仿气腹25孔3单端腔镜训练箱训练用单针/双针带线【出售】-->外科训练模块总目录
「训练教具器械汇总」管理员微信/QQ12087382[问题反馈]
开启左侧

面部、头部和颈部整形外科解剖学解读:21-3 颅中窝

[复制链接]
发表于 2017-9-26 18:40:30 | 显示全部楼层 |阅读模式

马上注册,结交更多好友,享用更多功能,让你轻松玩转社区。

您需要 登录 才可以下载或查看,没有账号?注册

×
介绍

中部或中部的颅骨基部通常沿着前颅骨边缘的横线划分,其沿着前鞍边缘(鞍结节)横向延伸,其沿着蝶骨的两侧的小翼的后缘横向延伸,并且包括内侧前缘亚型过程。中间颅底的后缘由背脊和侧脊由中脊形成。颅底的外观,从上方观察,通过开放的颅盖,自然将颅骨分为三个经典解剖部门。颅底的解剖学边界与提出的颅内空间的边界重合,产生前,中,后颅窝。这种典型的方法没有考虑到当前高级交叉成像时代的中颅骨基础的实际重要的三维(3D)连接或复杂的手术和放射治疗方法的可用性。

中颅底的三维解剖学应包括眼眶顶端和视神经管的不明显解剖区域,包括视神经通向视神经前方,上眼眶,翼腭窝和蝶鞍的视神经。另外,包括垂体腺和脊柱,海绵窦,颈内动脉,颅神经,Meckel腔,区域性颅底孔,蝶窦,气孔,岩尖、岩枕压力、破裂孔和部分鼻咽部也应纳入中颅底部的一部分。这个区域可以被概念化为具有大致球形的形状,上极的视交叉,下极的鼻咽,前极的翼腭窝,以及在后极的外侧和前脑池的卵圆孔。在向中间颅底提供3D结构时,可以对解剖结构进行划分,从而有助于根据特定地点内部结构的知识来预测病理学。另外,它揭示了复杂的解剖连接,有助于评估各种空间疾病过程的起源和扩散。中颅底外侧,主要由蝶骨大翼构成,形成了中颅窝的板,里面的大脑颞叶。

球形中心:蝶骨和蝶窦

蝶骨具有一个二分体,并且由两侧的较大和较小的翼部以及具有内侧和外侧翼状板的较低的翼过程构成。该蝶体内含有蝶鞍上方和下方的蝶窦。其后,形成了由颅骨的枕大孔向上至背鞍的前后面,加入后从枕骨在蝶枕软骨。蝶枕软骨分离的基蝶骨枕骨基底部(图3.1)。脊索瘤可以由软骨附近的脊索残留物引起,并且血管化骨髓的存在易于使病变如骨髓瘤和转移。蝶骨的较小的翼形成前颅底的后边缘 - 包围视神经管。蝶骨的较大翼形成中颅窝。上级的轨道断裂位于蝶骨的较小翼之间,并且被视神经支柱分开的蝶骨的较大的翼部,一个从小翼的前部分离过程突出到蝶形体的小骨桥。使用薄片和骨骼算法进行高分辨率计算机断层扫描(CT)扫描,最好研究蝶骨,蝶窦​​和相邻骨头,管道和孔的相关关系的骨架构造(图3.2,图3.3)。

1.jpg
图. 3.1 蝶骨的上,前,外侧视图和中央颅底的骨质基部的三维图示。 轮廓的球形区域表示中央颅底区域,并且包括包括垂体的相邻颅内结构和包括鼻咽的颈部的外部结构。

蝶窦气化程度(或缺乏)被分类为甲的、鞍前、鞍。中鼻甲形态、蝶骨就是固体,无曝气蝶窦发育。与鞍前气动化、蝶窦气动化但不向后延伸到鞍前的冠状层面。随着气动化蝶窦鞍,向后延伸下于蝶鞍可延伸到后斜坡边缘。前壁和板蝶在后面亚型较薄,厚度小于一毫米的测量。蝶窦气化可以延伸到选择IC支撑和前床突,导致与视神经管、眶上压力边界细化。通过蝶骨体和圆孔的翼管通道,沿蝶窦顶外侧,密切相关的离子位于蝶窦。蝶窦位于颈内动脉(ICAS)和海绵窦。位于蝶窦侧壁颅内侧的浅槽上。双方的代表变量之间的颈动脉的距离使垂体手术风险更大。蝶窦分隔也有很大的差别。虽然它通常是单一的,分隔可多有间隔偏差变横向插入附近的颈动脉。续传播病理,骨质破坏,并应在手术期间到相邻的关键结构的医源性损伤的潜在地估计蝶窦术前影像学评价中。

