而异。

1.jpg
图17.1 MDCT使用迭代重建技术减少剂量。 (a)用标准滤波反投影重建的静脉期正常剂量MDCT(120kVp,参考mAs 230)显示结肠直肠肝转移。 (b)由于降低的图像噪声,使用迭代重建(SAFIRE级别3)的图像外观(120kVp,参考mAs 150)通常略有不同。病灶显示具有相同的显着性。患者剂量减少36%。 (c)在更高的迭代重建水平(SAFIRE水平5),图像外观像素化(“塑料样”),特别是在肝实质和肾周脂肪中看到

对于最大肿瘤检测和用于表征含脂肪的肿瘤和脂肪变性的存在,建议进行反相(或异相)T1加权成像。 T1加权MRI现在可以使用3D DIXON技术进行,该技术可以在单次屏气采集中生成整个肝脏体积的同相,异相,仅水和仅脂肪图像。与常规的光谱脂肪抑制技术相比,所得到的仅水图像显示出在3T时改善脂肪抑制的均匀性。与标准脂肪抑制序列相比,还显示使用DIXON图像进行动态对比增强采集可改善肝细胞癌的检测。

另一个有用的近期实施是非笛卡尔径向T1加权成像,其允许在自由呼吸中执行肝脏的3D体积T1加权成像。这允许在呼吸困难的患者(例如,老年人,无呼吸的成人或幼儿)中获得肝脏的良好质量T1加权(图17.2),尤其是在动态对比度增强的采集期间。具有脂肪抑制的T2加权脉冲序列比非脂肪抑制序列提供更好的病变对比度,并且也被广泛使用。

扩散加权成像(DWI)已成为肝脏成像的标准技术,现在可用于所有扫描仪。通常,DWI取决于组织中水的微观移动性,称为布朗运动。水 - 分子扩散(以及测量的信号强度)取决于组织细胞构成,组织组织,细胞膜的完整性和细胞外空间曲折度。通常,在大多数实体肿瘤中发现较低的水扩散,这归因于它们的高细胞性。因此,DWI有助于检测肝脏固体局灶性肝脏病变。通过使用两个或更多个b值进行扩散加权成像,我们可以量化肝组织的表观扩散系数(ADC)。良性局灶性肝脏病变已显示具有比恶性肝脏病变更高的ADC值,尽管存在显着重叠。尽管如此,定量ADC值可用于支持病变表征和鉴定目前正在研究的治疗的早期肿瘤反应。

静脉注射造影剂给药后的成像仍然是肝脏MR成像的基石。其中,非特异性细胞外钆造影剂仍然是最广泛使用的。在静脉内(IV)推注细胞外钆造影剂后,进行动态成像(使用体积T1-称重成像)来表征病变,检测病变,评估肿瘤对治疗的反应,以及检测肿瘤消融后的边缘复发。

肝脏特异性(或肝胆)MR造影剂是可用的,并且在局灶性肝脏病变的管理中具有特定的作用。这些包括钆贝酸二葡甲胺(MultiHance®,Bracco)和钆酸(Primovist®或Eovist®,Bayer Healthcare)。肝脏特异性MR造影剂通常也作为推注IV给药,如用于动态成像的非特异性钆螯合物。然而,成像也在延迟的肝脏特异性或肝胆相进行,其时间根据造影剂而不同。这些肝脏特异性药物被摄入不同程度的肝细胞(钆贝酸二葡甲胺4-5%;钆酸~50%),导致肝胆脂肪抑制梯度回波技术中肝实质的强烈T1增强。需要注意的是,该患者的自由呼吸采集可以更好地描绘较小的肝脏转移灶,因为T1低信号病变对抗增强的肝实质(箭头)期,对于钆贝酸在20分钟时进行,对于钆贝酸在1-2小时时进行。对比给药后的二甲基葡胺。已经显示肝特异性造影剂改善肝转移的检测,特别是当与扩散加权MR成像组合使用时。

2.jpg
图17.2径向采集技术。结直肠肝转移。使用(a)自由呼吸径向采集脂肪抑制梯度回波和(b)屏蔽体积内插后,在给予钆布造影剂后20分钟进行肝胆相成像

17.4良性肝脏病变

17.4.1囊肿

单纯性肝囊肿很常见,占一般人群的5-14%。由于它们通常无症状,因此可偶然检测到美国,CT或MR成像。在CT上,肝囊肿被很好地限制并且通常显示类似于水的衰减值(0-15HU),尽管较小的囊肿可能由于部分体积效应而显示出更高的衰减值。囊肿不应显示壁画增厚,结节或对比度增强。小囊肿(大小≤3mm)可能对CT患者构成诊断挑战,因为它们太小而无法完全表征,随后成像的稳定性对于确保安全非常重要。尽管如此,即使在肿瘤患者中,大多数小的低密度肝脏病变通常也是良性的。

