

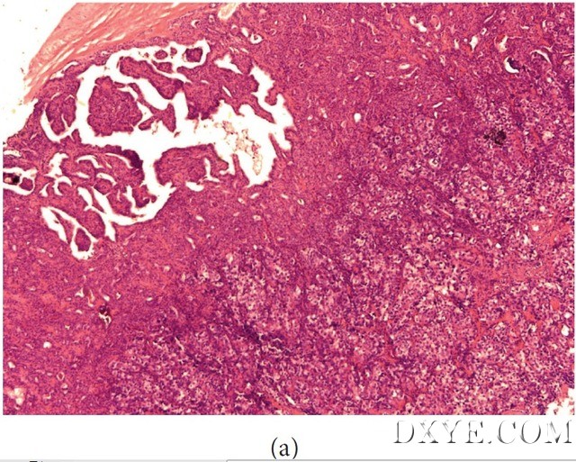
甲状腺是肿瘤转移的不常见部位,大部分甲状腺肿瘤是原发的。甲状腺转移性肿瘤的总体发生率为1.4%-3%。肿瘤转移至肿瘤则极为罕见,是指转移灶所在处是真正的肿瘤、客体肿瘤是转移而来。据我们所知,文献中仅有七例肺癌转移至甲状腺肿瘤的报道。 转移至甲状腺肿瘤的肺癌中,报道中最常见的是腺癌,其次是低分化癌和小细胞癌。最近,台湾马偕纪念医院的Shiuan-Li Wey和Kuo-Ming Chang在Case Reports in Pathology发表了一例肺小细胞癌转移至甲状腺滤泡性腺瘤、一例肺腺鳞癌转移至甲状腺乳头状癌的病例报道。下面为大家详细介绍。 病例情况 病例1,男,64岁,既往史无明显异常,出现颈部肿物、声嘶、易窒息。行双侧甲状腺细针穿刺,见大量单个或致密粘连的肿瘤细胞,考虑间变性癌。影像学检查见双侧甲状腺内数个结节性病变,不均质增强。行甲状腺癌根治术。 大体检查左侧甲状腺7.3×4×3.5cm,其间见一界清结节;右叶5.5×4×3cm,见数个结节。左叶中的界清结节大小为4.5×3.5×3cm,灰褐色、部分灰白。实性,质地均一,质软至稍硬。组织学检查左侧为滤泡性腺瘤,包膜厚薄不一,右侧为腺瘤样结节。 滤泡性腺瘤及腺瘤样结节内,多处突然出现形态学截然不同的区域,由核深染、胞质稀少、排列呈大片状及宽条带状的细胞构成(图1a、1b)。这些核深染的肿瘤细胞免疫组化阳性指标有syn、CgA、TTF-1、CK,阴性的有降钙素及甲状腺球蛋白(图1c、1d)。周围的非肿瘤性腺体未受肿瘤累及。 这些特点提示来自于肺的小细胞癌转移。术后CT见左肺上叶有一4.7cm肿瘤,伴纵隔淋巴结转移。行纵隔淋巴结活检,其中见大量转移性肿瘤细胞,细胞学及免疫组化与甲状腺内转移性小细胞癌一致。诊断为肺小细胞癌转移至甲状腺腺瘤及腺瘤样结节。
病例2,女,71岁,肺部肿瘤,活检诊断为腺鳞癌,行辅助化疗。3月后,PET-CT扫描见左下肺癌、甲状腺右叶有一高代谢区,高度可疑恶性。甲状腺右叶细针抽吸,细胞学见具有甲状腺乳头状癌特征的细胞成团排列。行甲状腺癌根治术及左肺叶切除术。 大体检查,左肺下叶肿瘤5.6×4.5×3cm,组织学检查为腺鳞癌。甲状腺右叶4.4×2.3×1.8cm,可见一处显著结节及数个小结节。显著结节组织学检查为甲状腺乳头状癌。该结节内有一病灶,突然移行为形态学显著不同的肿瘤,由核大、核仁显著、大量嗜酸性胞质的细胞构成,排列呈实性巢状、有少许腺样结构(图2a、2b)。 这些大的肿瘤细胞胞质黏蛋白卡红染色阳性,免疫组化染色TTF-1及NapsinA阳性,甲状腺球蛋白阴性(图2c、2d)。诊断为肺原发腺鳞癌内部分腺癌成分转移至甲状腺癌中。
