仿气腹25孔3单端腔镜训练箱训练用单针/双针带线【出售】-->外科训练模块总目录
「训练教具器械汇总」管理员微信/QQ12087382[问题反馈]
开启左侧

腹部和骨盆疾病诊断影像学- 5: 胆囊和胆道疾病

[复制链接]
发表于 2018-6-1 11:14:35 | 显示全部楼层 |阅读模式

马上注册,结交更多好友,享用更多功能,让你轻松玩转社区。

您需要 登录 才可以下载或查看,没有账号?注册

×
学习目标

•讨论常见胆管病的典型影像学特征。

•讨论胆囊和胆管癌前肿瘤的影像学诊断。

•解释胆管癌的经典和新兴分类系统。

•讨论影像学方法的优缺点以及多模态和多参数方法在胆道恶性肿瘤诊断检查中的作用。

5.1胆道

囊肿在成人中表现出来。它根据胆管的形态变化谱进行分类。最常见的分类方案是Alonso-Lej分类的Todani修改。

Todani I型肝外胆管(EBD)单囊性扩张。

Todani II型 - EBD真正的憩室。

Todani III型胆总管囊肿或壁内EBD段的扩张。

Todani IV型多发性并且可以同时具有肝内和肝外成分。

Todani V型(Caroli病) - 肝内胆管(IBDs)的囊性扩张。

成人胆总管囊肿的并发症包括胆汁性腹膜炎,结石形成,胆管炎,肝脓肿和胆管癌(CC)。在胆总管囊肿中出现的CC表现为囊内软组织密度肿块或囊壁不规则增厚。

5.1.1先天性胆道异常

5.1.2胆总管结石

5.1.1.1胆总管囊肿

胆总管囊肿涉及肝外胆管任何部分的先天性囊性扩张,大多数胆总管囊肿在儿童时期被诊断出来;然而,高达20%无论是否存在胆管扩张,都应仔细检查可见的导管以识别和表征填充缺陷,其中绝大多数代表结石。胆管结石在CT上的可检测性取决于钙含量,并且需要预先对比CT。根据组成,结石可能表现出软组织衰减,近水衰减或周围钙化引起的脂肪减少。在T2加权成像或MRCP上,石头表现为信号无效(图5.1)。在T1加权成像中,胆固醇结石通常是等信号或低信号,而色素结石由于金属离子的存在而呈高信号。 ERCP对于小胆总管结石的检测非常准确,并且还提供治疗干预的途径。

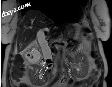
1.jpg
图5.1在冠状动脉T2加权屏气MR序列上看到70岁男性肝胆管结石患者(箭头)在肝胰管的胰后部分。注意蝶翠诗在慢性发炎胆囊中的扩张和进一步的凝固

2.jpg
图5.2 25岁男性患者肝移植后慢性胆管炎显示肝内胆管系统有多种结石和淤积,胆管扩张和周围炎症改变,如轴位T2加权脂肪饱和MR图像所见

5.1.3炎症性疾病(胆管炎)

5.1.3.1化脓性胆管炎

急性细菌性胆管炎是一种可能危及生命的感染,通常在胆管阻塞的情况下发生,伴随着细菌污染,胆汁停滞和胆汁压力增加。 胆总管结石占急性胆管炎病例的高达80%(图5.2)。 CT或MRI显示胆管弥漫性,同心壁增厚伴有导管水肿和壁画增强,伴有或不伴有肺胆。 急性化脓性胆管炎患者经常出现明显的动脉不均匀实质增强。

5.1.3.2复发性化脓性胆管炎

复发性化脓性胆管炎的特征在于外周导管的狭窄,伴有中央和肝外胆管不成比例扩张的分支减少和突然逐渐变细(“箭头外观”)。超声检查,CT和MRCP不仅可以进行正确的诊断,还可以通过说明疾病的位置和程度,作为后续干预的重要路线图。 RPC的MRCP发现包括IBD或EBD结石,多发性IBD狭窄,短节段局灶性EBD狭窄,肺叶或节段性胆管的局部扩张,偏向左叶的侧段和右叶的后段,胆管壁增厚,突然逐渐变细,并减少IBD的树枝状结构。与RPC相关的CC最常发生在具有高石负荷的区段或萎缩区段中,并且CC发展的暗示性成像特征包括受影响的肝段或肺叶的进行性萎缩以及门静脉的变窄或闭塞。