在MR成像检查中,囊肿是明确的,均匀的病变,在T1加权图像上显示低信号,在T2加权图像上显着高信号。他们在T2加权成像上显着的高信号为MRI上小囊肿的诊断提供了更大的信心。

17.4.2血管瘤

血管瘤是最常见的良性肝肿瘤。在美国,肝血管瘤似乎受限,明确,高回声,并且与远端声学增强有关。小血管瘤通常看起来是同质的,但是较大的血管瘤(> 4cm)可以显示出异质的外观。

在CT上,血管瘤是明确定义的低密度肿块。它们在T1加权时呈低信号,在T2加权成像时显着超强,有时具有小叶轮廓。 T2加权MRI上的高信号有助于区分血管瘤和其他实体肿瘤。在相对长的T2回波时间(140ms或更长),均匀明亮的病变是良性病变的特征,例如囊肿或血管瘤。例外包括囊性或粘液性转移,胃肠道间质瘤(GIST)和神经内分泌肿瘤转移。

血管瘤在CT / MRI(I型至III型)中显示出三种不同的增强模式,其中存在特征性的增强,其紧密地跟随其他地方的血池的增强。小病灶(最大~2 cm)可显示动脉期即刻和完全增强,静脉和延迟期持续增强(I型,“闪光填充”)(图17.3)。在延迟成像时,增强通常会衰减到与血池相似的程度。最常见的增强模式是外周结节不连续增强,随着时间的推移逐渐填充(II型)。较大的病变(> 5 cm)或中央血栓/纤维化的病变可能缺乏中央填充(III型)(图17.4)。当使用肝脏特异性造影剂进行评估时,动态动脉和静脉期血管瘤的外观与非特异性钆螯合物相似。然而,在延迟期,3分钟后,由于肝实质的早期肝细胞增强,可能存在“假性脱落”(低信号)(图17.5)。在肝胆期,血管瘤可能对薄壁组织呈低信号,从而模仿肝脏转移。在这种情况下,DWI可能有助于区分血管瘤和其他实体病变,因为无并发症血管瘤的表观弥散系数(ADC)显着高于恶性实体病变(通常> 1.70×10-3 s / mm2)。

17.4.3局灶性结节性增生

局灶性结节性增生(FNH)是一种良性病变,在腹部成像时偶然检测到可引起混淆。在超声检查中,病变通常是肝脏的等回声或略微低回声,但在弥漫性肝脏脂肪变性患者中表现为低回声。通常,FNH表现出小叶轮廓,这在恶性病变中是罕见的。大约67%的较大病变和约33%的较小病变存在中央瘢痕。 FNH的中央瘢痕通常是T2加权图像上的高信号,具有逗号形或轮辐外观,可区别于纤维板层HCC,其中中心瘢痕(如果存在)主要是T2加权时的低信号强度先生。彩色/能量多普勒US可显示瘢痕内的血流。

FNH是未增强和平衡相后造影CT的等密度或最低低密度,并且可能仅因为对相邻血管存在质量效应而被怀疑。在未增强的T1和T2加权MR图像上,FNH返回类似于肝实质的信号强度,但在动态T1加权对比增强成像的T1或T2加权均匀增强上通常略有不同,与血管信号相同。所有阶段。病变出现(f)在钆托酸的肝胆相中低信号 - 增强的MRI增强病灶具有向心填充。病变的不完全增强对于诊断FNH具有高灵敏度(91-100%)和特异性(87-100%)。这一特征有助于区分FNH与高血管转移或肝腺瘤(HCA)和肝细胞癌(HCC)(通常不会摄取肝脏特异性药物)。然而,应该注意的是,一些HCA(特别是炎性HCA和β - 连环蛋白激活的HCA)和HCC在肝胆管造影剂给药后的延迟成像中可能出现等信号或高强度。虽然将FNH与HCA变体区分仍具有挑战性,但有人提出,HCC在门静脉或动态对比增强的过渡期中存在造影剂冲洗(即,与肝实质相比的病变低信号),可用于区分HCC。 (显示肝胆相中的对比摄取)和FHN结节。尽管口服避孕药似乎不会刺激FNH的生长,但大多数FNH的大小往往保持静态,尽管随访时FNH的大小可能会增加(3-11%)。

3.jpg
图17.3血管瘤类型1.肝脏特异性MR造影剂。 一名45岁女性,右肝叶有病变(箭头)。 这表现为(a)T2加权成像的高信号强度和(b)T1加权成像的低信号强度和(c-e)显示

4.jpg
图17.4血管瘤3型:非特异性钆螯合物。 (a-c)(a)动脉和(b)门静脉和(c)延迟期的T1加权动态增强T1加权GRE显示结节周边

5.jpg
图17.5血管瘤3型:肝脏特异性MR造影剂。 (a)T2加权TSE显示非常高信号强度的大分叶状病变。 (b-d)动态钆喷酸增强成像显示动脉(b)和静脉期(c)的外周结节增强。在肝胆相(d)中,由于病变中缺乏肝细胞摄取和周围肝实质图像的增强,病变具有显着的低信号。由于动脉血管供应突出,FNH在对比增强CT / MR成像的动脉期显示出明显的均匀增强,其在门静脉期对肝实质迅速变为等密度/等信号。由于其血管成分,中央瘢痕经常表现出延迟增强(图17.6)。另一个关键特征是除了瘢痕之外,与纤维层状HCC中遇到的异质外观相比,FNH通常在外观上是均匀的。

