| 
一名39岁女性(身高:150.8 cm,体重:42.5 kg),无特殊病史,因在不孕症治疗期间发现40毫米黏膜下子宫肌瘤而入院接受切除术。
×
马上注册,结交更多好友,享用更多功能,让你轻松玩转社区。
您需要 登录 才可以下载或查看,没有账号?注册  
 该患者在腰麻联合全身麻醉下接受了宫腔镜子宫肌瘤切除术,切除位于子宫后壁的黏膜下肌瘤(国际妇产科联盟(FIGO)平滑肌瘤亚分类系统:2型)。患者被告知可进行两期手术。术中首先在L3/4水平注射3 mL 0.5%等比重布比卡因进行腰麻,10分钟内达到第10胸椎水平的镇痛效果。随后,使用靶控输注泵(Terumo,日本东京)持续静脉输注丙泊酚,血浆靶浓度达到3.0 μg/mL。术中通过面罩以6 L/min的速率吸氧。
 
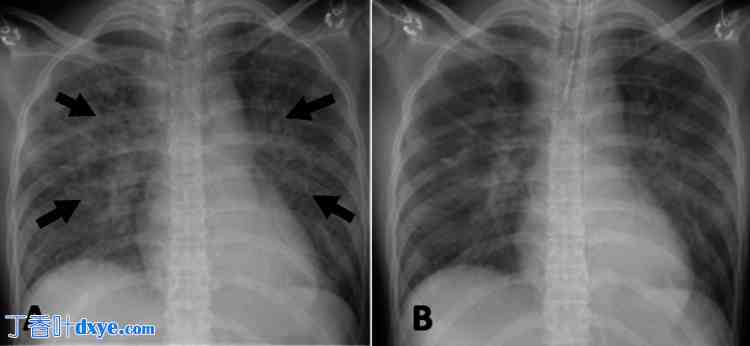
 图1. 术中胸片。
 
   (A) 气管插管前:可见肺水肿(箭头所示),可能是由于生理盐水过度吸收所致。(B) 气管插管后:应用呼气末正压通气后,肺水肿略有改善。
 
 止血成功后停止手术,此时净正液体平衡为+7,650 mL(总输入量:17,300 mL;经流出道和尿液输出量:9,650 mL)。由于出血量包含在冲洗液引流液中,因此出血量未知。经胸超声心动图检查排除急性心力衰竭。手术持续91分钟,总麻醉时间212分钟。静脉给药量为1050毫升。
 
 患者转入重症监护病房 (ICU),开始机械通气,PEEP 为8 cmH2O。静脉注射呋塞米促进利尿。患者的氧合状态和动脉血气值逐渐改善。12小时后安全拔管,并于当天转入普通病房。患者于术后第7天出院,无后遗症(图2),并计划进行分期手术。
 
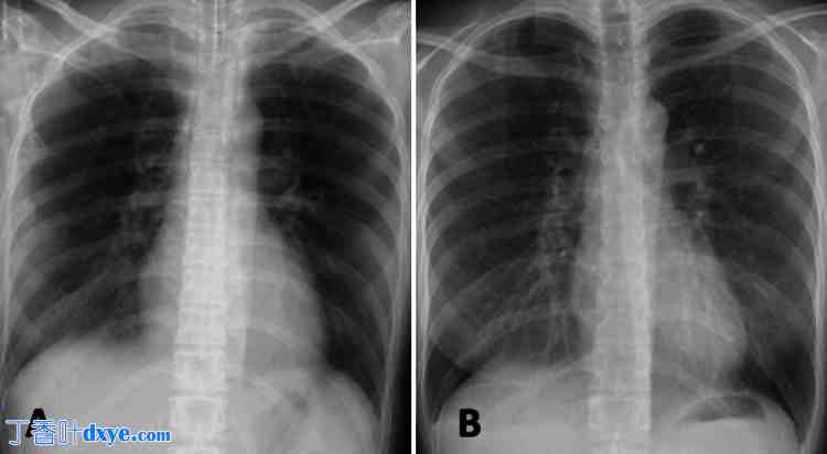
 图2. 术后胸片。
 
   (A) 术后第1天 (POD):经机械通气和利尿治疗后,肺水肿明显改善。 (B)POD 4:肺部检查结果几乎恢复正常。
 |