5.1.3.3原发性硬化性胆管炎

PSC是一种进行性胆汁淤积性疾病,其特征在于胆管的炎症和纤维化,其通常与炎性肠病相关。原发性硬化性胆管炎的诊断可以通过典型的胆管造影结果和排除次要原因来进行。典型的胆管造影特征包括弥漫性,多灶性短节段性狭窄和肝内和肝外胆管轻度扩张与正常导管交替,有时产生 - “串珠”外观(图5.3)。 PSC患者发生CC的终生风险为10-15%,PSC中的CC通常表现为与主导狭窄相关的输卵管浸润型CC。 CCC在PSC中的暗示性影像学表现包括不规则的显性狭窄,肩胛边缘,突出的壁厚增厚,以及近端狭窄的胆管快速进展性扩张。

5.1.3.4 IgG4相关的胆管炎

IgG4相关性硬化性胆管炎是IgG4硬化性疾病的胆汁表现,这是最近公认的疾病实体,其在组织学上表现为大量IgG4阳性浆细胞的浸润。 IgG4-SC与其他类型的硬化性胆管炎的鉴别,尤其是PSC或胆管癌的分化,在临床上很重要,因为IgG4-SC显示出对类固醇治疗的显着反应。 与PSC不同,IgG4相关性硬化性胆管炎的多灶性狭窄是长期和连续的,并且与狭窄性扩张相关。 血清IgG4水平升高和外周IgG4硬化性疾病(例如,胰腺,肾,甲状腺和唾液腺的受累)的存在强烈提示IgG4相关的硬化性胆管炎。 在IgG4-SC的情况下,CT或MR成像显示所涉及的胆管的长节段,对称,周壁增厚和延迟对比增强。

3.jpg
图5.3在冠状MRCP图像上看到的52岁女性患有原发性硬化性胆管炎和典型的肝内胆管系统珠(箭头)。 注意通常配置的肝外胆管

5.1.4肿瘤

5.1.4.1胆管良性肿瘤

胆管的常见良性肿瘤包括胆管错构瘤,腺瘤,胆管乳头状瘤病和胆管囊腺瘤。

胆道错构瘤

胆管错构瘤,也称为von Meyenburg复合体,表现为多个或无数的囊肿,通常小于1.5cm,分布在肝脏的两个叶中。

胆道囊腺瘤(胆汁性粘液性囊性肿瘤)

胆管囊腺瘤和囊腺癌是胆道来源的罕见多房性囊性肿瘤,其中85%以上的肿瘤发生于中年女性。

胆管囊腺瘤通常表现为囊性肿块,具有边缘良好的囊,内隔和壁结节,伴有罕见的囊膜钙化。尽管囊腺瘤和囊腺癌的影像学特征重叠,但恶性囊腺癌倾向于具有较厚的壁和较厚的内部隔膜,并且通常包含肿瘤内乳头状和息肉状突起。

胆管导管内乳头状肿瘤(IPNB)

两种主要的癌前期胆管肿瘤包括胆管上皮内瘤变(BilIN)和胆管导管内乳头状肿瘤(IPNB),两者均可发展为CC。 IPNB根据起源的位置和粘蛋白分泌过多的存在显示出针对侵袭性CC的多种癌前病变。 IPNB的典型成像特征是存在导管内肿瘤和胆管扩张。由于粘蛋白分泌过多,具有粘蛋白分泌的IPNB经常引起下游导管和Vater扩张壶腹的扩张。在成像时,这可以被视为胆管的动脉瘤扩张,有或没有可见的导管内粘蛋白分泌肿瘤,并且上游导管也可以扩张。