使用肝脏特异性MR造影剂,由于病变内存在正常胆管和OATP受体的表达,FNH在给予肝胆造影剂(如钆松酸或钆贝酸二葡甲胺)后经常显示延迟图像增强。 17.6)。然而,FNH内肝胆造影剂的摄取可能很少是异质的或不存在。尽管如此,与肝脏等信号,但后来(血管)中央瘢痕增强。增强模式对于FNH是典型的。 (d)另一种FNH的肝胆相成像:肝脏特异性MR造影剂的均匀摄取,辐条轮中央瘢痕通常不会增强

6.jpg
图17.6 FNH。肝左叶的偶然病变(箭头)。 (a)造影前T1加权图像显示具有中央低信号瘢痕的等信号病变,其对相邻脉管系统显示出最小的质量效应。 (b)动脉期T1加权对比度增强图像显示病变的血管过多。 (c)对比后T1加权延迟相位成像显示病变现在占主导地位

17.4.4肝细胞腺瘤

肝细胞腺瘤(HCA)并不常见,但与口服避孕药和合成代谢类固醇的使用有关。在组织学上,HCA由类似于正常肝细胞但缺乏胆管的细胞组成,其将它们与FNH区分开。

HCA的成像特征是异质的和多样的。 HCA通常是血管过多的,并且由于存在脂肪,坏死或出血而可能看起来是异质的。 T1加权化学位移或DIXON成像可用于检测肿瘤内脂肪,而对比剂给药前高T1信号的存在会引起对自发性出血的怀疑。读者应熟悉MRI上局灶性肝脏病变脂肪的鉴别诊断,包括局灶性脂肪浸润,HCA(特别是HNF1A失活亚型),肝细胞癌(通常分化良好),血管平滑肌脂肪瘤,脂肪瘤,畸胎瘤和肝转移。来自含有脂肪的恶性肿瘤(例如脂肪肉瘤)。肿瘤内脂肪的存在有助于缩小血管病变的鉴别诊断范围,因为可以排除血管瘤,转移灶和FNH很少含有脂肪。

在动态对比增强CT或MR上,腺瘤通常显示明显的动脉期增强,在门静脉期成像中快速转变为等衰减或低衰减/强烈至肝实质。我们对与HCA相关的分子畸变的理解提高了我们对HCA亚型的理解,HCA亚型与风险因素,组织学特征,临床表现和影像学表现有关。最新的分子分类将HCA分为以下六个亚组:HNF1A灭活的HCA,炎症HCA,外显子3中的CTNNB1突变的HCA,外显子7和8 HCA中突变的CTNNB1,sonic hedgehog HCA和未分类的HCA。

放射科医师的重要性是什么?在40-50%的HCA中观察到肝细胞核因子1α(HNF1A)的灭活突变。 HNF1A失活的HCA通常含有脂肪,这可通过化学位移T1加权成像的弥散和均匀信号损失来证明(图17.7)。它们返回变量T2信号。在对比度增强的T1加权MRI中,它们是血管过多的,通常在门静脉或延迟期具有对比冲洗。它们通常使用肝脏特异性造影剂在肝胆相MRI上低信号。 HNF1A失活的HCA具有非常低的恶性转化风险。

炎性HCA占HCA病例的35-45%。肥胖和口服避孕药的摄入史是其发展的危险因素。炎症性HCA在T2加权MRI上出现强烈高信号,其在病变周围可能是弥漫性或边缘状的(Atoll征)。病灶内脂肪不常见,并且当存在时,通常是斑片状或异质性的。在对比增强成像中,通常存在强烈的动脉增强,持续增强延迟相位成像(图17.8和17.9)。尽管使用肝脏特异性造影剂,大多数炎性HCA在肝胆相上呈低信号,但约30%可能出现等信号或高信号。炎性HCA也可能在外显子3中具有b-连环蛋白的活化突变,因此具有恶性转化的风险。

在10-15%的HCA中观察到外显子3中的连环蛋白b1(CTNNB1)突变(编码b-连环蛋白)。这些与恶性转化的高风险相关。相比之下,HCA的一个子集(5-10%)与外显子7和8中的两个热点中的CTNNB1突变相关,这不会增加恶性肿瘤的风险。这些HCA变体不具有典型的成像特征,并且可能难以与HCC或FNH区分。具有连环蛋白b1突变的HCA也可以使用肝特异性造影剂在MRI的肝胆相中显示对比摄取。

声波刺猬蛋白途径的激活发生在约5%的HCA中。由于这些相对不常见,因此与这些相关的成像特征的光谱尚未完全描述。尽管如此,这些病变具有更高的自发性出血倾向。大约7%的HCA仍未分类。这些没有典型的临床或成像外观。

