仿气腹25孔3单端腔镜训练箱训练用单针/双针带线【出售】-->外科训练模块总目录
「训练教具器械汇总」管理员微信/QQ12087382[问题反馈]
开启左侧

耳鼻咽喉-头颈外科「图解」206-149-全身性疾病的耳部表现

[复制链接]
发表于 2017-12-28 20:21:25 | 显示全部楼层 |阅读模式

马上注册,结交更多好友,享用更多功能,让你轻松玩转社区。

您需要 登录 才可以下载或查看,没有账号?注册

×
1.jpg
图-1. 一名32岁女性患有多种嗜酸性肉芽肿。 颅骨的两个溶解性病变显示出斜角(箭头)和非硬化边缘,这是这种疾病的典型特征。

2.jpg
图-2. 单发嗜酸性肉芽肿的13岁男孩乳突骨不规则溶解病灶(箭头)。

3.jpg
图-3. 典型的组织细胞增生症的肉芽组织可见于4岁男孩患有颞骨Letterer-Siwe病(×4)的乳突(M),中耳(ME)和岩尖(PA)的溶解性病变。

4.jpg
图-4. 图-3中显示的中耳区域的部分功率较高的视图。 浸润由组织细胞,嗜酸性粒细胞和多核细胞组成。 砧骨(箭头)已被部分吸收(×45)。

5.jpg
图-5. 外耳道嗜酸性肉芽肿伴有浆细胞(P),嗜酸性粒细胞和组织细胞(H),显示出“折叠”的细胞核,这是组织细胞瘤特有的形态(×640)。

6.jpg
图-6. 结核性肉芽组织充满了一名死于粟粒性肺结核的57岁男性的中耳(×12.35)。 FN,面神经; I,砧骨; M,锤骨; MA,乳突; TM,鼓膜。

7.jpg
图-7. 图-6中可以看到鼓膜(TM)的放大图。 TM是完整的,但由含有典型的上皮样,圆形和多核巨(G)细胞(×100)的结核肉芽组织严重增厚。

8.jpg
图-8. 韦格纳肉芽肿引起41岁男性咽鼓管阻塞(ET)和中耳浸润(ME)(×10)。 CO,耳蜗; EAC,外耳道; IAC,内耳道; TT,鼓膜张肌。 (Courtesy Leslie Michaels, MD, Institute of Laryngology and Otology, London, United Kingdom.)

9.jpg
图-9. 韦格纳肉芽肿肺活检标本。 A,小动脉显示坏死性血管炎,血管腔(L)和多形核白细胞渗透血管壁(弹性染色;×256)。 B,血管壁显示纤维蛋白沉积物(F),巨细胞(G)和肉芽肿(GR)(苏木精和伊红染色;×256)。

10.jpg
图-10. 双肺门淋巴结肿大和线性实质密度在56岁女性患有肺结节病。

11.jpg
图-11. 淋巴结标本中的结节病。 显示具有巨细胞(G),组织细胞(H)和淋巴细胞(L)的非干酪性肉芽肿(×79)。

12.jpg
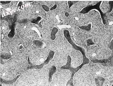
图-12. 后天梅毒患者的砧骨部分。活动骨膜骨炎(O)与骨膜受累(×120)。

13.jpg
图-13. 一个43岁的先天性梅毒患者的活性骨吸收面积。炎性浸润包括淋巴细胞、浆细胞和多核巨细胞(×396)。

14.jpg
图-14. 37岁男性糖尿病合并毛霉菌病。炎性细胞侵犯鼓膜张肌(TT),中脑鼓膜出血(EF)明显(×12.35)。EAC,外耳道,FN,面神经。

15.jpg
图-15. 一位足月男性婴儿的颞骨细胞学检查,其在出生后第一天死于播散性巨细胞包涵体病和坏死性小肠结肠炎。虽然右侧颞骨是正常的,但在左侧的前庭迷路内,在外侧半规管中有大量的巨细胞包涵体。在这种情况下,没有发现夹杂物在耳蜗两侧。

16.jpg
图-16. 冠状位CT扫描显示一个72岁的男性多发性骨髓瘤引起的斜坡(CL)、颞骨岩部、中耳和颈静脉孔区破坏性大的病变(箭头)。表现为面神经麻痹和耳漏。