5.1.4.2胆管恶性肿瘤

胆管癌是由胆管引起的腺癌(图5.4)。根据宏观生长模式,根据日本肝癌研究小组提出的分类,CC可分为肿块形成(MF),输卵管浸润(PI)和导管内生长(IDG)类型( LCSGJ)。不仅胆管癌的诊断,而且基于其形态特征和位置的横断面成像研究(包括计算机断层扫描和磁共振成像)对胆管肿瘤的适当分类对于预测其生物学行为和选择相关的治疗策略是重要的。 MF型ICC通常表现为大的未包裹的分叶状或不规则轮廓肿块,其通常显示早期外周边缘增强,在CT和MR成像上具有渐进的向心增强,并且通常伴有肝囊收缩和扩张的外周胆管。 IDG型CC在扩张的胆管腔内表现为息肉状或乳头状肿瘤,并且具有表面粘膜扩散的生长模式。

4.jpg
图5.4 73岁女性患者右侧半肝切除伴肝 - 空肠吻合术后复发胆管癌(箭头),平衡期相对强化MR成像

门周的 CC通常表现为狭窄的肝门周围导管,伴有不规则的壁增厚,通常表现为CT或MRI上逐渐延迟的增强和上游胆管扩张。长节段受累(> 12 mm),增厚(> 1.5 mm)壁,管腔不规则或不对称,增量增强可能有利于恶性狭窄,而良性狭窄通常涉及短节段和平稳过渡。对于肺门周围胆管癌,使用Bismuth-Corlette(BC)系统最常描述肿瘤的局部范围。肿瘤分为I型(肿瘤仅涉及第一次汇合下方的肝总管),II型(肿瘤累及第一次汇合而不涉及第二次汇合),III型(肿瘤涉及右侧(IIIA)或左侧(IIIB))第二次汇合)和IV型(肿瘤涉及左右第二汇合)。一般而言,BC型IV,BC型III伴有对侧肝萎缩或对侧血管侵犯,入侵主要门静脉或肝总动脉,以及存在远处转移被认为是不可切除的。由于手术完全切除是唯一可能治愈的治疗方法,因此选择最合适的手术候选者进行成像是确定手术类型和范围的关键。然而,由于所涉及的肿瘤的小尺寸以及胆管和相邻结构的复杂解剖结构以及解剖学变化的高频率,许多CC的准确分期仍然是具有挑战性的。使用CT,MRI与MRCP,直接胆管造影,内窥镜超声和正电子发射断层扫描的多模态方法最常应用于手术候选者。

直径可达5厘米,正常壁厚可达1-3.5毫米。

胆汁填充的胆囊管测量CT和水的等密度(0-20Hunsfield单位)和T2加权MR成像的等信号特征;污泥的形成和滞留可能产生信号强度/密度的梯度,从而产生类似冻糕的外观。先前对比增强CT成像的CT造影材料的替代排泄以及肝脏MR成像中肝细胞特异性造影材料的利用可改变胆汁在CT上的成像外观以及MR成像。

5.2.2先天性变异和异常

5.2.2.1胆囊发育不全

作为一种罕见的畸形(尸检系列中0.01-0.2%),胆囊发育不全是由于原始肝憩室的尾部分裂发育失败或空泡化失败引起的。在高达50%的患者中,它可能导致胆道症状并形成肝外和肝内胆结石。

5.2.2.2胆囊重复畸形

胆囊的复制畸形是同样罕见的畸形(尸检系列中为0.02%),导致纵隔,胆囊腔分开,每个腔通过自身的胆囊管排出。胚胎学上,胆囊的复制是原始胆囊不完全再凝固的结果。胆囊褶皱,胆囊胆囊,胆总管囊肿或胆囊憩室的分化可能对影像学研究具有挑战性。

5.2.2.3胆囊的弗里吉亚帽

通过身体和远端眼底之间的隔膜,这种最常见的胆囊异常可见于所有患者中的高达6%。已经描述了两种类型:后躯骨更隐蔽的类型和浆膜类型,腹膜勾勒出眼底反射自身并覆盖胆囊的身体。

5.2胆囊

5.2.1正常解剖学

沿着肝脏下表面位于右肝叶和左肝叶之间的叶间裂隙的平面中,胆囊是圆形管状结构,具有横截面

5.2.2.4 多隔胆囊

整个胆囊的隔膜,形成连通腔,可能导致胆汁停滞和胆结石的形成。

5.2.2.5胆囊憩室

真正的胆囊憩室是先天性的,包含所有三个肌肉层。假性憩室在性质上是发育性的并且通常与子宫肌瘤病相关并且在其壁中含有很少或没有平滑肌层。 (伪)憩室可发生在整个胆囊壁的任何位置。