总体而言,MRI的成像特征,包括使用肝脏特异性MR造影剂(钆贝酸,钆酸)的外观有助于区分FNH和HCA。在对比增强的肝胆相中,FNH通常显示对比摄取,而NHF1A灭活的HCA和大多数其他HCA亚型则不显示。值得注意的是,扩散加权MRI在帮助区分HCA和FNH或HCC方面几乎没有价值,因为ADC值存在很大的重叠。

17.4.5胆管错构瘤(Von Meyenburg Complex)

胆管错构瘤是导管板的先天性畸形,没有与胆管的连接。通常在腹部成像中偶然发现它们。虽然没有临床意义,但它们可以模拟癌症患者的播散性小肝转移。胆道错构瘤通常较小(大小为5-10mm)并且通常广泛分布在肝脏的两个肺叶中。在超声检查中,它们表现为小的高回声或低回声病变,并且可以表现出振铃伪影(彗尾外观)。在CT上,它们表现为圆形,椭圆形或不规则形状的小囊性病变,没有对比增强,尽管有时可能存在薄的边缘增强,因此模仿血管下肝转移。当存在增强时,它通常非常薄(≤2mm)并且仅在与病变的纤维成分相关的平衡相图像上观察到。在MRI上,胆道错构瘤在T1加权成像时出现低信号强度,在T2加权成像时出现高信号强度(图17.10)。最好在最大强度投影MRCP序列上观察它们作为高信号强度焦点而没有与肝内管道相关或相关的异常。偶尔,胆管错构瘤会发胖。 (c)T2加权TSE显示中度高信号。 (d)在肝胆相中的钆氧酸增强图像,几乎没有增强非常大,高达20厘米,并且是内部出血或相邻结构上的压力的症状。胆道错构瘤的鉴别诊断包括胆管周围囊肿(主要是肝实质病患者的肺门周围分布),多囊性疾病和Caroli病(囊肿与胆管沟通并与胆管异常相关)。他们还可以在适当的临床环境中模拟肝脓肿

7.jpg
图17.7腺瘤(HNF1A亚型)。 (a)T1加权同相GRE图像显示年轻女性的体重非常大。质量不均匀,显示出亮点。 (b)在反相图像上存在典型的信号强度下降,表示肿瘤内

17.4.6肝脓肿和棘球绦虫

成像时肝脓肿的出现取决于病因(胆管周围的睫状体脓肿倾向于小而分散;阑尾炎或憩室炎通过肝动脉或门静脉的血源性分布往往会导致较大的病灶弥漫性扩散。肝)。US揭示了一个内部回声的囊性病变。在CT上,肝脓肿是低密度病变,胶囊可能显示增强(图17.11);当存在多个脓肿时,可以注意到簇标志。肝脓肿的CT表现是非特异性的,可以通过囊性或坏死性转移来模拟。因此,适当的临床和实验室确证对于做出正确的放射诊​​断至关重要。虽然仅存在少数病例,但中心气体对脓肿具有高度特异性。在MR成像中,肝脏脓肿相对于肝实质在T1加权图像上呈低信号,在T2加权图像上显着高信号,通常由局部区域轻微T2高信号代表周围水肿,这也可能表明在造影剂给药后增强。

8.jpg
图17.8腺瘤:炎症类型。 (a-c)动脉(a)静脉(b)期CT显示病变的强烈和渐进的对比增强,其在延迟期(c)中保持增强,这是炎性腺瘤中的生理变化的典型

9.jpg
图17.9年轻女性的腺瘤(炎症型)呈现模糊的上象限疼痛。 (a)在和(b)反相T1加权成像显示没有明显的病灶内脂肪。 结节是(c)T2加权成像时轻度高信号。 (d-f)前对比,对比后动脉期和延迟期图像显示狂热的动脉增强,持续存在。 手术切除证实有炎性腺瘤

10.jpg
图17.10胆道错构瘤(von Meyenburg复合体)。一名中年妇女在超声检查后被转诊至MRI。在肝脏内存在多个高T2加权信号的病灶,即胆管错构瘤的消化系统

阿米巴肝脓肿是非特异性的。它通常表现为孤立的低密度病变,具有可能是光滑或结节的增强壁,并且通常与不完整的水肿边缘相关。对于MR成像,病变在T1加权图像上呈低信号,在T2加权图像上呈异质高信号。

在CT扫描中,细粒棘球绦虫(包虫囊肿)对肝脏的参与可表现为具有薄壁或厚壁和钙化的单眼或多房囊肿,通常伴有囊肿较小的囊肿,在囊肿的边缘或内部有隔膜(即,这种外观与“通常的”多囊肿瘤完全不同。在MR成像中,在T1和T2加权图像上存在低信号边缘和多接种外观是诊断特征。