2-1.jpg
2-2.jpg
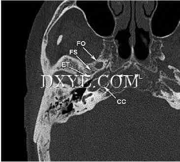
图. 3.2 轴位计算机断层扫描(CT)解剖(a - g)。轴向,平扫CT图像通过颅底,上下。(a)蝶鞍的后外侧缘由后床突标记(PC),前床突(AC)沿外侧蝶是较小的蝶骨翼相邻骨投影(LWS)。介质 -前床突是视神经管(ONC)将视神经和眼动脉。蝶骨平面(PS)是一个水平段骨前形成的屋顶部分蝶窦鞍。(b)为轴位图像向下移动,眶上压力(SOF)更为显著。视神经管(ONC)是蝶窦密切相关(SS)内侧、前床突骨质支撑(AC)横向。(c)蝶鞍后纵缘为背鞍(DS)。在这个层面上,有连续的软组织密度颅中窝之间(具体来说,海绵窦和眶尖部)通过眶上压力。SOF将眼静脉;三叉神经的V1段;和颅神经III,IV,VI。请注意蝶骨大翼(GWS)。(d)在本例中,蝶窦有一个矢状窦中隔。自然是确定蝶窦口对鼻中隔两侧,黏液排到后鼻道。眶上压力(SOF)指出(箭头)。(e)在这个层面上,岩尖(PA)可以被看作是一个金字塔形,颞骨的内侧延伸。在岩尖上内侧缘是一个浅凹,三叉神经的印象(TI)。颈动脉管的内侧开口可见薄皮质骨与蝶窦分离。圆孔(FR)进入翼腭窝上隐窝打开(PPF)。(f)的破裂孔(FL)是一个三角形的形状,斜坡及岩尖之间的软骨水平层。咽鼓管(ET)正好侧的颈动脉管,延伸的侧调谐和上下。卵圆孔(FO)和棘孔(FS)在蝶窦外侧骨。翼管(VC)包含翼管神经,从一个点附近的破裂孔向翼腭窝(PPF)。PPF与咀嚼肌间隙横向通过翼上颌压力(PMF,椭圆形)和内侧通过蝶腭孔(SPF,小的椭圆形)与鼻腔。眶下神经通过PPF为眶压(IOF)在脸颊的方式。(G)在这个层面上,软组织形成鼻咽顶开始出现斜坡腹。请注意,这些软组织直接相邻的区域的咽鼓管和破裂孔。

3.jpg
3-2.jpg
图.3.3 冠状计算机断层扫描(CT)解剖,前后(a - h)。冠状面CT平扫图像通过颅底中央部。(a)冠状位图像通过眶尖翼突的水平(PP)显示翼腭窝和眶尖之间的关系。(b)翼腭窝(PPF)含有脂肪、上颌动脉的远端分支、静脉、翼腭神经节,其连接。PPF与眶压连续(IOF),最终,眶尖。(C)近先端,眶顶是由较小的蝶骨翼形成(LWS)。内侧(MPP)和横向(LPP)翼板项目向后从翼突(PP)。(D)的顶点附近,有一个倾斜的上外侧压力,眶上压力(SOF),将眼静脉;三叉神经的V1段;和颅神经III,IV,和VI.(E)的圆孔(FR)进入翼腭窝上隐窝打开(PPF)。在冠状面上的圆孔,看到上外侧的翼管(VC)。(f)冠状位图像通过蝶窦演示前床突的关系(AC)和视神经管(ONC)。蝶窦的顶和被称为蝶骨平台(PS)。视神经支架是视神经管外侧缘的一个薄骨桥。在这个层面上,圆孔进入颅中窝为V2走向的海绵窦外侧壁。(G)冠状位图像通过蝶窦显示卵圆孔(FO)横向,将V3为咀嚼肌间隙和更差的定义破裂孔(FL)内侧。(h)蝶鞍后侧面的冠状像。后床突过程(PC)可以被视为双边上外侧突起。蝶鞍后壁为背鞍(DS)。在斜坡上一半是从蝶骨形成称为基蝶骨(BS)。