5.2.2.6异位胆囊

已经描述了胆囊的各种位置;特别感兴趣的是胆囊的肝内位置,其完全被肝实质包围。肝内包膜下位置可能使急性胆囊炎的诊断特别复杂,因为炎症的继发征兆可能是微妙的或完全被掩盖。肝硬化患者以及慢性阻塞性肺病患者的肝脏收缩可能表明胆囊介于肝脏表面和膈肌之间。

5.2.3病理状况

5.2.3.1胆结石

横断面成像中胆结石的出现主要是基于组合物的;大多数胆结石含有胆汁色素,胆固醇和钙的各种混合物。较大比例的钙可能使胆囊结石在CT成像中高密度化,而纯胆固醇结石的CT密度可能低于周围胆汁;气体的中心夹杂物主要由氮气组成,可能导致胆结石的浮选。

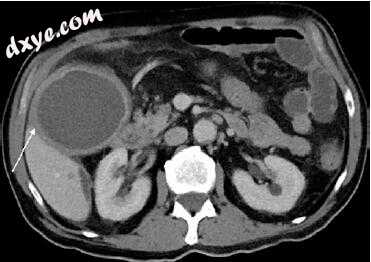
5.jpg
图5.5在门静脉造影增强CT成像中观察到的49岁男性急性结石性胆囊炎患者。注意胆囊壁增厚和周围液体(箭头)以及管腔内胆结石

胆汁进入胆囊壁,导致黄色肉芽肿的形成,代表黄色肉芽肿性胆囊炎的标志。胆结石几乎总是存在,并且经常观察到胆囊壁的不规则构型。壁上的黄色肉芽肿病变也可导致临时壁脓肿形成。这些可能在对比度增强的CT成像上显示低密度,在T2加权的MR成像序列上显示高信号结节。与胆囊癌的鉴别可能具有挑战性;然而,显露粘膜内层/腔表面更能指示黄色肉芽肿性胆囊炎。

胆囊管内胆结石的撞击随后压迫肝总管并导致炎症是导致Mirizzi综合征的机制。将胆囊管插入到肝总管中相当低可能使该患者亚群易于发生。区分肝总管狭窄的炎症起源与肿瘤过程可能具有挑战性;缺乏淋巴结肿大以及明显的局灶性肿块可能是有益的继发征兆。通过胆囊瘘管将胆囊壁通过胆囊壁直接侵入相邻肠是最常见的形成胆结石肠梗阻的机制,特别是在回肠末端。

胆囊壁的慢性炎性变化可导致与胆囊壁的厚纤维组织层相关的营养不良钙化,表明瓷胆囊。瓷胆通常与胆囊癌有关(图5.6)。

5.2.3.5增生性胆囊增生症

正常胆囊壁组织的良性增殖表征了这种非炎症性疾病。

将富含胆固醇的巨噬细胞沉积到胆囊壁的固有层中可能导致胆固醇息肉和其他标志性胆固醇血症的形成。

由于尺寸小,这些息肉在超声成像中最为明显。

肌壁的肥大伴有相应的粘膜过度生长和壁内憩室和窦道的形成,然后被称为Rokitansky-Aschoff窦,是腺肌瘤病的标志。可以看到这种疾病弥漫性地浸润胆囊壁,可能有环状外观,或者可能非常局灶性。除了CT和MR成像上的小囊性空间外,检测增厚的胆囊壁有助于区分腺肌瘤病与胆囊癌。

5.2.3.6胆囊肿瘤

胆囊良性肿瘤很少见,通常代表腺瘤,顺便说一下,在胆囊切除术中发现(0.3-0.5%)。

在女性偏好2:1-3:1的生命的第六或第七十年中,胆囊癌通常作为腺癌发生在组织病理学上;然而,也可以发现腺鳞癌,鳞状癌或神经内分泌癌,可能来自胆囊壁。与胆囊癌相关的诱发因素是胆结石(75%的胆囊癌患者有胆结石),胆囊胆囊,遗传因素以及胰胆管结合(胰液回流到胆总管导致慢性炎症)(图2. 5.7)。在横断面成像中,可以看到肿块取代胆囊窝,或者注意到肿块填充了大部分扩大和变形的胆囊。在侵入周围结构,特别是肝脏时,经常观察到肝十二指肠韧带,右肝弯曲或十二指肠。淋巴管扩散到区域和远端淋巴结很常见,而胆囊癌血行转移到肝脏,导管内肿瘤扩散,以及腹膜播种也相当普遍。在高达50%的患者中可观察到胆道阻塞。