17.5恶性原发性肿瘤

17.5.1肝细胞癌

HCC是最常见的原发性肝癌,在亚洲和地中海发病率最高。在欧洲国家,HCC主要见于患有慢性肝病(特别是乙型肝炎或丙型肝炎,肝硬化或血色素沉着症)的患者。在组织病理学上,HCC的特征在于以小梁和正弦模式排列的异常肝细胞。病变可能是孤立的,多灶性的或弥漫性浸润的。

HCC在成像上有各种不同的外观。在危险人群中发生的早期HCC通常较小(<3cm)并且具有均匀的外观。相比之下,晚期表现疾病(包括非肝硬化患者的肿瘤)的特征是更先进的疾病,表现为更大的异质性病变。US经常用于肝硬化患者的疾病筛查和监测。 HCC在美国的出现是可变的,具有异,低或高回声性(回声增强通常是由于肿瘤内脂肪)。较小的病变通常是同质的,较大的病变是异质的。周围的纤维囊通常存在并且对于HCC而言是特征性的,其表现为围绕病变的低回声边缘。

在未增强的CT图像上,大多数HCC是低密度或等密度的(后者尤其是小的)。肿瘤内脂肪的存在可以降低CT衰减,并且在适当的临床环境中提示原发性肝细胞肿瘤。由于其动脉供应的改变和主导,HCC在对比增强的动脉期中增强,在门静脉期增强的肝实质中变为等或低密度。延迟相位图像显示,与周围肝脏相比,大多数HCC病变为低密度。这些肿瘤中对比度的消除是HCC的诊断特征(图17.12)。小型HCC可能有

CT和MR图像上的结节状结节,特别是当疾病在再生或发育不良的结节内发展时(图17.13)。在MR成像中,这样的结节可以在T2加权图像上表现出更高的信号强度并且在动脉期图像上显示出血管过多。

在CT上进行造影剂给药后的多相成像有助于优化HCC的检测和表征。 晚期动脉期成像对于检测小病变最敏感。 肿瘤检测/表征和评估静脉结构(图17.12)以及其他腹部器官总是需要静脉期。 延迟相位成像(例如,在2-3分钟时)可以偶尔帮助检测可能遗漏的病变。 更重要的是,如果门静脉期没有出现典型的病灶对比冲洗,它可以帮助确诊HCC。 未增强的图像对于识别高密度的铁质沉着的结节和检测低密度肿瘤内脂肪是重要的。 未增强的图像也可用于化学栓塞后或肿瘤消融后的肿瘤随访。 由于这些原因,在大多数中心使用三到四相MDCT方案来评估HCC。

11.jpg
图17.11脓肿。 (a)典型的大囊下脓肿,伴有气液水平和反应性胸腔积液。 (b,c)另一名患有发烧和右上腹疼痛的患者。 (b)动脉和(c)门静脉期的T1加权对比增强图像显示肝脏两个叶中有多个环增强病变。在动脉期,许多病变周围也伴有增加的实质增强。外观与多发性肝脓肿一致

在动脉期依赖局灶性血管过多可导致HCC的假阳性诊断。动脉期肝实质的瞬时局灶性增强,也称为短暂性肝衰减差异(THAD),可导致HCC的错误诊断。在肝硬化患者中,短暂性局灶性增强最常由动脉 - 门静脉分流引起,导致不适当,病变不可见。 (d)延迟相扫描显示病变的清除,现在是低衰减(箭头)。动脉血管过多和冲洗的组合是肝脏中门静脉分布增强的早期局灶性区域的恶性肿瘤的非常特异性标志。 THAD通常位于肝脏的外围,呈楔形,并且可能外围不良。在建议诊断HCC之前,应仔细评估不显示肿块效应或圆形性质的囊下病变。 THAD与门静脉中的病变低密度或对比度增强的延迟阶段无关。

12.jpg
图17.12 HCC:用于检测和表征的四相CT。 (a)非造影CT显示肝硬化和脾肿大。在第4部分,病变只是微弱地看到。 (b)在动脉晚期,在第4段(箭头)中描绘了血管HCC。 (c)在静脉中

尽管不敏感(33%),但动脉期图像上的高密度与静脉或延迟期图像的清除与低密度相结合,对于HCC的诊断具有高度特异性(100%)(图17.11)。然而,与肝脏相比,一小部分HCC可以是异体血管或血管,这可能难以诊断。典型的MR成像特征 - 较大的HCC包括纤维囊/假包膜,瘤内隔,子宫结节和肿瘤血栓(图17.14)。这些病变在CT和MR上的外观(马赛克结构)通常是异质的。虽然大多数大的HCC在T2加权图像上是高信号,但是甚至3-4厘米的较小病变可能出现等信号或低信号。在T1加权图像上,HCC显示相对于肝实质的可变信号强度。肿瘤囊/假包膜可以在T1加权时观察到,并且不太常见,在T2加权成像时可以看作低信号。

