门户
Portal
论坛
BBS
导读
Guide
订阅
...
快捷导航
|
文章文献
交流大厅
求助反馈
资源下载
VIP专区
名家教授
国外大厅
医学在线
医学影像
医学考试
资源下载
影像辅助
名家教授
医学考试
国外大厅
医学视频
交流大厅
求助反馈
事务规则
账号
自动登录
找回密码
密码
登录
注册
注册
邀请码
新手必读
找回密码
丁香叶
»
论坛
›
下载在线
›
资源下载
›
上消化道内镜检查
仿气腹25孔3单端腔镜训练箱
训练用单针/双针带线【出售】-->
外科训练模块总目录
「训练教具器械汇总」
管理员微信/QQ12087382[问题反馈]
广播台
经阴道子宫切除术 手术视频 会员免费下载
腹腔镜解剖腹股沟疝 手术视频 回贴就可下载
腹腔镜前列腺癌根治术:腹膜外入路(图文演
外阴阴道检查 美容外科手术 讨论 10MB
图解外科手术-从膜的解剖解读术式要点(第3
Nissen胃底折叠术后行腹腔镜Roux-en-Y胃旁
子宫切除术 - 全腹子宫切除术 - 逐步提示技
腹腔镜右半结肠切除术及体内吻合术治疗盲肠
疝和腹壁外科手术图谱(高清彩图版) 【人
[普外]
上消化道内镜检查
[复制链接]
发表于 2015-10-7 14:00:06
|
显示全部楼层
|
阅读模式
[加入VIP 获取全站资源]
//
[解压密码说明]
//
1元=100香叶
[点击此处赞助我们]
//
[点击此处=>
关注公众号获取更新推送]
购买主题
本主题需向作者支付
99 香叶
才能浏览
相关帖子
•
腹腔镜消化道穿孔修补术
•
消化道恶性肿瘤化学治疗-金懋林.pdf
•
消化道出血.pdf
•
上消化道病变内镜下切除术.wmv 344MB
•
藤城教授(上消化道早期肿瘤诊断与治疗).rar 118MB
•
下消化道病变内镜下切除术.wmv 297MB
•
消化道早癌诊疗相关
•
消化道重建
•
远端胃癌术后全腔镜下应用V-loc 改良的uncut Roux-en-y 消化道重建
•
胃消化道瘘后胃旁路腹腔镜方法
【链接失效?求助资源?有问题点此反馈】
|
【点击此处赞助我们】
|
【
点击此处联系管理员
】
回复
使用道具
举报
提升卡
置顶卡
沉默卡
喧嚣卡
变色卡
千斤顶
显身卡
楼主
|
发表于 2015-10-7 14:00:07
|
显示全部楼层
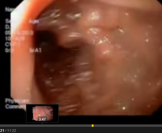
A rare cause of anemia and upper gastrointestinal bleeding due to blue rubber bleb nevus syndrome
登录/注册后可看大图
回复
支持
反对
使用道具
举报
显身卡
发表于 2015-10-16 01:16:25
|
显示全部楼层
继续学习 ,谢谢楼主的努力
回复
支持
反对
使用道具
举报
显身卡
返回列表
高级模式
B
Color
Image
Link
Quote
Code
Smilies
您需要登录后才可以回帖
登录
|
注册
本版积分规则
发表回复
回帖并转播
回帖后跳转到最后一页
发表新帖
楼主其他主题
肋上超声引导下经皮肾镜取石术(SUGA-PNL)与逆行肾内手术治疗大量孤立性上盏结石:一
71岁男性患者因右侧十二指肠旁疝导致小肠绞窄,经手术进行小肠切除吻合术:索马里首例
副胆囊被食管腺癌部分包裹:一例罕见病例报告
胆囊扭转发病第五天行腹腔镜手术治疗
金色视野:黄色增强技术在腹腔镜腹部手术和外科教育中的潜力
成功实施腹腔镜肿瘤细胞减灭术治疗一名年轻女性,该患者多次(三次)晚期复发的AGCT。
垂直褥式缝合
史前截肢手术的重大考古发现
意外遭遇:肝脓肿引流后,发现肾盂内有异物
Amyand疝伴睾丸回缩和阑尾正常:真的需要阑尾切除术吗?
热点推荐
Nissen胃底折叠术后行腹腔镜Roux-en-Y胃旁
腹腔镜右半结肠切除术及体内吻合术治疗盲肠
经肠系膜入路腹腔镜胰腺切除术
超越腹腔镜手术的极限——机器人胰腺次全切
ERCP 失败后,采用胆总管切开术和一期缝合
胆道系统、胰管、ODDI括约肌及相关外科问题
机器人腹腔镜辅助胆囊管结扎治疗Roux-en-Y
直肠癌手术中安全蒂部解剖的微创方法
机器人辅助胆囊切除术和非解剖性肝切除术
医学网
腹腔镜
医学视频
手术视频
医学电子书
文章文献
解剖
普外腔镜
骨外手外
医美整形
下载在线
资源下载
医学影像
妇科产科
泌尿外科
丁香叶与你快乐分享
微信公众号
管理员微信
服务时间:
8:30-21:30
站长微信/QQ
← 微信/微信群
← QQ
Copyright © 2013-2025
丁香叶
Powered by
dxye.com
手机版
快速回复
返回列表
返回顶部