仿气腹25孔3单端腔镜训练箱训练用单针/双针带线【出售】-->外科训练模块总目录
「训练教具器械汇总」管理员微信/QQ12087382[问题反馈]
开启左侧

腹腔镜修补单次吻合口胃绕道手术(OAGB)后彼得森缺损处内疝:病例报告

[复制链接]
发表于 5 天前 | 显示全部楼层 |阅读模式

马上注册,结交更多好友,享用更多功能,让你轻松玩转社区。

您需要 登录 才可以下载或查看,没有账号?注册

×
一名54岁女性患者因全身腹痛4天,伴恶心和便秘,到急诊就诊。患者一年前曾接受过胃旁腺切除术(OAGB)和腹腔镜胆囊切除术。由于体重反弹,患者在袖状胃切除术后接受了OAGB。

体格检查:患者生命体征稳定。腹部检查发现上腹部压痛,无腹胀。实验室检查结果无异常。腹部普通X光片正常。腹部和盆腔双对比CT扫描(图1)正常,无漩涡征,提示可能存在IH。因此,由于临床高度怀疑IH,患者入院观察。入院期间,患者未进行口服药物治疗,观察6小时后症状无改善;但患者生命体征仍然稳定。在征得患者同意后,进行了诊断性腹腔镜检查。

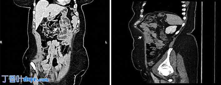
图 1
1.jpg
计算机断层扫描 (CT) 图像显示,小肠未见异常扩张、肠壁增厚或肠梗阻征象(箭头所示)。

在全身麻醉下,患者取仰卧-French 体位。使用 Veress 针进行腹部充气后,进行盲孔插入。随后插入 4 个工作端口。仔细检查腹部,未发现肠管扩张或腹腔积液。从回盲瓣到胃空肠吻合口 (GJ) 追踪到传出袢。

在胃囊粘连处周围观察到一条小的肠管扭曲。使用 Harmonic™ 能量装置进行粘连松解,游离胃囊和胃交界吻合口,使传入和传出支解扭并恢复至其解剖位置。观察到传出支围绕其肠系膜旋转,并通过 Petersen 缺损向内突出。轻轻牵拉突出的肠管,使 IH 复位(图 2)。仔细检查肠道,未发现缺血迹象。随后,使用 2-0 聚酯缝线连续缝合 Petersen 缺损,并使用 2-0 聚乳酸缝线将传入和传出支分别固定于胃囊和残胃。随后仔细检查肠道胆胰传入袢和至回盲瓣的传出袢。

图 2.
2.jpg
(A) 术中图片:经彼得森氏缺损形成的内疝 (IH)(箭头)。(B) 术中图片:IH 内容物减少后的彼得森氏腔(箭头)。(C) 术中图片:彼得森氏腔闭合。
您需要登录后才可以回帖 登录 | 注册

本版积分规则

丁香叶与你快乐分享

微信公众号

管理员微信

服务时间:8:30-21:30

站长微信/QQ

← 微信/微信群

← QQ

Copyright © 2013-2025 丁香叶 Powered by dxye.com  手机版 
快速回复 返回列表 返回顶部