颅内结构优于球体中心

蝶鞍点和鞍上区

蝶鞍点(蝶鞍)是一个马鞍形凹陷的蝶骨体。车座的座支持垂体称为垂体窝(图。3.4)。其前缘和后缘的蝶鞍,是鞍背、后床突过程与上外侧两边。连续的鞍背后方的斜坡。视交叉沟位于前蝶鞍和选择管内侧。蝶骨平面,前颅窝的一部分,是在前面的鞍结节和视交叉沟。中间过程小翅膀蝶鞍的两侧形成前床突的过程。脑垂体窝有一个很好的皮肤,不到1毫米厚的骨壁称为硬板。鞍膈稍差,凸,薄双倍覆盖鞍上和穿孔分集会由垂体柄。垂体柄通过脑脊液(CSF)为鞍上池对下丘脑的方式。鞍上池也有选择Willis交叉和圆。大鞍内及鞍上病变,包括垂体腺瘤和颅咽管瘤可压迫视交叉。

海绵窦

4.jpg
图. 3.4 矢状面图通过中央颅底骨性解剖展示蝶鞍(ST)。蝶鞍的前壁非常薄,将蝶鞍与蝶窦分开(SPH)。斜坡是由基蝶骨形成(BS)上方和下方枕骨基底部(BO)。

海绵窦硬脑膜静脉窦位于蝶鞍两侧的海绵间窦相连,由多个支流,包括眼窝的眼上静脉、蝶顶窦看到沿颅中窝前部,在中脑周围池引流对Galen静脉看到Rosenthal基底静脉、翼静脉丛的间隙,和基底静脉丛附近的rous瓣尖。他们排在岩上窦到乙状窦,经下凹陷窦颈内静脉。在颈动脉海绵窦瘘、静脉通道可能充满高压动脉流量和出现放大的磁共振成像(MRI)和CT扫描图像。

海绵窦有透明壁。海绵窦的内侧壁由上鞍部分组成,单层薄层硬膜膜将其与脑垂体外侧缘分开,并附着于颈动脉沟的较低、较厚的部分。肿瘤去除离子对海绵窦下内侧静脉间的海绵ICA在冠状位MRI扫描(称为颈动脉海绵窦静脉室沟)已被证明有95%的阳性预测值(PPV)为侵袭海绵窦的垂体腺瘤。外围包裹的颈内动脉海绵窦段67%或更多(100% PPV)和肿瘤扩散到加入的海绵和多孔的 ICAS外侧壁的边界(85% PPV),在冠状位MRI观察,都显示海绵窦侵袭。如果对海绵窦内ICA周边壳层的百分比小于25%,或如果腺瘤侵袭不超越的多孔的和多孔的 ICAS相邻的内侧壁,然后侵袭海绵窦可以排除与阴性预测值为100%。

形成颞叶内侧缘,在海绵窦外侧壁由双层薄的外脑膜层和较厚的内硬膜层,从区域眶上压力和前床突前方rous瓣尖向后。动眼神经(颅神经III,或CN III),滑车神经(CN IV),以及三叉神经眼段(CN V1)包含侧壁层内,和唯一的真正海绵体神经,即外展神经(CN VI),位于海绵窦本身,连同颈内动脉海绵窦段(图。3.5)。下方、内侧和外侧壁富Se沿蝶骨体侧缘。需要注意的是,这种融合发生只是比上颌神经(三叉神经的有趣,二师CN,CN V2 V2)和下颌神经(三叉神经的T,第三师CN V3)不是海绵窦的一部分,即使他们是由相邻的硬脑膜接触。

海绵窦的岩下窦相邻(依次流经接收压力为颈内静脉)后方。海绵窦的后壁从鞍背侧缘至Meckel腔内方面延伸。这是刚下的岩尖,其中外展神经(CN VI)在蝶韧带的穿行,穿过Dorello管,进入海绵窦的后壁,并在海绵窦海绵ICA外侧的物质(图看到。3.6)。岩尖炎可导致格拉代尼戈综合征与CN VI麻痹(从Dorello的受累导致)三叉神经分布的疼痛炎症蔓延到邻近Meckel腔、三叉神经节所在的地方。

