

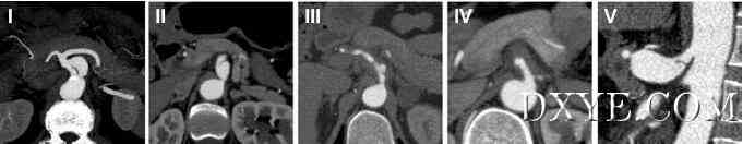
形态学发现和治疗的腹腔动脉(SIDCA)自发隔离夹层。在本回顾性研究中纳入2009年1月至2014年12月期间23例SIDCA患者。回顾了这些患者的人口统计学数据,临床特征,形态学结果,治疗方式和随访结果。我们提出了类似于肠系膜上动脉自发隔离解剖的SIDCA的形态学分类。 腹腔动脉自发性分离解剖形态学分类(SIDCA)。 I型,假腔同时进入和再入; II型,“死路”型假腔无再次进入; III型,具有溃疡样突起(ULP)的血栓性假腔; IV型,完全血栓形假腔,无ULP; 和V型,与解剖相关的动脉瘤发展。 保守治疗的IIIa型患者。 A,初始计算机断层扫描(CT); B,CT 6个月后; 和C,CT后12个月。 一个IIIb期患者血管内治疗。 A-C,解剖涉及腹腔干,脾动脉和肝动脉。 真腔几乎完全闭塞。 D和E,假腔消失,支架和分支在裸支架植入腹腔干和肝动脉。 结果在最初,11例患者接受血管内治疗,12例接受医疗治疗。四个医疗治疗患者的解剖出现加重,需要血管内抢救。所有患者均成功恢复。没有的患者出现腹痛,需要再次手术,或死亡。在医学治疗组中,假腔在4名患者中完全血栓形成并被吸收,部分血栓形成在2处。所有支架均获得专利,假腔完全血栓形成并在血管内组中被吸收。 该研究得出,SIDCA可以在稳定的患者中进行医学治疗,但需要密集随访。血管内治疗可应用于具有复发性症状,内脏灌注不足或动脉瘤的高危患者。如果血管内修复不合适或失败,应考虑开放手术。血管内管理的短期结果令人鼓舞,但需要进行长期随访的进一步评估。 |