仿气腹25孔3单端腔镜训练箱训练用单针/双针带线【出售】-->外科训练模块总目录
「训练教具器械汇总」管理员微信/QQ12087382[问题反馈]
开启左侧

耳鼻咽喉-头颈外科「图解」206-150-成人感觉神经性听力损失

[复制链接]
发表于 2017-12-28 20:21:46 | 显示全部楼层 |阅读模式

马上注册,结交更多好友,享用更多功能,让你轻松玩转社区。

您需要 登录 才可以下载或查看,没有账号?注册

×
1.jpg
图-1. WaordnBurg综合征的眼部表现注意斜视眦,宽鼻根,眉毛汇合,虹膜异色。

2.jpg
图-2. 颞骨CT扫描显示大前庭水管综合征。箭头表示前庭导水管扩大。

3.jpg
图-3. 在90分贝的职业噪音暴露20年和40年后预测的听力阈值(中值和极值)。 ANSI,美国国家标准协会。 (From Dobie RA. Medical-legal evaluation of hearing loss. New York: Van Nostrand Reinhold; 1993.)

4.jpg
图-4. 在dBA时间加权平均(TWA)中,作为持续时间和暴露水平(Lex)的函数的语音频率平均噪声引起的永久阈值漂移(NIPTS)。 (From Dobie RA. Medical-legal evaluation of hearing loss. New York: Van Nostrand Reinhold; 1993.)

5.jpg
图-5. 钆增强的磁共振图像显示中等大小的前庭神经鞘瘤。

6.jpg
图-6. 钆增强磁共振图像显示2型神经纤维瘤病的双侧前庭神经鞘瘤特征。

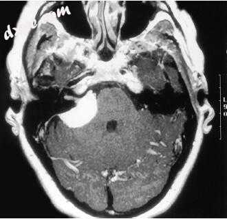
7.jpg
图-7. 钆增强的磁共振图像显示大桥小脑桥脑角膜瘤。 该患者在手术切除病变后有耳鸣和正常听力。

8.jpg
图-8. 对于几乎没有噪音暴露的患者的中位听力图是性别,频率和年龄的函数。 (From Dobie RA. Medical-legal evaluation of hearing loss. New York: Van Nostrand Reinhold; 1993.)
您需要登录后才可以回帖 登录 | 注册

本版积分规则

丁香叶与你快乐分享

微信公众号

管理员微信

服务时间:8:30-21:30

站长微信/QQ

← 微信/微信群

← QQ

Copyright © 2013-2025 丁香叶 Powered by dxye.com  手机版 
快速回复 返回列表 返回顶部