5.jpg
图. 3.5 后视图通过海绵窦。海绵状颈内动脉的中心位置被注意到。颅神经VI,外展,是唯一真正有海绵体神经。从上到下,动眼神经,滑车神经,上颌神经和眼,看到在海绵窦的外侧缘。外侧壁分为两层:外脑膜层和内硬膜层。内硬膜层笼罩动眼神经、滑车神经、眼神经。

6.jpg
图. 3.6 对颅神经(CN VI),外展神经,进入海绵窦的后壁,在岩蝶韧带,通过Dorello管,并进入海绵窦,海绵窦颈内动脉外侧的。

海绵窦的矩形前壁向眶压前床突下视柱延伸,其下缘形成圆孔进行CN V2的上端。海绵窦的屋顶延伸从视杆和眶压在岩尖和边缘的幕后。它与鞍膈内侧相邻,是由前岩床皱襞从海绵窦外侧壁的横向分开。前岩床皱襞是索状增厚的硬脑膜延伸至前床突向小脑幕缘向前向后。后鞍突状褶皱是从后床突向小脑幕缘延伸的独立折叠,而床突间褶皱为薄带硬脑膜延伸至前床突的后床突。这三倍的解剖的重要性在于,它们形成了一个具有里程碑意义的三角形在海绵窦顶动眼神经三角(图3.7)。CN III 穿动眼神经三角从上方通过一个短的动眼神经池进入附近的前床突的海绵窦外侧壁内的双层。CN IV 进入动眼神经三角的后外侧,只是对动眼神经后。

颈内动脉

ICAs是中间颅底密切相关的重要结构,除近端和远端通信段颈。广泛使用在Bouth illier系统分为七段ICA血流数值范围上方向根据详细了解周围的解剖室通过它传播(图。3.8),包括以下段从其起源于颈部,其终止在威利斯的圈:颈椎(C1)、岩的(C2),破裂孔(C3)、多孔的(C4),床(C5)、眼(C6),和通信(C7)段。ICA的颈椎C1段没有分支结构,进入颈动脉管在颅底,和旅行内侧颈动脉管在岩C2段,在其最坚实的后内侧和外侧及下壁相对较薄的骨包围,与顶被硬脑膜。颈内动脉岩骨段的小枝鼓皮似的颈动脉,进入中耳,偶尔翼管动脉通常来自上颌动脉,依次是颈外动脉的分支。颈动脉端内侧部分是纤维软骨组织包围的破裂孔软骨相连,而ICA通过C3段的破裂。破裂孔不在一个单一的骨;相反,它实际上是一个填充间隙从基蝶骨和枕骨基底部内侧向后分离岩尖。咽升动脉穿过软骨填充孔脑膜支。然后转上ICA对海绵窦的方法,在纤维带称为舌后韧带传递(从岩尖的蝶体颈动脉沟小舌),之后海绵C4段开始。petroshenoid韧带或Gruber韧带(延伸从宠物劳斯顶点后床突)位于优越的petrolingual韧带和外展神经(CN VI)位于外侧,平行于海绵ICA在petroshenoid韧带水平部分。

7.jpg
图. 3.7 第三颅神经,动眼神经,穿过海绵窦左侧的顶。硬脑膜边缘加厚形式三个方面:前岩床皱襞(APCF),折叠后的岩床突(PPcF),和床突间(ICF)折叠;这些褶皱形成动眼神经三角。

海绵C4段穿行上然后用海绵窦前沿水平的进程。海绵窦的水平口位于蝶窦侧面的一个浅沟,称为颈动脉沟。在这个位置的骨开裂使ICA项目进入蝶窦,可能构成的风险在内镜贯穿蝶窦手术。特征描述三地命名为海绵ICA的枝是下干的脑膜垂体干,,和包膜动脉。脑膜垂体干(背主动脉)出现在它的后膝外凸的中心海绵ICA,在初始上升段转向前方成为水平段,并细分为三血管:小脑幕动脉(Bernasconi和Cassinari动脉),脑膜背侧动脉,和垂体下动脉。这下干(侧主动脉或动脉海绵窦下)是由海绵ICA段本身和供应动脉小分支的多孔的颅神经和小脑的水平部分。该动脉是临床上重要的因为它与外部颈动脉动脉分支通过圆孔、卵圆孔、棘吻合。McConnell's包膜动脉来自海绵窦段ICA最上段和补给的垂体前叶和鞍膈下和外围方面。

