仿气腹25孔3单端腔镜训练箱训练用单针/双针带线【出售】-->外科训练模块总目录
「训练教具器械汇总」管理员微信/QQ12087382[问题反馈]
开启左侧

胆囊次全切除术后残留胆囊炎一例报告

[复制链接]
发表于 4 天前 | 显示全部楼层 |阅读模式

马上注册,结交更多好友,享用更多功能,让你轻松玩转社区。

您需要 登录 才可以下载或查看,没有账号?注册

×
一名39岁女性患者,因反复出现右上腹(RUQ)疼痛、恶心和呕吐,于2013年接受胆囊切除术,现于院就诊,拟行胆囊切除术。患者自述自首次手术以来,一直感觉不适,右上腹疼痛持续放射至背部。尽管患者此前已接受胆囊切除术(图1),但在超声检查发现胆结石后,其初级保健医生(PCP)将其转诊至院外科团队。患者既往病史提示为糖尿病前期,末次糖化血红蛋白(A1c)为5.9%,肥胖(BMI为37.6 kg/m²),伴有高血压,但未确诊其他外科手术史。近期所有实验室检查值均在正常范围内。

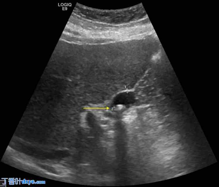
图 1. 右上腹超声检查显示胆囊残余,壁厚 1 毫米,并存在约 2 毫米的胆结石(黄色箭头)。可见多处结石阴影。
1.jpg
胆囊周围未见积液。超声墨菲征阴性。

胆囊残余被切除,置于 Endocatch 袋中,取出过程顺利。患者麻醉苏醒后转入恢复室,情况稳定。标本(图 2)为一粉红色管状胆囊组织残余,长 0.9 厘米,直径 1 厘米,一端带有手术夹。切口处可见浅粉色光滑管腔。此外,还取出了一颗淡黄色、不规则的胆结石,尺寸为 0.9 x 0.8 x 0.8 厘米。患者手术顺利完成,并于当天出院。患者两周后复诊,报告症状完全缓解,手术无并发症。其初级保健医生 (PCP) 报告患者健康状况良好,术后六个月未发现任何症状复发。

图 2. 手术标本 (A) 胆囊残余,长 0.9 厘米,直径 1 厘米;(B) 打开胆囊残余,内有 0.9 x 0.8 x 0.8 厘米的大胆结石(白色箭头)。
2.jpg
您需要登录后才可以回帖 登录 | 注册

本版积分规则

丁香叶与你快乐分享

微信公众号

管理员微信

服务时间:8:30-21:30

站长微信/QQ

← 微信/微信群

← QQ

Copyright © 2013-2025 丁香叶 Powered by dxye.com  手机版 
快速回复 返回列表 返回顶部