6.jpg
图5.6 69岁女性女性慢性胆囊炎伴胆囊壁增厚(箭头),在门静脉期CT增强成像中无实质性包绕胆囊周围无结石的胆囊

7.jpg
图5.7 65岁的女性胆囊癌,浸润肝脏(箭头)和多发性肝内转移(箭头)与胆结石的T1加权增强MR成像,肝细胞特异性造影剂在5分钟延迟期

胆囊继发性淋巴瘤是罕见的,可在播散性淋巴瘤阶段见到;累及胆囊的原发性淋巴瘤是极为罕见的。

胆囊转移也是一种罕见的疾病,可以源自任何来源;然而,恶性黑色素瘤是转移性肿瘤的最常见原因,占所有胆囊转移病例的50%以上。

5.3结束语

熟悉胆囊疾病,胆管病和胆道恶性肿瘤的各种病因的典型临床和放射学表现对于准确的图像解释是重要的,因此能够实现最佳的临床和手术管理。

带回家的消息

•了解胆囊和胆道疾病的病理基础,结合仔细检查影像学表现,对正确解释胆道研究至关重要。

•各种胆管病的鉴别诊断很重要,因为存在特定的管理,并且根据疾病的类型预后可能不同。

•意识到胆囊疾病和胆管癌的潜在危险因素和形态特征对于准确诊断和与其他肝肿瘤和非肿瘤病变的鉴别非常重要。

•影像学研究在胆道恶性肿瘤患者的诊断和治疗计划中发挥重要作用,多模态和多参数成像方法可以在评估肿瘤范围和可切除性方面提供补充信息。

关键点

•胆囊和胆道疾病的成像通常需要多模态成像方法。

•硬化性胆管炎是一系列慢性进行性胆汁淤积性肝病,其特征为炎症,纤维化和胆管狭窄,可分为原发性和继发性硬化性胆管炎。系统的方法结合适当的临床设置和影像学检查结果可以帮助区分硬化性胆管炎的各种原因。

•虽然需要进行组织活检或手术以确定许多胆管狭窄的确切诊断,但狭窄节段的某些成像特征(例如,增厚的壁,长段受累,不对称,模糊的外缘,管腔不规则和相对于肝实质)可能有利于恶性病因。

•胆道恶性肿瘤通常表现为动脉期增强,持续增强至门静脉期,与这些肿瘤的纤维化性质有关。

•在肺门周围CC的可切除性评估中,应考虑纵向肿瘤范围,血管侵犯,胆管和血管的解剖变异,未来的残余体积以及是否存在远处转移。

•胆管导管内乳头状粘液性肿瘤(IPMN-B)与胰腺的IPMN在组织病理学特征方面具有惊人的相似性,并且经常显示导管内肿瘤,粘液性和上游和下游胆管的弥漫性扩张。

•了解先天性变异和胆囊解剖异常对于了解和描述胆囊疾病至关重要。

•胆结石形成的发病机制以及由此引起的急性和慢性胆囊炎及其并发症影响治疗决策。

•在早期阶段区分炎症性胆囊疾病和胆囊肿瘤可能具有挑战性; 认识到影响潜在潜在肿瘤的成像特征对于指导潜在的治疗选择至关重要。

参考:Diseases of the Abdomen and Pelvis 2018-2021 Diagnostic Imaging - IDKD Book
您需要登录后才可以回帖 登录 | 注册

本版积分规则

丁香叶与你快乐分享

微信公众号

管理员微信

服务时间:8:30-21:30

站长微信/QQ

← 微信/微信群

← QQ

Copyright © 2013-2025 丁香叶 Powered by dxye.com  手机版 
快速回复 返回列表 返回顶部