ICA然后垂直附近的海绵窦前缘和持续至前床突,它通过两硬膜环,近侧硬膜环(形成海绵窦的顶前方),和远端硬膜环(代表EXT 自然的硬膜ICA)之间解剖边界。这个短的垂直段ICA内侧近端和远端硬膜环称为床突C5段之间的前床突,它没有命名的分支。不同强度的ICA动脉瘤,具有颈近端硬膜内段,如果它流血产生颈–海绵窦瘘,从一个在远端硬膜内段的颈上,它可以产生致命的蛛网膜下腔出血,是非常重要的。虽然硬膜环看不到我的衰老,Proxim Al硬脑膜环位置的离子可以通过知识的假设(1)形成容易识别我能选择IC支撑的内边缘,一个小小的骨连接的小蝶翼的前床突;及(2)将视神经管内侧和眶上外侧的压力。远端硬膜环,地势优越的近侧硬膜环,形成了外部和内部ICA之间的真实线,并且可以假设为在高分辨率冠状3D CT记录或3D T2 MRI上的CSF和海绵窦的交界处。

8.jpg
图. 3.8 用于颈内动脉的七段分类系统。 从近端到远端,这些包括(1)颈的(未显示),(2)岩的,(3)破裂孔,(4)海绵状,(5)鞍突状,(6)眼和(7)通信段。 除颈段外,其余均与中央颅底区密切相关。

在这之后,ICA续结进入硬膜内蛛网膜下腔-空间作为眼C6段,引起眼动脉和垂体上动脉向前突出后成蝶。终端通信C7段ICA在其分支的起源称为通信后动脉开始(PCOM)和中立型为大脑前动脉和大脑中动脉端。脉络膜前动脉来自交通段远端的PCOM的起源。

填充球体后部的结构

岩部尖和岩斜区

尖锥体倾斜的前内侧延伸颞骨,颞骨的棱锥体倾斜定向的前内侧延伸,必须被认为是中颅骨基础的三维配置的一部分。气顶三角气胀变化,骨骼线为60%,气胀33%,硬化7%(图3.9)。三角尖瓣可以与乳突或中耳腔直接连通,并为疾病传播提供直接途径。 5〜10%气胀不对称,非气腔的侧T1高信号骨髓脂肪在MRI中具有模拟病变的作用。气腔的孔顶点更容易出现顶端的非气腔的箭头,含有顶点到疾病过程如转移。临床上重要的Dorello管道,岩枕源和Meckel塌陷与顶点密切相关。 Dorello管是两层硬脑膜覆盖宠物瓣先端内面之间的小通道,它是融合后外侧蝶骨体后床突下。该通道传播外展神经(CN VI),和周围的岩下窦,而这又是与海绵窦前连续流入岩下窦。岩枕(PET roclival压力)压力是斜向软骨交界处的内下方颞骨岩部和外侧斜坡。岩枕(斜压)压力是斜向软骨交界处的内下方颞骨岩部和外侧斜坡。这软骨填充压力出现对CT扫描,但它可以密是颅底软骨肉瘤起源的经典端。

9.jpg
图. 3.9 轴位CT图像通过岩尖了的岩尖气腔变异。右边的岩尖是气化和演示空气密度(PApneu);对侧岩尖是非气腔和显示骨小梁骨密度(PAnon)。

Meckel's腔

Meckel腔是一种局部硬脑膜外翻岩蝶结在颅中窝后方。这空间的三叉神经(半月)神经节内的前下方面和三叉神经静脉段后方。立即Meckel腔后,三叉神经位于先端上一小下陷密切的关系,只是横向楔状的交界处,被称为三叉神经压迹。三叉神经然后进入颅后窝池段进入脑桥的根进入区。前,Meckel腔与反的海绵窦的后下侧壁方面只是侧靠近破裂或近端海绵窦段ICA,其中动脉开始跑上进入海绵窦。三叉神经的三个主要出现在Meckel腔。眼科部分(V1)运行前进入海绵窦外侧壁,而上颌部(V2)跑向前下方的海绵窦进入圆孔,与下颌部(V3)延伸下侧沿卵圆孔进入咀嚼肌间隙。