讨论 甲状腺内血流快、氧饱和度高、富含碘,均抑制恶性细胞的生长,因此甲状腺转移性病变罕见。虽然如此,但仍有少数甲状腺转移性肿瘤发生,据报道其发生率占所有因可疑甲状腺癌而手术患者的1.4%-3%。转移的机制可能是淋巴管血管扩散、或由临近组织直接扩散。 甲状腺内最常见的转移性肿瘤是来自于肾、肺、胃肠道、乳腺者,肺癌位居第二位。肺癌的组织学类型中,腺癌是报道中最常见的,其次是鳞状细胞癌、大细胞癌、小细胞癌。 据Chung等人的报道,肿瘤转移至甲状腺时44.2%的发生于腺体异常(如肿瘤)或良性病变时。甲状腺异常时,血供可能下降,从而导致氧含量降低、碘含量降低,因此更易受转移性恶性病变的影响。 原发肿瘤转移至甲状腺肿瘤,即肿瘤转移至肿瘤,是极为罕见的,文献中仅约31例报道。肿瘤转移至肿瘤,是指转移灶所在处是真正的肿瘤、客体肿瘤是转移而来。转移至甲状腺肿瘤的最常见的原发肿瘤为肾细胞癌(10例),其次为肺癌(7例)、乳腺癌(5例)、结肠癌(3例)及其他。 包括本文两例在内,9例转移至甲状腺肿瘤的肺癌中,转移灶所在处5例为滤泡性腺瘤、3例为滤泡亚型乳头状癌、1例乳头状癌。转移而来的客体肿瘤4例为腺癌、2例为低分化癌、2例为小细胞癌、1例为腺鳞癌。 这些患者的平均年龄63岁(46-75岁),男女比例4:5。原发肿瘤及甲状腺肿瘤内转移灶的诊断有2例是同时、4例为非同时(间隔2个月至2年),3例为尸检确诊。本文中第一例是肺腺鳞癌转移至甲状腺乳头状癌、另一例是小细胞癌转移至甲状腺滤泡性腺瘤。 当在肿瘤内出现组织学形态显著不同、或患者此前有恶性病史时,应考虑肿瘤转移至肿瘤。术前鉴别诊断甲状腺原发肿瘤、还是转移性疾病,是有难度的,因为二者的影像学和临床表现类似。 此前有肺癌病史可能会有帮助,肿瘤细针抽吸细胞学检查可能也有用。不过,本文的两例由于缺乏临床病史及取样误差,均误诊为了甲状腺原发肿瘤。因此,肺癌转移的诊断是切除术后根据组织学检查及免疫组化而做出的。 甲状腺肿瘤免疫组化阳性的一般有甲状腺球蛋白、TTF-1。不过,大部分肺腺癌及小细胞癌也呈TTF-1阳性。鉴别诊断需更具特异性的标志物,如神经内分泌标记物及黏蛋白卡红染色。 分子检测及双探针“分离”荧光原位杂交(FISH)在鉴别甲状腺癌和肺癌中也有帮助。RET/PTC重排、BRAF突变、RAS突变常见于甲状腺癌,而EGFR突变及ALK重排多见于肺癌。 转移性病变的治疗取决于原发肿瘤的分期及分级、甲状腺病变的范围、患者的一般情况。对于甲状腺病变较小、且无其他部位转移的患者一般行甲状腺全切除术。这类患者的预后极好。对于播散性病变者,也可行姑息性手术以减缓压迫症状。手术范围取决于可否完全切除转移性肿瘤。 总之,肿瘤转移至甲状腺内的肿瘤是极为罕见的,对于甲状腺肿物患者、此前有恶性病史的患者应考虑到。具有甲状腺肿或肿瘤的异常甲状腺可能更易发生恶性病变的转移,因为氧含量及碘含量减少了。 转移至甲状腺肿瘤的肿瘤里面,肺癌位居第二位,文献中仅有七例报道。本文报道两例肺癌转移至甲状腺肿瘤。部分病例中,区分原发及转移很困难。仔细进行组织学检查,并行分子检测和免疫组化检查有助于鉴别诊断。 |