仿气腹25孔3单端腔镜训练箱训练用单针/双针带线【出售】-->外科训练模块总目录
「训练教具器械汇总」管理员微信/QQ12087382[问题反馈]
开启左侧

Littre疝气的手术治疗:Meckel憩室的罕见表现

[复制链接]
发表于 前天 16:00 | 显示全部楼层 |阅读模式

马上注册,结交更多好友,享用更多功能,让你轻松玩转社区。

您需要 登录 才可以下载或查看,没有账号?注册

×
患者随后的诊断性检查显示白细胞增多(20 G/l)和C反应蛋白 (CRP) 升高(260 mg/l)。腹部超声检查显示脐疝嵌顿,但腹腔内无游离液体征象。为了进一步了解情况,对患者进行了腹部计算机断层扫描 (CT) 扫描(图 1、2)。放射科医生的检查结果如下:“脐疝嵌顿,主要表现为腹膜前盲肠极疝出,伴有缺血征象和个别小气体形成,但无法确定其所属的管腔。”

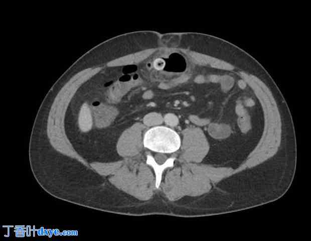
图 1. CT 扫描显示脐疝伴粪石和缺血征象。
1.jpg
轴向增强 CT 扫描显示脐疝,其中包含小肠袢和符合粪石(粪石)的圆形结构。周围脂肪条带提示炎症改变和缺血的早期征象。

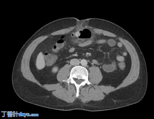
图 2. CT 扫描显示疝出内容物和炎症进展。
2.jpg
略微颅骨水平的轴向 CT 扫描显示疝出的腹膜前内容物进展,周围有脂肪条带和空气包裹体。腹壁缺损和嵌顿节段的位置清晰可见。

这排除了肠穿孔的间接或直接证据的可能性,从而确认了脐疝嵌顿伴缺血性肠内容物的诊断。疝内容物未被描述为Meckel憩室。

在签署书面知情同意书后,患者被转送至手术室。患者进行了诊断性腹腔镜检查。嵌顿疝清晰可见(图3)。由于疝内容物复位失败,且存在医源性肠道穿孔的潜在风险,患者通过小切口开腹手术进行了混合开放式修补术。手术结果显示存在Meckel憩室,经确诊为嵌顿肠管,位于回盲瓣近端110厘米处(图4)。该位置非典型,因为Meckel憩室通常定义为位于回盲瓣100厘米以内。

图3. 嵌顿Meckel憩室的腹腔镜视图
3.jpg
术中腹腔镜图像显示嵌顿缺血的Meckel憩室突入脐疝囊。可见其位于肠系膜处,周围组织可见炎症反应。

图 4. 切除标本显示Meckel憩室坏死并伴有粪石。
4.jpg
小切口开腹手术后的术中图像。星号标记存活的回肠,箭头指向切除的Meckel憩室,有坏死和穿孔的征象。憩室尖端可见一块大的粪石。
您需要登录后才可以回帖 登录 | 注册

本版积分规则

丁香叶与你快乐分享

微信公众号

管理员微信

服务时间:8:30-21:30

站长微信/QQ

← 微信/微信群

← QQ

Copyright © 2013-2025 丁香叶 Powered by dxye.com  手机版 
快速回复 返回列表 返回顶部