HCC中的常规钆对比成像与针对CT描述的特征平行,具有特征性早期峰值对比度增强和结节性固体组分的延迟相位肿瘤对比度清除,以及囊/假包膜的晚期T1增强。肝脏特异性MR造影剂(钆喷酸或钆贝特图像,但边缘焦点显示更高的SI。(d,e)动态钆 - 增强T1加权GRE图像显示(d)恶性病灶的动脉血管过多(箭头)并且(e)在平衡期中洗出二葡甲胺)可以施用以提供动脉,门静脉和平衡相成像,但具有在对比增强的延迟肝胆相时显示出额外特征的附加优点。 HCC通常不显示肝胆相中肝脏特异性造影剂的对比度保留,这可以增加HCC检测和表征的可信度(图17.15)。已经表明,使用钆酸增强的MRI可以改善小或早期HCC的检测,因为与CT相比,它对于检测尺寸<1-2cm的HCC是优越的。此外,通过钆酸增强MRI检测到的亚厘米病变可能或可以在短时间内转变为HCC。因此,HCC成像评估的几个不断发展的指南正在纳入肝脏特异性造影剂在诊断亚厘米HCC中的作用。亚临床HCC可以通过局部治疗来治疗,从而避免与根治性手术相关的发病率和死亡率。

13.jpg
图17.13具有结节状结节的HCC。 (a)未增强的CT显示出大量结节(高度衰竭)的大结节,其中包含低密度(非侧脑室)焦点(箭头)。 (b)在T1加权的GRE反相图像上,边缘结节显示低信号强度(箭头)。 (c)大结节显示T2加权TSE的萎缩

14.jpg
图17.14右侧肝脏弥漫性HCC,门静脉有肿瘤血栓。 (a)动脉期和(b)静脉期T1加权GRE显示门静脉的不均匀增强和扩张。右叶有不均匀的增强,但没有看到明确的肿瘤。 (c)DWI显示整个肝内门静脉和右叶肿瘤部分的实体

然而,重要的是要注意使用肝脏特异性造影剂进行HCC评估的一些潜在缺陷。一些良性再生结节可能在对比增强的肝胆期出现低信号,尽管大部分出现肝脏等信号。此外,由于OATP1B3和MRP3受体表达水平较高,一些分化良好或中度分化的HCC可能在延迟图像上出现等信号或高信号。因此,在MRI上使用辅助成像功能可以提高HCC诊断的可信度。这些包括轻度至高T2信号强度和高b值DWI上的阻碍扩散。肝特异性造影剂的使用也可有助于鉴定在对比增强的动脉期中未显示典型的血管过多的等增强或低增强的HCC。关于扩散加权MRI在HCC评估中的应用,较高的b值(例如,800 s / mm2)DWI可能有助于疾病的鉴定,特别是如果疑似结节也表现出相反的典型血管模式 - 增强MRI检查。因为背景肝硬化,与低级/分化良好的HCC相比,更高等级/低分化的HCC更可能表现出阻碍扩散和更低的ADC值。

总之,许多MR特征通常与HCC相关(动脉期高信号,T2高信号,静脉或平衡期清除,肝胆相图像上缺乏肝胆MR造影剂摄取,以及高b值DWI上的限制扩散) )。然而,对于这些发现中的每一个,仅有约60-80%的敏感性,并且良性病变在16-65%的病例中显示这些发现,这取决于发现,使用的造影剂和报道的系列。根据众多研究的数据,美国肝病研究协会(AASLD)和欧洲肝脏研究协会(EASL)对无创图像的建议形成了动脉期的强烈增强。 (c)在20分钟后的肝胆相中,由于慢性肝病患者中HCC缺乏肝细胞摄取诊断,病变显示低信号。显示动脉期血管过度和静脉或延迟期冲洗的超过1cm的病变被分类用于诊断为HCC的治疗。如果仅存在两个发现中的一个,则指南要求获得具有对比成像的不同模态以确定是否可以验证这些发现。如果病变仍然不典型,建议进行活检。如果疑似病变小于1 cm,AASLD和EASL指南建议每隔3个月重复检查一次,使用相同的成像技术检测病变,以确定是否有生长或性质变化。在对慢性肝病患者进行随访时,即使不符合AASLD非侵入性诊断标准,对于HCC,开发出具有上述任何MR信号异常的新结节也应该被认为是令人担忧的。这些标准被制定为具体但仅约70%敏感。放射科医师必须记录符合HCC标准的所有病变的数量和大小,因为这些患者的治疗因这些因素而异。记录是否存在血管侵犯或远处转移也很重要。

15.jpg
图17.15肝细胞特异性造影剂(钆酸)的HCC:MRI。(a)轴向T1加权GRE显示肝脏穹隆包裹的轻度高强度肿块。(b)钆氧酸增强

16.jpg
图17.16 纤维板层HCC。 (a)动脉期MDCT显示左叶(箭头)的质量异质性增强,具有低钙化中央纤维性瘢痕和钙化(箭头)。 (b)T2加权MRI显示大的左叶肿块(箭头)具有异质外观和轻度至中度增加的信号强度。纤维中央瘢痕信号强度非常低(箭头)

