| 
一名40多岁女性,既往有高血压病史,曾三次阴道分娩,并在其他机构接受过两次宫腔镜子宫肌瘤切除术,于妇科门诊就诊。过去三年,月经量增多症状加重,导致血象图评估表 (PBAC) 评分达650分(PBAC评分>150分提示月经量大)。月经量大伴有频繁的血块脱落、痛经和腹部不适。
×
马上注册,结交更多好友,享用更多功能,让你轻松玩转社区。
您需要 登录 才可以下载或查看,没有账号?注册  
 尽管持续使用炔雌醇/左炔诺孕酮50微克/125微克,但月经量仍未减轻。经阴道超声检查发现三个子宫肌瘤,包括一个位于子宫后壁、大小为36×37×40毫米的FIGO 2型子宫肌瘤(图1),以及两个分别位于前壁和后壁、大小为11×19×21毫米和27×33×30毫米的FIGO 5型子宫肌瘤。
 
 图1. 经阴道超声检查显示治疗前的FIGO 2型子宫肌瘤。
 
   
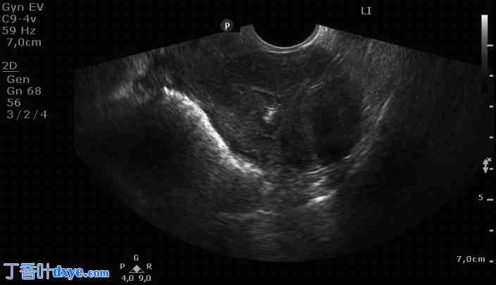
 术后三个月经阴道超声检查发现一个大小为23×36×32毫米的宫内子宫肌瘤(图2)。经宫颈消融术后,黏膜下子宫肌瘤显著缩小,并似乎已完全排出宫腔。由于既往宫腔镜检查时疼痛剧烈,选择在手术麻醉下进行诊断性宫腔镜检查,如果条件允许,可在同一次检查中立即进行宫腔镜治疗性切除子宫内肌瘤。宫腔镜检查结果显示,子宫肌瘤为FIGO 0型,呈萎缩性外观(图3)。
 
 图2. 经阴道超声显示,经Sonata系统治疗后,肌瘤缩小并排出宫腔。
 
   
 图3. 宫腔镜检查显示,肌瘤排出宫腔,呈萎缩性外观。
 
   
 图4. 经Sonata系统治疗后,经宫腔镜切除子宫肌瘤2个月后的经阴道超声检查。
 
   |