位于球体中心前面/下方的颅外结构

眶上裂和翼腭窝

眶尖部与中间颅底连续通过蝶骨小翼视神经管、眶压之间的较小和较大的翼和翼腭窝通过眶压。眼眶肿瘤视神经鞘脑膜瘤、炎性病变如眶尖假瘤,侵袭性真菌病和感染一样可以延伸到颅底,反之亦然。眶尖综合征可产生视力下降、眼肌麻痹和多发性颅神经病变而导致的连接与海绵窦、翼腭窝。眼上静脉血栓形成通常由面部三角区的感染引起,可导致海绵窦血栓形成。尽管经典假设,在面部和眼上静脉被认为促进中部地区海绵传播传染蔓延阀门的情况下,最近的尸体立体显微镜研究已经证明了这些静脉中的瓣膜。面静脉与海绵窦的一致性和血液流向在感染的传播中是非常重要的,而不是缺乏瓣膜。

鼻根管是视神经和眼动脉的通路,完全位于蝶骨小翼内。视杆(较小的翼下根),随着较小的蝶翼的前床突,它将视神经管和眶上外侧的压力连接。在视杆脂肪骨髓可能高T1 MRI信号可从前床突推断医学投影,从动眼神经等颅神经分离视神经。蝶骨体的前外侧形成视神经管的内侧边界,一个细骨桥称为小翅的上牙根。在视神经鞘内,眼动脉位于外侧视神经。它随后离开硬脑膜,从视神经外侧到内侧穿过视神经,在视网膜周围绕神经时产生视网膜中央动脉。睫状神经节位于眼动脉外侧的视神经与外侧直肌之间的后眶。

眶上压力(SOF)是一个斜的差距较小的蝶上内侧翼蝶骨大翼下侧(图。3.10)。它通过海绵窦连接眼眶和中颅窝。它是由Zinn环,坚韧的纤维膜环在眶尖,在内侧肌肉圆锥内室(含CN CN III,VI,和鼻睫神经)和侧冠外室(含CN IV,额神经、泪腺神经,及眼上静脉)。眼外肌是由Zinn环,除下斜肌,起源于前下眶缘。除了内侧SOF室,环也围绕视神经管,因此视神经和眼动脉眶内结构成为内分泌结构。

眶内内侧,较宽,直接位于前至海绵窦,并含有动眼神经(CN III),随即分为上级部门(供应上直肌和提上睑肌)和下分(供内直肌、下直肌和下斜肌,)。内侧还包含外展神经(CN VI供应外直肌)立即躺在外侧的CN III上的划分和鼻睫神经进一步上升。需要注意的是,鼻睫神经是三叉神经的感觉眼分三支(CN V1)分支在远端海绵窦进入眼窝之前。

其他的两支眼科CN V1,即额神经、泪腺神经,躺在小冠外侧面的SOF下方和上外侧分别向下。滑车神经(CN IV供应上斜肌)进入眼窝的内外侧,室外的Zinn环和位于上方的额神经和泪腺神经内下方。上部眼科静脉位于外侧SOF隔室中的神经的另一侧。

10.jpg
图. 3.10 眶尖。上、下、内、外直肌收敛和向后和附加到一个致密的纤维环,Zinn腱环。该环围绕视神经管道和上述眼窝下降的下垂面。视神经管包括视神经和眼动脉。动眼神经(CN III)进入内侧眶压和分为上、下分离。鼻睫神经和外展神经(CN VI)也进入内侧间室。横向上,眶上压有滑车神经(CN IV),泪腺神经、额神经和眼上静脉(SOV)。

眶下间隙位于压力是一个斜的板和眶外侧壁之间(大翼蝶)。它与翼腭窝和肥大的空间,包括眶下神经、颧神经(三叉神经的上颌部CN V2分支),眼上静脉处,或导静脉的下眼静脉、翼丛之间。

翼腭窝(PPF)是一种脂填充空间的上颌窦之间的前方和后方的蝶骨翼突。中间,它是由腭骨垂直板端口离子结合部分(图。3.11)。PPF包含小的翼腭神经节在其内侧,上颌神经(V2)通过圆孔进入,与上颌动脉的远端进入经翼上颌压力。很难在PPF从神经和血管神经节分化,即使在高分辨率CT / MRI。虽然它很小,PPF与中颅底、轨道、口感的重要连接,和鼻腔可作为浸润或神经肿瘤及感染蔓延的交界区。