17.5.2纤维板层HCC

纤维板层HCC(FL-HCC)是一种侵袭性较小的肿瘤,其预后优于典型的HCC。它由通过纤维束分成细胞的恶性肝细胞组成。在CT上,FL-HCC表现为大的,轮廓分明的血管肿块,有分叶状表面,并且在高达70%的病例中通常有中央瘢痕和钙化。在MR成像中,FL-HCC在T1加权图像上通常呈低信号,在T2加权图像上呈高信号,两个序列的中央瘢痕呈低信号(图17.16)。这与FNH的瘢痕形成对比,FNH在T2加权图像上通常是高信号。 FNH和FL-HCC的纤维中心区域显示CT和细胞外钆MR造影剂的延迟保留。与FNH相比,FL-HCC的对比度增强通常与FNH的通常均匀的对比度增强图案相比是异质的。

17.5.3胆管细胞癌

导管生长,其中肿块形成类型在肝内CCC中最常见。在CT和MR成像中,病变倾向于在未增强的CT上低密度,在T1加权图像上低信号,在动态对比增强研究中具有外周增强。延迟期CT / MR成像(5-15分钟后)由于其丰富的纤维间质可显示均匀增强或在病变中心,这提示CCC的诊断。有趣的是,中央纤维化基质通常在扩散加权MRI上显示信号抑制并返回相对较高的ADC值(图17.17)。在肿瘤本身可能难以辨别的阶段,导管浸润性CCC导致胆管的早期节段性扩张。此外,还有形态学特征可以提示CCC的诊断。周围病变通常表现为由于其硬的纤维状基质而覆盖的囊膜回缩(图17.18)。靠近肝内CCC的扩张的肝内胆管也可以为诊断提供线索,因为胆道梗阻通常伴有肝内转移(结肠直肠癌除外)。

17.6罕见的原发性肝肿瘤

17.6.1胆囊腺瘤/囊腺癌

胆管细胞癌(CCC)是肝脏中第二常见的原发性恶性肿瘤。肝内CCC起源于小叶内胆管(与肝门CCC相反,后者起源于主肝管或分叉)。肝内CCC通常表现为较大的肿块。根据生长特征,CCC分为肿块形成,输卵管浸润或肝内门。在(b)10分钟的延迟图像上,肿瘤表现出晚期增强,这允许在CT上更好地描绘来自周围肝实质内容的肿瘤(箭头),具有外周软组织结节和穿过隔膜。乳头状赘生物,软组织结节或隔膜的更多存在与恶性肿瘤的高风险相关。囊性区域在T1加权MRI上显示可变信号强度,包括与其蛋白质含量相关的肝脏高信号。在US和CT中可以在囊腺瘤和囊腺癌中观察到粗钙化,并且不是良性的迹象。

这些肿瘤具有与胰腺中粘液性对应物相似的外观和形态,通常发生在女性中。即使在良性时,这些肿瘤也具有恶性变性的倾向,任何此类肿瘤都应被视为潜在的恶性肿瘤。它们表现为单眼或多房囊性肿块,具有典型的消声和低回声美国外观和接近水样的衰减

17.jpg
图17.17肝门部胆管癌:患有进行性黄疸的老年人。 (a)动脉期对比度增强的T1加权像显示肝内导管扩张,延伸至肝内导管

18.jpg
图17.18外周胆管癌。 (a)动脉期的对比增强CT显示具有囊收缩的多中心血管周围肿块(箭头)。 (b)由于纤维基质,延迟相显示出典型的晚期增强

17.6.2肝血管肉瘤

肝血管肉瘤是一种罕见的肿瘤。 与先前暴露于氯乙烯和胶质二氧化钍等致癌物质以及血色素沉着症患者之间存在密切关联。 然而,在大多数情况下,肿瘤是特发性的。 在病理学上,血管肉瘤表现为大的,孤立的肿块或具有不同大小的多个肿瘤结节,其包含多个血管通道。

血管肉瘤的影像学外观通常是非特异性的,在未增强的CT上出现低密度,在T1加权MR成像时出现低信号,在T2加权成像时出现轻度高信号(尽管如果存在突出的窦状血管空间,这些可能看起来同质且非常高T2加权信号强度)。在碘化或基于钆的造影剂给药后,大多数病变显示出非特异性的异质增强。然而,潜在的问题是具有突出的窦状血管空间的肿瘤,因为它们可以模拟CT和MRI上的良性血管瘤的外观。这种病变中的高MR T2加权信号进一步加剧了这个问题。然而,在大多数此类情况下,仔细评估将显示肿瘤增强不遵循所有阶段的特征,或者存在其他特征,例如多个病变,这使得血管瘤的诊断不太可能。