17.jpg
图-17. 图-16中同一患者的冠状面计算机断层扫描与对比增强和软组织技术显示稍微增强的肿块已破坏乳突骨并延伸至后颅窝(PF)和上颈(UN)。

18.jpg
图-18. 多发性骨髓瘤患者69岁颞骨骨溶解性病变之一。 病灶显示尖锐的骨缘并由未成熟的浆细胞组成(×39.6)。

19.jpg
图-19. 一名9岁男孩患急性淋巴细胞白血病。 他去世前十天,病人报告耳痛。 耳镜检查显示充血鼓膜(TM)。 中耳的TM和粘膜浸润肿瘤细胞(T),中耳空间含有脓性渗出物(×12.35)。

20.jpg
图-20. 一名38岁男子急性骨髓性白血病。 白血病浸润(T)见于鼓膜(TM),中耳(ME)和岩尖的骨髓间隙(PA;×6.7)。

21.jpg
图-21. A,一名58岁男性死于非何杰金氏滤泡性淋巴瘤,52岁时被诊断为非霍奇金滤泡性淋巴瘤。他接受了放疗和化疗。 58岁时,他左耳突然发生全面听力损失,右耳快速进行性丧失,并出现眩晕。 听力测试显示左侧严重损失,右侧严重到极度损失。 出血性和淋巴浸润(HLI)在耳蜗外淋巴标本中明显。 B,外侧半规管外淋巴间隙的HLI。

22.jpg
图-22. 一名82岁女性转移性乳腺癌的轴向计算机断层扫描显示大型溶解病变(箭头)破坏乳突,鳞状细胞,耳囊和迷路。

23.jpg
图-23. 一名75岁女性的转移性乳腺癌涉及内耳道(IAC),岩尖(PA),外耳道(EAC)皮下组织,面神经管(FC),中耳( ME)和乳突(MA;×4.5)。

24.jpg
图-24. 佩吉特病患者的侧头颅X线片结果包括颅骨表增厚,多斑片状密度和扁平颅底

25.jpg
图-25. 对佩吉特病的75岁男性进行轴向计算机断层扫描。 颅骨台的扩散扩张和颞骨与斑片状脱矿质的参与是显而易见的。

26.jpg
图-26. 颞骨在70岁男性中的网状参与。 该顽固性骨侵犯了内耳道(IAC)的后缘(箭头)。 乳突很大程度上取代了骨质(×6.7)。

27.jpg
图-27. 成骨不全症患者颅骨的侧位X线片。 可以看到Wormian骨,特别是在后表。

28.jpg
图-28. 成骨不全症患者手臂的X线片。 明显的是病理性骨折,肱骨脱矿以及肘关节的严重异常。

29.jpg
图-29. 15岁女孩的成骨不全。成骨已取代耳软骨囊和骨膜层。锤骨颈部(M)也累及(×8.5)。

30.jpg
图-30. 涉及新生儿耳囊的成骨不全症。 软骨(EC)和骨膜(P)层已被细骨小梁替代,纤维组织和血管间隙增加。 内膜层(ED)正常(×60)。

31.jpg
图-31. 纤维性发育异常患者颅骨的侧位X线片显示疾病的溶解性(L)和纤维性(F)阶段。 新骨的骨刺造成纤维相的毛玻璃外观。

32.jpg
图-32. 患有纤维发育不良的患者的冠状断层X光片。 新骨形成导致所涉及的左颞骨的致密外观。

33.jpg
图-33. 纤维发育不良。 纤维血管基质中编织骨的不规则排列的骨针呈现轮状图案(×64)。

34.jpg
图-34. 15个月大男孩颞骨隐性骨硬化症。耳蜗和镫骨内软骨层由钙化软骨(×12.3)组成。

35.jpg
图-35. 图-34所示颞骨的放大倍数更高。 软骨内骨的钙化软骨(CC)表现为密集染色,呈圆形至卵圆形(×396)。

36.jpg
图-36. 一名30岁男性的骨硬化症表现为鼓膜(M)和砧骨(I)堵塞,鼓膜周围密生层状骨的过度生长。 面神经管(FC)变窄(×9)。 A,窦; LSCC,外侧半规管。

37.jpg
图-37. 图-36所示患者的圆窗龛(RWN)的骨膜闭塞。 流体在圆窗膜附近的小生境中很明显(RWM;×18)。

38.jpg
图-38. 亨特综合征在一个24岁的男子。 由于咽鼓管功能障碍,中耳包含渗出物(EF)。 粘膜下层(SM)增厚,后部中鼓室(PM)包含未吸收的间叶组织(×11)。
您需要登录后才可以回帖 登录 | 注册

本版积分规则

丁香叶与你快乐分享

微信公众号

管理员微信

服务时间:8:30-21:30

站长微信/QQ

← 微信/微信群

← QQ

Copyright © 2013-2025 丁香叶 Powered by dxye.com  手机版 
快速回复 返回列表 返回顶部