咀嚼肌间隙

翼上颌压力侧开口PPF为鼻咽咀嚼肌间隙(颞下窝)。蝶腭孔是其黏膜覆盖内侧开放到鼻子上鼻道通过间隙的内侧边界由腭骨形成。在这一地区出现的鼻咽血管瘤。PPF与SOF上沟通。眶压是前开口进入轨道,将眶下神经(CN V2延续分支)和动脉。圆孔是通路沿颅上颌神经(CN V2)进入PPF后移动下面的海绵窦外侧壁硬膜。管道可以很容易地识别在轴向CT和MRI结合PPF颅中窝和海绵窦外侧壁,在冠状面成像优于偶尔气腔的蝶窦外侧隐窝。翼管是一个通道,穿过蝶骨连接PPF的破裂孔身上,这又是前内下方的软骨层的水平ICA管道位于蝶骨和颞骨之间。在冠状面、翼管内下方可见圆孔与偶尔的气腔蝶窦外侧隐窝之间。翼腭管是常见的下管领导从PPF和携带腭神经,最终分为前腭大孔和后腭孔在硬腭。

咀嚼肌间隙,含咀嚼肌,是为中颅底有相关经历(1)在蝶骨大翼孔(如卵圆孔发射下颌支三叉神经,CN V3);(2)岩小神经、上颌动脉、脑膜副支导静脉;和(3)小棘孔后外侧,只是它(发射脑膜中动脉、静脉和CN V3脑膜支)。这些孔很容易确定CT图像上只是前水平岩颈动脉管。如已在此,咀嚼肌间隙是通过翼上颌压力与PPF连接。这些连接允许神经肿瘤扩散中颅底。积极的咀嚼肌间隙病变也侵蚀骨延长的疗效。颈深筋膜的浅表层分割包围这个空间,并向下延伸到在翼内肌和咬肌附着在下颌骨和上外侧紧靠颅底,与卵圆孔、棘孔包括在这个空间。上外侧,咀嚼肌间隙沿颅骨外表面到颞肌。

11.jpg
图. 3.11 翼腭窝(PPF)。鼻腔外侧壁的后部已被切开,暴露蝶腭孔、翼腭窝。翼腭神经节(PPG)有多个神经连接。上颌神经(V2)横贯PPF上方。翼管神经(VN)是通过神经节到翼管。腭大神经和腭小神经(Pn) 进入腭管,进入腭粘膜下层。

鼻咽

鼻咽部紧邻下到基蝶骨斜坡的中间颅底区是评价连续性颅内肿瘤或侵袭性感染的重要地区(图。3.12)。它从后鼻窦延伸到后方的咽后和前椎间隙,咽旁间隙横向延伸。前下,软腭分离与软腭的鼻咽及前下方考虑部分口咽部分后侧口咽。这个分离的软腭后部是武断的,用一个假想的水平线沿C1前弓的硬腭或上边缘或经寰枢关节。

12.jpg
图. 3.12 鼻粘膜下鼻咽部图解。上缩肌(SCM)在环节对颅底经咽颅底筋膜(PBF)。咽鼓管(ET)通过在PBF的缺陷称为颈动脉窦。腭帆张肌(TVP)肌肉是引起软骨咽鼓管和向下延伸至软腭的外侧缘。

中间的内脏或咽颈深筋膜的黏膜层包围咽;因此,口咽和鼻咽统称为内脏间隙或咽粘膜间隙(PMS)。鼻咽粘膜超社会由PMS的上皮细胞可以引起鼻咽鳞状细胞癌。粘膜下层含有淋巴组织、附件唾液腺细胞脊索的残余,可引起良性和恶性病变如淋巴瘤、唾液腺肿瘤、脊索瘤。鼻咽扁桃体被称为腺样体;他们位于鼻咽中线顶通常是突出的孩子。

枕骨的咽结节提供后附着于中线咽缝和配对上缩肌肉的咽上缩肌;然而,任一侧的优势收缩肌向前倾斜到内侧翼状板的下部。这暴露了肌肉和颅骨之间的差距,这是由咽颅底筋膜、腱膜周围艰难的咽和环节对颅底。咽颅底筋膜在环节前下向内侧翼板和延伸上至颅底。它的LLS肌肉和颅底的差距从后方,附着在蝶骨体、岩部尖、破裂孔,和更多的后方加工枕咽结节、椎前肌。因此,破裂孔位于该筋膜颅底卵圆孔的依恋,而看到这筋膜外侧。咽鼓管、腭帆提肌通过后外侧缺损的咽颅底筋膜称为息肉窦进入鼻咽。保护离子从鼻咽肿瘤扩散中颅底和反之亦然的艰难的咽颅底筋膜是其在附件的窦,在破裂孔,即使前软骨关闭孔。