17.6.3上皮样血管内皮瘤

上皮样血管内皮瘤(EHE)是一种罕见的血管源性肿瘤,不要与婴儿血管瘤 - 间皮瘤混淆,后者是一种非常不同的肿瘤。这些肝脏肿瘤的特征在于多个基于外周的病变,其逐渐变成融合的肿块。除了不寻常的外周肝脏分布外,由于存在纤维化和瘢痕形成,一个关键的特征是存在覆盖的囊收缩。尽管偶尔可见肿瘤钙化,但CT衰减或MR信号强度特征是非特异性的。 CT或MR钆螯合物的对比度增强通常显示增强减弱的中心区域,具有显着的外周增强(图17.19)。还观察到反向图案具有增强的增强和外周减少的增强的中心区域。还报道了显着增强的同心区域。还描述了终止于这些病变周围的门静脉或肝静脉的可见分支t(棒棒糖征),尽管这不是疾病的特征。病变通常会变得融合,并且可能变得足够大以代替几乎整个肝实质。

17.7肝转移

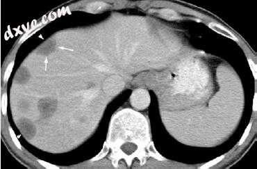
在US,肝转移可能出现低回声,等回声或高回声。在动态对比增强CT上,相对于门静脉期的肝实质,大多数转移瘤出现血管下和低密度(图17.20)。血管转移最常见于肾细胞癌,神经内分泌肿瘤,肉瘤和乳腺肿瘤患者(图17.20)。这些肿瘤最好在动脉期观察到,并且可能变成等密度,并且在对比度增强的后期阶段难以检测到。在MR,T2加权图像上T1加权和高信号的转移通常是低信号。肿瘤周围水肿使T2加权图像上的病变显得更大,并且高度暗示恶性肿块。由于黑色素的顺磁性,T1加权序列上的高信号强度对于黑素瘤转移是典型的。一些病变可能在T2加权图像上具有高信号中心区域(目标信号),这对应于中心坏死。具有高b值(例如,600-800)的DWI非常有助于检测小的肝转移,否则可能逃避检测(图17.21)。在动态对比增强MR成像中,转移瘤表现出类似于CT描述的增强特征。与延迟图像(外周冲洗征)的病变中心相比,转移瘤可能表现出低信号边缘,这对恶性肿瘤具有高度特异性。在结直肠癌中已经表明,使用DWI和肝特异性造影剂的组合增强MRI导致肝转移检测的最高诊断准确性(图17.22)。

19.jpg
图17.19上皮样血管内皮瘤。 对比CT(门静脉期)显示多个主要是外周的低密度病变。 注意,一些病变显示出层状外观(箭头)。 囊封回缩的早期发展存在于覆盖一些病变(箭头)的囊的扁平化

17.8肝脏局灶性病变的鉴别诊断

表征CT上局灶性肝脏病变的方法始于确定其密度。 如果病变显示接近水密度,性质同质且边缘清晰,则应考虑囊肿,并可通过US,平衡期CT或甚至MR成像(T2明亮和非增强后钆)进行确认 ),可确保没有固体成分或壁面病变。 然而,放射科医师应该熟悉可以模仿单个囊肿的其他囊性病变的影像学特征。

20.jpg
图17.20转移。 (a)动脉期的对比增强的MDCT显示胰腺的神经内分泌癌的几种主要的血管外肝转移。 (b)静脉期的对比增强的MDCT显示典型的血管内结肠直肠转移

21.jpg
图17.21扩散加权MRI检测小转移灶的价值。 (a)对比增强MRI显示右叶有一个小转移(箭头)。 在包膜下位置的右叶中存在微弱的低信号。 (b)DWI清楚地显示存在另外的转移(箭头)

22.jpg
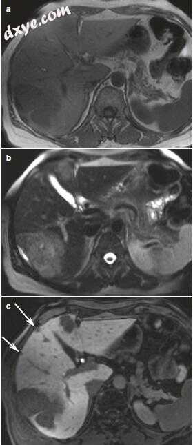
图17.22钆喷酸增强MRI的结直肠肝转移。 (a)未增强的T1加权MRI显示6/7和4段中的两个低信号病变。(b)T2加权TSE图像显示病变为中度高信号。 (c)肝胆相中的gadoxetic增强的T1加权GRE图像显示在未增强的MRI或MDCT上未见的两个额外的小包膜下转移(箭头)(未显示)

在评估固体局灶性肝脏病变时,疾病特征很大程度上依赖于观察对比度增强的速率和模式。 如果病变显示外周和结节增强,增强部分的密度在动脉,静脉和延迟阶段显示相同的一般血管水平,则可以可靠地诊断血管瘤。

参考:Diseases of the Abdomen and Pelvis 2018-2021 Diagnostic Imaging - IDKD Book
您需要登录后才可以回帖 登录 | 注册

本版积分规则

丁香叶与你快乐分享

微信公众号

管理员微信

服务时间:8:30-21:30

站长微信/QQ

← 微信/微信群

← QQ

Copyright © 2013-2026 丁香叶 Powered by dxye.com  手机版 
快速回复 返回列表 返回顶部