腭帆张肌和腭帆提肌位于鼻咽。咽鼓管是软骨咽鼓管突出的内侧端,连同腭帆提肌和上覆粘膜呈脊状的保护融合到鼻咽。咽鼓管黏膜隐窝或是在咽鼓管圆枕前。对Rosenmüller咽侧隐窝或黏膜隐窝窝是另一处的咽鼓管圆枕上。对Rosenmüller窝是鼻咽癌重要来源端出现在轴位图像和优越的冠状位图像由于咽鼓管的配置是咽鼓管或后。

咽鼓管连接到鼻咽中耳(图3.13)。后外侧骨部开始在鼓室前壁和穿行前导对鼻咽和正好在远侧的突出标志近岩颈动脉管在轴向CT扫描图像。该管的骨性部分继续在蝶岩槽的软骨部,这是蝶骨和颞骨岩部前缘大翼后缘之间的差距。软骨端口离子可以被视为一个软组织密度后卵圆孔、棘孔轴向CT扫描并持续到鼻咽部的描述已经。在鼻咽部肿块性病变,尤其是那些在Rosenmüller窝,可压迫咽鼓管开放,导致中耳和乳突的发展。这是极为重要的评估任何鼻咽病变单侧中耳或乳突予以是当确定在大脑或鼻窦CT扫描。

13.jpg
图. 3.13 轴位CT图像通过颅底各孔之间的关系表明,显示,沿中央颅底区域外侧缘管。颈内动脉通过倾斜通过颈动脉管(CC)和出口管上方软骨填充缺口,破裂孔(FL)。咽鼓管(ET)由骨和软骨段和通过内侧下方与中耳与鼻咽。注意咽鼓管之间的亲密关系,颈动脉管和棘孔(FS)。

咽后间隙(RPS)位于咽,立即向中后(脏器)颈深筋膜和前到深层(椎前)颈深筋膜层。鼻咽部RPS从颅底向上延伸,从颅底延伸至胸腔胸部的细横水平面筋膜将空间分成前一个真正的RPS和后危险空间。在C6和T4水平之间,与前中鼻翼筋膜融合(脏器)在真正的RPS下程度的颈深筋膜和终止层;然而,后继续向下危险空间为颅底感染蔓延到后纵隔的潜在来源。RPS端口正常脂肪和咽后淋巴结,特别是横向。咽后淋巴结(RPLNs)分为横向组位于椎前筋膜在上颈椎横突的水平和更普遍参与的特别是从鼻咽、口咽、下咽鳞状细胞癌病理、鼻腔和不一致的小内侧组。值得注意的是,只有那些结躺在内侧的ICA和颅底2厘米内的分类为基础的分类对成像RPLN。如果淋巴结位于颅底2厘米处前,侧,或后于颈动脉鞘,它分为二级节点。下一层2厘米以下的颅底节点不叫RPLN。

椎前间隙(PVS),直接位于的RPS后,周围是深(椎)颈深筋膜层。在舌骨上颈,PVS含有椎前肌肉颈长肌和头,椎体、椎间盘、脊髓、椎动脉、膈神经。具体来说,在鼻咽水平大长,头越小,腹直肌前头的背后是处于在这个位置的肌肉。从前面的RPS和侧颈动脉间隙病变的PVS病变的鉴别是有时还会有挑战性的,特别是如果病灶大。成像的有用提示包括PVS脓肿升高椎间肌的事实,而RPS脓肿不。同样,对邻近椎体前部骨侵蚀有PVS肿瘤像横纹肌肉瘤,而沿着脊椎的侧面侵蚀有颈动脉间隙肿瘤如神经母细胞瘤。

参考:Anatomy for Plastic Surgery of the Face, Head and Neck
您需要登录后才可以回帖 登录 | 注册

本版积分规则

丁香叶与你快乐分享

微信公众号

管理员微信

服务时间:8:30-21:30

站长微信/QQ

← 微信/微信群

← QQ

Copyright © 2013-2025 丁香叶 Powered by dxye.com  手机版 
快速回复 返回列表 返回顶部